olá pessoal no vídeo ao lado de hoje nós vamos estudar o estômago estou hoje de forma antes de começar que não anda vamos dar uma olhada nas características gerais modelo 7 aqui vamos observar o estômago no modelo sintético a gente já viu esse modelo para estudar o jogo essa região aqui está representando um corte longitudinal do estômago aqui à luz o homem camada mucosa mais interna vai até aqui submucosa muscular externa e saborosa a camada mucosa é formada por várias glândulas populares e rami indicadas essa abertura da glândula que está aqui ea gente observa que
é uma superfície a gente chama de força gástrica é ela é revestida por um terno simples cilíndrico com um observa nessa região formada por células mucosas e depois se vamos ficar aqui embaixo e vai ter vários outros tipos de células comuns elas parentais e principais que vão ser melhor entendida quando a gente observa lana a lâmina própria é a camada de tecido conjuntivo frouxo que entre essas glândulas e aqui é muscular da mucosa chamando atenção que aqui também foi representada em roxo seria um módulo o folículo e ford que a gente pode encontrar tanto aqui
na mucosa quanto uma submucosa em qualquer uma das regiões do trato gastrointestinal faz parte do tecido foi associado a uma coisa a muscular externa aqui da representada apenas duas sub camadas mas no estômago ela possui 3 é uma chamada pública uma longitudinal e uma circular embora na lâmina elas não apareceram muito bem no limite entre elas e mais internamente a chamada serosa que é equivalente ao território e visceral que vai ser um eterno fino mesotélio o tecido conjuntivo em uma uma coisa que é mais importante a atenção aqui porque a gente paga nas glândulas o
é que o estômago ele possui várias pregas ou rugas que não foi apresentado aqui muita gente confunde achando que isso aqui é uma prega uma ruga não o que a gente chama de prega que na tecnologia é quando a gente tem uma dobra inteira que tanto da camada mucosa quanto da silva rosa não se estivesse representado uma prega essa camada de tinta rosa estaria subindo aqui e sendo revestida pela honrosa a gente não tá não tenha representado no modelo mas vai dar pra ver não ame o chamado 70 atenção banana quando aparecer outra coisa também
que costumam confundir achar que isso aqui são vilosidades só existe velocidade no intestino delgado a velocidade a que está representando intestino delgado a gente vai detalhar depois mas velocidades ruim imaginações aqui não a gente tem apenas imaginações bactéria então são glândulas então onu no estômago a gente pode encontrar pregas ou rugas que são obras como vai ter um eixo central de submucosa muito revestida por rosa entrar na lâmina não têm velocidades e apresenta glândulas que são essas duas nações aqui que são é formada pelas seitas ou políticas gástricas que também vai ser melhor e escrita
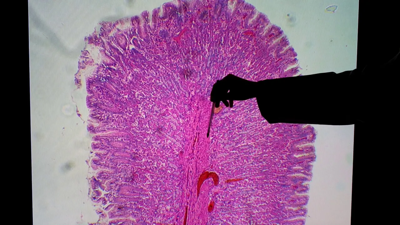
não anda então esse forma geral o modelo vamos pra lá ela só é de finalizar lembrando que o estômago estou logicamente é dividido em três regiões cárdia que a região está em contato com as roupas do fundo que na teoria seria equivalente ao público com amplas indica que a maior parte do estômago e pelouro que a região terminal onde estava lá em contato direto do belo ea gente vai falando agora conservar uma dessas regiões estamos observando aqui uma lâmina da região fund fica o estômago já que essa é sua lógica mente é que tem maior
quantidade para nesse momento o que pra ter uma idéia das quatro camadas não sei se repetir no trato gastrointestinal aquilo me ou nos tudo isso daqui é uma prévia ou ruga que na parte técnica toda essa parte mais escura é acamada mucosa está aqui ou aqui fazendo essas obras são as prévias na mucosa depois a gente vai ver maior aumento vai ter um critério de merecimento com alan na própria formando planas e que a muscular da honrosa essa faixa rosa um pouquinho mais escura e vai ficar mais nítido também momentos maiores que vai ter um
limite então daqui até presente termo cosa e ela acompanhando essas pregas ou longas que dá pra ver até macroscopicamente este rosa mais clarinha que no meio já é super moto coisa que vem até aqui nessa região aqui daqui pra baixo toda essa região é muscular externa que no estômago vai ser três chamadas embora elas sejam difíceis de diferenciar na holanda e canadá rosa chamando atenção então que característica desse aumento a gente observa que o o som apresenta várias pregas ou das irregulares e que isso é necessário para fazer permita uma distensão ele tem muita fibra
