Olá pessoal dando continuidade às videoaulas de sistema urinário Hoje a gente vai ver a lâmina de rim eu só recomendo que antes de assistir essa videoaula assistam por favor a anterior que está que é uma videoaula de de modelo sintético no qual a gente descreve em mais detalhes a estrutura anatômica histológica o que Vai facilitar bastante o entendimento dessa lâmina bem começando então e Relembrando que o r histologicamente é dividida em duas regiões que são córtex e medula e tudo o que a gente tá observando aqui é a região cortical que já dá para saber
de cara só olhando essas estruturas arredondadas aqui olha que são os corpúsculos renais tem vários corpúsculos aqui como a gente já abordou na videoaula anterior e vários túbulos esses em rosa aqui do lado cortados em vários ângulos que são os túbulos contorcidos aqui tem tanto túbulo contorcido proximal quanto tbos contorcidos distais a gente também pode encontrar alguns vasos sanguíneos o rim também apresenta uma cápsula só que nessa nesse material ela foi removida por isso que a gente não consegue observar eu vou mudar o campo aqui só para mostrar menor aumento aula olha enquanto a gente
esver vendo corpúsculo renal e tubos contorcidos a gente está na região cortical a medida que eu for descendo olha aqui já mudou um pouco o perfil nessa região aqui a gente praticamente já não vê e corpúsculo renal e nem túbulo contorcido aqui apareceram vários túbulos em corte transversal arredondados Paralelos um uns aos outros e Uns poucos em corte longitudinal aqui tudo então já é a região medular e aqui a gente vai ter uma mistura de duplos coletores de urina alças de n e vasos sanguíneos uma curiosidade que também chamando atenção que aparecem eh dois vasos
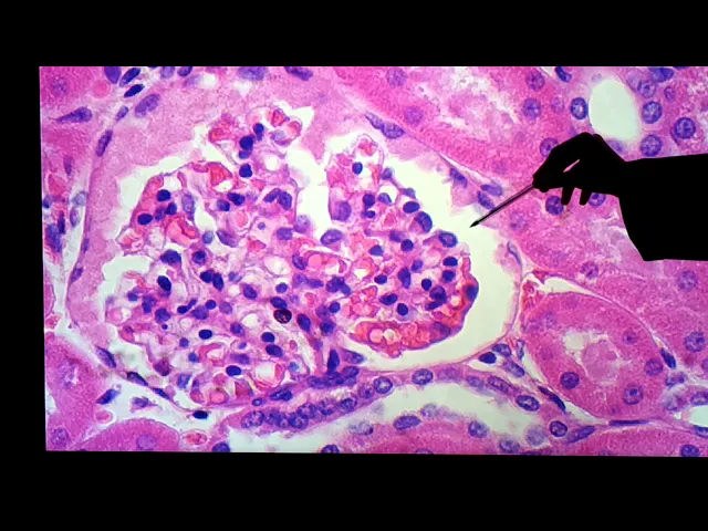
sanguíneos aqui na transição entre eles Isso aqui é uma porção de um vaso sanguíneo arqueado que a gente viu também na na aula anterior vou vou colocar em aumentos maiores agora pra gente ver a estrutura celular dessa regiões começando pelo córtex aqui no aumento de 100 vezes focado na região cortical do rim na qual agora a gente consegue observar melhor os corpúsculos renais corpúsculo é o conjunto de tudo isso aqui tá cápsula e os capilares quando a gente se refere somente aos capilares normalmente a gente chama de glomérulo então aqui é um corpúsculo renal glomérulo
aqui outro corpúsculo aqui tem outro corpúsculo e aqui tem mais um então 1 2 3 4ro corpúsculos nesse campo e ainda aparece um pedaço de ulo aqui isso aqui é um artefato tá no vaso sanguínio tem algumas hemácias aqui que e degradaram isso aqui não não é nada que que importe nesse momento e aqui em volta em Rosa a gente observa várias porções dos tubos contorcidos como ele é contorcido a gente vai observar cortes em várias direções por exemplo aqui um corte fazendo uma volta aqui um corte transversal eh e também a gente consegue diferenciar
quais túbulos são proximais e quais são os distais normalmente o que tem o túbulo contorcido proximal eh ele é muito mais comprido muito mais longo do que o distal então isso já me dá uma ideia de que eu vou cortar ele muito mais vezes então vai ter uma quantidade maior de túbulo proximal do que a de túbulo distal outra característica do túbulo proximal esse ess todos esses aqui são proximais é que ele apresenta os dois TM P Télio cúbico só que aqui normalmente a luz ou Lumen é irregular já que ele apresenta várias projeções na
célula várias projeções várias eh micr velocidades e acima dessas micrel algumas Sec pressões então a luz ou lumem é irregular se a gente for comparar por exemplo com com esse aqui que seria um túbulo com torcida distal aqui a célula é menor ó no distal é menor no proximal é maior no distal o Lumen é mais definido não tem aquelas projeções celulares essa esse tamanho maior da célula e essas projeções se devem principalmente à função do túbulo proximal que que é muito mais intensa normalmente do que o distal Já que é no túbulo cont oxido
