olá pessoal bem vindos de novo vamos dar continuidade aqui as vídeo aulas de sistema respiratório dá uma passada estudamos a qualidade nasal é já vimos há a definição de teles pires o tório jorge mussi a classificação funcional de poção condutora e possam respiratória e hoje a gente vai ver uma lâmina de pulmão o pulmão ele vai ser composto pela árvore brônquica que aí têm pouca arte da corsan condutora que são os próprios intrapulmonar as suas ramificações don't kill também com suas notificações até a posição de bloqueio terminal que hoje termina então a parte da porção
cultura a porção respiratória vai iniciar-se com bronqueou respiratório que vai se estruturando branquinho associada a marvel que onde já começa a haver trocas gasosas é basicamente composto um brônquio respiratório do culto ao violar que sacou luan aqui a gente tem uma vista panorâmica da lâmina de pulmão só pra gente ter uma noção da distribuição das estruturas de pulmão de coelho e corada uma toxina neuzinha na qual a gente consegue observar a região kurylo com mona que é por onde entra os broncos prontos maiores aqui já dá pra ver uma porção do bronco e depois a
gente vai detalhar um pouco melhor mas um grupo é bem grande com uma corda para enviar da cartilagem alina associado a um tecido conjuntivo às vezes precisa de repouso também e acompanhando esse brônquio geralmente vamos de porções de artéria lançando ficando aqui a matéria aqui uma teia depois a gente vai ver tudo isso é o aumento maior e uma característica que é bem fácil presidente romão são essas várias qualidades aqui ficam branca que vai da cheia de água são os alvéolos e salvos alveolares a gente vai encontrar porções de brônquios branco que o obstáculo de
londres e revestindo o nome certamente vai ter um tecido conjuntivo fino como o epitélio pavimentou seria pleura visceral agora vou colocar essa lâmina microscópio momento de 40 vezes ea gente vai detalhar um pouco mais cada uma dessas estruturas bem aqui no momento de 40 vezes a gente está vendo a região do rio com mona só de si para mostrar um pouco a localização a promoção do livro com uma na área que já aparente marrona e aparecer e já aparece aqui também foi mostrado na prisão com uma vista panorâmica um brônquio de grande calibre provavelmente um
bronco e secundário ou branco roubar não tá inteiro aqui que arrebentou pouco e tem uma seleção pode ser pressão pode ser pelo fato da lana mas a idéia aqui é umas transformadas que compõem a parede de um brônquio de maneira geral vem de dentro pra fora o bronco apresenta cinco camadas que são a chamada nem cosa camada muscular camada submucosa camada cartilaginosa e canadá adventícia começando aqui da camada mucosa tô com toda rosa ela vai ser composta por um epitélio e por uma conjuntivite frouxa que a gente chama de novo própria no caso dos brônquios
e também dos bronquíolos essa rosa ela vai se apresentar pregueada ela não vai ser lisa pode ter suas pregas que ajuda a gente identificar é prontas menores ou branco e menores na lâmina como foi posteriormente daqui a pouco eu mostro um ego maior mas como é que um branco de grande calibre aqui ainda é tênue respiratório que o mesmo critério que a gente viu nas fossas nasais que o mesmo tem também na platéia vou colocar logo no momento de 100 vezes para detalhar melhor acessamos aqui então número 100 vezes brônquio camada rochosa é composta pela
bactéria mas a lâmina própria de conjuntivo formando as entregas são bem característica tanto de bom quanto tranquilos nesse caso como o brônquio ainda de grande calibre apresento a pele bem está bem alto que o excel estratificado olha com lucas em alturas diferentes conserva-se formas aqui dá pra ver algumas sanções braçadas produzem muco aqui dá pra ver uma aqui aqui e ainda também apresentar cílios a lâmina própria que esta parte aqui é rosa mas qual ela vai ser composta por tecido conjuntivo fofo é a gente também pode encontrar muitos reforços nessa região e ao longo de
