olá pessoal sejam bem-vindos novamente hoje vamos mostrar uma lâmina do timo que é um órgão do sistema linfóide no caso aqui essa lâmina é de um animal jovem equivalente a uma criança é toda essa parte rocha a maior parte aqui é um se deve à riqueza de linfócitos já que esse é um órgão que vai fazer a maturação de linfócitos t falei que é de criança é diferente do órgão do time de um adulto que ele só se a evolução e se a gente tivesse observando a lâmina de um adulto a gente veria poucas células
limpou por poucos impostos cansados no parênquima e uma grande quantidade excessiva de pouso ainda nesse aumento menor da produção servirá uma região mais pálida no centro uma região mais escura em volta e vários lobos bem anatomicamente uma apresenta dois lobos anatômicos e estão logicamente vários lobos que são parcialmente separados o time envolvido depois eu vou colocar um aumento maior mas só pra ter uma noção que ele vai ser envolvido por uma cápsula de tecido conjuntivo essa cápsula vai emitir várias invadir nações que são certos ao tabaco luz que vai dividir parcialmente o último em vários
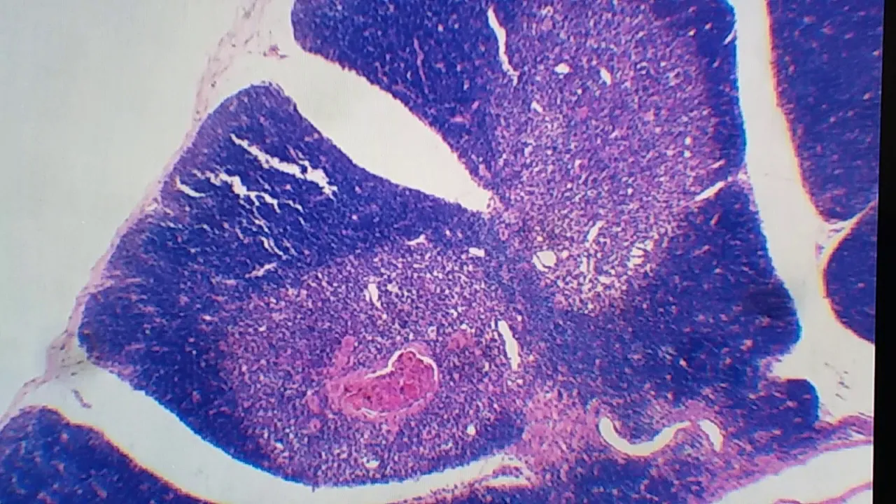
longos esses lobos vão apresentar uma região central mais pálida e uma região periférica mais escura e eles vão ser reunidos nessa região central então mostrar agora num momento de 40 vezes aqui no aumento de 40 vezes focando dois lobos a gente vê externamente tampouco arrebentado mas dá pra ver uma parte da cápsula geralmente a cápsula é formada por tecido conjuntivo pode variar de deus ou frouxo é emitir várias invasões nações também está arrebentado mas dá pra ver o espaço que ela ocuparia e essa sim vacinações da da cápsula que a gente chama de certos ou
trabéculas que vai separar esses lobos parcialmente também dá pra ver que com bem claramente a diferença da região central que mais pálida ea região cortical mais escura essa diferença de cor se deve principalmente a densidade de linfócitos é normalmente essa região periférica da região corpo na zona cortical do timo ela é mais densa tem uma quantidade maior de linfócitos principalmente linfócitos imaturos que são menores com núcleos mais densos por isso apresenta coloração azulada mais intensa e com poucas células epiteliais em volta já na região central a gente encontra uma quantidade menor de linfócitos geralmente estes
linfócitos são um pouco maiores com nunca mais pálido e proporcionalmente uma quantidade maior de células recuarem sectoriais uma característica importante do timo é que ele é uma exceção entre a maioria dos órgãos que ele apresenta um estroma de tecido epitelial só lembrando que queremos definir a definição de um sintoma e parênquima várias vezes esses temas não se repetir quando a gente vem falando de órgãos a gente chama de parente mann as células que vão exercer seus principais que são responsáveis pela função do órgão no caso aqui do time o parente mas seriam os reforços estoma
