olá pessoal tudo bem com vocês hoje a gente vai falar um pouco sobre o sistema respiratório antes de começar a nossa aula é clique no nosso canal acesse nosso canal é curto o nosso vídeo caso caso tenha alguma pergunta algum outro questionamento ou comentários por favor fiquem à vontade com os comentários nos vídeos é então como a gente sabe né do início então a nossa aula como a gente sabe o sistema respiratório e consiste em um pacote com mães e uma série de vias respiratórias que levam lá para dentro para fora dos pulmões então no
com bom as vias respiratórias elas ramificam se em tubos cada vez menores na esses tubos até alcançar os menores espaços aéreos que a gente vai denominar então de alvéolos a esse sistema não estão respiratória desempenha três funções principais a condução do ar a filtração do ar ea troca de gases que a gente domina então de respiração essa última na o processo de respiração a ocorrer exclusivamente nos alvéolos então para dar início eu coloquei aqui essa imagem nessa imagem a gente consegue observar algumas regiões do sistema respiratório a gente vai começar então falar sobre a região
das cavidades nasais cavidade nasal então ela vai ser formada por um par de câmeras na entremeadas por um sistema ósseo e cartilaginoso e vou mostrar pra vocês uma lâmina que a gente vai conseguir observar esse do ócio na nossa região é é seu hábito é estreito e aponta em direção à foz anterior do crânio e essa região tão que a gente vai denominar de nariz cada cavidade o câmera comunica-se por sua porção anterior com o ambiente externo com meio das narinas anteriores o que vai ser importante a gente saber que nessa região o gent denomina
vestíbulo do nariz que essa região o que ela vai fazer parte da posição externa do nariz e comunica-se anteriormente com o meio externo a o revestimento dele ocorre pepetela estratificado o pavimento ozu que vai ser uma continuação do epitélio da face certo então nós temos o epitélio parecido com o epitélio da face é além disso vai conter número numerosos um número variável de víbrios essas que são esses pêlos que a gente vai ter nessa região quente denominada divertículo do nariz é logo em seguida nós vamos ter a região respiratória da cavidade nasal um gente vai
encontrar o epitélio respiratório que a gente vai ver em seguida o que vai ser septeto respiratório aqui nós vamos ter além disso as regiões das conchas nessa região ela vai ser importante porque é ela que vai fazer uma espécie de turbulência com ar que entra aqui né pela convidada pela região do vestíbulo do nariz aqui na cavidade nasal então a gente vai ter as regiões das conchas que também vai ser ela vai ter um epitélio respiratório aqui a gente consegue observar a região da mucosa olfatória além disso a gente consegue observar a parte nassau da
laringe aqui nessa região é algumas outras estruturas que eu não vou entrar em detalhes porque são estruturas anatômicas né melhor observar isso em vídeos que falam sobre a anatomia do sistema respiratório é essa região respiratória da cavidade nasal é ela vai ter então o critério seu distante ficado colunar se aliado é basicamente todas a região respiratória com exceção de alguns locais a gente vai ver aí vai ter recebido técnicos eo certificado colunas filiado que vai ser composto é por cinco tipos de células nos últimos dez anos ciliadas que são células solares altas conselhos esse projeto
no muco que cobre a superfície do epitélio então essa essas células bacteriais é estrear duas delas vão ter uma uma função principal que vai ser na a limpeza e do ar que entra na no nosso sistema respiratório nós vamos ter são as causas e formas que são parecidas com as células que a gente vai ter sistema digestório essas células cabeça e formas elas vão ser responsáveis por sintetizar e secretar o muco esse mundo vai ser importante para auxiliar na limpeza é na umidificação também do ar que entra no seu escritório nós vamos ter além disso
