olá pessoal tudo bem com vocês gente vai dar sequência nossos vídeos mas vamos falar um pouco sobre isso e nem pro tour feminino antes de começar a nossa aula peço a vocês que se uns canal curto os nossos vídeos faz um comentário que eu sempre vou responder os comentários da galera que faz questionamentos ou algo do gênero então para dar início é o sistema reprodutor feminino como agente sabe é composto por órgãos sexuais internos externos aqui nós temos a imagem mostrando os órgãos internos composto pelo ovário tubas uterinas útero vagina e em relação aos jogos
estamos nós vamos ter incluindo né muito do púbis novos maiores e menores do poder do clítoris vestibular abertura da vagina e nem e ócio externo da uretra certo nós vamos focar nesse vídeo principalmente nas estruturas internas além dessas que eu falei para vocês nós vamos falar um pouco sobre glândulas mamárias e placenta então inicialmente para dar sequência aqui nesse vídeo nós vamos mostrar essa imagem aqui desenho esquemático do ovário observem que o varejo vai ter uma região quente vai chamar de medula que essa região mas interna essa medula é a região onde que vai lá
é o local de entrada das veias e artérias dalva adriana saque essa medalha vai ser composta por um tecido conjuntivo frouxo tá ela não vai ter tanto as células quanto na região quente denomina córtex que essa outra região aqui onde nós vamos ter as células germinativas feminina está os folículos um tac na região do córtex entre o córtex e equipe técnica a gente observa nós vamos ter um tecido conjuntivo denso modelado que a gente nomina de túnica albugínea e nós vamos ter o epitélio que é esse o critério recobrir todor vário e é denominado de
epitélio germinativo quando descoberto quando escrito inicialmente pensou-se que esse critério da origem aos rostos então a nomenclatura ela foi designada acreditando que o epitélio fazer parte das células germinativas que dão origem que a oa voz itu certo bom então quase as outras estruturas que a gente consegue observar nesse ovário além do tecido conjuntivo frouxo que nós vamos ter aqui na região do córtex nós vamos ter também os folículos aqui na na imagem a gente consegue observar desde falei com o primordial ao folículo é maduro o folículo degraf né que é o folículo que vai ser
liberado ele vai liberar que o ovócito e pra ser fecundado obviamente ele durante o período antes do período menstrual né durante o período do ciclo reprodutivo feminino vou mostrar pra vocês aqui imagens teológica do ovário então aqui nós vamos ter o ovário nesse álvaro a gente consegue observar a região da cápsula de epitélio germinativo que o epitélio simples cúbico que esse pitelli aqui não está tão visível aqui nessa manhã e pitangui mas nós vamos ter que pitelli simples cuba logo abaixo nós vamos ter então a túnica albugínea ela não está tão visível que também nessa
lama no mesmo tecido conjuntivo denso que nós vamos ter aqui logo abaixo da pele e aqui então nós vamos ter a região do córtex aqui nós vamos ter toda a região do córtex e essa região mais clara é a região então quente denomina de medula que é onde eu vai entrar os vasos sanguíneos já que na região do córtex nós vamos ter os folículos primordiais é peça vocês caso tenha interesse de aprofundar relação aos políticos que estudem pelo livro de embriologia não pelo levante histologia que lembrou de licenciamento completo em relação a esse assunto o
que seria um folículo folículo ele é basicamente uma companhia é basicamente composto por células político lares as aulas curriculares são células epiteliais de origem do tecido conjuntivo para do dom um exemplo a não ter sido aqui que vai dar origem a essas células e ele vai envolver todo o vosso cito o folículo quente denomina de folículo mundial que é o que a gente está visualizando aqui nessa lama é basicamente uma camada de células foliculares se é uma camada simples tá é pavimentada de células das células foliculares que vai envolver então esse é o vosso na
verdade alvo bonita é importante lembrar disso então o roni é a célula primordial que é de origem ou quente denomina de o rosto primário que nós vamos ter eu falei com o primordial aqui nesse caso nós vamos ter o a voz do primário tá obviamente quando a mulher nasce ela já nasce com os ovócitos no estágio primário é só vocês mais uma vez que estudem pelo livro de biologia que vai dar mais detalhes a respeito desse assunto nesse folículo primário a gente já consegue observar uma região quente denominado zona pelúcida que é basicamente um composto