o tecido que dá suporte a suporte tanto estrutural quanto no profissional ou mecânico no caso da maioria do tecido suporte feito pelo tecido conjuntivo no último devido à sua origem embrionária ser diferente também ele vai ser formar essa é se esses tropa vai ser formado por células epiteliais então no meio a gente com tecido conjuntivo apenas na cápsula e na tabela enquanto aqui no meio entre essas células não tem tecido conjuntivo o que dá suporte é que vão ser as células epiteliais que a gente chama de células recuar e epiteliais essas células vão ser mais
pálidas onde rosa depois eu mostro um momento maior e eu vou apresentar várias projeções que vai ajudar também separar os compartimentos do timo outra característica que dá para visualizar nesse aumento menor que é característica exclusiva do time também ajuda a diferenciar de outros órgãos linfóides essa estrutura que no centro bem o sino filipina que a gente chama de corpo tímico ou corpúsculo de ra's al que é um conjunto de células recuar e sectoriais que se foi também produzem um pouco de queratina e ficam arredondadas pois é um outro também no momento maior vão passar agora
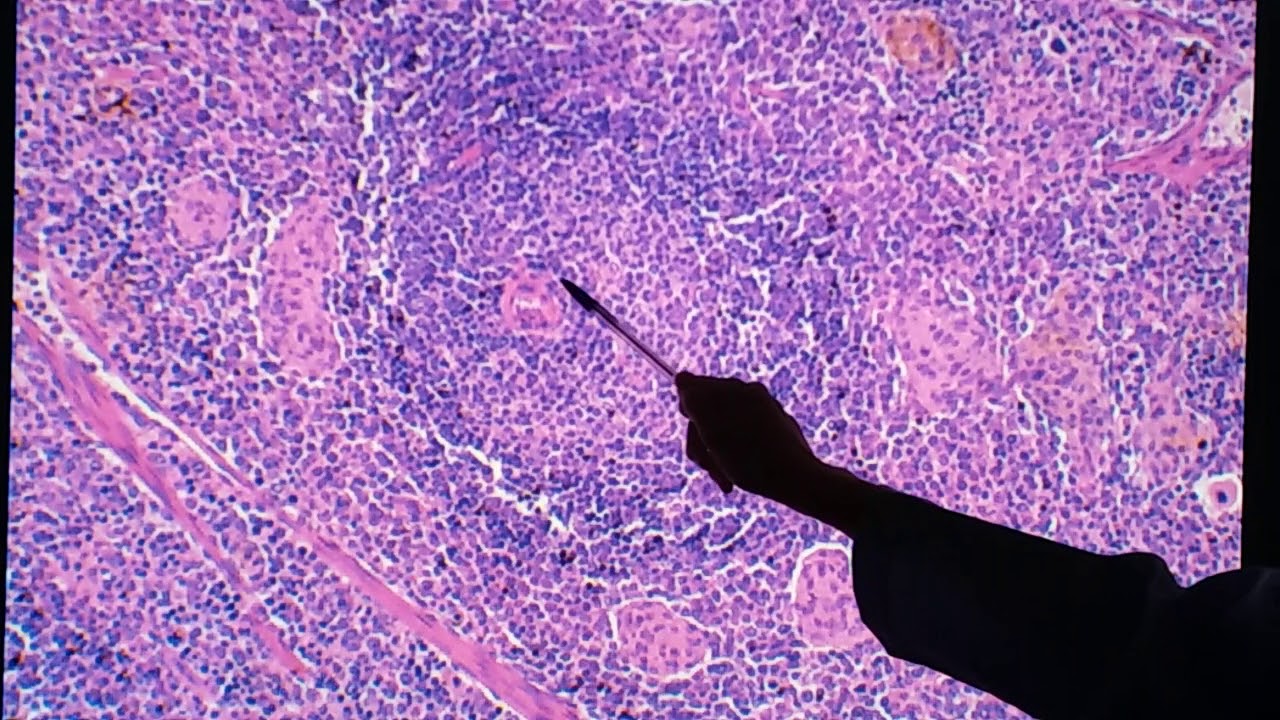
por um aumento de 100 vezes para ver mais alguns detalhes dessa lumina aqui no momento de cem vezes está focando mais um lobo que dá pra ver a diferença daqui ó da caneta para cima a gente tem a região cortical aqui da caneta para baixo a região medular que é uma das diferenças que fica mais fácil de visualizar é a cor mas já dá pra ver também a densidade celular todas essas futuras azuis são linfócitos imaturos lembrando que os linfócitos esses reforços são produzidos na medula óssea aqui principalmente essa maturação acontece na no feto na
criança né e eles me viram via sankhya sangue houve awazu eu não via vaso sanguíneo desculpa e chegam nessa região political ainda como reforços e imaturos durante esse processo à medida que eles vão atravessando na região cortical para a região medular por estímulo de de moléculas liberadas pelas células recuar e sectoriais ele vai sofrendo um processo de maturação durante esse processo de maturação várias células que se que forem autorreativos vão ser eliminadas por isso essa densidade menor de linfócito sakineh na região medular também dá pra veja algumas células com um tom de rosa aqui com
lucca no cláusula que são salvas reticulares em filiais a gente também pode encontrar alguns macrófagos e bem visível aqui o corpo o time com o corpo de ra's al e ser um conjunto de células e titulares arteriais unidas bom passar agora por um aumento de 400 vezes até o momento de 400 vezes focando na na região cooptar o botinho que dá prazer bem agora a densidade de encostas que nossas células conclui benso é bem assustado lado bastante baixo físico são impostas imaturos também uma riqueza de resposta de matos e os impostos por meio de programas
