olá pessoal bem vindos ao nosso módulo do sistema nervoso nessa vídeo aula de hoje a gente vai estudar medula espinal que é um componente do sistema nervoso central e que aqui nessa lama aparecem secção transversal e aqui a gente já consegue observar a organização histológica básica do sistema nervoso central que é de substância branca e substância cinzenta é na substância branca é onde a gente encontra os axônios com bainha de mielina macroscopicamente tem uma cor esbranquiçada e no caso da medula ele se encontra na região periférica ea substância cinzenta na medula ela se encontra na
região central em forma de h ou borboleta como alguns autores é também chamam e é onde nós encontramos os corpos celulares de neurônios e alguns axônios em bainha de mielina nem aqui a gente consegue observar no caso da substância cinzenta que ela é organizada em gomos ou colunas dois cornos ou colunas centrais e dois como ou colunas torças ou posteriores aqui está o canal central da medula que é revestido pelas células e tende marias que é um tipo de célula da europa o selo da via é por esse canal passa olímpico ou líquido céfalo raquidiano
e ele tem continuidade com os ventrículos encefálicos e também o espaço subaracnóide ou por onde ser como esse líquido a gente também pode ser observada na substância branca que ela está organizada em três regiões que tinham de funicular na região anterior gestão único anterior depois o único posterior e funiculi os laterais é essa substância branca ela também é separada na região anterior pela fissura mediana professora média anterior e na região posterior pelo suco mediano revestindo externa mente amigos que não a gente tem três camadas que são chamadas de meninges e também vão país com continuidade
com eles é falo que são de fora para dentro a menina chamada de dura máter que é mais externa vai estar em contato com o tecido ósseo da da vértebra na região intermediária que vai ter aqui noia ou aracnóide master ea região mais interna a fia manter nessa lama a gente consegue observar ainda nas redes nas duas laterais aqui uma parte do nervo spinal tap apresenta duas raízes uma raiz anterior ou ventral e uma raiz posterior o dorsal que é que foi cortado aqui e que também vai apresentar o gang da raiz dorsal com uma
porção sensitiva agora a gente vai observar essas estruturas num aumento de 40 vezes aqui no aumento de 40 vezes a gente pode observar mais detalhes o canal central canal medular por onde passou lhe por o líquido cefalorraquidiano substância cinzenta aqui já dá pra gente ver melhor nos substância cinzenta os precários ou corpos celulares de neurônios em grande no citoplasma escuro núcleo mais falido em volta esses núcleos menores que são as células na europa e as células da bíblia que dão sustentação no pressão entre outras funções e aqui na substância branca não tem mais corpos celulares
de neurônios de várias expressões áreas brancas aduz que a região onde fica a bainha de mielina que no momento de sol quando está preparando a lâmina purifica essa região durante sada e assim não dá pra ver a diferença entre a região do corno anterior e do corpo posterior como anterior é onde a gente tem esses corpos celulares de neurônios maiores são os neurônios motores a região posterior a sensitiva de não tem muitos corpos celulares de neurônios aqui já é uma outra diferença mas que a gente vai ver mais detalhes também aumentos maiores aqui no aumento
de 100 vezes ana está no mesmo campo ainda aqui canal central santos depende marias substância cinzenta com os corpos celulares de neurônio bem grande que os neurônios motores com aquilo a região central região dorsal depois de ver com neurônios menores o inter neurônios em substância branca já dá pra ver melhora que os esse pontinho central é o hoax oni o filamento do csonu bainha de mielina em branco ac e algumas projeções de filamentos jackson nem gritos em rosa mas a gente vai ver mais detalhes agora em regiões diferentes momentos de 400 vezes agora que no
momento de 400 vezes dá pra ver mais detalhes as células repende marias que o etéreo geralmente simples variando de público a cilíndrico com a presença de cílios que a gente observa em algumas regiões que ajudam no transporte aqui também do olímpico em volta é que a substância cinzenta que dá para observar também alguns capilares sanguíneos nessa região vários núcleos menores que são células da europa olha os elos da via que aqui variando podes podem ser astrócitos pode ser micróbios que é difícil identificar nesse tipo de coloração mas geralmente formato do núcleo que ajuda a diferenciar
e aqui rosa também tem alguns prolongamentos de neurônios que podem ser de gritos ou porções de axônios em bainha de mielina gente mudar que o campo de ser um pouquinho olha dá pra ver a diferença aqui embaixo já tem substância branca aqui na substância branca não a gente não vai observar e precários nem copo celulares neurônios para observar algumas regiões com um filamento central aqui é um corte transversal e what's onu estaria passando assim em volta dele à bainha de mielina que é rica em lipídios por isso ela parece esbranquiçados aqui maior parte é perdida
durante a preparação da lâmina em algumas regiões aqui na substância branca a gente também observa um núcleo na região mais periférica desse acontece aqui sonho que é o núcleo de uma célula da linha que serve para produzir essa bainha de mielina conseguir manter que no caso do sistema nervoso central é oligodendrócito estão aqui têm alguns núcleos periféricos de oligodendrócitos passando novamente aqui para a substância cinzenta [Música] nesse tempo várias procurando alguma região que mostre um neurônio motor melhor aqui tem dois localizar um pouco olha que aparece nem grande dois corpos celulares e um outro com
