a previsão da histologia do estômago bem tem que começar a falar um pouquinho da estrutura da mucosa mesmo em relação a anatomia né ao aparência macroscópica estômago tem várias fugas né várias pregas E essas pregas são para acomodar o enchimento então quando o estômago está cheio Ela desaparece e quando ele está vazio elas ficam bem proeminentes então são pregas que não são fixas né Elas Na verdade são rugas que podem desaparecer de acordo com enchimento do estômago e a gente observa que é uma coisa avermelhada Lisa e Brilhante mas se olhar mais de perto a
gente ver pequenas pequenas saliências mas bem pequenas aqui não tá dando para ver nessa foto bom então as rugas Acabei de mostrar são aquelas rugas que são mutáveis digamos assim elas podem desaparecer com enchimento E tem também as áreas nome lares são pequenas saliências que a gente quase não vê a Tem que olhar bem de pertinho e a gente umas pequenas saliências assim aumentam discretamente a área né superfície no estômago Oi e aí a gente vai ver de forma mais particular as facetas favelas ou criptas que a mesma coisa que são três palavras para uma
mesma coisa e mais detalhes da mucosa e depois Lembrando aqui a lâmina própria muscular da mucosa seguem aquele esquema geral que eu falei no primeiro vídeo É de resumo Ok aquele que tem um resolveu também não vou repetir a questão da uma das coisas que são iguais ao vídeo anterior né então só não goza não tem a diferença do esôfago e outras regiões também quer dizer tem né Nós somos rosa não tenho Orlando luz no esôfago e no estômago enquanto que aqui é o número do Fogo tem glândulas e no estômago não tem planos essa
é uma diferença podia ter escrito aqui ficaria mais claro mas não tá escrito que não tem né mas o foi com o tempo a muscular própria tem uma diferença Tá além de ter uma longitudinal externa e uma circular média tem uma camada oblíqua interna Ah mas na prática e nem sempre a gente consegue separar muito bem essas camadas elas não são tão certinhas tão bonitinha são separadas É verdade elas têm grosseiramente essa essa direção essas três direções para facilitar mesmos movimentações de uma estrutura que é meio secular né E que tem que mesmo que ficar
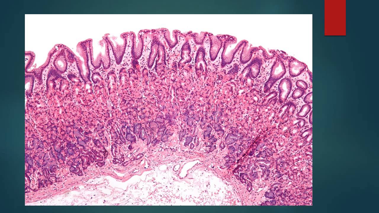
macerando conteúdo gástrico então geralmente esses órgãos meio óculos né construtora que lembra uma bolsinho uma coisa meio secular tem umas camadas musculares meio de organizadas e Charme hoje é sobre lexman interpretar presente na mesmo jeito nas mesmas regiões e à serosa como eu já falei no primeiro vídeo é uma camada de mesotélio e Ou seja é peritônio né então no caso estômago tem Serasa em todas as regiões não tem adventícia a imagem mostra as rugas nossas rugas vou estômago elas são constituídas de mucosa e submucosa que é tudo isso aqui nessa região mais carente do
submucosa mucosa mais assunto rosas duas regiões é vão formar essas rugas que vão se acomodando e o resto que é parede muscular E ai tranquilas observar que não têm glândulas na se alguma coisa que o estômago não tem glândulas aqui né então lembra esôfago tem grande mas na sua Concórdia na maior parte dele estômago não e agora em relação a mucosa olha o tanto que ela é espessa né imensa a gente vai ver que é porque tem muitas glândulas aqui eu vou aproveitar essa foto também para mostrar o que tá muito fácil de enxergar né
o epitélio né a muscular da mucosa tá muito bonita que é separar direitinho a mucosa da silicose né então a muscular da mucosa chama atenção bem Rosada né separando a sua um rosa dá uma coisa e as saliências discretas que eu falei são essas experiências aqui se que não são rugas tá vendo É só na mucosa como se fossem pequenas projeções tá vendo que assume Costa tá meio reza que é como se o estômago tivesse esticada nessa região né porque na Fuga a sua mucosa vai junto fazendo aquela roupa daquele jeito né aqui é como
se o estômago tivesse neste cada porque a sua mucosa tá mais ou menos aqui assim tá certo aqui tem uma camada muscular treta um pouco ficou meio estranho aqui né então assumir corta que mais ou menos não é fácil ficar coordenando isso aqui ela tá mais reto estão tá mais cheio né sei lá né mas sem as rugas nessa região mas não ficou assim se tem essas pequenas saliências né que são variáveis tem hora que elas nem aparecem mas que aumenta um pouquinho áreas de superfícies são as áreas uma matriz 1 e note a riqueza
