olá pessoal é continuando o estudo sistema reprodutor masculino a gente vai ver nessa videoaula a lâmina de testículo que é uma gota do sistema reprodutor masculino que tem como função a produção do gameta masculino que é o espermatozóide e também da produção de hormônios chamadas de andrógenos ou androgênios na principalmente testosterona essas células germinativas estão localizadas em tubos que a gente chama de tubos semi tiros em vários desses poucos esses tubos são enoveladas toda a gente pode cortá los várias vezes entre essas células germinativas aqui vai ter células de sustentação que a gente vai falar
daqui a pouco tem uma sequência de maturação e começa desde lado do período fetal é depois é uma parada continua durante a puberdade por estímulo hormonal e ele é um órgão que é envolvido por por camadas por cápsulas nessa lâmina dá pra gente ver algumas delas está um pouco arrebentado mas acata a camada mais interna que reveste o testículo que seria se daquilo que é uma camada de tecido conjuntivo rico em fibras colágenas é a chamada túnica albugínea tem esse mesmo nome lá no ovário que tem muitas estruturas se vocês forem estudar parte da embriologia
do sistema genital é muito semelhante não conheço às vezes são nomes parecidos aqui a túnica albugínea aquela reveste internamente em humanos essa túnica albugínea ela vai é ela vai emitir imaginações formando septos que vai separar o testículo em vários logos incompletos como essa lâmina que é de um outro animal que que não apresentasse certos a gente não vai conseguir visualizar mas só chamando atenção então que que os séculos então partiriam como invadir nações aqui da túnica albugínea uma outra camada que é que ela está bem e relatada na verdade mas seria o que a gente
chama de túnica vaginal seria essa região aqui um pouco mais externa esse nome pública vaginal não tem nada a ver com vagina ela tem a ver com invaginação que quando lembrando que os testículos eles são produzidos dentro da cavidade corporal e quando a descida dos testículos ele leva uma parte do peritônio tanto peritônio visceral quanto pepitone parietal o peritônio visceral que seria mesmo o peritônio é uma membrana optei por um momento simples ele a parte dele será o dele ficaria aderida aqui a tônica ao génio ea participar e tal ficaria à deriva que é esse
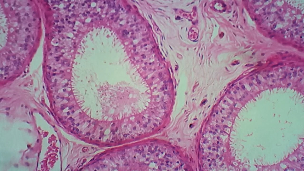
músico tem um músico que a gente chama de músico cremaster no flickr e masp ele auxilia um pouco na manutenção a regulação da temperatura testicular que é um fator importante mas lembrando aqui então que esse espaço não é tão grande a ciência que um artefato aqui de técnica voltando agora para os tons e ministros então a gente tem vários públicos e ministérios enoveladas olha se eu for passando aqui está no aumento de 40 vezes tá ele e vai ser totalmente formado por tubos esses tubos eles têm uma luz o homem central que é onde ficam
os espermatozóides e tem uma série de células em volta que lembram um epitélio entanto que alguns autores classifica como um epitélio estratificado especial embora não entre nessa na classificação clássica que decida por ele ao eu vou colocar agora no objetivo maior para ver se a gente consegue começar a identificar essas células há somente disso aqui entre esses pulmão semy ferraz olha também têm tecido conjuntivo é que ele está um pouco retraído aqui também sofre de fato da técnica nesse tecido conjuntivo a gente vai encontrar vasos sanguíneos e células intersticiais também chamadas de células e lady
que são as células que produzem testosterona o hormônio masculino então agora sim passando por um momento e sem vida dá pra gente observar melhor algumas dessas células é aqui o tecido conjuntivo inter se ao que eu falei em vários núcleos não dá pra gente diferencia bem é que as células mas aqui que a gente encontra células intersticiais também vai encontrar fibroblastos mas não está bem preservado é que a célula produz testosterona e volta isso tudo aqui então é um tubo ser ministro e dentro do tubo e ministro essas essas células aqui a gente vai ter
as células da linhagem germinativa ou seja são as células que vão originar no final da meta masculina que é o que é o espermatozóide e células epiteliais que vão dar sustentação que vão ajudar a manter esse processo relembrando as células germinativas na sequência é elas começam de espermatozóide a ter na tosse tos espermática diz espermatozóides durante esse processo elas passam um ex processo que a gente mude espermatozóide gênese ela passa por etapas de divisões mitótico as asper matou moniz nestas primeiras aqui a serem produzidas são as que estão apoiadas nessa membrana basal elas sofrem divisões
mitótico as para renovar a essas células diferente do que acontece na mulher que não não acontece renovação de hormônios é o mesmo número desde o nascimento a ela vai perdendo com essas células até à morte um homem não elas são renovadas continuamente é tão aqui sistema torrones essas perguntas agonias quando elas é do clickon dna aumentam de tamanho e se tornam os espermatóforos sitos que a gente chama de sistema tóxicas primários que ficou mais ou menos nessa localização aqui que são células maiores e são as células que vão sofrer a primeira divisão em ótica é
