olá pessoal bem vindos dando continuidade aos vídeos de sistema cardiovascular depois de ter visto no modelo sintético as túnicas que são os presentes nos vasos que vai começar a ver agora e nas lâminas esses vasos vai começar com artéria artéria de grande calibre lembrando que as artérias elas podem ser divididas histológica não apenas pelo tamanho mas estou logicamente também elas apresentam algumas alterações algumas diferenças em suas camadas elas podem ser até de grande médio e pequeno calibre ou aperta e luas nessa lâmina que a gente tem uma artéria de grande calibre é que porque podem
ser as artérias grande calibre sua horta as artérias pulmonares seus principais ramos tronco branca cefálico carótida comum subclávia ele a comum principalmente são basicamente as artérias que saem directamente do coração e que leva o sangue para os sistemas circulatório sistêmico em sistema pulmonar como elas estão se essas artérias estão sujeitas a grandes variações de pressão a parede dela vai está adaptada a essa variação de pressão ea principal característica é a lenda da espessura da parede é a riqueza em fibra elástica que a gente vai ver daqui a pouco é o que permite a essas artérias
se distender grande durante a as escolhidas entre collar já que ela recebe um grande volume de sangue e retrair a retração elástica durante a diástole ventricular então com isso essas artérias ajudam na estabilização da pressão e funcionam na condução do sangue com relação a gora a estrutura essa uma lâmina que tem uma coloração diferente está aqui não é uma toxina o zina é o tecnológico de mason e o objetivo de ter utilizado esse corante é que ele marcas as fibras elásticas em vermelho o restante fundo vai por aí as unhas fibras elásticas também destacada que
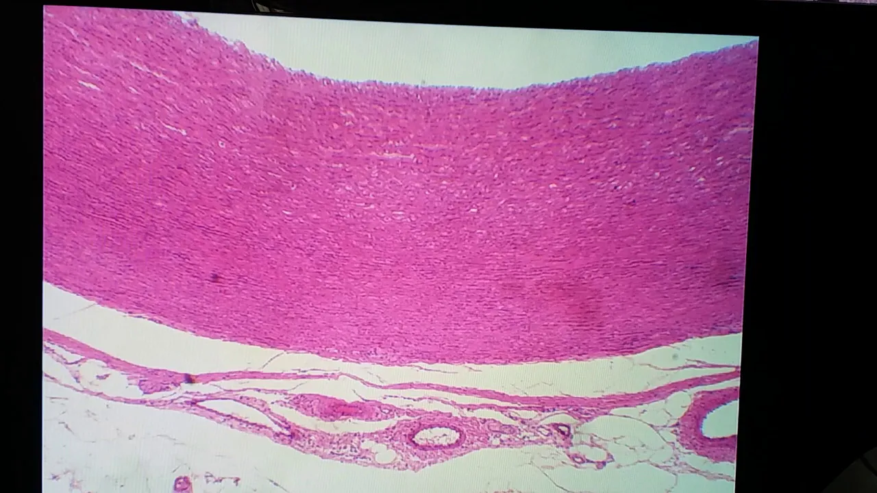
já dá pra ver aquele está no aumento de 40 vezes dá pra ver a espessura aqui tudo isso aqui em vermelho é fibra elástica e equivale a maior túnica dessa da artéria que a única média como a gente já viu um vídeo ao anterior só relembrando as três únicas com as clínicas íntima média que no caso aqui predomina fibra elástica e músculo e mais abaixo a gente teria túnica adventícia vou mostrar agora no maior aumento cada uma dessas clínicas no aumento de 400 vezes aqui mostrando os componentes a tônica íntima esse critério aqui em cima
olha com núcleos achatados pavimentou zos rother simples equivale a o endotélio pra que a gente está vendo a tônica aqui seria luz ou lúmen do vaso sanguíneo dessa das artérias de grande calibre aqui para fazendo parte da túnica íntima o endotélio epitélio pavimentou uso simples e logo abaixo que não dá para diferenciar muito bem em parte causa do corante que foi especial aqui para marcar fibra elástica então ele não correu bem conjuntivo mas isso aqui em baixo seria tecido conjuntivo subir em do trial que está abaixo do endotélio que também faz parte da tônica íntima
o limite entre túnica íntima e túnica média aqui vai que valerá a primeira camada de de fibra elástica primeira lamela que não tá muito visível mas se eu mexer um pouco aqueceu desfocar um pouco dá pra ver um pouco dá pra ver uma uma camada avermelhada e brilhosa que eu está brilhando um pouquinho isso aqui é a fibra elástica essa coloração da marca fibra elástica em tom de vermelho e geralmente a fibra elástica ela tem essa característica de apresentar uma sundow ações aqui aqui tão aqui não dá pra ver o limite admitido que já começa