os anos em escova que vai ser um termo geral para descrever as células um trato respiratório que apresentam micro vilosidades arredondadas e cultas e nós vamos ter além disso células de grãos pequenos nessas células não sei elas vão se assemelhar células basais é mas elas contêm em grânulos secretor es esses grânulos sectores vão participar eles vão ter sala sem dó crianças no sistema neuro-endócrino difuso e alguns estudos têm demonstrado que essas células vão ser responsáveis por auxiliar no mecanismo de contratação de lotação na verdade do sistema respiratório é quando a gente precisa de natal o
sistema respiratório essas salas liberam os grânulos esses grânulos vão se ele aí a musculatura a se dilatar e além disso nós vamos ter as células basais que são células tronco a partir das quais se originam os outros tipos de células as células basais são extremamente importantes que elas vão dar origem a células ciliadas elas querem se forme cela sem escova e as salas de grãos pequenos certo bom especificamente falando um pouco da região o fato torna da cavidade nasal não é que nós temos uma imagem que ela vamos mostrar a mucosa o fator da cavidade
nasal que é essa a cosa aqui nessa região que eu já mostrei pra vocês logo assim marca superiormente aqui na região superior que das conchas é essa região ela vai conter alguns tipos de células na quatro tipos específicos de samba nós vamos ter as células receptoras olfatória né e são essas células que a gente vai ter aqui a gente consegue observar células receptoras sofá toras elas vão ser neurônios olfatórios bipolares aqui o neurônio bicola que se estende pela espessura do epitélio e entra no sistema nervoso central aqui além disso a gente consegue observar que nós
vamos ter uma região de vesícula fattoria é como se fosse uma expansão aqui da região dendrítica é ea gente consegue observar que esses essa célula fattori ela projeta nessa região dendritic formando uma espécie de cílios e cílios eles vão ser importantes porque eles vão aumentar a superfície de contato é que dessas células e além disso nelas vão possibilitar a comunicação aqui intercelular eu consigo ter o contato de uma sala a fatura com outras ela fatura principalmente por essa região que a gente vai denominar de cílios nós vamos ter as anos de sustentação que vai ser
essa célula aqui nessa sala de sustentação são células coluna ares como a gente consegue observar são salas com formato mais coluna que assemelham às salas a neurim ice e fornecem suporte mecânico e metabólico as células receptoras o fatores então essas salas com áreas elas vão dar um suporte né tanto mecânico né quanto à metabólico aqui pra essas células olfatória nós vamos ter as células basais como é que consegue observar que essas células que vão não vão entrar em contato com o meio externo são células tronco a partir da qual as diferenciam novas células receptoras fatores
externos de sustentação se ela vai dar origem tanto marcelo fattori quanto aqui a célula de sustentação e as salas a escova né a questão o mesmo tipo celular que ocorre no epitélio respiratório além disso a gente consegue observar que uma glândula sistema glandular que a glândula olfatória glândula de boma essa glândula ela vai auxiliar então é na liberação aqui democracy muco vai ser importante né fisiologicamente falando pra auxiliar aqui a recepção do sinal é de um modo geral certo não vou entrar em detalhes no livro de fisiologia neve vídeo de fisiologia pode explicar melhor que
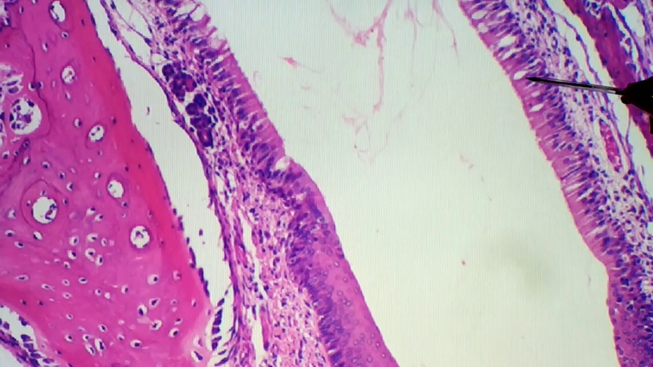
esse sistema é fisiológico de condução do sinal químico né é através dessa lo fattoria para a sensação então do cheiro na recepção aí dodô sinal bom então vou mostrar aqui pra vocês as imagens aqui nós temos uma imagem da cavidade nasal é basicamente o que a gente vai conseguir observar a forma a cavidade nasal uma região que vai ser o dente então que consegue observar o dente aqui aqui a gente consegue observar a região do palato duro aqui a gente consegue observar a região do palato mole e aqui basicamente nós vamos ter nas regiões e