que eu tô contando mais ou menos para a posição para depois ou tenta identificar melhor essas células mas aqui não tá dando pra identificar muito bem essa que com certeza são as perguntou o nis aqueles que matou sitos existem relatórios primários e secundários a diferença é que o espírito disse matolcsy do primário para secundário acontece a 1ª divisão meióticas o que reduz o número de cromossomos a metade embora eles ainda estejam com a quantidade de dna pareada depois é esse ser na tocha sobre a segunda divisão na ótica se tornando espermática diz que isso algumas
células que vão perdendo aquela forma característica arredondada já para formar os espermatozóides essa etapa de espermatozóides no secundário para espermática de a gente chama de meiose é a melhor 2 seria a segunda divisão na ótica aí se informando da metas a toy diz e a última etapa que seria de esperar mate de paris ter mutações maduros é chamada de e se permitir gênese que não há mais divisão celular apenas mudança de forma da célula ela começa a ter um núcleo condensa um pouco ela perde parte do citoplasma é com é formado flagelo então essas são
as alterações básicas e entre essas células germinativas aqui entre elas a gente vai ter algumas células que vão dar suporte que são chave que não fazem parte das células germinativas que a gente chama de células e sertoli então eu vou colocar em aumento maior em alguma outra região e vou tentar identificar melhor essas células agora falei de uma maneira geral agora vamos tentar mostrar las aqui no microscópio bem agora num aumento de 400 vezes a gente está com um zoom aqui numa parte de um tubo foi ministro aqui só para localizar a luz ou no
man está cheio de espermatozóides aqui o terceiro intersticial está um pouco arrebentando e aqui as células que compõem o turmas e ministro a gente vai ver as células da linhagem germinativa na sequência ea célula de ser tony benn essas células isso aqui seria membrana basal ou lâmina vazão tacos e para então o que o tornou se ministro do tecido inter se ao que é tecido conjuntivo essas células que estão a marcar um pouco mais arredondadas e apoiadas diretamente é que sobre a membrana basal a gente chama de espermatozóide goiás que são as primeiras células dessa
linhagem existem tipos diferentes de espermatozóides que a gente não vai abordar aqui nesse momento bem diz ter matou o nih a lembra que ela a próxima fase é o sistema tosse tu mas perguntou ganha dobra o número de dna cresce e se torna espermatóforos primário que seriam essas células aqui ó que são bem maiores aqui próximas o sisterma tosse primário vai sofrer primeira divisão melhor dica formando espermatóforos secundários que já não está mais aqui na região superficial que já tem e já são células haplóides porém ainda tem é a quantidade dupla de dna e os
espermatóforos secundários eles vão sofrer a segunda divisão 6 óptica para dar origem a essas células e que já estão com formato um pouco diferenciado que são a sister na ti diz e por último a sister matias não mais se dividem elas agora apenas sofre modificação morfológica que a gente chama de exterminação ou e se permitiu a génese na escola na qual ela vai o núcleo vai se condensar o complexo de golgi vai formar uma vesícula por os homi k aqui na frente as mitocôndrias migram para base do flagelo a forma flagelo enfim vai formar o
espermatozóide que aos poucos vai sendo liberado aqui nessa região central junto com o líquido e parte dessa dessas temáticas são perdidas do citoplasma que são eliminadas mas elas não ficam soltas aqui entra a coordenar todo este processo tem as células de suporte que são as células de sertoli são essas aqui ó elas têm como característica principal um núcleo o pálido se a gente comparar com os outros olhos e nunca é mais denso e que dá prazer no nucléolo bem evidente estão geralmente próximas a membrana casal então isso aqui é uma célula de sertoli olha aqui
embaixo tem outra célula de sertoli aqui tem outra célula de ser tony não dá pra ver que mas essas células e sertoli elas emitem várias projeções que vão organizar essa essas células germinativas em camadas então elas criam e além de criar compartimentos separados também aqui no testículo uma das funções aqui dentro do cemitério como já falei que durante esse processo de extermínio génese parte do citoplasma andar intermat já perdido uma das funções dessa célula é fazer a reabsorção do do excesso de citoplasma aqui do excesso de líquido outra função é nutrição dessas células já que
a gente observa não têm vasos sanguíneos aqui dentro dos vasos sanguíneos ficam no tecido intersticial normalmente essa célula sertoli com o cartão os nutrientes e difunde esses nutrientes para as células que estão aqui dentro e elas também têm outra função importantíssima que é a criação de uma barreira que a gente chama de barreira e matou testicular é uma barreira do sistema imune que serve para proteger as células as células que depois que as células em relembrando a meiose uma das etapas da maior número as primeiras etapas da meiose a célula sofrem o crossing over que