de vasos da Silva mucosa e lembrando que embora a gente não veja muito facilmente Principalmente nesse aumento tem o plexo submucoso aqui ou seja demais nessa foto é interessante observar um conceito interessante as você tá as criptas ou favelas aí vai depender do gosto do freguês tem gente fala você para a gente fala Fabíola cripta muita gente gosta de usar para intestino então vou falar favela tá comer o que quer choveu seria essas aberturas aqui ó eu teria que usar um usar uma coisa mais fininha você consiga achar aqui ó isso aqui no Eldorado isso
que tá mostrando aqui são as favelas ou Fonseca são aberturas as glândulas Ok e onde é que estão as glândulas aqui ó ó e as galinhas estão bem aqui Como estão as glândulas gástricas que no caso a gente fala glândula gástrica para geralmente para fundo e corpo mas é isso eu vou falar diante então a gente vê que elas são meio tortuosas tá vendo ela sim a novela um pouco principalmente na base aqui não tá tanto assim e elas modificam um pouco de aparência em relação a começo delas e ao fundo o comecinho se chama
estima aí depois vem colo corpo mais ou menos assim Então aqui tem a entrada é como se fosse uma abertura um pequeno furinho na mucosa o filme o olho DPS olhando aqui assim ó aqui meu olho eu viria pequenos furinhos aqui né um furinho aqui outro aqui esses furinhos são as aberturas das favelas e eles são revestidas as favelas pelo mesmo critério tá aqui em cima Esse epitélio aqui ele entra para dentro da favela e volta então quando resolveu ligou ainda para dentro para o meu encontro o que eu pode ver que são células bem
clarinha Agora vamos pegar essa fogão aqui ó chega aqui ela acaba reentrância é uma abertura como se fosse um túnel que eu tivesse que atravessar para chegar no começo da glândula Aqui começa a glândula é o estilo dela fosse uma garrafa seria a boca da garrafa aí o colo da glândula mais ou menos aqui tá E aí depois vem o corpo e depois vem rapaz vou mostrar na região melhor para com o aumento mais interessante para a gente observar a imagem tá muito melhor né Então aqui tem uma coloração aqui agora muco na piscina e
dependendo da quantidade Alcina fica mais roxo Então porque a gente tá vendo aqui essas células que revestem o epitélio superfície né mas a se for delas ou você tá sou grito né ele desse essas células descem até o começo da glândula aí quando começa a glândula está escrito aqui isso não sei se dá para ver é um comecinho que da glande a boquinha né danado começou a sua boca da garrafa que eu e essa região já não tem essas células tão carregados de uma corrente aqui né mas tem umas glândulas mucosas esparsas aqui escuras como
a coloração para colori só a célula Como cole né o principalmente essa célula vai colorir as Tais células mucosas do colo são as células produtoras de muco só que é um pouco diferente das do muco produzido pelas que estão em cima mas são produtoras de muco também e quando chega lá no fundo da glândula já nem tem as células do colo até porque ela chama se elas não gozes do colo certo então aqui tá o fundo da glandula base da Glam du-e aqui o corpo tá e a gente vai enxergar melhor as estruturas daqui a
pouco Há muitos que pode te dar um problema com essa foto Ela tava mais alta então aqui mostrando de novo eu pudesse superfície ele descendo essas células a gente chama células de costa da superfície tá se elas não gosta das perdi ó e aqui É como se eu tivesse olhando né essas pequenas aberturas que eu mostrei né abertura da glândula aqui na verdade eu da favela essa região aqui ó eu tô vendo abertura bem aqui outro aqui e a gente vê o morro saindo tá vendo aqui também aonde tem certa tem uma abertura dessas o
e as outras estruturas são a superfície a mesma apical das células de revestimento células mucosas da superfície mais uma vez para ficar bem claro abertura e nas glândulas da seta abertura das glândulas das favelas aliás perdão dessa forma holográfica aqui abertura da rubéola e aqui abertura da glândula e aqui e aqui de novo abertura da favela é porque eu tô vendo aqui olhando por cima e aqui eu tô vendo o corte histológico tão aqui abertura da favela Outra abertura da favela enquanto que abertura da glândula ou estimo seria bem aqui e esse tom a gente
tem três regiões histológicas diferenças são anatomicamente a gente tem anatomicamente falar a cárdia o fundo corpo e aqui ele chama de antrop louro Outro seria o funil e o canal piloto seguiu e Louro propriamente dito a gente chama de anta os outros o e são quatro regiões anatômicas e portanto porém histologicamente a gente vai ter corpo e fundo com uma histologia única enquanto que cardio e antro tem outros tipos de tojeiro só que Card andro também São muito parecidos né observa em que o tonzinho' da célula que ele coloca o Marcelo Clara rosade em cima