essa parte que corta o celular de um neurônio motor que é um dos maiores neurônios do nosso corpo ele possui um núcleo bem grande no clube zico veicular é com cromatina frouxa nucléolo dá pra ver bem evidente que o citoplasma bastante corado com algumas alguns segmentos mais da soph licos que a região que a gente chama de corpo com o denis é um acúmulo de retículo endoplasmático gols e ribossomos participam ainda a síntese de proteínas ou parte dos neurotransmissores então essa característica precário grande núcleo arredondado cromatina frouxa no plano é evidente que tem outro partindo
dele vai ter vários dendritos que a gente não consegue visualizar com essa coloração e oaks o nih e comparando olha pelo tamanho do núcleo ea coloração esses núcleos bem menores aqui ao lado são núcleos de células da glia é a maioria deles são as próximos que são células que dão suporte mecânico é elas também ajuda na manutenção do do neurônio na manutenção um microambiente aqui onde responde essas células se encontram também ajuda na formação da marca da barreira e matou é mato nervoso hemato encefálica e também a gente observa os núcleos menores mais achatados que
provavelmente é que são células da micróbio microbia que são células de defesa da mesma família do sistema favor citar o mundo nuclear e vou passar para uma outra região agora nesse campo o aumento de 100 vezes nós estamos vendo um pouco mais direito detalhes à parte das meninges aqui na parte externa a gente tem a dura máter que é formada por tecido conjuntivo denso aqui rica em fibras colágenas e fibroblastos normalmente é dividida em duas camadas uma camada que está em continuidade com o osso que seria periósteo que nessa imagem a gente não está vendo
porque a gente não pegou a parte óssea ea porção ninja peça daqui com uma posição dura máter e ela vai estar em contato direto com araque noe da hora que nós dizer que essa parte que está aqui é também formada por tecido conjuntivo uma ela tem duas porções uma camada membra nácia que está arrebentada normalmente ela fica aderida aqui a para a dura máter da que se soltou se aqui um artefato da lâmina é normal acontecer normalmente logo abaixo da da porção lembra nascia dará km de ter uma porção com várias trabéculas definida colagem de
tecido conjuntivo que a região é trabalho regular da sobrac nota que a gente chama de espaço subaracnóide o espaço barak no ebay o territã bem está aumentado devido até fato aqui da lâmina nesse espaço a tia que passa um licor ou líquido céfalo raquidiano essa essa camada ela é a vascular então não tem capilares sendo como tristes pode apenas passar vasos por ela para ir por outras regiões mas não tem nutrição especializada e por ela então faça o líquido céfalo raquidiano e aderido aqui há os tecido nervoso essa região toda a gente sem a pia
mater normalmente ela fica também adquirida esse espaço aqui é até falta da lana é um tecido conjuntivo frouxo uma camada fina de células de fibroblastos essa região é vascularizada mas podem encontrar capilares sanguíneos e ela está aderindo a uma camada aqui bem china também que é uma camada dias tóxicos que é um tipo de células da glia que serve também aqui para a formação da barreira hematoencefálica esses as tropas vão acompanhar os vasos sanguíneos que entraram no sistema nervoso e vão ficar sempre na região perry neural e essa barreira é em parte formada por esses
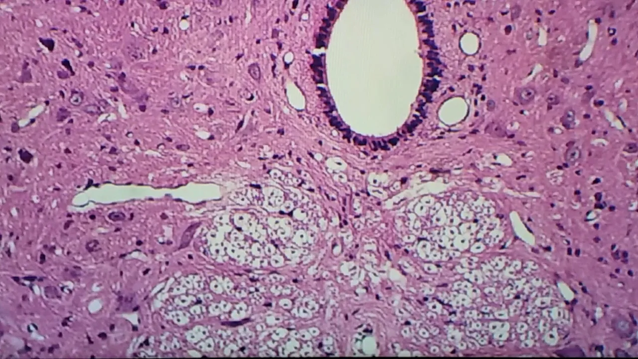
astrócitos porque eles emitem prolongamentos ao redor desses vasos sanguíneos esvaziar sanguíneas também não apresentar junções de conclusão entre uma célula endotelial e outra o que impede ou pelo menos dificulta bastante a passagem de moléculas de substâncias tóxicas de bactérias enfim entre o sistema nervoso e uva os vasos sanguíneos agora vou passar pra proporção do mesmo instalado aqui da medula espinal nesse campo estamos observando a raiz do csau domingos final na qual se encontra aqui a porção dos axônios do neurônio e aqui o gânglio da raiz dos ao câmbio seria um conjunto de corpos celulares de
neurônios envolvidos com tecido conjuntivo e localizados fora do sistema nervoso central não vou colocar em aumento maior para a gente ver essas essa explicar-lhes o corpo celulares vêm aqui no aumento de 400 vezes estão os corpos celulares ou precários de neurônios sensitivos compõem o gang da raiz dorsal do negro final que tem a função de levar informações sensoriais para o sistema nervoso central são neurônios que seu do ronnie polares que apresenta um território bem grande arredondado com o núcleo também arredondados fere com grande como a china frouxa no plano evidente no citoplasma vários poucos início
da nossa oração mas a mochi ada e só envolvidos porcel a satélites são essas como ocorreu aqui na periferia tem vários aqui alguns cortes a gente consegue um núcleo outros não aqui é um corte mas todas todos explicar aspectos e é claro eles apresentam núcleo tem alguns maiores outros menores essas aulas satélites tem várias funções aqui que são semelhantes às funções do sas próximos lá no sistema nervoso central que teria função de import a esses neurônios nutrição proteção entre outras e mais externa mente aqui revestindo todo esse câmbio a gente encontra uma membrana de tecido
conjuntivo como funciona como se fosse uma cápsula bem então é isso aqui a gente viu as características principais da medula espinal e do gang da rádio do sal obrigada pela atenção e até a próxima videoaula