são trocas dos segmentos de dna isso faz com que elas sejam geneticamente diferentes de outras células do nosso corpo por isso também podem apresentar moleques moléculas de superfície de membrana diferentes se não tivesse nenhum tipo de barreira aqui as células do sistema imune os anticorpos poderiam reconhecer essas células como estranhas e montar uma resposta imunológica que causaria destruição aqui dessa dessas células perguntas genéricas para evitar que isso aconteça a célula sertoli cria dois compartimentos separados mas que não está mostrando mas por exemplo vamos supor que aqui tem uma célula do sertoli e aqui estaria outra
ela emite do dois prolongamentos um por um lado um pro outro e eles se unem através de junções de oclusão função de oclusão ela veda ao espaço ela impede a passagem de substância de moléculas inclusive de anticorpos de um lado para o outro então só ficam aqui embaixo a ela divide em dois compartimentos que a gente passa a chamar de compartimento é basal e compartimento me now ou adnominal num compartimento basal estão as células que ainda não passaram pelo processo de classe ou então a gente vai encontrar super matou o nis e pode encontrar ainda
um espermatozóide do primário antes de lhe fazer o processo de próximo e após essa etapa essas células passam para a porção mais interna que é que está protegida do sistema imunológico claro que existem mecanismos que controlam isso essas células liberam enzimas que quebram como se fosse um zíper elas vão abrindo essas funções de inclusão passam ea junção de inclusão fecha novamente então isso cria um mecanismo de proteção outra função importante da célula de sertoli é produzir uma proteína chamada a bt é proteína ligadura de andrógeno que ela tem uma afinidade muito grande por testosterona por
androgênios e lembrando que a testosterona é importante pra que haja espermatozóides porém a testosterona produzida do lado de fora eu vou chegar aqui pro lado só pra mostrar melhor o o tecido intersticial que ele está aqui a melhor em três tubos e ministério está só pra gente se localizar parte de um tubo seu ministro aqui outro todo o seu ministro e outro aqui isso aqui no meio só é o tecido intersticial como célula sentenciais também chamadas de células de leite que são as células que vão produzir testosterona têm treinado sanguíneos parte dessas pessoas telona vai
para os vasos sanguíneos e daí pra para várias regiões do corpo onde vão ser responsáveis por exemplo pelas características sexuais secundárias masculinas outra parte dessa testosterona têm que entrar aqui é no tubo feminino e ela pode entrar por difusão mas em pequena quantidade com essa proteína a dt ela se liga com com a testosterona com androgênio deixando ele mais concentrado aqui na parte interna o que estimula as perguntas gênese se tiver uma diminuição da do milho de testosterona ou domingo dessa proteína bp as perguntas gene pode diminuir a sua intensidade ou até mesmo parar na
outra coisa que faltou falar outra célula importante são algumas células bem fininhas que ficam que o núcleo pavimentou achatado bem fina que na periferia do lado de fora que da membrana basal que a gente chama de células myoi diz que são células que têm uma capacidade contrátil então ela de certa forma também auxiliam no transporte dos espermatozóides lembrando que nessa etapa voltar equipamento menor nessa os espermatozóides ainda não tem movimento de flagelo ainda não estão não sofrer um processo de maturação que só vai ocorrer lá e pedimos então eles ficam soltos aqui bem aqui nessa
região por ele não tem movimentos é como então que eles são transportados neto epidídimo em parte pela contração das células melhor diz em parte pela própria produção contínua nos espermatozóides e líquido que vai impulsionando eles pra frente em direção a uma estrutura que infelizmente não dá pra gente vê aqui mas nos livros vocês vão ver que a rede testicular da rede testicular vai para os tubos referentes que esses são os tubos que a gente chama de dutos e entrou testiculares e os duplos diferentes vão ligar a um idioma que é onde ocorre a maturação e
tem uma outra vídeo aula e que mostra como esse processo ocorre novamente aquino aventura geral do testículo tão testículo formado por vários tubos e ministros cada tubos e mineiro com têm dentro deles selvas semusa linhagem germinadas ivan que incluem espermatogônias sistema tóxico primário secundário espermático de espermatozóides e células de suporte e são as células e sertório e o tecido intersticial que tem as células intersticiais onde lady e produzem testosterona e é envolvido por membranas não é como a gente já observou antes mais detalhes com relação à parte hormonal é importante tal o eixo hipotálamo hipófise
testículo mas isso não vai dar tempo da gente vê nessa videoaulas sugiro que vocês pesquisa em livros e qualquer coisa tirar dúvidas com a gente aqui no laboratório