e uma célula me cinza embaixo é porque são duas regiões que produzem praticamente apenas um pouco tá Ah e não estou falando das células entrar no outro nos nem nada né tô focando na morfologia e aqui então a gente só vê que tem a favelas como forças longas né enquanto que essa daqui são me em curtinho só essa é a diferença básica do placard Pronto já adiantando não quis deitei a foto porque eu queria ver mais detalhes da foto não fica melhor mas fica meio torto eu quero ver observem as células marcadas no roxo bem
forte né que a coloração para marcar a quantidade alta de mucina aqui pegou um rosto mais forte e emociona mais clarinha que é uma quantidade menor de um pouco nessas mais de baixo focando aqui nessas de cima são as células mucosas da superfície é né essas células mucosas a superfície Elas têm tem um formato colunar com bastante muco no WhatsApp se e o lucro fica mais na base certo é mais uma vez eu foco dessas desses vídeos é um resumo da morfologia não vou falar particularidade da teoria aqui então pelo menos não muitos detalhes aqui
a gente vê que são células muito parecidas então a mesma cela da superfície é a que mexe o popô dela o poema é decoração de rotina que a gente usa mais o Tom dessas células ficam de um rosa bem claro no citoplasma né algumas tem tanto murro aqui lembram vagamente um cálice não chega a ser tanto com o Marcelo que eles foram mais lembra um pouquinho a gente vê que elas estão repletas de morango né e enquanto que o núcleo fica mais fecha safadinho que para base não essas células são células mucosas superfície Resistindo tanto
a superfície propriamente dita quanto as folhas por você dias e quando chega aqui muda aqui é a entrada da glândula E aí eu botei outros tipos celulares de acordo com cada região do estômago aqui um detalhe das ela não gosta da superfície né então ela tem um Nucleo basal e bastante muco com concentrado no Whats da célula ela libera um pouco aqui e que a gente vê até esse mucuja Liberato e aqui o moco que eu tô falando é um muco protetor é um muco alcalino Então realmente é esse muco extremamente importante e ele não
é produzido só pelas células do superfície não vou começar agora falar de cada região Lembra que eu falei que na transição entre o esôfago eo estômago a gente tem as glândulas cardíacas E isso acontece também no estômago então aqui a gente tem glândulas cardíacas como eu falei lá nas outras no outro vídeo e elas ficam tá vendo logo abaixo daquela superfície é fácil de reconhecer e ela estava em relação a região muito muito no final do esôfago aqui ó aqui também é porque o resto do esôfago geralmente têm glândulas mucosas aqui Não elas estão aqui
e logo começa o estômago e com essas glândulas bem carinhas aqui também ó essas glândulas bem clarinhas são as com duas cardíacas do estômago Então eu tenho glândulas cardíacas no estômago e uma das valvas cardíacas esofagiana a sua idênticas pois produzem um muito alcalina né então é como se fosse uma continuação da mesma glândula numa transição Ok a carga ela é muito Como que eu posso dizer e custa né então assim a carta ela geralmente a região glândulas Claras eu diria que ela tá só nesse cantinho aqui a região cardíaca do estômago tá E ela
tem de interessante que ela é muito parecida como andro só que a diferença dela com um antro é também nas costas são até meio mal formadas por delas sabe mas as regiões aqui ó elas são curtinhas bem curtinhas não então a região curto no estômago lembra curta curta né mas é um curto no estômago que tem foveolas curtas e que têm glândulas cardíacas Emendadas com as glândulas cardíacas do esôfago e no estômago todas as glândulas estão na mucosa todas não existe glândula na sua mucosa do estômago e no esôfago a maioria das zonas estão nosso
mucosa menos as cardíacas esofagianas que estão na mucosa bom então é belas outros etas como você preferir curtas células mucosas da superfície e as células que estão logo abaixo são as glândulas praticamente ditas a Card também são curtas né a cárdia propriamente dita é bem curta assim é interessante é que esse essa foto não tem o esôfago geralmente têm o esôfago perto da isso ajuda bastante frequência mas dá para ver que é uma região de carga porque é uma coisa muito Estreita né como glândulas Claras essas glândulas Clarinha só tem a carga ou no ano
você vê que as células são todas iguais muito parecidas com a da superfície são células produtoras de muco é claro que aqui nessa região é não Aliás na região do antro tem uma concentração muito grande as células neuroendócrinas né o entra endócrinas células G que secreta uma gastrina bom então tem essa diferença mas também precisaria de uma oração especial lá no antro para vez aqui só para não falar que eu já também produzem um pouco Oi e a muito muito pouco para sempre vocês muito curtas e ela também por si só é bem curtinha né