da condicional então aqui inicialmente vou mostrar pra vocês a região da cavidade nasal essa região da cavidade nasal como ele já falou ela vai ter o epitélio respiratório é esse ter respiratória pitelli pseudo estratificado é como a gente consegue observar a gente observa os cílios não é que das células ciliadas além dos cílios a gente tem que lembrar que a gente vai ter também micro vivos aqui a gente tem a região da concha nasal observe que nessa região da concha nasal nós vamos ter é ter sido é desculpa do ócio a gente consegue observar aqui
toda vez que tiver uma estrutura parecendo espículas né a gente consegue observar como os espinhos aqui e um bem mais colorado foi uma toxina a gente vai saber então isso aqui é ter sido a saber que esse do ócio ainda não está na conformação final do do sul a gente consegue observar que quem está em processo de formação além disso a gente consegue observar na região é da mucosa nasal ele consegue observar glândulas ser homo cosmos é que vão ser responsáveis por liberar além do muco a gente libera algumas enzimas que tem a a função
de impedir o crescimento bacteriano então essas enzimas um exemplo dela é a lisozima essa luzinha também é liberado um trato e gastrointestinal a gente tem que lembrar disso e essa em tese essas enzimas então nós vamos agradar por exemplo a parede bacteriana e fazer com que essas bactérias elas sejam destruídas aqui nós vamos ter a região nasal é dada da laringe da farinha de desculpa observe nessa região nasal nós vamos ter é é um epitélio um desculpa um tecido muscular bem evidente a internet não está ajudando o pessoal parece que não está carregando aqui o
a imagem da forma que deveria vamos ter também tecido ósseo nós vamos ter tecido muscular além disso a gente consegue observar que é tecido é condrócitos do tecido cartilaginoso certo aqui nós vamos ter ainda o epitélio estratificado pavimentou uso não quer utilizado consegue observar o movimento não quer utilizar é esse o critério como já falei para vocês ele vai estar toda região do vestíbulo do nariz quanto em outras regiões mais próximas da cavidade oral então tente por exemplo a gente observa região do palato nesse palato então a gente vai ter que ter significado pavimentos não
concretizado é além disso nós vamos ter o palato duro né a gente vai conseguir observar um tecido ósseo é também evidente o tecido ósseo que denomina palato duro ele consegue observar que a região do palato mole é inicialmente quando eu comecei o vídeo foi o que eu falei o contrário não coloquei o o palato duro aqui eu falar aqui na verdade ao contrário aqui não vou te falar tudo olha aqui já não falar tudo que é mais próxima à região onde a gente vai ter os leites né além disso a gente consegue observar aqui na
região do palato mole né uma um bem evidente que o tecido muscular estreado esquelético ea gente consegue observar que também várias lâminas de 12 anos vão ser importantes para é a liberação do muco gandulas serão mucosas e as enzimas como já falei anteriormente então aqui nós vamos ter a região aqui do palato produzindo né palato mole que produzindo as enzimas como já falei inicialmente obviamente na cavidade bucal nós vamos ter outras regiões que produzem que produzem essas essas enzimas e esse muco né e vocês podem ver essas estruturas a nos vídeos de ter sido de
sistema digestório nós não vamos ter uma lâmina de faringe mas a farinha de fica mais ou menos aqui nessa região aqui nós vamos ser uma região de nasofaringe que seria a região na parte nasal da faringe laringe pra quem não sabe ela vai ligá as cavidades nasais e oral a laringe e ao esôfago atua como passagem de anahí para o alimento também uma câmera de ressonância para fala a fazenda está localizada posteriormente as cavidades nasais e orais e é dividido anteriormente em duas partes ea um da nasofaringe como já falei aqui pra vocês anteriormente vai
ser essa região aqui observem que observem que na região da nasofaringe nós vamos te pitelli estratificado e nós vamos ter a partir da faringe ou o farense nessa região da orofaringe gente não consegue observar aqui mas região da orofaringe nós vamos ter um epitélio está notificado pavimentou zhu não quer utilizado diferente dessa região da nasofaringe que a pseudo estratificado e aí a gente passa para a lâmina da laringe faringe nela vai ser uma via respiratória para a passagem de ar entre a obra faringe e a traquéia só nessa região tubular complexo também esperado é formado
