olá pessoal sejam bem vindos a mais uma vídeo aula hoje a gente vai falar um pouco sobre cartilagem seu tecido cartilaginoso ele é um subtipo de tecido conjuntivo assim como tecido conjuntivo ele vai possui célula e uma ampla matriz extracelular que se assemelham coco com o osso porém ele não é calcificado nem cristalizado então há a estrutura da matriz extracelular da cartilagem é muito importante ela é composta principalmente por colágeno do tipo 2 que é um colégio mais delicado mais fino e por moléculas de ácido hialurônico e próprio americanas que elas interagem umas com as
outras com ligações químicas fortes o que dá uma resistência dessa cartilagem só que simultaneamente essas própria americanas também têm uma afinidade muito grande por água então tem sido bastante hidratado e as ligações com as moléculas de água são fracas então é isso permite difusão de água e de nutrientes nessa cartilagem é importante visto que a cartilagem um tecido avascular diferente de osso que vocês vão ver um outro vídeo é bastante vascularizado cartilagem não é ela é nutrida pelos vasos que estão no tecido conjuntivo circo já sente bem com relação aos tipos de cartilagem a gente
tem três tipos histológicos tecnológicos cartilagem em alina cartilagem elástica e cartilagem fibrosa e vai começar aqui o que está projetado na imagem aqui é a lâmina de cartilagem alina selic é uma lâmina de traquéia cartilagem alina é é que a gente encontra em maior quantidade do nosso clube no nosso corpo não tem na traquéia que ajuda a manter a traquéia aberta e evitando colaborar mento assim como nos brônquios maiores também é tem na cavidade nasal a gente também encontra nos discos episódios sendo responsáveis pelo crescimento ósseo em comprimento nos ossos longos e curtos também conta
no descarte no disco na superfície articular dos ossos servindo para lubrificar o essa região e evitar o atrito entre o em outro e também é é responsável pela formação da maioria dos nossos do nosso corpo por notificação em doha com grau no período embrionário bem com relação às estruturas histológicas é ela é formada por dois tipos básicos de células que vão ser os controlar sntos esconder os títulos contra blasco a primeira célula é produzida com grossa a segunda com relação à cor a lista aqui a gente tem a cartilagem a tudo isso aqui é a
cartilagem nessa lama vai ter outros tecidos o tecido epitelial aqui nesse lado você já estudaram tecido conjuntivo glândulas tecido adiposo tem várias outras coisas mas a gente vai focar na cartolagem a cartilagem a lina ela é revestida nas duas extremidades olha tanto aqui quanto aqui por por uma camada de tecido conjuntivo que a gente chama de pele com brilho o perí com dolo ele tem células tronco que vão origem afirma originals congro bastos e os controlar suas origens com gross quando blasco sintetizam a matriz extracelular da cartilagem que o colágeno do tipo 2 próprio americanos
de kozmino americanas e ácido hialurônico principalmente e essas substâncias em conjunto as matrizes para celular ela tem uma coloração um pouco mais mas o fica tão diferente do outro o que a gente viu que a matriz extracelular bem rosa aqui ela vai ter um tom mais azulado e todas essas células aqui no meio das bolinhas ao são núcleos de condrócitos que também citou um dentro de lacunas mec está no aumento de 400 vezes que dá para a gente observar melhor a diferença na matriz extracelular que ela tem duas porções tem uma porção da matriz extracelular
que ela fica em volta aqui onde eu estou apontando dos grupos exógenos que são um conjunto de de condrócitos que se dividem em que o crescimento intersticial e continuam próximos um ao outro normalmente eles ficam envolvidos aqui para uma porção da matriz extracelular que fica como coloração um pouquinho frente um pouco mais a zoada tem um aqui tem outro em cima hora tem outro aqui do lado então todo esse aqui são grupos exógenos é o conjunto de grupos exógenos e essa matriz é que a gente observava tem uma coloração pouco mais azul que chama de
uma três territórios ao ea matriz que está entre um grupo soja em outro tema com mais ou menos azulado um pouco mais pra rosa que é a matriz interterritorial essa diferença de cor é ela se deve à diferença molecular e aqui com que é constituído por que constitui a matriz extracelular da cartilagem no caso da matriz territorial ela vai ser composta principalmente por próprio americanos e pequena quantidade de definida colágeno já na matriz interterritorial tem uma quantidade maior de fibras colágenas bem qual a importância disso fibras colágenas normalmente ela tem uma afinidade maior porém a
