o Olá pessoal então nós vamos começar a mais uma vídeo aula aonde nós vamos tratar do tubo digestório nós vamos começar a falando nessa vídeo aula especificamente de esôfago a transição esôfago estômago e da histologia do estômago como é assim é a primeira aula que nós vamos tratar do tubo digestório antes da gente falar especificamente da estrutura dos órgãos nós precisamos ter uma noção de como que didaticamente a parede desses órgãos é dividida E por quê que isso é importante porque nós vamos conseguir diferenciar um órgão do outro justamente pela composição das diferentes túnicas que
compõem a parede decisório Então nesse esquema nós temos a parede de um órgão cavitário dividida em 4 túnicas a primeira túnica é a chamada túnica a cosa que aqui tá mais perto da Luz essa túnica mucosa por sua vez é dividida em 3 lâminas a lâmina epitelial que reveste a luz do órgão a lâmina própria que é um tecido conjuntivo que em alguns órgãos vai ter glândula e outros não vai ter glândula esse tecido epitelial também varia de órgão para órgão e essa outra uma camada composta de músculo liso chamada muscular da mucosa então nós
temos a túnica mucosa dividida em lâmina epitelial da minha própria e lâmina muscular da mucosa Olá abaixo da mucosa indicada pelo número dois nós temos a subir mucosa que é tecido conjuntivo e novamente em alguns órgãos vai ter glândula e outros não na submucosa também nós vamos ver mais na frente nós encontramos o plexo submucoso que é um conjunto de gânglios que está distribuído em todo o trato digestório esses gânglios eles pertencem ao sistema nervoso autônomo e eles atuam principalmente na contração da muscular da mucosa fazendo muitas vezes o esvaziamento de glândula e o pregueamento
da mucosa dooor indicado pelo número 3 nós temos a túnica muscular a túnica muscular de uma maneira geral é composta por dois duas uma das de músculo liso essa túnica responsável pelo peristaltismo pelo movimento peristáltico que faz o alimento se movimentar pelo tubo digestório normalmente ela possui uma camada interna com células circulares e uma camada externa com células longitudinais de novo entre essas duas camadas de células seja dentro da túnica muscular Nós também encontramos um outro plexo nervoso um conjunto de gânglios e nervos também pertencentes ao sistema nervoso autônomo que ajudam a controlar o peristaltismo
chamado de plexo mioentérico seja que tá dentro do músculo do sistema gastrintestinal sistema digestório e por fim nós temos a camada mais externa indicada pelo número 4 que é composta de tecido ao vivo então quando essa camada é composta exclusivamente de tecido conjuntivo ela é chamada de adventícia e quando essa camada é composta de tecido conjuntiva conjuntivo revestida por um mesotélio ela é chamada de serosa então normalmente nós temos Como regra Que órgãos que estão entre aspas soltos na cavidade abdominal eles têm serosa porque aí o meu brother ele consegue se movimentar órgãos que estão
em cavidades por exemplo como dentro da cavidade pélvica na no na região cervical no pescoço como esôfago eles têm Adventista ou seja eles não tem um revestimento epitelial por fora é só conjuntivo tenho vem capitulando nós temos 4 túnicas mucosa submucosa muscular e adventícia ulcerosa a túnica mucosa é composta ainda por lâmina epitelial lâmina pro e ilumina muscular da mucosa a túnica a submucosa composta por tecido conjuntivo como sem glândulas a túnica e e aqui tem o plexo submucoso a túnica muscular composta por duas camadas na maioria dos órgãos e também com plexo mioentérico e