público é é de glicoproteínas que vai está associado com um processo de fecundação daí demais processo é associado o desenvolvimento embrionário além disso como já falei pra vocês as salas foram regulares são essas salas aqui simples pavimento tosas então a camada simples pavimentos aqui de cellos e à medida que esse fôlego cresce e o vosso se desenvolve nós vamos ter então vou mostrar pra vocês aqui o folículo quem denomina de folha com o primário observem que as células que eram células simples é simples quando é sempre os pavimentos agora está no formato um pouco mais
com boyd e à medida que se desenvolve nós vamos ter essa estrutura aqui que a gente nomina de folículos secundário também denominada de fôlego antral observe que que a estrutura já mudou completamente então nós vamos ter aqui o rosto com a sua respectiva zona pelúcida nós vamos ter uma camada de células que vai fazer parte do que denomina de corona radiata essa corona radiata ela vai ser importante também para o processo de fecundação de fertilização nós vamos ter uma camada que a gente nomina de células da glosa que sam sam os cúbicos aqui que vai
está a que estão associadas com a produção de androgênios e elas também receptores de alagar que é o hormônio luteinizante que é o hormônio produzido pelas células da de hipófise e transformando ele vai chegar aqui induzir a produção de andrógenos esses andrógenos eles são precursores né dos hormônios femininos certo aqui nós vamos ter um espessamento das células da grande loja que a gente vai denominar de cúmulos off está em 3 especialmente aqui é o cúmulo softwares e essa qualidade que vai ser uma cavidade cheio de líquido é a cavidade do antro da cavidade ventral além
disso nós vamos ter uma região que ela é altamente vascularizada que ver se essa região aqui essa região vai denominar de células da teca interna essas células também são células com formato cowboys é altamente vascularizada que essa região ea gente vai dominar ela então de teca interna e externamente a toda essa estrutura nós vamos ter a técnica externa que vai ser composto composta principalmente de células musculares lisas toda essa estrutura ela está associada com o desenvolvimento do vosso então toda estrutura favorece o desenvolvimento de seu rosto e as salas foliculares que estão aqui na região
mais externas elas auxiliam na expulsão de seu rosto para ser capturado pelas fibras né da da tuba uterina e entrar então na tuba uterina pra possivelmente ser fertilizado possivelmente ser fecundado aí durante né após o ato sexual aqui nós vamos ter o folículo né é um falei com maior do que a gente observou agora aqui nós vamos ter um folículo do folículo de graphic basicamente está pronto aí pra ser liberado nessa região aqui que a gente domina de pele germinativo como e quando quando quando a gente saiba que esse desenho esquemático a gente consegue observar
que provocam sair do do ovário ele precisa romper esse tecido epitelial simples aqui então por que ele esteja na final é simples primeiro não tem necessidade de ser um epitélio pavimentou zhu nessa região que é uma região onde não vou ter tanta agressão mecânica então o epitélio simples é suficiente e uma outra associação é porque para facilitar a expulsão aqui do rosto na rompimento e de cemitério e liberação de seu rosto nessa região não é tem associação com câncer de ovário principalmente nettheim tem sido descrito na literatura que é principalmente pela ruptura constante aqui dessa
região para liberação dos rostos além disso aqui nós vamos ter ainda nessa região do córtex as células estromais é que são as células do tecido conjuntivo nós vamos ter vários tipos de células de dif broker sus as células do sistema as células de defesa nando sistema de defesa além disso nós vamos ter células foliculares também aqui nessa região dando continuidade nem tão ao gosto e o folículo ele deixa de ser um folículo primário praça passei passa a ser um folículo secundário e se o elenco secundário ele se torna um fôlego de grafia ou folículo maduro
essa é senão esse ovócito ele é liberado então e as salas foliculares que compõem as regiões da tec interna e da tec externa elas vão se modificar vão se transformar no corpo hemorrágico o tom observem que eu tenho é dona de coco hemorrágico porque eu tenho aqui um acúmulo o certo acúmulo de sangue aqui nessa região essas salas então elas vão se desenvolver para se transformar no que se denomina de corpo luta eu esse corpo luto ele vai ser importante pra manutenção dos hormônios femininos especialmente progesterona o estrogênio a gente vai ver porque quando a
