Olá pessoal na videoaula de hoje nós vamos observar a lâmina de esôfago que tá representada aqui só que antes da lâmina vamos voltar aqui ao modelo sintético da da organização das camadas bem aqui está o modelo sintético só Relembrando e esse a gente já teve uma vídeoaula de do modelo sintético da organização Geral do trato gastrointestinal aconselho assistirem antes para facilitar o entendimento dessa e das PR próximas aulas né já que o trato gastrointestinal tem as mesmas camadas em todas as regiões do esôfago até o intestino Como já foi falado mas focando agora hoje no
esófago Relembrando a gente tem as as camadas ou túnicas mucosa submucosa muscular esperna e cerosa aqui no corte transversal aqui a luz ou lumem na camada ou túnica mucosa nós vamos observar um tecido epitelial própria de conjuntivo frouxo e muscular da lâmina e muscular da mucosa desculpe e no o tecido epitelial ele é composto por um epitélio estratificado que significa que tem várias camadas pavimentoso porque a camada superficial é composta por células achatadas e não queratinizado que é um epitélio adaptado a proteção contra atrito mecânico durante a deglutição abaixo aqui na lâmina própria tecido conjuntivo
frouxo que pode conter vasos sanguíneos pode conter não contém embora não esteja mostrando aqui e também pode ter pode conter algumas glândulas não foi mostrada aqui nesse modelo mas se fosse um corte de esófago passando próximo a sua região proximal ou sua região distal eh a gente encontraria glândulas nessa na camada da lâmina própria que são chamadas de glândulas cárdicas porque se assemelham muito as glândulas cárdicas presentes no no estômago aqui a muscular da mucosa que é que é composta de músculo liso e logo abaixo aqui a submucosa que é um tecido conjuntivo denso não
modelado que apresenta várias glândulas que a gente pode chamar de glândulas esofágicas estão presentes aqui na submucosa uma glândula tubulosa e secreção principalmente mucosa eh e depois a muscular externa recebe esse nome muscular externa para diferenciar da muscular da mucosa a muscular externa apresentando duas duas subcamadas uma camada de músculo circular interno e longitudinal externo e o tipo de músculo varia dependendo da altura do corte se for um corte mais próximo à região oral no terço superior do esófago vai predominar músculo estriado esquelético de ação voluntária e já no terço inferior e na metade e
no terço inferior do esôfago vai predominar músculo liso que é involuntário externamente aqui a camada cerosa ou adventícia só Relembrando a parte a gente chama de adventícia se ela for composta apenas por tecido conjuntivo que vai estar ligando o esôfago a outros órgãos Isso vai acontecer na porção do esôfago a que está localizada acima do diafragma se for no um corte do esôfago abaixo do diafragma é uma porção pequena mas ele já vai ser revestido pel peritônio visceral e vai apresentar uma pequena membrana fina chamada de mesotélio E aí o nome e aí histologicamente a
gente passa a chamar de cerosa Então cerosa se apresentar mesotélio que seria equivalente ao pitone visceral E adventícia se for apenas de tecido conjuntivo bem vamos passar agora pra lâmina porque vai ficar mais fácil depois de ter visto essas camadas aqui a lâmina a microscópio a gente observa as mesmas camadas que foram vistas no modelo aqui a ou lume do esôfago camada ou túnica mucosa composta por epitélio estratificado pavimentoso tecido conjuntivo que é a lâmina própria e esse Rosa um pouquinho mais forte muscular da mucosa então camada mucosa abaixo da muscular da mucosa toda essa
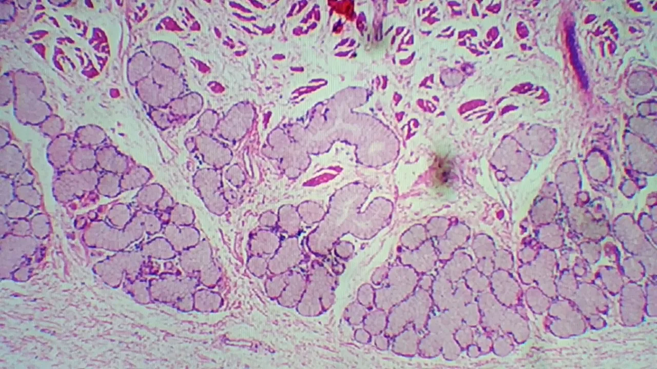
porção mais pálida aqui é a túnica ou camada submucosa que é composta por tecido conjuntivo e aqui em cima glândula são as glândulas esofágicas aqui a porção secretora das glândulas e aqui mostrando o dupo da glândula que ele segue aqui desde a poção secretora e joga a secreção na na luz ou lume abaixo da submucosa essa porção Mais Escura nós temos a camada muscular externa que é subdividida em músculo circular interno longitudinal externo e camada ou túnica adventícia Só chamando atenção uma outra coisa eh em todo o trato gastro intestinal a gente vai observar também
os partes do sistema nervoso entérico que no caso da lâmina ele vai est mais concentrado com formando gânglios e nervos que são os flexos principalmente aqui na região submucosa a gente não tá observando aqui tá mas tem aqui na submucosa que vai ser chamado de plexo gangle submucoso e aqui na túnica no meio aqui da túnica muscular externa entre a camada entre a circular interna e a longitudinal externa a gente vai ter o plexo mioentérico então eu vou mostrar agora em mais detalhes em aumentos maiores cada uma dessas camadas aqui no aumento de 40 vezes
luz ou lumem do esôfago túnica mucosa e abaixo aqui já submucosa mucosa composta por um epitélio estratificado várias camadas paviment oso célula achatada e não queratinizado essa estratificação ela confere maior resistência a esse epitélio contra atrito aqui com alimentos que sejam deglutidos e não é necessário queratinização como na pele por exemplo porque aqui é uma cavidade úmida V ter glândulas que vão deixar o epitélio umidificado abaixo do epitélio nós nós observamos aqui a lâmina própria que é tecido conjuntivo tudo isso aqui com algumas fibras colágenas inas também pode ter fibra reticular E fibra elástica embora