a última túnica túnica serosa o adventista com ou sem epitélio bom agora nós vamos falar especificamente da estrutura do esôfago Então vamos transportar o que a gente acabou de ver para essa lâmina histológica Então vamos colocar um aumento maior aqui nessa região E aí nós vamos observar a parede do esôfago a primeira coisa para se observar é que aqui tá luz o órgão então nós temos a lâmina epitelial a lâmina própria a muscular da mucosa a submucosa e a túnica muscular nesse corte histológico a gente não consegue ver a adventícia que estaria aqui olhando com
um pouco mais de detalhe as três túnicas do esôfago então a gente vê que a lâmina epitelial do esôfago é formada por epitélio estratificado pavimentoso não-queratinizado lâmina própria do esôfago não tem glândula uma muscular da mucosa bastante desenvolvida uma submucosa com glândulas E essas glândulas Elas têm o papel de lubrificar o esophagor e lubrificar essa mucosa aqui e tá eu gostaria de chamar atenção para vocês nesse local desse acúmulo de linfócitos um nódulo linfático aqui esse acúmulo de linfócitos também é importante a gente ressaltar que em todos os nossos sistemas com o órgão os óculos
e quando se estuda a tecido é órgãos linfoides se fala o sistema linfático se fala sobre isso ele possui o que se chama de a do tecido linfoide associado as mucosas então como é uma área que está muito sensível a entrada de microorganismos existe uma uma grande proteção de células do sistema de defesa Então se vê ao longo de todo o trato digestório trato respiratório trato geniturinário a presença de isso aqui por si específico aqui do sistema digestório a sigla que se usa do inglês é Galaxy g a l t que é tecido linfoide associado
a mucosa gástrica ou da mucosa do sistema digestório tá então a mucosa com as 13 lâminas submucosa com glândula e no esôfago a gente não consegue ver direito essa divisão de circular e longitudinal fica um pouco mais difícil de ver mas um outro detalhe também para te falar e da muscular do esôfago é que no terço proximal ela é de músculo estriado esquelético diferente de todo o resto enquanto que no terço distal essa essa musculatura já é de músculo liso Por que que assim justamente com o objetivo de da deglutição porque a deglutição e voluntária
então nós precisamos ter músculo estriado esquelético que faça com que o esôfago relaxa No momento que a gente faz a deglutição tá então o que que é importante ficar claro aqui do esôfago a lâmina epitelial que é composta de tecido epitelial estratificado pavimentoso não queratinizado e que ele tem glândula na submucosa e a lâmina própria não tem nada aqui a gente consegue ver um pouco das duas camadas de músculo liso e desculpa de músculo que aqui às vezes pode ser Lisa as duas partes estrelado dependendo do é feito quarto que formam a túnica muscular do
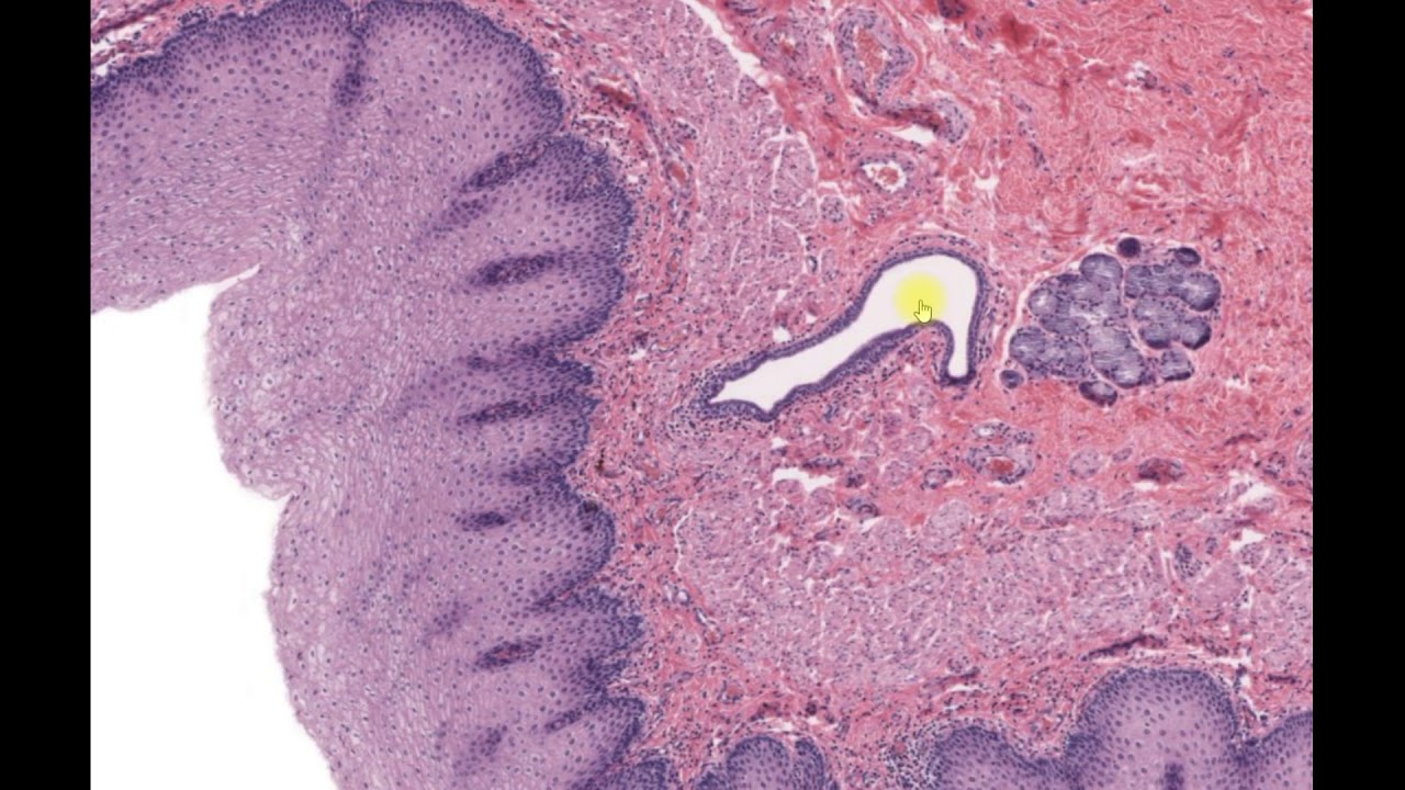
esôfago nesse corte histológico a gente vê exatamente o local da junção do esôfago com o estômago seja um corte histológico da região do Cardia a entrada do estômago então aqui no aumento maior a gente consegue ver a transição que existe entre o epitélio estratificado pavimentoso não-queratinizado da mucosa esofágica para o epitélio cilíndrico simples que forma a mucosa do estômago Então observa em que é uma uma transição bastante abrupta termina um epitélio já se inicia o outro então é bem fácil de identificar isso ah e também chamar atenção para vocês de novo do nódulo linfático aqui
