olá pessoal hoje vamos ver a lâmina de intestino delgado só que assim como fizemos com as aulas anteriores vamos primeiro passar para o modelo e depois a gente volta pra cá e vamos observar o intestino delgado agora no modelo ou mesmo a gente utilizou para mostrar o jogo no estômago agora esta região aqui está então corte equivale a um corte longitudinal aqui da parede do intestino delgado aqui à luz o homem conforme já foi mostrado é nas outras porções do trato gastrointestinal também vai ser composto com uma camada no cosa é essa daqui submucosa muscular
externa e serosa ou advertisse no caso da mucosa do intestino delgado ele apresenta algumas e raj nações da mucosa aqui a superfície seria aqui que eu tô passando a caneta é que meu dedo daqui pra cima seria uma imaginações relativa de velocidades e daqui da superfície para baixo da minha própria a gente tem relações que são as lâmpadas intestinais então isso é uma característica importante porque só é encontrada no intestino delgado ele é o único que apresenta essas velocidades então lembra velocidade é uma uma repaginação da tônica não coça composta por um epitélio e lâmina
própria que é diferente de prega prega é uma dobra tanto da camada subir no poste enquanto da mucosa e é bem maior e vai ser visível que a marca aos cofres da mente as suas pregas no intestino delgado também tem pregas mas esse modelo não representou na morada da serra vermelha vai ser um eixo de tecido conjuntivo tem esse modelo não modelado com esse assunto cosa e revestido pela chamada não posso então aqui a gente tem curiosidades revestidas por critério se limpe com simples que vai ter sol na califórnia também produz muco e as enganações
são a glândula com as glândulas intestinais ou glândulas do líber com aqui é muscular da mucosa que a última porção da camada no pós o limite dela que é formada por um fio liso daqui pra baixo tecido conjuntivo denso não modelado que é submucosa que pode ou não apresentar lulas que a gente vai ver na lâmina é que a gente vai observar o ano de 2011 no caso do dem vai apresentar algumas glândulas nessa região que são as lâmpadas do de naja glândulas brunner já se a gente estivesse observando uma joana de junho ou de
íleo são opções também no intestino delgado não teria amplas mas o resto da estrutura seria mesmo bem parecido então camada sobre o posa muscular e serna agora com duas camadas uma uma circular interna e uma loja original externa e à camada mais externa que vai ser a acerola adventícia serosa se for uma porção do intestino delgado intraperitonial com juju milho e advent se esse era o correcto ou peritoneal como a maior parte do bando que aí seria solta se do conjuntivo saiu do hotel então vamos para lá agora para ver mais detalhes aqui no ano
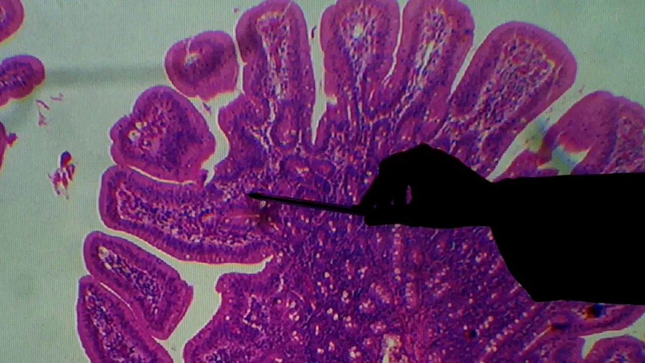
temos um corte transversal do dendo que a opção inicial do intestino delgado lembrando tem rodeia juno e milho que também apresentam algumas características biológicas diferentes mas o objetivo dessa vídeo-aula falar de uma maneira mais geral então olha hoje estou usando um modelo como esse aqui é o corte dele inteiro amores o homem e as quatro camadas que nós já descrevemos camada no cosa submucosa essa mais falha daqui muscular externa ea serosa numa travessa momento está arrebentada essa imagem externa de estômago intestino delgado também apresenta várias obras que são as pregas intestinais que também contou com
da mesma maneira que a gente numa lâmina de estômago estas praias apresentam um eixo de ter sido o motivo que assumimos rosa e certamente está nada honrosa agora com a diferença de todo o trato gastrointestinal que só existe aqui no caso do intestino delgado é a presença dessas projeções aqui essas nações nada um posa ou seja de pele na própria apenas que a gente chama de velocidades essas velocidades servem para aumentar a superfície de contato da célula com o meio externo e com isso vai ter uma superfície maior contato pra a solução e também para
a gestão vou colocar agora no aumento maior para a gente ter uma idéia de com essa estrutura se organizam a só mostrando aqui que a gente pode ter com o corte normal como está aqui como também pode encontrar alguns fragmentos é alguns cortes transversais que parecem fragmentos aqui duas velocidades sykora foi em três dimensões a gente pega apenas na superfície semelhante isso coisa aqui é o ideal na hora de observar landu é procurar uma região que ele esteja inteiro obrigado aqui ou na velocidade ou na prega isso é uma prévia cada projeção uma novidade ou