a doutora Dilma com alcalina é o principal dela e muita coisa aproveitando aproveitando que são muito parecidas eu vou já falar da região do antro/piloto eu centavo antro piloro Porque estão logicamente são iguais tá ali Ah desculpa é porque tem gente que fala antro piloro que a gente falar vejam antral ou região pilórica tudo como sinônimo eu já falo antro babilou Luanda pelouro que é já pega os dois tipos de preferência do pessoal aí que gosta de falar dos médicos né O que são glândulas pilórica sou glândulas atrás né tem que você todas longas e
ap glândulas curtas foca que foi Bela fosseta longa o que isso vai diferenciado a Card aqui é que parece com essa região o resto são células clarinhos como na Card Acabei de mostrar pra vocês vão secretar muco né amor com pescoço também secreta une só zima tem as células G em abundância nessa região e produzem as Trina né que são importantes para estimular a secreção de ácido pelas células parietais que estão lá na região de fundo pa corpo que eu vou falar agora mas eu te falar eu vou mostrar as fotos né então a força
da cárdia o favela ela é mais longa em a desculpa de outro é mais longo e em relação a Dacar ditas olha aqui ó se elas clarinhas vem até aqui aí você vai querer a folha a água né e começa a região da região das glândulas todinho aqui ó essa bagunça aqui todinha é região das bandas né só que quando você olha aí embaixo as glândulas também com quadrinhos as células são carinhas eu não tô vendendo a célula vermelha chamativa e nenhuma célula roxa muito chamativa que seria comum de a outra região que eu ainda
vou falar não então no citoplasma de cima é muito semelhante ao Tom do citoplasma daqui de baixo Ah tá então você vai pensar em andro cárdia como eu tenho longas for elas aqui eu penso em outro ok essa foto até mais fidedigna é a rotina que a gente vê lá a gente tá vendo aqui tá meio bagunçado estragou um pouco né o preparo não foi muito legal nessa região aqui mas aqui a gente já vê direitinho o formato das glândulas da célula mucosa da superfície uma favela né aí mais ou menos nessa região as favelas
acabam e começam as glândulas e elas são Clarinha só porque secretam um muco tudo célula Clarinha um núcleo basal não tem nenhum outro tipo celular aqui eu tô vendo só célula claro então só pode ser antro ou Card E como eu tô vendo que ela não gosta bem espessa com a longa favela eu vou falar entra provavelmente eu vou acertar e por fim a região de fundo/corpo eu falo fundo barracoso porque anatomicamente chamam de fumo e de cor histologicamente são iguais tá E é a gente vai ter um pouco mais complexidade em termos de tipos
celulares mas se você já reconhece a Card Leandro que são muito parecidos você já faça esses dois né e não tem outros como errar essa região também porque as células presença aqui nessas glândulas são muito chamativas e você viu célula parietal ou e o célula principal não tem como você vai chamar de Corumbá o corpo sem medo de errar a marca da procurando né foi belas você tá aí começa a glândula que tem um lixo lá glândula interessante que é bem na região do estilo que ficam as células-tronco do estômago elas ficam aqui então elas
vão substituir as de sim e a de baixo tem um cola da glândula é um Tem passe tá bom então se fosse aqui ó which ocorre abaixa muito diferente de ter livro que vai mostrar isso não como a região muito Estreita base como região melhor isso aqui é tu também é do olho do cara que fez a a foto né bom então primeiro quero chamar uma para quem chama atenção você já célula que aparece Porque depois vai ter outras elas mas elas não tem que ter que ficar procurando por elas tem que saber que elas
estão aqui apenas isso a primeira se ela te chama atenção essa aqui tá são essas células vermelhinhos que estão aparecendo um pac-man mais ou menos assim né você nem sei sabe amiga também então Ó essas células vermelhas são as células parietais e elas são muito visíveis elas são volumosas redondas com núcleo central e às vezes a gente consegue até ver essas reentrâncias que a gente que tá desenhar dia aqui né como se fosse áreas brancas dentro do citoplasma bem Rosado bem eosinofílicos nessa se ela chama atenção depois começa a sua mãe aparecer umas elas rosquinhas