gente falar um pouco sobre o útero nem falar um pouco sobre a camada do endométrio então essas células aqui em relação à responsáveis por manter é esses hormônios níveis desses hormônios constante por um tempo da gente falou um pouco sobre isso um pouco mais na frente caso não haja gravidez essas células elas vão entrar em processo de morte celular e se transformar no que a gente domina de corpo albicans que é basicamente um processo de cicatrização é uma deposição de tecido conjuntivo nessa região é onde continha essas células foliculares que entraram em processo de morte
celular então aqui nessa lamente não consegue observar essas outras lamas aqui a gente consegue observar tanto contra borrage cukor pulo teu então aqui a gente vai ter a região do corpo l'hotel neto observa que as salas ela aumentam o seu volume toda essa estrutura que inicialmente a gente de lâmina de cooper morras com uma vez nós temos uma deposição nec de sangue nessa estrutura aqui observa em que eu não tenho nem é tanto sangue quando comparado inicialmente aqui nessa lâmina e aqui sim agente do nome nessa estrutura de corpo lutam que nós vamos ter as
salas da granulosa que vão ser responsáveis por manter os níveis desses hormônios que eu falei anteriormente caso não haja gravidez a estrutura vai entrar em processo de morte celular eu tenho de posição então de matriz né do tecido conjuntivo fibras colágenas principalmente e eu tenho então denominada a denominação de coco públicas é a estrutura ela não produz mais hormônios é basicamente uma cicatrização do acordo pelo teu certo aqui nós temos uma outra lana ela vai mostrar pra gente basicamente as mesmas estruturas então nós temos aqui o epitélio que ele está bem mais evidente do que
naquela outra holanda que a gente jogou anteriormente no epitélio cúbico logo abaixo que também visível também a túnica albugínea e observe que o tecido conjuntivo denso e aqui nós vamos ter as células foliculares toque nós vamos ter os folículos primordiais com o vosso primário até aquelas outras estruturas que eu falei pra vocês anteriormente e aqui então nós vamos ter o corpo do útero se comparar essa estrutura com as demais aqui do ovário observe que o corpo luto é uma estrutura muito maior então a sala se proliferam densamente aqui nessa região bom em relação ao vários
historicamente o que é mais importante são essas estruturas a gente vai passar agora para a região da tuba uterina a tuba uterina após né eu tenho liberado o ovócito essa tuba ela vai capturar esses rostos através das estruturas quente denomina de fibras essas fibras elas são projeções aqui da região do infunde bolo da tuba uterina essa região é a região da tuba uterina é basicamente composta aqui eu tenho pra você mostrar pra vocês aqui as regiões aqui das fibras certo dada região também funde blue qual que é a composição aqui dessa estrutura basicamente nós vamos
ter um tecido mucoso composto por ter sido entre ao simples colunar nessas regiões nós vamos ter células que elas vão possui cílios nós vamos ter células ciliadas células não ciliadas e cílios eles vão auxiliar é auxiliar na passagem do ovócito em toda a região da tomou teria então quando ele passa é capturado pelas fibras naquele funde blue essa ele precisa percorrer todo toda essa região para chegar até a região do corpo do útero é obviamente se for fertilizado a fertilização ocorre na região principalmente na região da ampola e aí o embrião ele chega na região
do corpo do útero para se implantar é o que normalmente acontece obviamente têm as suas exceções à então nós vamos ter um tecido epitelial simples tecido epitelial simples colunar ciliados se eles vão auxiliar na movimentação desta estrutura além disso nós vamos ter uma região quente denomina de lâmina própria que é basicamente tecido conjuntivo essa região é altamente vascularizada como a gente consegue observar é essas células epiteliais ela também nós elas também são responsáveis por produzir muco e assim nunca vai ser importante tanto para a passagem de gabriel renato na tuba uterina quanto para é um
processo de metabolismo 10 embrião então alguns componentes nesse muco eles são utilizados lembrando desculpa pelo bolso inicialmente pelo vosso posteriormente pelo embrião após ser fundado e simon então utilizado no processo metabólico aí do rosto inicialmente caso haja a fecundação do embrião então isso é importante principalmente para o embrião além de toda a estrutura de tecido epitelial tecido conjuntivo quem está no meio do ano na própria nós vamos ter uma camada de tecido muscular essa camada de tecido muscular nós vamos ter um tecido muscular interno circular e um tecido muscular e externo longitudinal qual vai ser
