olá pessoal sejam bem vindos é na vídeo aula de hoje vamos estudar o sistema reprodutor masculino mas foi mais especificamente foi pedir dilma está representado aqui nessa peça anatômica ele fica localizado posteriormente e superemo e superiormente ao testículo nessa região aqui tem um formato de meia lua é ele tem três porções que a gente pode observar a porção superior mais dilatada é chamada de cabeça é a porção mais alongada é o corpo ea porção final aqui a gente chama de cauda que está em continuidade com o canal ou do diferente que faz parte também aqui
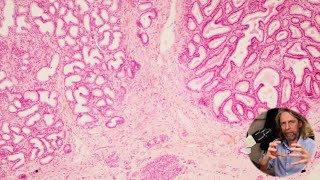
dos ductos extra dos duplos genitais s testiculares e que vão terminar no duplo ejaculatório bem agora a gente vai ver entrar em mais detalhes na lâmina a estrutura do epidídimo nem continuando então aqui na lâmina estamos observando no maior aumento a constituição básica do do epidídimo que ele é formado por vapor um tubo todo enovelado que está mostrando no man o epitélio e como ele é todo o velado na mesma lâmina vai aparecer vários tipos de corte por exemplo aqui estaria um corte transversal o povo estaria vindo aqui foi cortado neste sentido aqui parece um
sr estava fazendo uma curva então não tem vários tipos de corte aqui outros cortes transversais aqui em cima com o corte tangencial por exemplo pegando somente a partir de revestimento epitelial entre esses tubos aqui a gente vai ter uma mistura de tecido conjuntivo com fibras musculares lisas e chamando atenção que no caso do do epidídimo tem uma diferença também com relação à o tipo de tubo ea localização na região da cabeça do epidídimo vão predominar os duplos referentes que são aqueles duplos que drenam a rede testicular do testículo e levo o os espermatozóides por o
wef dilma nessa região que a gente não está observando essa lâmina o a diferença é que esse critério seria mais curto normalmente e teria cílios e ele teria função principal de absorver o excesso de líquido mas esse daqui como um corte transversal que provavelmente um passou pelo corpo ou pela causa do pedido como a gente está vendo um epitélio padrão aqui dá do pid modo que o pedido de mário aliás que é um critério e seu estratificado relembrando que o ex l que tem núcleos em alturas diferentes só que todas essas células têm encontro com
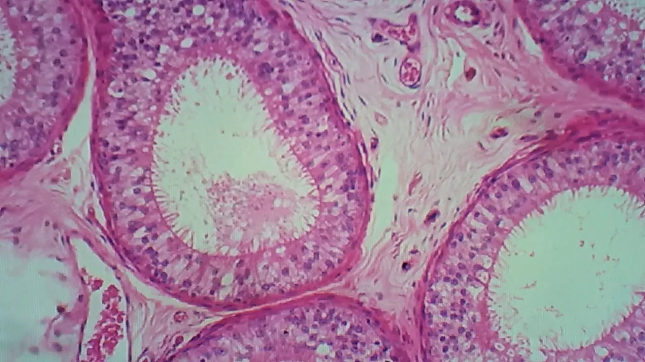
a membrana ou lâmina buzau e ele ainda apresenta várias projeções aqui superficiais que são externos filhos nos falsos cílios que são projeções da membrana apical da superfície da célula com função de aumentar a superfície de de absorção também já que essa é uma das funções do pedido aproveitando então falando com relação às funções as funções básicas do do pedido é o armazenamento de espermatozóides até o momento da ejaculação outra função seria a reabsorção de líquido o produto foi produzido lá no testículo e também afagou se tozzi de fragmentos de espermatozóides ou de espermatozóides danificados ou
espermatozóides que tenham morrido nesse processo eles vão ser reabsorvidos aqui por essas células epiteliais são células que apresentam diversos organismos elas como os homens retirando plasmático gozo retículo endoplasmático 'lista são células bem altas então por isso o critério cilíndrico seu estratificado aqui em volta um tecido conjuntivo que a gente poderia descrever como fibra muscular já que tem fibra colágeno e também tem músculo liso que auxilia na hora da ejaculação tem contrações peristálticas dessas fibras musculares lisas e a gente também encontra capilares sanguíneos vasos sanguíneos podem encontrar enervação e no centro aqui essas estruturas pontilhadas mero
rosas aqui são os espermatozóides já que é um local de acúmulo de espermatozóides vou colocar no aumento maior para a gente observar um pouco mais de detalhes dessas estruturas continuando o aumento agora de cem vezes dá para observar melhor o epitélio que é seu de estratificado relembrando tem núcleos em várias alturas a gente vai encontrar algumas células mais basais que geralmente funcionam como células-tronco teciduais para repor essas células epiteliais e células cilíndricas altas com vários é com várias projeções aqui que são os mistérios cílios só relembrando espera os cílios são projeções de membrana longas ramificadas
imóveis com função de aumentar a superfície de absorção e além disso a que não está presente mas ele também apresenta algumas visitas de secreção já que nesse já que uma outra função do do epidídimo seria fazer a maturação dos espermatozóides e durante esse processo de maturação são liberadas algumas enzimas aqui nessa região que vão agir nos espermatozóides é iniciando a motilidade do flagelo então até esse ponto o o hotel ontem matou jorge imóvel assim que ele sai do testículo aqui começa adquiria a motilidade embora ainda lenta que o processo que a gente viu de maturação
e durante esse processo de maturação os espermatozóides e também sofre algumas alterações na região da cabeça vão ser adicionadas alguma uma capa de moléculas glicoproteínas que protegem ele até ele chegar no sistema reprodutor feminino onde ele vai sofrer depois a capacitação para própria fazer a fertilização esse processo então de deposição dessa causa dessa o púbico proteica pode ser chamado de de capacitação que ele serve para proteger seus espermatozóides pra que ele só se tornem entre aspas férteis quando eles entraram em contato com o sistema reprodutor feminino que vai fazer assim a capacitação que seria retirada
dessa capa proteja e hiperativação do flagelo e aí sim ele poderá utilizar o rosto aqui em volta novamente aqui a gente pode observar vários vasos sanguíneos e uma mistura que de músculo liso com o tecido conjuntivo que a gente pode chamar de tecido fibroblástico eu fui mexendo aquela em volta dele é toda dessa maneira vão ter cortes em vários ângulos como é todo velado pode aparecer cortes como esse aqui no qual está fazendo uma curva cheio de espermatozóides em volta sempre o tecido conjuntivo que também chamado de lâmina própria que a fibra muscular externamente ele
vai ser revestido por uma cápsula de tecido conjuntivo arrebentada que é o que delimita o episódio só para encerrar aqui mostrando então no aumento maior de 400 vezes aqui dá para observar mais detalhes o epitélio e seu estratificado no qual a gente observa que na região basal algumas células menores arredondadas que têm contato apenas com membrana basal que se funcionam com células-tronco teciduais para repor as células principais e essas células mais altas as células cilíndricas que também são chamadas de células principais que são as que apresentam se espere os filhos aqui observando que são estruturas
bem longas danificadas aqui na luz ou o homem está cheio de espermatozóides que estão cortados em vários ângulos e externamente a este duplo e pedir de mário aqui do lado olha a mistura de tecidos conjuntivo com fibra muscular que é o que a gente chama de tecido fibroso muscular eu encontrasse libras musculares sindas colágenas é fibroblastos e outras células então essa é a estrutura básica do pid dmo obrigada pela atenção e até a próxima videoaula