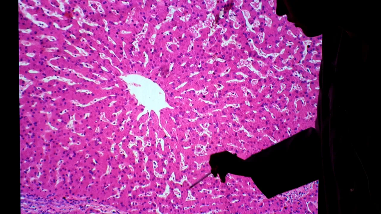
olá pessoal vamos estudar hoje a banda de fígado eu sugiro para quem ainda não assistiu haverá vídeo aula anterior que foi da da peça de economia microscópica do fígado porque vai ser bastante essa estrutura que vai servir como base para onde hoje então uma continuação na verdade da anterior bem aqui a gente está olhando ela muda de filho no colorado com a conquista em 2011 na nova meta de 40 vezes fica uma glândula lembrando toda a glândula é formado por critério totó barbalha que a maioria das células são células epiteliais chamadas de hepatócitos samba rosas
aqui e se tocam vários cordões irregulares ao redor de baleias uma estrutura que são ovos como descrita na virtual anterior aqui a gente também os novos clássicos que claro na holanda não vai ser tão 2012 separação povos quanto ela é uma modelo tecnológico mas dá pra gente ter umas futuras é um desafio é a veia central over sendo lobular do novo álbum clássico essas células rosas são relatórios servem aquela forma vários cordões irregulares geralmente uma ou duas são a sua espessura vários portões foram 2 todos partem aqui do dessa vez central emprestou em celulares sem
esse espaço em branco ac com algumas bolas que esses passos são os capilares sanguíneos e noites e aqui com massas dentro e nas extremidades aqui a gente tem tecido conjuntivo em alguma das extremidades seria usado ainda figura no top 6 roubos nem pensávamos são figuras geométricas a gente tem um espaço porta no qual a gente tem a cria de portal com um ramo da veia porta hepática é representada aqui um ramo da artéria paga um ramo da desculpa ou não na veia-porta um ano da artéria hepática e um ano do clube a depois vou colocar
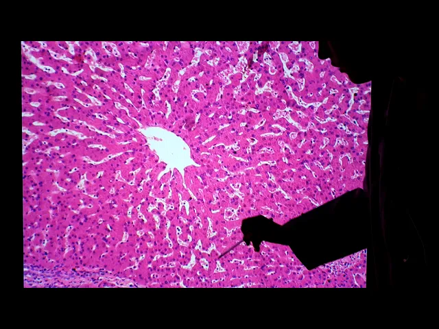
um aumento maior em volume do tecido conjuntivo condição fibras colágenas e esse foi um fogo eu vou mexer não provoca um pouco pra ter uma noção geral como este tudo ele é todo formado por molas e só você regulares nem sempre a gente vai conseguir formalizar encontrar a peça teatral e o espaço porta certinho quando aqui pegou um corte mais ou limpo da veia central a proposta de salvação de vela fpv central de assento no popular vão colocar no aumento maior agora pra gente ver com alguns detalhes dessas estamos observando um aumento de 100 vezes
o zoom aqui na veia central bc tomou essa daqui aqui dá pra ver se apresentado ainda o evangelho e agreste em algumas idéias maiores a gente consegue realizar uma efetiva em volta nessa nota da câmera aqui os retoques a nuclear e equivale a uma célula e patácio eles foram cordões regulares ou placas de samba saque do popular de propostas aqui teria outra placa esses passos aqui entre são os capilares seus oitos são capilares sanguíneos é a não ficava bastante dilatados que apresenta pólos na sua parede e com isso permite um contato mas é mais lento
e mais uma opção enquanto aposta para que possa metabolizar as culturas presentes aqui então é que o núcleo de 14 que geralmente é arredondado citoplasma bastante no filho hora de rosa também podemos encontrar algumas células nucleadas aqui próximo ao dos capilares nos olhos e foi provavelmente escala de culpa e uma tropa do fígado que vão fazer para os idosos de partículas maiores que tenham que cheguei o ministro contou que você agora também um aumento maior prestar socorro ainda um aumento de 100 empresas agora uma região mostrando um espaço porta então aqui está o estácio aqui
teríamos a extremidade de um robô clássico da personalidade de outro órgão a que de outro modo e aqui de outro esse espaço vai ter sempre o que a gente chama de trilha do portal que é um ramo da veia porta que essa mais lotada quem tiver dúvida pode diferenciar o que é velha que téria tem uma vídeo aula só de ver a matéria é só realizar mas a veia aqui ela tem a parede mais fina nesse caso é bem votada bem mandona e geralmente apresenta um volume maior de sangue um ramo da tele ática lembrando
a artéria ela tem uma camada muscular mais extensa a toninha íntima que o endotélio estamos um pouco previ ada e proporcionalmente ela tem mais golos do que a madeira e aqui o ramo de 1 8 bilhão a gente consegue diferenciar o que duplo eo que é vaso tem uma equipe técnica da seduc lembrando que ele então os vasos sanguíneos são papéis quanto velhas com a matéria passa em todos já o tumulto aquele ar politécnico é público então dá pra ver um novo resultado bem grande é que o critério tomtom conquistamos mensal de 1 do pib
levará água em pó químico no final do mesmo do clube niall e tudo isso aqui em volta a ter sido o motivo esse motivo pode ser formado é porque fazê la em fotografias colagens e também pergunta fica a rede consular no filho que ajuda a manter a selva nessa hora nessa posição em favor dessas copas a gente também pode controlar os danos menores de até duas também pode encontrar capilares simpático embora seja um pouco mais difícil de ter certeza da presença escolar mas também pode ser encontrado aqui junto com as portas para então vamos encerrar
aqui a idéia foi mostrar os principais componentes histológicos aqui do fígado mas lembrando reforçamos aqui o convite para quem quiser assistir a um vídeo anterior dada por estudar compensa a anatomia da peça da anatomia microscópio o filho porque ela age detalhou bem mais as estruturas relacionando um pouco a função os tipos de lobos ele aqui foi só para mostrar contra o excelente estariam distribuídos no ano que a de sua atenção e até a próxima