a fibras elásticas aqui mas quando tiver a primeira camada de fibras elásticas contínua é o que a gente chamaria de lama elástica interna lembrando que não dá para visualizar aqui então túnica íntima composta pelo pev é estéreo reveste o vasco é o endotélio camada subindo terial e que não eo que não dá para diferenciar que seria lâmina elástica interna tudo aqui para baixo agora vai ser túnica média que vou mostrar em um campo melhor aqui a gente está vendo ainda no aumento de 400 vezes é uma região bem no meio da túnica média lembra que
ela é bem extensa a principal característica é a riqueza em fibra óptica que essa região avermelhada que o formando essas ondulações então tudo isso avermelhada que formando essas ondulações são fibras elásticas é o que permite a distensão dessa artéria ea retração elástica quando a pressão diminui além das fibras elásticas essa é essa a tônica média também apresenta um músculo liso como esse corante não é especializado para músculo fica apenas esse azulado aqui no fundo que não dá pra ver muito bem mas será que equivaleria a células musculares lisas que vão ser as células que vão
produzir as fibras elásticas também as fibras musculares então aqui não a gente não encontra fibras colágenas é mais fibra elástica e músculo liso eu vou descer agora para mostrar a última camada que é a tônica de notícia no aumento de 100 vezes aqui estão mostrando limite aqui na caneta aqui pra cima a gente tem a tônica média e daqui para baixo a túnica adventícia o limite entre as duas é quando a gente vai ter a última camada é contínua de fibra elástica que também não dá pra ver o limite nítido que seria lâmina elástica externa
e depois já começa uma camada onde tem uma quantidade maior de conjuntivo que esse tom azulado que é também vai ter algumas fibras elásticas algumas fibras musculares mas elas não são contínuas igual aqui na nature que a média tampouco arrebentando otan mas aí continua tudo isso aqui é a tônica adventícia e na túnica adventícia além do tecido conjuntivo a gente encontra um conjuntinho frouxo pode encontrar alguma célula de algumas células adiposas pode encontrar nervo que é o negro vaze o motor ele ajuda a controlar a vasoconstrição ou vasodilatação e também a gente encontra outros vasos
menores que servem para nutre essas camadas mais externas esses vasos a última de vazão ou vaso dos vasos entre esses vasos terão arteríolas aqui é uma anterior ver nulas sua vez menores e outros menores ainda que os capilares são todos esses vasos é para nutrir as camadas mais externas já que a camada mais interna pode ser nutrida pelo próprio sanguiné está fluindo ali dentro é vou mostrar uma outra lâmina agora só pra comparar ainda de artéria de grande calibre mais corada com a gaeta então a mesma artéria de grande calibre artéria elástica com uma toxina
usina luiz o homem pública íntima seria o endotélio que é que não dá para ver direito túnica média e túnica adventícia vai chamando atenção que é que já está dando pra ver na túnica adventícia o tecido conjuntivo frouxo com o erro o nervo vaso motor artérias e veias e capilares também não teriam as veias capilares e tecido adiposo e e são os vasos que a gente chama de vazou não um ou só dar um zoom aqui pra gente ter um pouquinho mais em detalhe como ficar em h é a fibra elástica momento de cem vezes
aqui já é um pouco mais difícil é da gente diferencial que é músculo e o keeffe de plástica por conta da coloração que os dois vão se curar de rosa por isso que eu utilizei aquela mina anteriormente com a colaboração de um assunto que ajuda a diferenciar mas mesmo assim o dá pra a gente vê aqui a característica principal da fibra elástica é são essas ondulações são todas essas fibras rosas onduladas aqui são fibras elásticas esses núcleos roxos que estão aqui no fundo são núcleos de fibras musculares lisas de músculo liso e o restante é