é como componente do galo nós vamos falar um pouco mais na frente com mais detalhes sobre isso mas Observe em aqui que nem esse local do nessa região do card a existem glândulas mucosas E essas glândulas produzem secreção que é liberada na luz do órgão justamente para proteger o esôfago na região do isso aqui é anatomicamente é na região do hiato esofágico então o importante dessa lâmina é nós vemos basicamente essa junção aqui as estruturas da parede do esôfago nós já falamos e ainda agora nós vamos passar a falar da estrutura da parede do estômago
Então nesse esquema aqui nós podemos ver a parede do estômago e isso é um esquema do estômago e chamar atenção Para alguns aspectos primeiro aspecto importante a chamar a atenção é a túnica muscular do estômago eu falei que a base do sistema digestório são duas camadas de músculo liso o estômago por ter uma luz dilatada ele precisa de uma túnica muscular mais resistente mais forte e por isso que ele tem três camadas de músculo liso ele tem uma camada interna oblíqua e aí depois ele mantém a mesma coisa uma circular que nesse caso é no
meio e uma longitudinal que a mais externa então o estômago tem três camadas de músculo liso importante também o que eu já comentei as glândulas da região do Carga produzem muco da mesma forma que as glândulas da região pilórica produzem muco já as glândulas da região do corpo e do fundo do e do estômago elas produzem é o suco gástrico que nós vamos entender um pouquinho mais é deles na nos próximos no próximo passo bom visto isso nós temos como eu comentei Aqui nós temos um esquema da parede do estômago tá então o estômago primeiro
ele possui uma túnica mucosa composta por um epitélio cilíndrico simples esse epitélio É muciparo Nós já vamos ver ele é rico em muco justamente para proteger do PH ácido eles possui essas for cetas ou fovéolas gástricas que ao local aonde a glândula desemboca aço atura a lâmina própria aqui no esôfago agora só a tecido conjuntivo no estômago ela é onde estão as glândulas Então as glândulas gráficas estão na lâmina própria e uma muscular da mucosa e a submucosa do estômago é pouco desenvolvida ela não não tem glândulas nós temos a muscular como eu já falei
com 3 camadas e à serosa porque ele tá dentro da cavidade abdominal você já tem tecido conjuntivo e um mesotélio então olhando com um pouco mais de detalhes nós vamos entrar em muitos detalhes funcionais mas as glândulas da Porção fúngica e do corpo do estômago elas tem basicamente três tipos celulares tem as células parietais as células principais e a as células enteroendócrinas como se vê aqui no esquema na região mais do fundo da glândula e nós temos que as células parietais são as células que produzem mil hidrogênio e um cloro responsáveis pela diminuição do PH
do estômago as células principais elas produzem pepsinogênio que em contato com o ácido clorídrico clorídrico se transforma em pepsina que a enzima ativa que digere Principalmente as proteínas e as células enteroendócrinas produzem hormônios que são relacionados ao processo digestivo Então vem capitulando nas glândulas nós temos células principais que produzem pepsinogênio células parietais que produzem e o hidrogênio eo cloro que quando liberados ele se unem e formam ácido clorídrico permitindo a redução drástica do PH do estômago e essa redução gástrica ativa o p a piscina e também existem células enteroendócrinas Então vamos olhar nessa lâmina aqui
