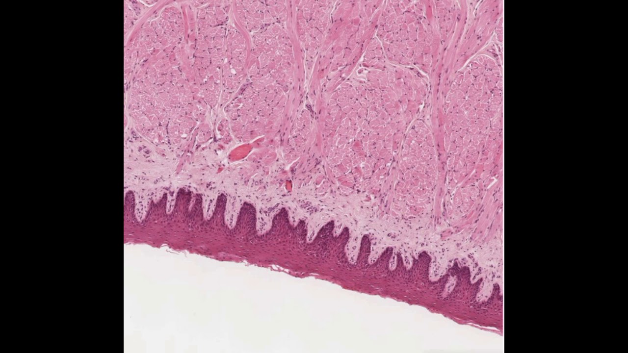
bom dia pessoal hoje a gente vai falar um pouco sobre um prato desta vez final já é a sexta vez que eu tento gravar esse vídeo na internet não tá ajudando a gente vai começar a falar um pouco sobre a língua então a língua ele faz parte do sistema gastrointestinal ele é um componente basicamente muscular a gente consegue observar bastante tecido muscular tratos elétrico na língua inicialmente falando do seu tecido epitelial nós vamos ter um tecido epitelial estratificado parlamento o uso de várias camadas porque a gente consegue observar um formato achatado apesar de a região
basal do tecido nós temos é a característica do tecido ela é marcante associada a esta camada mais externa aqui nós vamos ter basicamente tronco e que vão se diferenciar bom se a gente seguir aqui o tecido do da língua a gente consegue observar que vai mudando para uma festa aspecto que era utilizado então nós temos os dois tipos de tecido uma língua é o tecido epitelial estratificado pavimentou zhu não que era utilizado eo poder observar além disso conseguimos observar é característico dele as suas papilas dérmicas neco a gente pode observar aqui que nossos reentrâncias do
tecido epitelial do tecido conjuntivo o que vai facilitar a fixação desses dois tecidos o ideal com tecido positivo mas extremamente aqui nesse caso dessa novidade consegue observar o que ele chama de papelada linguais aqui nós temos uma que ela tem um formato cônico a gente consegue observar que a ação dessa papila está associado está associado tanto a elevação do executivo como descida federal consegue observar que é bem que era utilizado tem um formato cônico ea principal função apenas de forma é de secção do alimento então durante para 7 mastigação e automação mecânica que essa das
estruturas que vai associar com esse processo mecânico de gestão seguia que a lâmina a gente consegue observar uma predominância bem grande que das papilas filiformes então em toda a língua a gente consegue observar essas partículas papila que a papelada circo valada balada ela tem um formato chato a gente consegue observar a gente consegue observar também o aspecto aspecto que era utilizado aqui desse tecido e ainda verifica que ela vai ter uma de com a uma faceta nela vai ter uma abertura aqui aqui na região do epitélio pra que isso todo mundo que consegue observar que
nós temos estruturas aqui nesse do epitélio aqui nós vamos ter as estruturas são as estruturas que vão sentir a percepção dos sabores salgado doce azedo amargo então aqui eu vou ter os botões gustativos que eles que vão perceber esses esses sabores quando tem essa de transição eo aumento a superfície de contato aqui a percepção dos sabores ok além disso a língua vai ter douglas que vão produzir padre igual a limpá da lingual ela vai auxiliar o início do processo de gestão da os lipídios e vai impedir que esses lipídios fiquem fixados aqui no tecido epitelial
que a defesa está mais perto da língua então colégio alimenta a língua ela não vai ficar com lipídios empresas eu voltei gripado igual fazendo o início da gestão aqui impedindo que haja habitação a gente consegue observar também que eu tenho um tecido epitelial frouxo que vai fixar aqui mais uma vez ea gente consegue observar a presença de glândulas responsáveis pela produção de enzimas como eu sei quem mandou causa pela coloração principalmente observar que eu tenho uma coloração wushu usina e aí eu consigo observar um determinado padrão já o que dá um contraste consegue identificar isso
é desculpa ela vai ficar com aspecto de ausência de conteúdo então eu basicamente celular e o conteúdo não se pela disciplina nem pelo vinho mas a gente tem aqui nesse tecido nós vamos ter bastante músculo liso é desculpa barata de músculos tratos que ela é dificuldade consegue observar por toda a linha aqui nós vamos ter músculos esqueléticos aqui em associação com a zon é bem importante é interessante a gente consegue identificar obviamente que é isso que nós vamos ter outra lavina que ela vai mostrar um outro tipo de papila fundos de forme em um formato
de cogumelo a gente consegue observar mais uma vez né a china ea papeira de fundo informe observe que a pena foi de forma também possui botões gustativos miley bem menor número ou parado com a papelada circo valada então apenas cinco valada é a principal papila associada com esse processo de percepção dos sabores doce azedo salgado de amar bom pessoal estão basicamente é isso que eu tinha para mostrar pra vocês a respeito da blancco espero que vocês tenham compreendido e vamos pra próxima