proximal que ocorre quase que 100% da reabsorção de glicose eh de de algumas proteínas e grande parte grande parte também da reabsorção de moléculas de água então são células que apresentam muitas eh muitas muitas organelas muitas mitocôndrias para fornecer transporte para fornecer energia pro transporte transmembrana Então essas são as características além disso a célula aparece no tom de rosa mais forte e aqui um rosa mais clarinho Então olha esse daqui é um túbulo proximal aqui também proximal proximal já esse aqui é um túbulo distal o o epitélio é bem mais fino a luz ou o
lumem é regular e eu não observo aquelas projeções e nesse caso aqui a gente tem um corpúsculo no qual o tubo contorcido distal se aproxima do corpúsculo e forma uma placa de células a gente observa aqui que os núcleos Estão todos bem próximos bem Unidos uns aos outros isso aqui é o que a gente chama de mácula densa que é o que a gente viu na na na vídeoaula anterior Só chamando atenção aqui a mácula densa ela faz parte do aparelho justa glomerular que eu comentei na videoaula anterior dentro aqui do glomérulo Então a gente
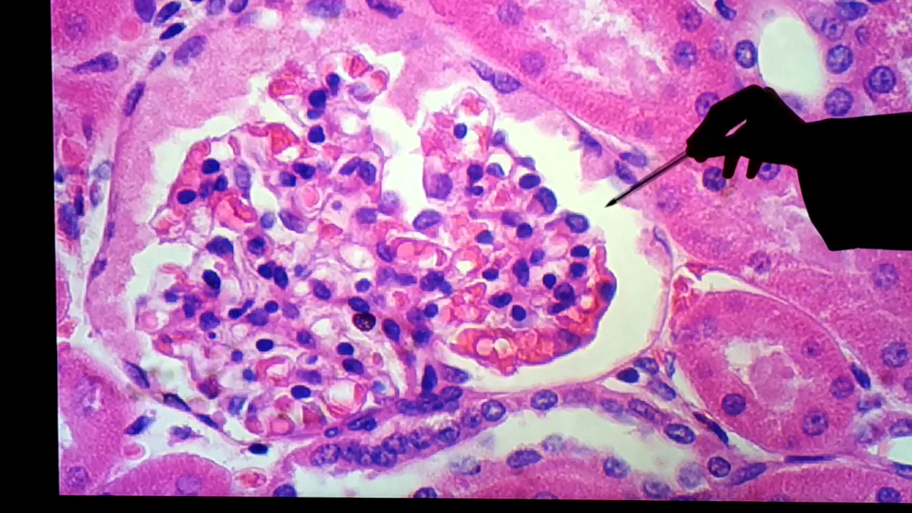
tem vários capilares sanguíneos a gente não consegue delimitar um porque eles são em vários tem um formato de alça dá para ver algumas hemácias soltas vou colocar no aumento maior e vários núcleos aqui em volta alguns desses núcleos são os podócitos ficam ao redor desses vasos sanguíneos que corresponde à porção visceral da cápsula glomerular ou cápsula de Bowman e também tem as células mesangiais que também fazem parte do aparelho justaglomerular e revestindo externamente esse corpúsculo Aqui tá o epitélio pavimentoso simples é a porção parietal da cápsula glomerular ou cápsula de boma vou colocar no aumento
maior só para destacar melhor essa células então aqui o mesma a mesma região só no aumento de 400 vezes tudo isso aqui é o corpúsculo renal agora dá para ver bem ó essa essas células com núcleo achatado aqui são a porção parietal da cápsula de borra ou cápsula glomerular esse espaço onde vai ser filtrado o sangue e produzido filtrado glomerular que que que é um primórdio aí da urina que a urina ainda vai ser modific o filtrado glomerular ainda vai ser modificado nos próximos tubos para posteriormente né formar urina esse espaço a gente chama de
espaço glomerular ou espaço de Bowman e aqui uma mistura de capilares que a gente consegue observar as hemácias não a a delimitação do capilar em cim mas através as hemácias e vários núcleos Lembrando que os núcleos podem ser podócitos ou ou células mesangiais e aqui embaixo a mácula densa que é uma porção olha do túbulo contorcido distal geralmente uma porção reta do túbulo distal Aliás na qual a os núcleos ficam bem próximos a porção do aparelho Justa glomerular e aqui do lado túbulo cont torcido proximal comparando aqui olha ao lado tem duas porções de um
túbulo contorcido distal aqui dá para ver melhor túbulo contorcido proximal tudo isso aqui é uma única célula então uma célula bem grande se a gente for comparar com o distal a célula mais alta o Lumen ainda cheio de secreção aqui é o Lumen fica praticamente vazio as células não t a o ápice dessas células não tem um limite nítido devido a riqueza de micr velocidades aqui já dá para ver uma delimitação melhor do Lumen e a coloração né normalmente a coloração do citoplasma que é um tom de rosa mais forte e aqui um tom Rosado