nessa região que estão colocando agora quanto maior a questão aumento de 40 vezes a gente está vendo a borda de uma pedra aqui do destino como eixo central de submucosa e revestindo certamente camada no coisa o etéreo que reveste a gente consegue observar nessa região é uma bactéria cilíndrico com o selo halal tão simples que até apenas uma camada ac atacou logo abaixo do ministério tem a a lâmina própria que o tecido conjuntivo falso e nesse caso do intestino ele tem bastante saúde tem muitas células linfóides espalhadas aqui pode encontrar em força popular mostra uma
prova favor espalhados por várias regiões essa taxa aqui serviço tração é isso aqui desse lado a coisa tá aqui pra cima tem algumas reservas de nações são projeções externas desse critério e alana própria camada nebulosa é trazer na geração e rosa é o que a gente chama de velocidades então isso aqui é uma velocidade e só que outra velocidade aqui é outra essas já as imaginações traçar uma linha ascendente das funções da etérea aqui imaginando forma as glândulas intestinais ou plano os libertou que o critério que vai ser o mesmo também servir ea gente também
que começa a observar agora umas almas como ponto um pontinho mês branca estava aqui que são as células falciformes vão produzir um gol mandando no celular aqui também tem essa estrutura vai ser comum a todo o gado não importa se a gente vai ver os dois chegou ele o que vai variar 29 de junho essa espera essas velocidades não ser mais finas e e à medida que vai se aproximando do colo vai servir para aumentar a quantidade de células falciforme que é que vai ter um notebook ou um com suas características então a máquina chamada
um coisa aqui embaixo essa faixa rosa desse lado esse aqui é a camada muscular da proposta então aqui é o limite da camponesa muscular na mucosa aqui a moção plano larfaoui tele 5 cilindros são os caras se forme lembrando que se trata de links em cada sala outras recebe o nome de iperó se do inter o passado intestinal com capacidade de absorção por causa da secreção e absorção que também necessitam consensos digestivas além das meninas que qualquer modelo alega ser observado cedo ou culpa grave e aqui nesse eixo central disso de rosa pode ser um
pouco mais uma característica que é exclusiva do momento pensamos observando é a presença de planos tão somente mudou dentro a gente encontra glândulas na camada subiu por causa dessas bandas recebe o nome de plântulas duodenais ou planos de boné e é secreta um clique do rio é e bicarbonato que ajuda juntamente com a seleção prática vai ajudar a neutralizar as idéias que venham que podem corresponder estão descendo um pouco mais aqui ainda através de outras chamadas então toda esta tarde que está um pouco a rebentar do estudo isso aqui é a camada então submucosa ela
continua pra cá segundo rosa que é cheio de planos às vezes essas lâmpadas têm vaga um pouco aqui dá da camada muscular na mucosa polícia de 120 no limite do queijo duas com o tecido conjuntivo também em rosas camboinhas e também causou impacto já que faço muita solução tanto de nutrientes quanto o de pilotos com mais enfático e aqui formada muscular externa tem uma camada circular a pé não tinha um sorriso e uma camada longitudinal serra e entre as duas o plexo mil internos esse complexo império como já falei antes não está presente também todo
o trato gastrointestinal é responsável pela utilidade de se transportar externa normalmente a tomada circular interna ela pelo contrário ela diminui com o homem aqui e é importante mas para a mistura o alimento com sombra cônsul pancreáticas portugal chega nessa região já a união das duas a contratação desses dois terços das instaladas musculares porém essa coordenada ao movimento percepção de risco para funcionar o alimento em direção ao anos e mais e não estava adaptado à equipe da histeria cancerosa que é com folga a chave é a mesma que a gente encontra no estômago mesmo tipo de
critério que equivale ao território visceral foto terry pavimento simples e uma camada de tecido com o objetivo então voltar agora para a camada um coça das pampas e colocar um aumento maior para a gente ver mais deixar essas características das células que 90 de cem vezes mostrando em detalhes curiosidade e aqui que é uma ampla a imaginação do comando na velocidade ou por curiosidade e as reservas nações informando aos planos orlando anos investi nice ou bancos de libertar sambando os populares embora não consiga ser bem limite delas aqui aqui já dá pra ver melhor formato
das selvas a questão de critério e critério simples uma única camada de células e as células são cilíndricas e elas são chamadas de iperó sitos faz células especializadas na função e também na secreção algumas enzimas [Música] depois de almoçar com medo maior elas também vão apresentar uma borda espuma aqui somente para velocidades que também favorece o aumento da superfície de contato e absorção é interessante diferenciar aquele muita gente confunde o que é uma prega o que é uma velocidade e fica uma bíblia velocidade todas essas estruturas têm intenção de aumentar a superfície de contato no