a importância desse tecido muscular na tuba uterina é existem mulheres que elas elas não possui a síndrome dos cílios imóveis basicamente os cílios que o que elas têm na nossa nesse episódio eles vão ser móveis então para que o avô secundário e o embrião se é consiga percorrer todo aquele percurso da tuba uterina é é as mulheres elas têm essa o tecido muscular que vão se contrair e auxiliar então na passagem no percurso e de si e de seu rosto e desse embrião posteriormente na camada mais estando nós vamos ter as erosões que vai ser
composta por tecido cognitivo e uma camada de isopor é ele que vai ser um tecido ter sido simples a cúbico aqui nesse caso toque basicamente é a região da tuba uterina nós vamos ter outras lâminas aqui de tuba uterina quem tiver interesse em entrar aqui nesse sistema aqui está o link pra vocês eu coloquei o link também no canal né quem entrar no canal consegue observar o link então sugiro que vem aqui olhar as demais lâminas que estão aqui as aulas só em ótima qualidade ao chegar ao passar por essa região da tuba uterina esse
é o rosto ou esse embrião ele vai chegar no que a gente nomina de útero então quais são as camadas que eu votei em outro hotel ele vai ser composto por uma camada quente denomina de endométrio e sim do metro vai ter duas camadas principais que vai ser uma camada que a gente vai denominar de camada funcional e uma outra camada que a gente vai denominar de camada basal eu vou mostrar um outro aluno que está melhor para a gente e visualizar isso aqui então essa região é a região do endométrio a placa abaixo do
endométrio nós vamos ter o cliente denomina de mil metro que vai ser composto por tecido muscular uma camada circular interna e uma camada longitudinal externa está basicamente é além disso é nós vamos ter uma camada intermediária que vai ser altamente vascularizada e por fim nós vamos ter uma outra estrutura que a gente vai denominar de de perimétrico que é basicamente ter sido tivo algumas regiões esse perímetro vai estar coberto por tecido epitelial mas nem toda a região nesse outro nós vamos ter nessa região do perímetro com tecido a um tecido epitelial recobrindo que esse tecido
conjuntivo essa região vai ser importante quer fazer ligamento com outras regiões e do organismo mostra essa lama por último vai ficar mais fácil a gente tem de bom então aqui no útero vou mostrar pra vocês ao é é um útero em diferentes fases do ciclo ovariano diferentes fases do ciclo feminino aqui nós vamos ter inicialmente a fase proliferativa observem que nessa fase pela interativa nós vamos ter uma camada do endométrio essa camada funcional altamente dispensada nessa camada funcional que a gente vai ter nós vamos ter um epitélio simples colunar como vocês conseguem observar que ele
é bem parecido com aquele epitélio simples coluna que vai ter na região da tuba uterina é esse o critério observa que nós vamos ter aqui regiões com glândulas essas glândulas elas vão ser importantes para a produção de muco e vai ter uma outra importância durante o processo de descamação que decide o método é falar um pouco sobre isso logo abaixo desse momento nós vamos ter é uma região de tecido conjuntivo não é que a região tem tido na mina de extrema todas as estruturas que vocês estão vendo aqui faz parte né dada a essas glândulas
aí presentes no endométrio são as glândulas aí o terenas e além disso esse sim do metro ele vai ter a camada basal nós vamos ter uma camada proliferativa que essa camada mais claras a gente observava a lâmina mais longe e essa região que mais escura a gente consegue observar é a região a camada basal então o que vai acontecer durante a produção nisso e do do processo do ciclo ovariano essa camada de endométrio camada chamada funcional ela vai se proliferar a lavar aumentasse o que a sua espessura pra que que acontece isso com o motivo
caso o ovo secundário ele seja fecundado o que vai acontecer o embrião ele vai chegar nesse do metro e ele vai ter um espaço grande para ele poderá adentrar e iniciar que o processo e finalizá que então todo o processo lá de é uma duração de seu rosto pra se tornar um embrião e posteriormente o feto certo nessa camada professor essa camada funcionar ela vai se proliferar durante nessa fase inicial e do processo do ciclo ovariano essa camada quente dominante camada basal ela vai ser importante porque há pouco caso não haja gravidez o após o