basicamente a mesma coisa que já tinha falado do problema nessa outra lâmina é uma lâmina de um feixe vasco nervoso tem vários nervos aqui do lado e uma artéria aqui em corte transversal uma artéria de médio calibre também chamada de artéria muscular que o equivalente a mais grande maioria das artérias do nosso corpo também chamadas de artérias e distribuição porque elas que controlam através da vasoconstrição ou vasodilatação o fluxo sanguíneo para um determinado órgão assim como as artérias de menor calibre as arteríolas ajudam a regulação da pressão arterial principalmente na regulação da terra é regulação
arterial periférica é com relação às queimadas é a mesma com as tomadas são as mesmas que a gente já viu aqui à luz o homem aqui tem um resto de sangue tac foi quando lado aqui é uma das características de artéria que também vai ajudar depois a diferenciar de veia é que por conta da riqueza de fibra elástica e fibra muscular a túnica íntima que essa mais interna ela não fica lisa ela faz essas ondulações aqui ó isso é uma das características também que ajuda a diferenciar téria de veia depois vou mostrar uma lâmina de
veia é toda essa parte é que agora a única média que é que nesse caso é rick músculo não em fibra elástica pois é 18 maior aumento ea que externamente tecido conjuntivo só chamando atenção que apareceu aqui do lado uma veia menor tac ó fazendo uma curva é faz parte também de vazou não se a gente comparar olha o endotélio da veia com o endotélio da artéria é o endotélio liso ele não tem ondulações e o da artéria com as ondulações colocar no maior aumento agora pra gente ver melhor essas camadas momento de cem vezes
aqui fica mais fácil de de observa as três únicas pública íntima característica que eu falei da artéria que ela é pregueada que forma as ondulações na reta esses núcleos aqui roxo achatados é o endotélio que o epitélio pavimentou uso simples logo abaixo dele teriam conjuntivo subindo material que a gente não consegue visualizar essa mãe é muito fininho e depois uma camada bem fina de fibra elástica que a lâmina elástica externa que eu vou mostrar depois momento de 400 vezes vai ficar nítido mas dá pra ver bem agora aqui a tônica média é tudo isso aqui
que é composta de músculo liso esses núcleos aqui achatados então é o músculo liso a quebra fosse forma achatada quem quiser relembrar característica de músculo liso é só rever a videoaula de tecido muscular então a camada pública média praticamente toda composta de músculo liso e pode encontrar algumas fibras colágenas e essa parte maac músico aparece a fibra muscular aparecem longitudinalmente tá enquanto longitudinal já que a fibra muscular ela vai circundar ela é circular por circunda toda toda artéria e mais externa mente aqui a gente tenha túnica adventícia que é um tecido conjuntivo onde pode ter
também pequenos vasos aqui alguns capilares que são vazava sorum e também podemos encontrar pequenos mesmos que são os membros vasomotores em fibras colágenas ou se a loja de pontas vou colocar antes de encerrar essa parte de artéria média só mais detalhes para mostrar fibra elástica não é então um aumento de 400 vezes aqui são as células endoteliais núcleo achatado tá um pouco arrebentando e se eu desfocar um pouco dá pra ver uma ambulância em uma faixa com sua fita rosa que brilhando que é a lâmina elástica interna que na artéria de grande calibre a gente
não conseguir visualizar bem já que tinha várias aqui não só tem uma camada de lama elástica interna e tudo isso aqui embaixo camada muscular então essa matéria de médio calibre ou artéria muscular