por placas de cartilagem alina elástica é de formato irregular então nós vamos ter aqui na laringe há tecido cartilaginoso vai ser um tecido cartilaginoso que têm formatos irregulares nessa lâmina aqui eu acredito que a gente não consiga não consegue observar essa região tá mas a gente vai ver que no na região da traqueia vai ficar bem mais visível é nós vamos ter então o epitélio esse respiratório na pizzaria pseudo estratificado como a gente consegue observar aqui nessas regiões então nós vamos ter aqui a gente consegue observar que as células carlos informes consegue observar que as
células basais as alas colunas são essas salas um pouco mais altas e quente consegue observar as regiões dos cílios lembrando também que nós vamos ter micro vimos aqui entremeadas a esses cílios nós vamos ter além disso as gorduras eram mucosas mais uma vez bastante ter sido muscular aqui é na região logo abaixo a região que da mucosa nós vamos ter aqui a região do ventrículo a gente consegue observar essa região veículo ainda o critério é o pseudo estratificado certo nós vamos ter a região da corda vocal da copa local que a gente chama de colocar
verdadeira então a gente consegue observar que nessa região verdadeira quando vocal verdadeira nós vamos ter o epitélio estratificado pavimentou zhu não concretizado consegue observar o movimento utilizado aqui nós vamos ter bastante tecido conjuntivo logo abaixo e se positivo nós vamos ter é uma quantidade relativamente grande né de tecido é muscular e estriado esquelético a gente consegue observar é uma musculatura aqui né presente na região das cordas vocais além disso nessa longa que não está mostrando tempo mostrando assim nós vamos ter a região da falsa corda vocal que é surreal na região superior que a corda
vocal falsa essa região nós vamos ter um epitélio a pseudo estratificado colunar como a gente já falou anteriormente ea gente consegue observar que tem menos tecido muscular e assim escolher bem menos evidente que nós vamos ter bastante ter sido o objetivo é denso aqui nessa região de ensino modelado na região das cordas vocais verdadeiras também nós vamos ter um blues nessas coisas que vão fazer a função com ditas anteriormente já falei anteriormente aqui nós vamos ter a região da glote na glote que a gente já consegue observar é um tecido cartilaginoso então a gente consegue
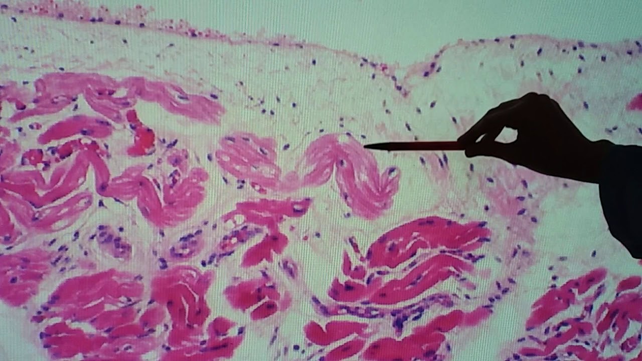
observar uma região mais próxima à região da língua nessa região mais próxima à região da língua que dá epiglote nós vamos ter um tecido epitelial estratificado pavimentou zhu nunca utilizado já na região sul é posterior nós vamos ter um epitélio respiratório que o epitélio estratificado a desculpa é o arquiteto pseudo estratificado observem que eu tenho exatamente a zona de transição do império estratificar no telecine ficado pavimentou nunca utilizado para o epitélio e seu do estratificado o que é essa exatamente na zona de transição entre os dois cemitérios recebem que a região transição abrupta então nós
temos um tipo de critério e posteriormente nós vamos ter um outro tipo de pele completamente diferente aqui nós vamos ter a região da lâmina própria que é composto por tecido conjuntivo isso não muda de lado nós vamos ter então as glândulas mais uma vez glândulas sério mucosas e aqui como a gente sabe tecido cartilaginoso nesse caso aqui da cartilagem nesse caso a cnaa da cartilagem nós vamos ter uma cartilagem elástica como eu sei que essa cartilagem na cartilagem elástica pela coloração então a gente consegue observar que nós vamos ter é que essa cartilagem ela vai
ser cobrada pela usina além da má toxina vou mostrar pra vocês a diferença de quando é uma cartilagem e alina ok aqui nós vamos ter então a traquéia nessa região da traquéia nós vamos ter apenas epitélio respiratório é que vai ser o critério seu estratificados filiado observem que a quantidade enorme de silas que nós vamos ter que nessa região traquéia além disso nós vamos ter a cartilagem e alina a cartilagem e alina a gente consegue observar aqui ela vai ser cobrada apenas porque matolcsy lima então observe a diferença na coloração então aqui nós vamos ter