nascimento toda essa camada funcional basicamente ela é retirada ela é diz camada e essa camada basal ela vai ser importante por repor todo esse tecido que foi perdida então eu perco aqui a camada por exemplo de tecido epitelial camada de tecido conjuntivo e algumas regiões aqui a das glândulas uterinas pensamento na camada basal aproximar aqui pra vocês nós vamos ter a reação regiões de basais mesmas ações terminais das glândulas nessas regiões nós vamos ter células tronco que vão ser importantes por repor principalmente esse tecido epitelial que nós vamos ter que recomendo essa camada do útero
aqui nós temos o meu metro nem logo abaixo esse tecido todos nós vamos ter eu vou fazer só uma correção nós vamos ter duas camadas longitudinais uma interna e uma externa ea camada do meio a camadas central é uma camada espessa circular ela faz essa correção aqui pra vocês então aquele a esse com esse endométrio endométrio na fase proliferativa vou mostrar pra vocês agora um endométrio no início da fase secretora então observem que a camada proliferativa a relativa na camada funcional ela está bem mais espessa quando comparado com essa camada aqui então nós temos especialmente
aqui dessa camada funcional que é a camada funcional mais uma vez e aqui nós vamos ter a camada basal uma basal ela que está em contato direto aqui com o meu metros caso a mulher não engravida de entre na fase menstrual o endométrio ele vai se parecer com isso daqui então aqui nós vamos ter em do metro aqui nós vamos estar acamada funcional observem que essas células elas começam a sofrer um processo de descamação então as baterias que vai entrar nessa região elas basicamente elas vão se fechar para que haja morte celular e descamação dessa
camada funcional arteríolas pra quem não sabe como as aqui pra vocês elas montam formato em espiral tomar teria lula da região da no útero é principalmente aqui nessa região do metro vão ser teríamos respirar lados imagina como se fosse uma mangueira torcida então se ela se torce mais ela vai fechar o fluxo e eu não tenho um fluxo sanguíneo para essa camada funcional por isso que essas células elas começam a sofrer morte celular e descamam durante a fase menstrual então basicamente isso que aconteceu aqui nós não conseguimos observar basicamente só vamos ter a camada basal
toda a camada banana que vai ser responsável por repô toda essa camada funcional posteriormente nossa elas precisam se multiplicar rapidamente né para da origem da continuidade a esse processo e se tornarem camada funcional camada basal aqui nós vamos ter uma só pra vocês um outro roupa voltar aqui mostra pra vocês aqui um outro em menopausa observem que a região do endométrio basicamente a camada basal ea camada funcional elas diminuíram a sua espessura obviamente durante nesse processo de menopausa nós temos diminuição da produção dos hormônios femininos e o que vai acontecer eu não tenho indução do
desenvolvimento dessas camadas então observe que nós vamos ter as mesmas estruturas mas nós vamos ter um tecido conjuntivo bem mais denso né tá bem mais corado e acamada tanto funcional quanto basal a gente consegue observar que há uma diminuição desses pensamentos dessas camadas então nós vamos ter que a produção de hormônio como era né inicialmente por isso que eu tenho de posição aqui dessa matriz s outra assim do médio ele se torna um pouco mais denso né pela deposição dessas dessa natureza e colágeno principalmente então observa que como que a estrutura do útero ele vá
alterar neste período da menopausa basicamente se torna um tecido conjuntivo um pouco mais denso obviamente não é bem isso mas ele está mais denso do que era inicialmente aqui nós vamos ter a região do endométrio observem que eu não consigo identificar tão nitidamente onde fiquem do metro onde está a região da camada basal com anteriormente né obviamente pela deposição do tecido conjuntivo e além disso nem do metro a gente consegue observar há basicamente nas regiões quentes da mina de cistos que são remanescentes aí das glândulas uterinas né que eram funcionais anteriormente aqui nós vamos ter
uma imagem que basicamente vai mostrar pra gente essas estruturas estou aqui pra vocês se ele ficou ileso é o levou do ross histologia algumas pessoas me pedem esse livro só que eu só tenho a versão da mp df mas não posso disponibilizar para vocês porque obviamente isso daí é bom não é bacana para o autor essa imagem que a gente consegue observar a acamada funcional a camada basal aqui nós vamos ter as artérias espiralados observem que aqui nós vamos ter as glândulas uterinas certo a glândula tem 93 origem aqui próximo à região do meu metro