elástica que não é positivo além da camada muscular permite uma distensão eu estou chamando atenção da imprensa outra estrutura em cima que às vezes o pessoal com as pessoas confundem bastante o que está solta aqui em cima é uma batida rubio o prédio também imaginando aqui em três dimensões ela com certeza ela vai vir nessa região só com o corte passou só pela região superficial na hora de analisar o nome é interessante procurar regiões de cortes em que esteja ele esteja completa brega e que dê prazer melhor essas glândulas tão vovô agora realmente com maiores
pra gente ter mais detalhes principalmente na camada nebulosa naquela que diferencia melhor cada um dos blocos do trato gastrointestinal aqui não lembro de 40 vezes a gente está vendo um detalhe é que a superfície de uma prega ou ruga lembrando que toda prega ou ela vai ter um eixo central aqui de camada submucosa que o tecido conjuntivo denso na modelado em vários ângulos ser essa região e toda essa tarde aqui é camarão rosa e ela vai acompanhando essa longa com toda essa porção aqui o salário camada mucosa o limite inferior é muscular no rosa que
não tá muito ritmo depois eu vou descer um pouco vai ficar mais com a diferença mas é uma camada fina de música portuguesa que vai estar aqui onde as bandas vão se apoiar e aqui a poção costa é composta basicamente por planos nesse estágio é uma banda indica que a gente está vendo na região era de fundo o preston que vocês tipo semana reta é cada abertura da glândula a gente pode chamar de fonseca ou favela ou óbvia gástrica então aqui tem a fuga ocorreu uma guerra antiga que tenham pública e outra são revestidas por
selvas são chamadas de células in rosa superficiais que produzem uma secreção de rosa com ph levemente alcalino que ajuda a proteger essas células com procedência aqui do do conteúdo gástrico é aqui para observar a entrada da favela olhar sobre o conceito da gráfica ela funciona como se fosse um ducto também mais ou menos até aqui e depois se ramifica na porção secretora e na qual apresentar diversos tipos de células diferentes que já dá até pra detém algumas mais isoladas outras mais ousadas mas que a gente vai ver melhor os momentos maiores com continuar descendo aqui
só pra promoção que acontece com essa força com essa é a entrega ou o dólar continua com a mesma estrutura o centro aqui o eixo central jay camada subindo cosa e porque dado seu meio aparece alguém espalhados por aqui aqui já está começando a ter um contraste maior é que entram escolar não pousa sobre o cosmos vai ficar mais nítido casal continua tudo isso aqui região submucosa aquela começamos se dobrar para formar praia aqui dá pra ver bem a vida escolar da rosa que se fecha aqui de um músculo liso e daqui pra cima tamada
um rosa império e revestindo se como cantora do outro lado a mesma coisa o objetivo dessa não modelado quem vai te levar os sonhos e daqui pra baixo a gente já tem a camada muscular externa que é bem mais extensa do que resolva com as fibras é um pouco desorganizada várias direções de acordo com a teoria a gente sabe que é dividido em três chamadas uma interna de onde considerava jogo enquanto humano medo manter média uma mais f é considerada longitudinal embora na lama e de ser um pouco difícil de diferenciar aqui descendo um pouco
mais mas dá pra ver a diferença é que o corte foi um pouco mais longe do final da fibra que importa na proteção enquanto isso os puristas e essas fibras musculares lisas essa porção rosa mas claro que a gente tem o complexo mil em técnico que vai controlar é pra ter conhecimento técnico que vai controlar a motilidade músculo liso e mais superficialmente essa camada bem fina que a cannabis e rosa ela vai ser revertida por um critério talentoso simples bem fininho é um esotérico que oito que equivale na anatomia ao peritônio visceral uma pequena camada