mais fraco e tem outros capilares que vão ficar em volta desse desses túbulos que a gente chama de capilares peritubulares no qual a gente consegue observar algumas Emas por exemplo aqui aqui estaria passando outro capilar peritubular com algumas hemácias Então essa estrutura básica aqui da região cortical agora na região medular no aumento de 100 vezes a gente já observa a diferença aqui olha a gente não encontra corpúsculo renal e nem túbulos contorcidos aqui somente são túbulos retos que seriam os duplos coletores de urina que são esses aqui que apresentam o epitélio cúbico aqui é o
luz ou lume apareceram em porte longitudinal a maioria deles então aqui tá o epitélio que e que delimita um epitélio simples cúbico aqui a luz ou Lumen do dcto coletor de urina aqui tem um aqui tem outro aqui tem mais um a gente também observa vários capilares sanguíneos com as hemácias aqui vermelho e também dá para observar algumas porções da delgadas da alça de enle aqui por exemplo que tem aqui um roxo mais escuro o núcleo que é um o epitélio pavimentoso simples praticamente que é o núcleo da parte delgada da alça de engle vai
ter tecido conjuntivo entre um e outro mas é tão Fino que a gente nem consegue visualizar bem então só vou passar agora pro aumento de 400 vezes pra gente ver melhor essa células ainda na região medular em corte longitudinal dos dulos e no aumento de 400 vezes aqui dá para ver assim em maiores detalhes Olha o o ducto coletor de urina passando aqui uma porção dele com os com epitélio nas laterais a célula bem arredondada que é epitélio cúbico e simples e nesse caso do ducto coletor de urina uma característica também que ajuda a diferenciar
é que na maioria das vezes dá para ver até a membrana ou parte né da membrana plasmática que separa uma célula da outra já que ela possui um acúmulo de algumas proteínas aqui do lado em várias regiões a gente tem capilares que a gente e delimita aqui eh fica facilita aqui pela pelo encontro das hemácias tem vários capilares sanguíneos também a alça de en porção delgada que a gente encontra pelo formato do epitélio que é pavimentoso Então aqui tem porção de uma alça de en aqui tem outra aqui já é capilar sanguíneo e lembrando que
a gente também pode encontrar aqui porção espessa da alça de n aqui provavelmente parece uma região de porção espessa Às vezes as pessoas confundem um pouquinho a porção espessa com o ducto coletor de urina algumas diferenças aqui que facilita eh facilita separação além de ser também é cúbico mas eh ele não é as células não são tão bem delimitadas tão bem separadas uma da outra quanto a gente quanto a gente observa aqui no ducto coletor de urina e também apresenta algumas projeções de ou secreção na parte interna coisa que geralmente a gente não observa nessa
região antes de encerrar essa videoaula só vou mostrar um corte na região medular agora com esses ductos e tubos em corte transversal então região medular aumento de 400 vezes corte transversal dos ductos a gente observa aqui um ducto coletor de urina corte transversal nesse aqui tá dando para ver bem Olha a célula cúbica eh bem delimitada aqui o limite entre as duas membrana plasmática aqui tem outro ducto coletor de urina aqui do lado já para contrastar Olha a diferença do equito o núcleo que é achatado pavimentoso então isso aqui é uma porção delgada da alça
de en aqui tem outra e entre esses vários túbulos e vão ter capilares com vasos sanguíneos e um pouco de tecido conjuntivo dando suporte embora a gente não consiga visualizar e com essa coloração Então é isso pessoal que queria mostrar na videoaula de hoje aqui a gente tá encerrando as videoaulas de sistema urinário agradeço a atenção de vocês e até a próxima videoaula