aqui no estado o extrato basal e ela vai chegar na região está no ar passar aqui né pra esse trato funcional a ele que vai declamar durante o processo de menstruação e aí aqui nós vamos ter essa imagem é bem bacana que ela mostra pra gente aqui basicamente o estágio das fases né do ciclo ovariano observe que nós vamos ter pico de na gap de fhc são produzidos aqui na remada hipótese isso vai induzir a maturação do ovócito este é o vosso então vai ser liberado e ele vai chegar até a região do útero para
se fixar caso haja obviamente processo de fertilização e fecundação que vai acontecer com esse novo método durante essa essas fases aí observem que na frase faz prometer nativa nós vamos ter a a indução do sp2 pensamento desse do metro aqui na fala a secretária você processa início da fase secretora nós vamos ter o endométrio mais espessa do que na fase proliferativa ele vai se manter por um tempo até entrar em processo de descamação aqui na fase menstrual observe que nós vamos ter que também nível de estrogênio e progesterona variando de acordar ii com a a
indução de nag fsh e também do rosto a progesterona eu disse que ia falar posteriormente mas a progesterona os níveis delas aumenta principalmente após a liberação aqui do avô o setor nem quem produz a progesterona vai ser o corpo luta eu então esse corpo luto ele vai manter os níveis de progesterona caso haja gravidez para que haja a manutenção aqui desse endométrio espesso então para o desenvolvimento do embrião esse nome ele precisa ficar espesso para o membro se fixa aqui na região de endométrio ea progesterona e estrógeno eles que vão fazer a manutenção que decidissem
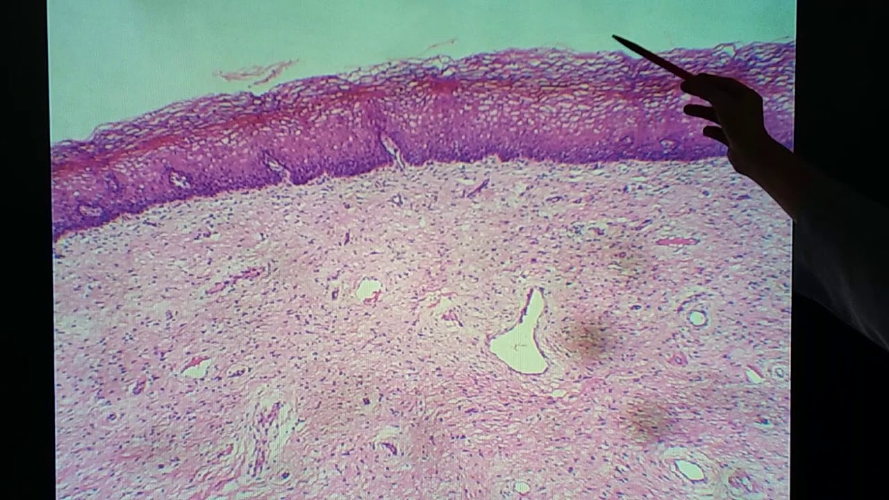
do metro sempre espesso a manutenção aí dessa desse endométrio a parte funcional principalmente obviamente que a fase do aparte basal ela que vai dar origem a essa parte funcional para a manutenção que dessa região funcional do endométrio eu preciso de progesterona e estrogênio que é produzido pelo corpo lúteo ok dando continuidade eu vou pular essa lama que de sanctis não é interessante pra gente mas dando continuidade que nós vamos ter a vagina à margem dela vai ser basicamente composta com o epitélio estratificado a amostrar explicado não quer utilizado no pavimento souza celas pavimentadas essa idioma
pode ser utilizada ou não algumas regiões elas você pode encontrar região que era utilizada logo abaixo nós vamos ter a lama na própria que é composta de tecido conjuntivo denso não modelado nós vamos ter a camada que de células musculares lisas né então observe que nós vamos ter uma camada é circular interna é uma camada longitudinal externa e em importante a gente lembrar que na região da vagina nós não vamos ter duas certo não têm glândulas aqui nas camadas da vagina é existem ainda é corpúsculos né do sistema nervoso mas nessa lama que a gente
não consegue observar que é basicamente corpúsculo do sistema nervoso é sim é era simpático nós não temos aqui não é opcional observando a um som ou outra um outro adendo pessoal é importante a às vezes pode ser pode se confundir ao tecido da vagina com outras regiões por exemplo da cavidade bucal ou até mesmo do esôfago só que é importante lembrar que no esôfago ou principalmente nós vamos ter clama saque na camada o tecido conjuntivo certo o que não acontece com a vagina então avaí nós vamos ter um tecido estratificado esse famoso é o pavimento
uso nós vamos ter músculo a continuição modelado e não vamos conseguir observar glândulas aqui nessa região tão para diferenciar isso aqui da região na cavidade bucal ou desovou por exemplo a gente pode observar essas diferenças aí na estrutura histológica bom posteriormente nós vamos ter as glândulas mamárias as glândulas mamárias pra quem não sabe são estruturas é lobo lados neta nós vamos ter lóbulos nessas regiões dos lobos a gente consegue observar bastante tecido adiposo necessidade pois ele vai ser importante para a produção aqui de leite ele que vai dar suporte para essa produção nós vamos ter