usina no caso aqui que o corante rosa é própria americanas têm uma afinidade maior porém uma toxina é um corante azul que a gente está utilizando como é a primeira molécula ser produzida aqui pelo controlo assim ele e ele se divide é o próprio americano então vai ter uma concentração maior de próton americanos no grupo só gênio por isso aqui essa cor diferente e passou a se chamar uma 3 territorial já essa região entre um e outro têm uma proporção pouco maior de fibras colágenas que tem uma afinidade um pouco maior e leozinho embora também
tenha pró-americanos então tem essa coloração um pouquinho mais puxado a equipe rosa não por isso essa diferença de uma tristeza leal e matriz interterritorial aqui mostrando a área de transição entre o pl com dolo e a cartolagem pelo encontro ele é composto por um tecido conjuntivo denso modelado no qual as fibras colágenas são fibras colágenas do tipo 1 que elas são mais espessas e bastante rosa de 11 no físicas quando a célula se diferencia que encontrou blasco aqui já começa a mudar cordão atriz está celular isso porque o controlar sul começa assim a matriz é
da cartilagem que tem próprio americanos lembra que o próprio de canos tem mais afinidade por por uma toxina e muda também o tipo do colágeno pro colagem do tipo 2 é um colégio mais fino então fica a matriz mais ou menos homogênea e essa diferença de cor então aqui com doblas tu com do blast que já é matriz a cartilagem aqui vários controlar surtos e aqui pra medida que vai ficando um pouco mas lá dentro da pasta chamada de condrócitos condrócitos aqui iniciando a formação de um grupo soja nas duas celas já se dividiram formando
um grupo só gelo aqui outro grupo soja não começando a se formar então essa estrutura básica da cartilagem e lina só mostrando agora um aumento menor então aqui ela é da cartilagem alina que a gente acabou de ver em detalhes pericon dos dois lados é os controlar sucos na periferia condrócitos dentro de lacuna lembra de identificar também os grupos exógenos em volta dele à matriz territorial atriz interterritorial estudar a teoria dessa matriz extracelular porque ela tem essas características têm agora uma lâmina é de cartilagem elástica é que é outro tipo de cartilagem ela vai ter
as quase com as mesmas características da cartilagem lina também tem condrócitos também comprou plásticos também apresenta teve com dri nas duas extremidades na matriz extracelular também vai ter próprio americanos colágeno do tipo 2 a diferença principal aqui vai ser a presença ea riqueza de fibras elásticas que é o que a diferencia é encontrada principalmente no pavilhão auditivo externo e na hipnótica e por ter uma grande quantidade de fibra elástica era um pouco mais maleável neto que a cartilagem alina então a gente pode observar que a matriz extracelular é tem uma coloração semelhante à da cartilagem
alina meio azulada em volta essa parte rosa pericon dru tem os dois lados têm aqui e tem do outro lado também é o mesmo tecido tecido conjuntivo denso modelada a estrutura é a mesma função a mesma é e aqui no meio o que tem de diferente onde começa a observar várias figuras um tom de rosa bem escuro roxo em vários sentidos aqui são fibras elásticas é uma característica então aqui da cartilagem elástica é que a mesma lâmina momento de cem vezes visando a coopercon dru que a mesma estrutura que a gente já viu com colágeno
rosa aqui aos poucos mudando de cor next e que é e vai ser diferente as aulas vão se diferenciando encontrou blasco cesco blasco se conhece bem pequenininha que começa a produzir a matriz a cartilagem alina então por isso essa mudança gradual de cor foi chamar a atenção da com relação às funções do pr com do encontro ele tem função de nutrir uma das funções é nutrir a cartilagem já que a cartilagem avascular o pl contra ele tem alguns capilares sanguíneos então ele ajuda na manutenção oxigenação das células da cartilagem e outra função também é o
crescimento da cartilagem silagem pode ter crescimento por dois tipos que o crescimento intersticial km tozzi de 2 com drogas formando grupos exógenos que vão secreção da matriz ou crescimento a partir da matéria do pr com dru que é o crescimento a posicional e com relação à outra função na pele com dolo é a nutrição da cartilagem então aqui eu perdi quando osteoblastos e todas essas células aqui estão aparecendo um pouco avermelhadas dentro desse espaço lembra que esse passo é lacuna e as células são os com gross idosos com problemas com drogas ipos em uma parte