caso da prega é o que mostrou um aumento menor é o conjunto é a dobra do aclamado subiu roça com a mucosa junta as duas são o eixo pessoas rosa e envolta em causa era bem grande dá pra ver com o nosso pacote também virou realidade é uma projeção apenas da camada aquosa e velho elano na própria daquele tecido conjuntivo chefe células de defesa também m provê-los idade são projeções de cada célula erótico aqui projeções da membrana no citoplasma não dá pra ver esse aumento agora ou depois eu coloco maior pra gente ver meu é
outra característica que às vezes algumas pessoas confundem essa lâmina é que eu posso falar eu também nunca aqui tô vendo outro mundo resulta na altura diferentes às vezes algumas pessoas confundem quando teve que ser modificada ou estratificado aí a dica essas lutas aqui como são mais procurados mais escuros eles não são das células epiteliais podemos mudando a forma para ver se todos esses roupas aqui bem pequenininhos e densos são núcleos de células de defesa sem rostos impostos em três terminais é uma área que é normalmente usado como as bactérias não tributação de defesa isso é
normal se ela entrar em acção será obrigatória mais um núcleo da célula epitelial é esse na história do fundo de forma simples cilíndrico e alguma ea gente começa a encontrar algumas células a 15 com plasma óbitos balançado que essa localiza se forme uma célula produzimos bo normalmente é seca 10 que o morro quando a gente está apertada uma lâmpada de sol então fica a negativa que como essas bolinhas brancas foi uma das celas telefones então isso aqui pilosidade aqui embaixo a glândula daqui tudo isso que seria parte do bando à parte da glândula não daria
uma inteira está parado por exemplo o início de um ataque cheio de células cada se fox e inter ou se iniciado em aqui nessa região muscular da famosa na faixa rosa mais clarinha bem fina e aqui que ele rosa com a sua loja boné ou blanco ânsia de poder mais vou passar agora por um metro 400 vezes para diferenciar melhor essa lista aqui um aumento de 400 vezes nos tornamos um bem grande aqui de uma velocidade dá conta de uma velocidade que agora sim dá para ver bem as células epiteliais aqui seria mais ou menos
a posição da membrana basal aqui o núcleo dessas células epiteliais estou quase a uma célula bem longa característica já cresce no mundo e colocou na é uma única camada de células por exemplo é simples e essa bola em cima uma camada parece um empate um pouquinho mais distintas deles a gente tem que mexer aquino micrométrico província agora parece um pouco uma faixa um pouco mais furada que acham que a gente chama de porta escova que são as micro velocidades não dá pra entender com as cópias de longe sua mãe postou eletrônica mas dá pra mim
essa bota mais escura que fique para sempre com novidades e isso tudo aqui uma velocidade é uma dobra da camada mucosa o eixo de lâmina própria tecido conjuntivo frouxo e aqui são os que falam na própria a gente observa tem vários fatores são filhos jack já que facilita a dissolução e também muita saúde e defesa aqui vai estar misturado e force uma trofa com as mostras é comum em várias dessas células essa vitória estados unidos e organizando lá na mais trabalho formando novos ou políticos novos uniformes e elas fazem parte de um conjunto de tecido
linfóide associado à mucosa mal tive como a gente queria falar de outra ó nesse caso especializada do intestino intestino inglês que antes estava vencido e porte associadas investiram grandes daí a sigla ficaria gault vamos fazer um pacto para finalizar voltei aqui ó aumento de 40 vezes numa região que dá pra ver as quatro camadas lembrando aqui essa dobra da sudema coisas a imaginação é uma prega revestida por camada rosa e aqui aqui dá pra ver melhor teve um corte mais o público cada imaginação de uma coisa investida critério é uma velocidade e tele o clube
na própria cada imaginação aqui na camada córnea é uma glândula landa intestinal aqui a muscular da mucosa que está um pouco acidentado e na camada subclávia como essa média moderna onde oito professoras bom demais se fosse já não ele queria só desse coletivo e muscular externa lulista com a amada circular interna e longitudinal estréia tanto entre as duas do sexo nervoso união e térmico e mais internamente é que está arrebentando mas a mesma cuba da mesma maneira que nós vimos na lâmina de estômago é acamada serosa que equivale a camada visceral no peritônio então é
isso que nós vamos ver essa lâmina agradeço a atenção e na próxima aula - e visualizar a única de investir grosso