a cartilagem alina a cartilagem relaxa que ela vai ser a ideal para regiões onde eu preciso ter uma certa elasticidade ou preciso ter uma certa distensão além da região e nós vamos ter que acabar a camada muscular essa camada muscular leza ela vai fazer uma espécie de ligação entre as duas regiões de ponta que a vida dá no tecido cartilaginoso como eu ligasse nessas duas regiões terminais aqui da cartilagem observem que além disso a cartilagem ela vai ter aqui um formato de ser diferente da cartilagem presente na laringe a gente não consegue observar a região
na cartilagem mas aqui nós vamos ter que achar na laringe essa cartilagem ela não vai ser um formato irregulares não vai ser tão regular quanto no ataque na traquéia que a gente vai observar aqui ela vai ter um formato de c além disso nós vamos ter aqui a região adventícia que vai ser um tecido conjuntivo que vai fazer conexão da traquéia com outras regiões as próximas da traquéia como por exemplo nas regiões de zorro observe que nós vamos ter bastante tecido adiposo né entremeadas necessidades pois não ser que vá sanguíneos por exemplo aqui nós somos
nós temos outra aluna da traquéia então a gente consegue observar o epitélio pseudo estratificado filiado mais uma vez aqui a gente consegue observar a cartilagem a e alina observe que como essa é uma coloração diferente não é a coloração de mototáxi lineu zina a cartilagem alina vai tá não vai ter uma coloração arroxeada como a gente observou né e anteriormente aqui então por isso que a gente consegue observar essa diferença aqui na coloração como a gente viu anteriormente então tem um vídeo é que fala sobre cartilagem é que nós vamos ter a região quente da
menina de pele com brilho que vai ser a região que vai manter na a nossa cartilagem então essa região de perm contra que ela vai ser importante que vão ser células a gente vai denominar de controlar as que são células que dá origem aos consórcios condrócitos que são as células né da cartilagem que as células maduras esse tecido cartilaginoso com o passar da idade ele vai ser ele é vai ser calcificado então eu vou dar espaço aqui a cartilagem eu voltei de posição e da matriz óssea então vou ter calcificação aqui na cartilagem com o
passar da idade certa pessoa próxima a londrina que a gente vai ver aqui é uma lâmina que vai mostrar como um adulto então como a gente sabe a traquéia ela vai se realmente ficar e dá origem aos brônquios né que vão ser basicamente em dois ramos da da traquéia são anatomicamente denominados de broncos principais direito isso que nós vamos ter diferenças anatômicas entre esses dois grupos é isso aí não é tão importante pra gente nesse momento é basicamente o brônquio ele vai ter a estrutura parecida com a traqueia obviamente o lúmen ele vai ser né
é diferente aqui a gente consegue observar uma região onde a gente vai ter bronca primário e consegue observar a cartilagem então observe se há processo cartilaginoso a gente consegue observar o epitélio seu 23 ficado tão bem parecido com a traquéia além disso a gente consegue observar aqui um tecido muscular liso observem que a cartilagem do brônquio é quanto mais próximo da região como lá ele vai perdendo aquele formato inicial de ser que tínhamos aqui na traquéia tão quente consegue observar que eu não tenho mais aquele formato de ser um formato um pouco mais piramidal pouco
mais cônico certo além disso nós vamos manter que ainda há nossas glândulas serão mucosas e aqui a gente já vai ter uma região de hebron quilo qualquer diferença é mais nítida entre o brônquio e aqui nós vamos ter um bom que o primário e um quilo primário consegue observar que não vai ter cartilagem e alina então quem acontece né com esse bom que nós vamos ter aqui células musculares lisas que vão manter né que o formato vai manter a abertura do volume dos broncos dos bronquíolos eu não votei cartilagem em bonn quilos diferente dos grupos