mais azulado aqui que seria região onde tem colágeno do tipo 2 próprio americanos e essas fibras com fonte rosa bem mais forte e bem grandes e são as fibras elásticas com essa estrutura básica aqui já com relação ao período e só chamando atenção não sei se eu falei na noite anterior na com relação à presença de perigo nem cartilagem existe perigo rondou na cartilagem elástica e na cartolagem lina afirmou cartilagem que a gente vai ver daqui a pouco não tem perigo o óleo e no caso da cartilagem alina todas têm com exceção da cartilagem articular
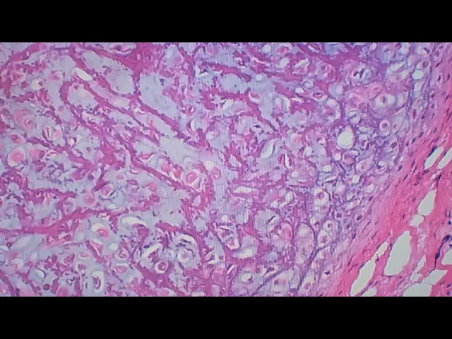
e do disco empresário cartilagem articular a vacina lida pelo próprio lynch glee da articulação é passar então agora pra a última parte lavagem e agora a última urna de cartilagem que a cartilagem fibrosa ou fibrocartilagem essa tem algumas diferenças em relação às anteriores primeiro ela não tem perigo com dri o que a diferencia das outras duas outra característica da matriz extracelular que ela contém colágeno do tipo 2 em menor quantidade e colagem do tipo 1 em maior quantidade que aquele colégio mais espessa que é o mesmo encontrado por exemplo nos tendões e apresenta uma quantidade
de matriz extracelular de próprio americanos menor do que as outras ea gente não vai encontrar também aqui contra o plástico se ela já tiver uma durante encontro apenas com grossos porque é muito colágeno do tipo 1 e pouco próprio americanos a colaboração dela também vai ser diferente então se deve a uma lâmina de disco intervertebral que é composto por cartilagem fibrosa só pra gente entender melhor o disco intervertebral aqui da região central do disco que a gente chama de núcleo culposo que é um resquício aqui de tecido embrionário e aqui essa parte externa que a
cartilagem fibrosa aqui dá pra ver que as filas se cobra no rosa bem forte porque a mesma fibra do tendão outra que a gente encontra na pele que é o colágeno do tipo e tem pouco muito pouco a frota própria americanas por isso essa diferença na cor e todas essas células aqui são condrócitos as que estiverem bem próximas uma outra são grupos exógenos e as fibras aqui entre elas só de curiosidade nessa lama é bem interessante porque ela não mostra apenas o disco intervertebral ela nossa também a vértebra que está ao lado se formando e
aberta da sofrendo modificação ainda condral então é uma oportunidade da gente comparar dois tipos de parto a gem aqui em cima a gente tem articulado e alina que a gente já viu a comemoração mas azuladas condrócitos e logo abaixo cartilagem fibrosa então eu vou dar vou aumentar um pouco agora passar por um aumento de 100 vezes é detalhando melhor a cartilagem elástica a desculpa cartilagem quebrou aqui a gente está observando agora no aumento de 100 vezes são todas essas fibras rosas aqui são fibras colágenas do tipo 1 é que representa a matriz extracelular em algumas
frutas um pouquinho os lados entre um e outro que são próprios de canos mas em uma quantidade bem pequena de quase não você não consegue diferencial é só comparar por exemplo com a cartilagem alina que está aqui em cima ela a coloração é bem diferente né que aqui principalmente colégio do tipo 2 que é mais fina e próprio americanas estão dá essa diferença de cor e aqui a gente consegue ver uma fibra isso tudo aqui é uma fibra foi uma fita mais espessa mais grossa que é o colágeno do tipo 1 colagem do tipo 2
é muito fino e itaú a fibra tem um tamanho abaixo do limite de resolução do nosso microscópio então parece uma estrutura homogênea então a cartilagem que brota em várias filas paralelas colágeno do tipo 1 e entre essas fibras com os congressos dentro de lacunas não essa efe trabalho ela não tem pergunta quem está em volta que pode ter tecido conjuntivo a nutrição pode ser de tecido conjuntivo que está em volta mas ela não apresenta perigo com dri então é isso que ele pra observar hoje relembrando aí a definição é de cartilagem os três tipos exemplo
onde podem ser encontrados a essa cartilagem fibrosa além do disco intervertebral ela também é encontrada em alguns ligamentos e em algumas regiões ao próximo atenções também tem alguns tendões você encontra transição entendam e cartilagem ali e cartilagem fibrosa juntas então que a estrutura bem parecida com o tendão então é a gente vai encerrar aqui obrigada pela atenção até a próxima então encerramos aqui galera tchau até a próxima videoaula