elas 11 núcleo maior mais fácil o plasma rosa que são as células recuo lares e filiais é com relação às células recores epiteliais elas não são células arredondada são células com vários prolongamentos como um fosse o maranhão foi um dedo e estes prolongamentos se fundem uns com os outros e os linfócitos ficam no meio desses prolongamentos então essas células recuo lares epiteliais elas formam como se fosse um arcabouço um esqueleto tecidual então assim elas vão funcionar como estroma do tecido já que a gente não tem conjuntivo aqui no meio entre ingressamos também dá para observar
em algumas regiões os vasos sanguíneos pequenos que são vasos que trazem estes linfócitos imaturos e a gente também tem nessa região alguns macrófagos são um pouco mais difíceis de serem visualizados por que eles têm os núcleos também pequenos a diferença é que geralmente um pouquinho mais pálido do que o núcleo do do linfócito vou passar agora para a região da região medular para a gente ver outras características um aumento de 400 vezes na região medular aqui pegando uma parte do corpo químico que dá pra ver que tenham algumas células mortas acúmulo de queratina é não
se sabe ao certo a função desse corpo tímico mas por ser formado por células regulares epiteliais acredita se que ele também faz parte do processo de maturação de impostos existem vários tipos de células seculares materiais diferentes que secretam moléculas diferentes elas não tem apenas função estrutural bem aqui além do corpo time que é o mais fácil aqui de visualizar aqui pra no região me doar em outras células e articulares materiais que dá pra ver bem e também algum núcleo bem grande o cléo núcleo pálido tomate no front e à parte do citoplasma rosa devido à
produção de filamentos intermediários e queratina já que é uma sala de origem epitelial e linfócitos aqui que se a gente comparar depois com com a região cortical é uma densidade menor uma quantidade menor de linfócitos eles já passaram aqui pela barreira de filtração maior parte de seus reforços já foram eliminados por apoptose então essas são algumas das características que dá pra gente diferenciar o primeiro corpo o time como presença de células e articulares arteriais uma densidade menor de linfócitos e também existem alguns uma prova assim como na região cortical embora seja um pouco também mais
difícil de diferenciar que são células que apresentam um núcleo um pouco mais pálido do que o núcleo dos linfócitos e não vão apresentar o citoplasma também no fico agora mostrando uma só um campo na transição dos dois para a gente encerrar semana nesse campo dá pra gente ver a transição entre região cortical que está aqui a esquerda e abaixo ea região medular do time mostrando bem a diferença é que com relação à densidade de linfócitos que é uma quantidade muito maior de linfócitos na região cortical do que na região medular e uma continha uma quantidade
um pouco maior de células e titulares epiteliais na região medular então é isso que a gente tinha para mostrar sobre timo até a próxima pessoa