as regiões inter lobulares basicamente vamos ser conexões agente tecido conjuntivo e além disso nós vamos ter as regiões introduz lares também composto por tecido conjuntivo frouxo certo então nós vamos ter que as células epiteliais que vão com essa glândula lembrando que as glândulas mamárias são glândulas tubulares que derivam das glândulas sudoríparas modificadas na epiderme tá então as duas sudoríparas elas que vão dar origem às duas mamárias elas vão estar localizadas no tecido subcutâneo ela vai ser a inativa obviamente né em algumas pessoas adultas é a indução da produção de leite ocorre durante principalmente durante o
processo gravítico durante a gravidez vai ser interessante falar nós vamos ter cada glândula terminando em um duto é galactose bruno é que vai ser que vai se projetar externamente vai se abrir por meio de um orifício contraído na papila mamária obviamente essa estrutura longo vai ficar aberta ela vai induzir a sua abertura durante o processo de sucção abaixo da auréola área pigmentada circula a papelada mamária cada dupla apresenta uma porção de batata quente domínio de seu actor falou obviamente não consegue dessa estrutura né anatomicamente consegue observar mas historicamente aqui não fica visível pra gente então
essas células são células simples cowboys como a gente consegue observar então a gente observa tecido conjuntivo desde esse contínuo denso a ter sido contido flores formando estruturas intra globulares e inter lobulares respectivamente aqui nós vamos ter uma outra glândula opa voltar a um processo de lactação então observa observem a gente consegue observar o doutor latif consegue observar observa que durante esse processo de lactação nós vamos ter bastante tecido conjuntivo benso na então o seio ele vai aumentar além do motivo da produção do leite nós temos também um aumento de ter sido corrigido denso aqui nessas
regiões observe que é que internamente nas glândulas nós vamos ter é a que o leite que vai ser liberado é que nós temos os compostos que vão dar origem a esse leite que ser liberado e aqui nós vamos ter uma glândula mamária já em fase final aí do processo de lactação lembrando que há o processo de lactação ele vai ser induzido por hormônios nós vamos ter a prolactina que vai induzir a produção de leite e a oxitocina que vai induzir a liberação é em volta de cada glândula mamária nós vamos ter células mil e telhais
que vão auxiliar esse processo de liberação do leite né durante o processo de sucção aí observe que basicamente nós vamos ter um tecido contigo bem denso quando comparado com essa glândula mamária que ainda não sofreu nenhum processo de lactação então observe que as estruturas ficam bem diferentes aqui bastante ter sido conhecido denso penso na modulada importante lembrar disso aqui aqui nós vamos ter uma glândula também processo de lactação então observe bem aqui as regiões dos óvulos dos lobos desculpa aqui as regiões dos logos menores e as regiões dos alvéolos falando aqui também interessante que a
gente consegue observar aqui né a alguns compostos produzidos aqui pelas células epiteliais as células do bar da dona mamária e vai dar início a um processo de liberação aqui está na fase inicial desse processo de lactação bom pessoal para finalizar quem quiser avisou essas normas mais uma vez índico vim aqui no sistema para poder olhar pra finalizar nós vamos ter que a placenta a placenta para quem não sabe é uma estrutura que mostrar pra vocês melhor mostrar aqui na imagem a placenta para quem não sabe a estrutura discorde a maioria das pessoas pensa que a
placenta toda essa estrutura mas não é só apenas a sutura de scott que vai ter contato aqui direto com a região do útero é ter uma ligação direta região do outro a placenta ela vai ser importante porque é um anexo iii extreme honário esse anexo ela vai ter uma importância ímpar porque é nele que ocorre em vários processos metabólicos do embrião eu tenho um troca que substâncias entre a mãe eo feto nem o embrião obviamente incluindo aí trocas de gases é de gás carbônico oxigênio além de metabólitos nem como por exemplo cozzi é e outros
compostos e então qual conhecer essa estrutura da placenta gente a falar da placenta que eu tomar o nosso pra vocês uma estrutura aqui do embrulho blast do troféu glasto do blastocisto desculpa o braço do sistema s composto pelo trio blaz o que são essas células que vão dar origem aos anexos embrionárias principalmente em uma outra estrutura uma massa interna que denomina entre o blaster sempre o blaster credores basicamente a todo o embrião o trunfo glasto a partir de aproximadamente de seis a nove dias nós vamos ter essas populações ele vai se fixar a partir daí