toda a fibra óptica que a gente pode chamar de tecidos linfóides associado aos brônquios ou a mucosa e até seu inglês mal de tecido e pode associar da mucosa e mais especificamente aqui no sistema respiratório gente de balti de tecido em toy de associado aos bancos então aqui chamada rosa logo abaixo da camada no cosa camada muscular e rosa aqui ó é uma camada de um izzo ele é discutir o esboço de maneira espiral depois vou voltar um aumento menor para ver se isso fica mais claro abaixo da camada muscular a gente vai ter a
chamada subir no código que tudo se aqui que também é composta por um tecido conjuntivo tampouco arrebentando nos bancos maiores apresenta glândulas essas glândulas a quinta posição secretora das glândulas chamas elas vão ter dutos que jogam a secreção que nessa região a gente pode ter uma mistura de lagosta e rosas rosas dependendo da região continuando aqui mas externamente a chamada silvia rosa é mais fácil de identificar a lama é danada cartilaginosa que é uma camada de cartilagem alina campos com gross e prudente lacunas que ajuda a manter a estrutura do egito parlamento os brônquios ela
também ela vai ser dispostas em forma de placas não é contínuo que também por mostrar depois um momento melhor e aqui a camada mais externa e também com a empreitada já seria chamada de notícia e na verdade ela não dá para a dell ter uma delimitação aqui na histológica que a camada de conjuntiva que vai ligar um brônquio as outras estruturas do parente na coluna então agora só voltará a aumentar de 40 vezes só para mostrar como essa camada de busca e de tatuagem ela diz contínuo estão de volta à meta de 40 vezes camada
mucosa camada muscular e lembrando que a disposição das fibras musculares lisas aqui ela não é circular ela vai ser helicoidal então com o corte transversal ela a gente vai pegar em alguns estão o um single em outras não vai aparecer com relação à cartilagem a linha diferente da traquéia nem apresenta aqueles anéis em forma de ser aqui nos brônquios em troca o nariz a cartilagem ela vai se distribuir na forma de placas as contínuas então por exemplo aqui tem uma placa de cartilagem alina que eu tenho outra que eu tenho outra ela não é contínua
então por isso que a gente vai ver de maneira irregular então essa estrutura básica de um brônquio característica daqui que ajuda a mostrar o que o messi só te chama atenção já que algumas características principais que diferencia um brônquio e branco eo bege além claro do calibre que vai ser nem manda pro quilos o brônquio e os blocos maiores pelo menos eles apresentam glândulas brookyln não têm glândulas blocos menores também não e todos os brônquios apresentam cartilagem alina bronquíolos não tem cartilagem a linha com isso é uma diferença que facilita a identificação da estrutura agora
no aumento de 100 vezes em branco eo com as características é também apresenta camada no colo dele é bem menor no primeiro a relação do homem com a menor e equipamentos em tom parece um pouco comentado é apresenta chamada mucosa premiada o hotel já fica mais baixo às vezes você disse linda e simples depois a medida tem bastante que amplifica cúbico mas enfim é um tabu cosa não tem mais lã duplas volta e o principal fica mais fácil de identificar a ausência de cartolagem não tem cartolagem outra característica isso aqui é essa parte rosa essa
faixa rosa que volta é a camada muscular de músculo liso é diferente do brônquio presente camadas é a disposição espiral aqui normalmente o músico luiz ver circular ele tem capacidade de fazer barulho com a constituição a prova de natação de acordo com a necessidade e mais desenvolvido às vezes do rio branco só de curiosidade aqui para diferenciar que muita gente olha como emodina nessa lâmina os vasos sanguíneos com branquinho luz aqui com o vaso sanguíneo uma teria as características na inevitável que o caminho é menor depois da morte algumas de calibre maior mas já dá