os detalhes do que a gente acabou de ver no esquema então a mucosa gástrica ela é composta pela lâmina epitelial a lâmina própria glandular e uma muscular da mucosa depois nós temos a submucosa que não tem glândula que a gente só vê um monte de vasos sanguíneos depois nós temos a túnica muscular e novamente nessa lâmina não se vê presente a cheirosa então a muscular presente aqui no campo daqui até aqui e Aqui começa a submucosa e a daqui para cima a mucosa tá bom olhando com mais detalhes o epitélio que forma a que reveste
a luz do estômago Como eu havia falado para vocês é um epitélio cilíndrico simples mas ele é um epitélio cilíndrico simples que possui se vocês observarem na superfície apical parece que a célula Tá cheia de alguma substância e isso é muco justamente para proteger é do PH extremamente baixo então por isso que se diz que é um epitélio cilíndrico simples muciparo isso aqui são as forças etas ou fovéolas gástricas que nada mais são do que os ductos de secreção das glândulas então Observe que toda a mucosa é cheia de dessas fosseta sou favelas gástricas tá
aqui de novo a mostrando claramente uma aqui bom e quando a gente olha as glândulas da da lâmina própria seja as glândulas da região fúngica nós colocando um aumento maior mesmo numa coloração de rotina como hematoxilina-eosina a gente consegue diferenciar os dois tipos celulares essas células grandes com citoplasma bem acidofilicos seja bem vermelho são as células principais é a que é desculpa são as células parietais que produzem e o hidrogênio eo cloro então elas é que são responsáveis por acidificar o PH essas aqui são as células principais que são as células que produzem tecnologia gênio
como o pepsinogênio ele é Inativo no momento em que esse pepsinogênio a liberado na luz da glândula junto com ácido clorídrico ele se transforma em piscina que a forma ativa porque se a pepsina fosse liberada ativamente nessa região ela Oi Alice disso aqui porque ela digere proteína tá as células enteroendócrinas só com coloração específica então finalizando células parietais e células principais facilmente distinguíveis nessa leva bom nós vamos aproveitar essa lâmina também para ver os dois tipos de plexo que existem que eu falei lá primeiramente nós vamos falar do plexo mioentérico então observem aqui eu vou
reduzir um pouco aumento para que a gente consiga ter uma noção que nós estamos dentro das túnicas do da desculpa dentro das camadas da túnica muscular então isso aqui é o que se conhece por plexo mioentérico e como é que eu sei que isso aqui é o plexo mioentérico agora nós vamos ver a presença de o sonhos corpos neuronais células grandes núcleo bastante eucromatico nucléolo Evidente presença dos chamados corpúsculos de início no no citoplasma então isso aqui é um conjunto de Corpos neuronais fora do sistema nervoso central e isso é um gânglio e por ele
está dentro do da túnica muscular é um gânglio do plexo mioentérico agora nós vamos ver na submucosa uma estrutura bastante similar só é um pouco menor mas é a mesma estrutura Observe que nós estamos dentro da submucosa tá aqui tá estrutura é aqui tá estrutura isso aqui a mucosa aqui a muscular e quando se coloca um aumento maior nessa estrutura se vai ver algo semelhante ou seja corpos neuronais formando um gânglio nervoso a parte do plexo submucoso bom pessoal essa hora era isso e nos encontramos em algum vídeo no futuro