que eu ainda vou ter cartilagem certo independente do banco eo que estiver falando sobre eu não voltei aqui cartilagem aqui nós vamos usar nós vamos ter um bom que o respiratório como que eu sei a diferença entre por exemplo que o terminal em bonn quilo respiratório o bom que os outros bronquíolos bom que o terminal por exemplo ele vai ter vai ter um formato um pouco mais circular e ele vai ter vai ser basicamente é todo fechado aqui a gente consegue observar que a região do banco respiratório ele vai ser né aberto então essa terminação
dele é que vai dar origem ao que a gente chama de sacos sacos alveolares então mas mesmo assim a gente consegue observar a quente mantém uma região de epitélio e cemitério e não vai ser um critério mais a pseudo estratificado vai ser um epitélio como uma simples um epitélio cowboy de simples né então deixe de ser um epitélio significado pra ser um epitélio a e coluna se eu pegar aqui na região do brônquio no terminal a gente vai conseguir observar que nós vamos ter desde o epitélio pseudo estratificado nós ainda vamos ter o epitélio pseudo
certificado a epitélio simples então como se fosse uma região de transição de seu certificado para simples coluna ou simples kubica que também e aí na região respiratório no epitélio respiratório desculpa no banco e respiratório nós vamos ter um critério simples apenas ou ele vai ser ídolo na hoje vai ser com boyd aqui nós vamos tentar região dos sacos auveolares não é como a gente consegue observar é como se possui estrutura de sacos mesmo a imagem como se fosse um balãozinho né e aí a gente consegue observar além disso os dutos alvo lares pois essa estrutura
aqui ok nessas regiões que a gente encontra o crente denomina de alvéolos na então nos alvéolos nós vamos ter o que a gente domina de pneu motos nós vamos ter dois tipos de pneu mostra opinou motos do tipo 1 e cuja a principal função vai ser de trocas gasosas na então vou trocar o gás carbônico nem trocar co2 por oxigênio é basicamente e nós vamos ter o tipo 2 que basicamente ele vai ter a função de secretário é surfactante este impactante é ele que vai ser responsável por fazer com que essa estrutura dos sacos alveolares
eles não colaborem o que seria colaba não aproximar um do outro e fechar aqui a região então para manter o aqui nessa região eu preciso de surfactantes para eu não colaborar nec as regiões do saco ou lattes funcionam produtos impactante o que vai acontecer eu vou colaborar e não vou conseguir fazer as trocas gasosas aqui na nos primórdios do tipo 1 além da usp não mostram vamos ter outro tipo de células como por exemplo as alas clara os alas declara também podem ser encontrados nessas aulas elas vão ser importantes né pró por auxiliar também na
manutenção aqui do da estrutura dos sacos alveolares e fazem parte também do sistema neuro-endócrino difuso bom então pra finalizar vou mostrar aqui pra vocês um pulmão fetal observem que a diferença do pulmão adulto para um pulmão fetal no pulmão fetal nós vamos ter ainda as estruturas em desenvolvimento então o que nós temos um bronco em processo de desenvolvimento observem aqui a estrutura da cartilagem na cartilagem alina vai dar suporte aqui para manter esse brônquio nós vamos ter o epitélio auxiliado o pseudo estratificado mas o principal que eu queria que observassem que as regiões de saca
ou lares nas regiões onde eu tenho que usar véus ele basicamente vai ser uma região preenchida por bastante antecedendo cognitivo né s frouxa desculpa por ter sido contido frouxa e vai preencher essas regiões e aí durante o amadurecimento desse tipo respiração ainda no útero nem eu começo a perder dá espaço aqui se eu começar a perder aqui o tecido conjuntivo frouxo e aí vão formando então as estruturas dos alvéolos dos sacs ou lares né até atingir aqui é posteriormente obviamente após o nascimento até atingir o pulmão mais próxima que dessa estrutura em adulto onde a
gente observa vários espaço onde eu tenho aqui os o gol a ele vai circular nem fazer então um processo de trocas gasosas bom pessoal torna basicamente quem tinha poder falar sobre a histologia do sistema respiratório façam comentários curtos um verde mais uma vez né e obrigado então pela visualização até mais tchau