pra identificar que o endotélio no caso do vaso sanguíneo e bateu no cantinho ele é fácil e ventoso e achatado então isso que eu e depois de uma camada muscular perto da média e publica notícia já todo bom que o mesmo se o menor calibre eles vão apresentar o critério no milho o público intrigado coisa que a gente não vai observar os dados também indicam isso ajuda a diferenciar aqui uma artéria de pequeno calibre a canon que um em volta vários sacos alveolares eu vou mostrar mais algumas imagens the broom que bloqueou pra diferenciar melhor
certo agora aqui um outro campo o transporte mesmo ano conseguiu mostrar que no momento de cem vezes um branquinho no um brônquio uma roda do outro embora o corte não seja exatamente transversal mas dá pra ver compararam então as diferenças tão brônquio as características a rosa prevê geada e pité violão na própria uma camada fina que de músculo liso lembra ela parece deixar aqui uma pulseira lada e aqui alguns fragmentos das placas de cartilagem a menina eu tenho aqui tem outro aquele canto aqui embaixo e também aparece um fragmento aqui em cima então a gente
viu cartilagem já sabe que brônquio e nesse caso aqui ainda parece um pouquinho de algumas glândulas bem pequenininhas e aqui do lado algumas prega seja menor que esse link abaixo para kubica não tem parte lavagem não têm glândulas calibre menor e apresenta aqui uma camada de um estilo lulista só chamando atenção novamente que apareceu e é interessante diferenciava o sangüíneo de bronquite tranquilo olha aqui embaixo o epitélio o endotélio momentoso achatado e akita chamado goulart aparece uma hora teria aqui em cima é essa ainda conversa de sangue mas também a 89 em todo simples não
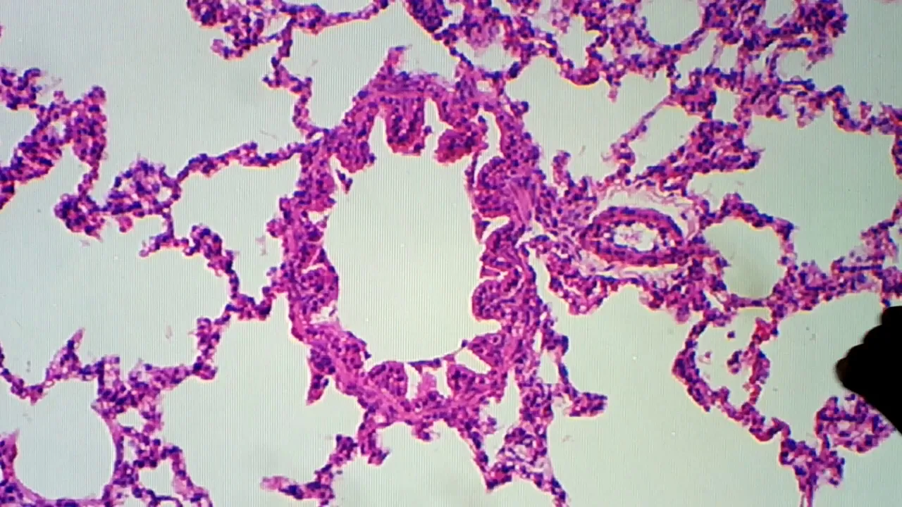
apresenta as pregas e no lado desse tranquilo tem bateria ainda menor mas que aprender o endotélio e sob a camada muscular só para não confundir aqui com 11 quilos e tudo isso aqui volta a gente tem vários sacos auveolares que são informações que a parede é formada por vários alvéolos e os septos separam do outro amy entrou lá se eu chegar foi coroado só pra mostrar é adaptar melhor a cartilagem desse grupo é que tem uma porção maior de cartilagem a camada de letícia não dá para ver um limite mas ela tem continuidade com 41
agora eu vou detalhar um pouco melhor essas porções aqui dos sacos ou vários insetos interrompeu mais no outro campo aqui também há ainda um aumento de 100 vezes a ideia que agora é nossa os certos inter ouviu lares os alvéolos que sacos ao vários lembrando que lá na água branca a gente acabou de lebrão quebrou um quilo a última porção da condutora do banco já falou que seria bom que o terminal quando começa a aparecer os véus no brasil a gente tem uma cor respiratória que depois vai se abrir vai-se alargando cada vez mais duplos
alveolares que depois acusou regulares que são estruturas formada por vários alvéolos e houver um sabiá subiu septo inter ouviu lá ele é muito fininho exatamente para facilitar a troca gasosa eu deixei a imagem aqui desfocada propositalmente porque eu queria mostrar aqui a quantidade de capilares sanguíneos que existem nestes insetos quando diz foco a imagem dá para observar aqui olha essas bolinhas pequenas que estão brilhando são hemácias não dá pra ver a quantidade de márcio nesse certos interrompeu o nariz essas armas estão dentro de capilares sanguíneos são os menores base como é que existe no nosso