de uma semana e nesta sala o troféu blast elas vão se diferenciarem se trofoblastos incício trofoblastos e isso vai fazer com que esse embrião ele adentra que a all in do médio e se insistir glasto que são essas células melhor eles vão produzir algumas enzimas alguns compostos que vão de desde agradar às a camada de endométrio e facilitar a entrada dos embrião então após é alguns até ao intervalo de tempo nós vamos ter o desenvolvimento desse sitos insistiu trofoblastos é juntamente com as células do endométrio eles vão se transformar no que a gente domina de
placenta é em relação às células do embrião é tanto se tem quando se insistir formulação da origem do nome de cordel veloso esse quórum veloso ele vai ser a parte embrionária da placenta já a parte é materna da placenta vai ser composta pelas células do tecido conjuntivo que vão se transformar em células cowboys no tecido conjuntivo aí do endométrio dois também são as cobaias que a gente vai denominar então de a descida basal né então essa essas salas ainda descida basal da escom comprou então a parte materna da placenta a gente consegue observar nessa estrutura
necker do koro vai ser um enter cedo e tv ao simples com o board então observa que a estrutura do core aqui nós vamos ter os incício trofoblastos não tá muito visível mas elas são salas multi nucleadas na então se insistiu basicamente são células do city o troféu basto que se uniram se fundiram e se transformaram em células quente é denominado the sims início da então só nas células multi nucleadas que fazem parte desse quórum veloso nesse quadro o veloso também nós vamos ter o kit do número de extrema que é tecido conjuntivo fica logo
abaixo a esse tecido epitelial certa observa e gente que o sangue materno ele vai circular por essas estruturas da chovesse aqui vai ter uma imagem mostra não que eu não tenho mas é basicamente nós vamos ter uma estrutura que a gente vai denominar de cotilédones que são invadir nações na placenta e isso vai ser importante eu tenho uma imagem mostrando pra gente as velocidades coreanas secundárias nos dados coreano que as terciárias sugiro que vocês leiam o livro de biologia que fica mais fácil de entender do que no livro de histologia e aqui nós vamos ter
as estruturas que a gente domina de cochilada ali que basicamente é como se fossem pregas começou sem espaços aqui né de informação aqui das estruturas que eu falei pra vocês aqui nós vamos então descido basal aqui nós vamos ter as regiões das vilosidades crônicas né e aqui observa em que no cordão umbilical nós temos artérias e veias que vão sim a ramificar e vão adentrar essas regiões quentes e dominar que continue dando o sangue materno ele vai vim aqui pela artéria espiralada vai jogar o sangue aqui nessa região nas regiões de continuar dando esse sangue
vai ganhar toda essa estrutura aqui do corpo tá do coronel veloso e isso vai fazer com que haja então as trocas metabólicas então sangue materno e não entre em contato direto com o sangue fetal basicamente eu tenho como se tivesse banhando estivesse ali ao redor é dada às estruturas do embrião não é isso aqui esse é o critério simples juntamente com o critério simples do dos vasos facilita então as trocas aí de metabólitos entre mãe e feto certo então tem basicamente essas estruturas então aquele que consegue observar que então seria as regiões do chile o
sangue vai ganhar essas regiões e aqui nós vamos ter então as artérias e veias a que vem lá do colombo elicarlos vai passar por essas regiões aqui e fazer as trocas metabólicas com o sangue materno esse sangue materno ele vai voltar para a mãe através do sac das veias ontem as veias aqui representados em azul e vai fazer então retorno venoso até o ver retorno aqui do embrião é feito né pelas veias a pela veia é uma vez das artérias estavam lotadas a condição de novo é o sangue tão rico em oxigênio e nutrientes ele
volta de embrião através da veia e ele chega através das artérias aqui nós vamos ter uma imagem histológica do cordão umbilical a gente vai conseguir observar a região das artérias e da veia então duas artérias é aqui uma veia aqui nós vamos ter sido simples que boyd que vai recolher toda essa região do do cordão umbilical nós vamos ter um tecido conjuntivo quem chama de geléia de barton é que é basicamente um tecido conectivo imo coso artérias umbilicais veia umbilical site pessoal bom então é basicamente isso quem tinha pra falar sobre isso também produtor feminino
esse assunto é muito denso eu tentei ao máximo que resume pra vocês caso tenha interesse em alguma pergunta sobre o assunto é só deixar sua pergunta no vídeo no mais muito obrigado e até a próxima