aqui de conjuntivo e a velha que é um terno cinza espantoso então tomadas e lousa é o conselho antes aqui para o momento de ser vezes quebra a gente localizar onde ficam cada uma dessas células ao longo da glândula aqui no aumento de seis vezes campeã da região da mucosa a gente consegue observar na região mais superficial aqui as duas rosas superficiais e vitesse límbico que implica uma mulher chamada são os mais partidas que vão secretário 11 ou ligeiramente alcalino que ajuda a proteger a pele contra si desde o conteúdo de graça e essas inclinações
aqui do cemitério como a primeira versão banana que a gente chama de força hertha gástrica bom obra gastou favela ameaça estava aqui embaixo a gente está acompanhando nessa região próxima da gente de colo elas significam por porções e as aulas continuam por acaso ou outra mas assim que a mesma coisa é o corte nem sempre pega notificação certinha por exemplo então aquilo que você tá com bela que essa pessoa mais partida quando começa a ter essas são mais escuro uma sala com uma coloração diferenciada que já região fogo na glândula tudo isso aqui é um
pouco em uma moto marca todas a situação se organiza em forma de um tubo e aqui na região basal a gente tem o fundo da língua essa parte rosa mais forte a camada muscular da rosa então daqui na musculação rosa até que após aceitar bélgica a gente bem informada um cosa e daqui pra cá já é submucosa essa estrutura também melhor dizer que são paulo sanguíneos com um lacinho na copa ea gente não consegue visualizar bem porque ela fica é ficar entre essas causas reais aqui é muito fina e também não há salas que a
gente vai encontrar aqui já falei de uma parcela ou cota da superfície aqui nessa região do colo também celso costa semelhante a essa não dá para diferenciar tem uma zona de selva em tocas do couto a mesma função e tem dois tipos importantes aqui disseram assistir essa é que é essa quem pode rosa mais forte que essas mais razoáveis aqui embaixo essas são as mais usadas aqui tem grande quantidade são as células parentais ou os indica que são células especializadas na produção que as do poema épico que é o que confere agassi no ao conteúdo
gástrico e também são células que vão produzir o fator intrínseco fator crítico que é importante para a ligação com a vitamina b12 e absorção dessa mania então todas as almas ansiosas para metais se localizam principalmente então aqui na região do corpo e call marcando ó já na região do fundo que é o limite que está apoiada ki nam lá não posa vai predominar uma opção eu acho que ela é mais barata fica essa mais azulada que o que são as células principais ou células de hidrogênio mas essas são as principais ouvimos gênicas produzem uma próxima
time pense no génio que quando é liberada no meio assim você converte em piscinas e participa da da quebra de proteína da gestão prefeita além dessas ela tem outros que a gente não vai conseguir visualizar aqui que são células tronco que servem para reforçá-los que forem perdidos e também estamos então endócrinas que são células epiteliais que produzem alguns hormônios que podem agir tanto o poder de parar aquilo que são as próximas com 89 no caso é na concorrência por aqui estão no aumento de 400 vezes acho que a próxima região fundo a glândula lembra conservando
aqui uma pedacinho da camada muscular da mucosa aqui rosa e aqui a gente tem a construção de uma planta conta ainda que o atual tolosa toda essa região equivale ao fundo e observe que aqui está predominando as células com o gene casas que vai produzir um pequeno génio e entremeado a elas aqui que vai dar mais concentrado a porção mais superior essas células rosas grandes que são as células para a paz o oxi tica quando produziu hcl e o fator físico só reforçando então aqui na região do fundo predominam as células principais essas máquinas voadoras
e na região mas do corpo mas oficial vai predominar nas células parentais não vou passar pelo menor contra a polícia então aqui pra finalizar camada honrosa com a eterna na própria e assim quando nos vários tipos de células estradas muscular da mucosa e o eixo aqui nessa altura uma prega uma música com o eixo central de fordo cosa em vão como rosa a gente descer um pouco aqui ainda mesma estrutura na prega o longa depois ela se chegando aqui para as laterais o rosa começa a camada muscular ainda muscular externa como nem é possível que
o plexo momento é rico e aqui em camadas e usa bem pessoal é o risco que a observar essa lâmina a próxima videoaula agora a gente vai observá lá nana de investimento