corpo e chamou a atenção dele está em contato direto aqui com o certo é bem pequenininha e já está em contato direto com a célula que vai repetir a a a camada que oxigênio e gás carbônico e tem que atravessar bem pequena bom passar por um aumento de 400 vezes a explorar melhor as células que compõem esses insetos agora então um aumento de 400 vezes para detalhar melhor que compõem e certos inter o meu lar explicar a estrutura dessa certo aqui tem um certo de um lado novela por outro lado o papel que passa o
gás carbônico é o pulmão ele tem dois tipos básicos de células que compõem que os órgãos que são chamadas opinião bom se é este opinião gosto do tipo 1 e que não mostra o tipo 2 o pneu gosto do tipo no ele é uma célula achatada pavimentou rosa e citou o ponto nunca dele a gente praticamente só de um núcleo mas ficou claro não seria contínuo é uma selva que a posição é basicamente fazer o revestimento do véu e participar das trocas gasosas aqui eu tenho opinião mostra do tipo 1 aqui aparece outro que não
gosta do tipo 1a que mais um todas essas regiões que são recebidas aqui porque a gente consiga visualizar o hotel hilton hotel que eu mostro do tipo 1 o outro do tipo 2 ele já vai ser uma célula mais arredondada como essa daqui número redondo maior citoplasma é característico de célula que produz tem até muito retículo endoplasmático ea função básica desse que não mostro do tipo 2 é produzir uma substância chamada de surfactante que é uma mistura de de bico proteínas do mundo e tem como função básica vai revestir esse mundo vai ver se a
superfície desse saudável e diminuir a tensão superficial com água com isso evito com o abafamento os alvéolos durante a expiração então aqui eu tenho que eu gosto do tipo 2 parece ser outro é comum ea gente costuma encontrar bastante quantidade no no pulmão é uma sala do sistema imune que é uma prova de que a função é fazer com a gostosa de partículas estranhas mas nessa lama ea gente não vai conseguir visualizar diferenciar bem um painel mostra do tipo 2 ou uma prova porque eles têm um formato parecido a corporação também vai ser parecida já
que se trata aqui de um animal de laboratório está no ambiente limpo se fosse uma mão de uma pessoa que mora em um lugar muito poluído o fumante ele provoca ele certamente irá apresentar vários danos seriam partículas de carvão e evitou plasma ficar escuro a gente também chama de saúde poeira então aqui só que pode ser com um pneu mostra do tipo 2 ou no próprio chamar a atenção formato é parecido vamos focar aqui novamente para mostrar a chamar a atenção das hemácias nova descobre que a quantidade de capilares sanguíneos presente nesses insetos aqui tem
um capilar importa onde não aparece de baixas aqui aparece outro em corte transversal então a barreira hemato aérea que a barreira que sangue é proxy gênio muito gás carbônico tem que atravessar é basicamente composta pelo endotélio do vaso sanguíneo já é bem fino o paul é a membrana plasmática do plasma do df mostra do tipo 1 também tinha o impactante então é uma camada bem fina isso facilita que as tropas das rosas não dá pra ver essa lâmina por conta da colaboração mas também há uma presença de grande de grande quantidade de fibras elásticas aquino
nesse septo central de velórios e cissé essas fibras elásticas vai permitir a uma dilatação ea retroação elástica do pulmão tem uma função muito importante mas para visualizá las a gente precisaria de uma couraça específica vai falar também que vai ficar aqui em tons de rosa não foi isso o google campo menor aumento só pra gente ter novamente uma visão geral e fechar a festa joão finalizando aqui só pra gente comparar maio mais uma última mesa 14 da escola as glândulas e aqui uma artéria que é o que eu chamei a atenção que vem é daquelas
pregas e apresenta camada muscular e volta mari os sacos auveolares separados por certo sempre inter ao vê las então isso que demonstrar solana agradeço a atenção de todos e até a próxima videoaula