a gente não consiga diferenciá-las vasos sanguíneos também e há também uma projeção aqui do da lâmina própria pro epitélio formando essas estruturas que a gente chama de papilas nessa região é só para aumentar a superfície de contato e aumentar a resistência e ainda então ainda na camada mucosa epitélio lâmina própria e aqui embaixo alguns feixes de músculo liso tá corado em rosa mais forte que é o que a gente chama de muscular da mucosa isso aqui é o limite da camada mucosa então daqui para baixo a gente já tem a submucosa que vai ser composta
também por tecido conjuntivo e nesse caso aqui eh a gente observa uma quantidade grande de glândulas que são glândulas que a gente chama de glândulas esofágicas que ficam na camada submucosa aqui a porção secretora dela aqui mostrando a parte de um ducto vai se abrir aqui Aqui tem uma outra porção de um ducto descer um pouco mais aqui só para a gente ter uma noção melhor da túnica submucosa olha mucosa termina aqui daqui para baixo é tudo submucosa tudo isso aqui é um tecido conjuntivo rico em fibras colágenas vasos sanguíneos é também nessa região que
a gente encontra o plexo submucoso ou Plex o plexo nervoso de meisner que a gente não consegue ver muito bem na lâmina e aqui na parte superior Então as glândulas esofágicas e se Descer um pouco mais essa porção com rosa mais escuro aqui já é a camada muscular externa a lembrando que aqui é um corte transversal a parte interna a musculatura circular e a parte externa musculatura longitudinal e entre as duas essa porção rosa mais clara aqui é o plexo nervoso mioentérico ou plexo de uerba ele controla principalmente a motilidade dessa camada muscular externa enquanto
o plexo submucoso ele vai controlar a camada muscular interna e a secreção das glândulas lá na na parte submucosa e mais externamente aqui a gente tem tá um pouco arrebentado mas é a camada adventícia que ela também é composta de tecido conjuntivo vasos sanguíneos células de posas como a gente observa aqui eh pode encontrar algumas porções de nervos também foi o que apareceu aqui então só para encerrar eu vou passar rapidamente agora novamente aqui no aumento de 100 vezes essas mesmas estruturas aqui então no aumento de 100 vezes e luz ou lumem do esôfago aqui
uma parte da túnica mucosa composta por pelo epitélio agora dá para ver muito bem olha epitélio com várias camadas vários núcleos aqui de células que carac o epitélio estratificado camada pical com células achatadas que é pavimentoso e não queratinizado abaixo dele tecido conjuntivo que é a lâmina própria composto por várias fibras aí é misturando aqui fibra principalmente fibra colágena E fibra elástica que não tá dando pra gente diferenciar muito bem aqui passando aqui pela lâmina própria a gente vê uma porção do ducto da glândula esofágica que está lá na submucosa então aqui camada epitelial lâmina
própria e se descer mais um pouco a gente já encontra porções aqui de músculo que é a camada muscular da mucosa então Aqui termina a camada mucosa descendo um pouco mais a gente já tem a porção secretora das glândulas na camada submucosa então o limite são esses feixes rosas mais fortes aqui que são o músculo liso muscular da mucose aqui a porção Secret Lembrando que as glândulas com relação ao tipo de secreção Pode ser cerosa ou mucosa isso independente aqui das camadas que os alunos às vezes confundem muito camada mucosa glândula mucosa O que queo
significa camada quando a gente se refere a camada mucosa são aquelas e aquelas três ali o epitélio lâmina própria e muscular da mucosa que reverte um tubo gastrointestinal quando eu me refiro ao tipo de secreção eh aqui é secreção rica em em muco em glicoproteínas que é que é a glândula mucosa diferente da cerosa quem quiser relembrar esses conceitos de glândula cerosa e mucosa sugiro eh rever a aula de glândulas salivares que tá mais explicado naquela aula então aqui é porção secretora da glândula camada submucosa aqui são os ácinos tá ou tubos da Porção secretora
descendo um pouco mais ainda que porção submucosa tecido conjuntivo rico em fibras colágenas e fibras elásticas vasos sanguíneos aí a gente vai descendo ainda sobre mucosa sobre mucosa agora Aqui começa a aparecer tecido muscular Lembrando que pode ser músculo no caso do esôfago ele tem tanto músculo esquelético se for um corte que passa mais alto e próximo à cavidade oral quanto músculo liso se for um corte mais e distal ali próximo ao estômago nesse caso aqui a gente tá vendo músculo estreado esquelético o corte aqui não ficou muito bom ficou meio oblíquo mas dá para
observar que aqui a gente tem vários feixes musculares com os núcleos periféricos que é a característica de músculo estreado esquelético Lembrando que o músculo liso o núcleo seria central e a célula menor então isso mostra a gente que esse corte essa lâmina foi feito um corte mais próximo a cavidade oral terço superior do esôfago então aqui camada tudo isso muscular externa porção interna do músculo porção externa e aqui entre os dois o plexo mioentérico uma parte do sistema nervoso entérico e descendo um pouco mais aqui está arrebentado mas a gente tem a túnica adventícia que
é um tecido conjuntivo que vai ligar o esôfago a estruturas adjacentes no caso aqui A traqueia mas que não foi foi foi observada nessa lâmina então na próxima vídeoaula a gente continua estudando o sistema gastrointestinal com a aula de estômago Obrigada pela atenção e até a próxima videoaula