né essas células roxinha só as telas principais elas acumulam principalmente aqui na base e no fundo da glândula então aparecer tá ela tem quase que para tudo lado ela predomina no colo na glândula no corpo aqui na glândula e depois vai aparecer nas roxinha são os principais e elas predominam aqui embaixo e as outras que células são as outras não as células entram endócrinas que elas estão em todo o trato digestório a gente não reconhece elas uma gaia e as demais que células são essas elas ficam geralmente de um rosa fraco ou lilás sabe elas
são mais difícil de ver que as outras chamam tanta atenção e elas são meio o formato delas não é meio irregular não tem muita graça assim a delimitação essas são as células mucosas do colo o que sobrou pois na cabeça simples sou eu que não é pare e tal e não é principal é se ela acorda do colo aqui Ah tá é claro que pode ser se ela em trenó que não mas eu tô falando de uma rotina da Ema foto você tá aí fazendo uma prova tá batendo o olho não é uma coloração especial
para ver se ela entra endócrino Então esquece ela nesse momento H eles não vai conseguir reconhecer volta na parede e tal na principal e o que sobrar você chama na glândula não aqui em cima né na glândula O que sobrar é célula concorda do colo Quem é essa salão quase do Cola é muito parecida com essa secreto um pouquinho diferente em termos de estrutura mas é muco também tá e tem algumas pessoas que falam que é como se fosse uma célula daqui de cima que tá ainda em maturação e ainda vai subir aqui para cima
subir para cima é ótimo agora sim agora sim essa foto vai fazer mais sentido essa coração Marca um murro alucina quanto mais um Sina mais roxo Então tá vendo que as células mucosas se você tem muito louco enquanto que as células roxinha só as rosquinhas nessa coloração da chama atenção só as células mucosas do couro então nessa coração que não era é e tá evidenciando no Cine eu vou ver muito facilmente as células mucosas do colo só que isso não é rotina a rotina Nossa PH e então aí elas ficam mais sem graça tá mas
nessa foto as células mucosas é do colo estão em roxo roxo mais fraco porque tem menos muco do que aqui em cima Então agora eu vou molhar cada uma dessas células presentes no fundo/corpo né as células parietais vão começar por elas são as que mais chamam atenção elas produzem hcl o e fator intrínseco tá Elas têm um núcleo bem central e Redondo Elas têm um volume muito muito grande elas são redondas bem chamativas aqui não tá tão visível Mas por que aquele aquela reentrância no citoplasma tá visível fica branca com a Clara tá mas geralmente
estou plasma bem Rosado bem Rosado quando não tá visível essa região muito claro aqui no citoplasma essa foto para ver melhor Então olha só é o canalículo entre o celular que faz esse tom rosa aliás eu tô mais claro no meio do Rosa né porque citoplasma dela em si é bastante o seu filho bastante só que quando e eu necessito de uma grande quantidade de produção de hcl eu tenho É como se eu fosse um armazenamento de um sistema tubo túmulo de circular em que eu tenho membrana plasmática repleta de bomba de prótons aqui e
aí elas bem parar onde quando eu preciso secretar muito da série elas vão ser incluídas na membrana superficial E aí o que tava meio assim tímido né concessão canalículo tímido de repente esse tanto de membrana está guardada que vem parar aqui na no canalículo e o formo esse enorme aqui né Cheio de que nesse o sistema que eram sistema túbulo vesicular e acaba virando o quê microvilosidades isso tudo para aumentar a superfície dessas células quanto mais área superfície mas eu consigo transporte o único mas a Graciele eu todos tá bom e nessa foto Wesley Costa
superfície não vou falar mais né produzem um mocali se elas não gostam do qual já falei tá vendo que aqui ó nesse pequeno quadro elas ficam sem gracinha não tem muita cor não tenta forma não aqui tem uma baita de uma célula parietal Rosa grandona e tem várias outras aqui tem um aqui tem outra provavelmente a um pedaço de outra então elas as células mucosas do Cola elas ficam tímidas perto dessas outras muito chamativas elas são as plasmas lilás muito mal definido entendeu um pouquinho às vezes um rosto mais forte mas muito discretas então você
não tem a procurando célula mucosa do: o que sobrou que não é par e tal é a gente vai provavelmente descobrir que é na região do colo se ela no colo e as células hemogenica sou células principais elas são muito muito basofílicas especialmente a glândula desculpa da célula então é cada célula típica produtora de proteínas que tem grânulos de zimogênio bem aqui e aqui na base dela a repleta de retículo endoplasmático rugoso Ok então são as células primogênitos ou principais vão produzir pepsinogênio e a lipase gástrica é uma fase muito fraca nessa foto dá para
ver direitinho agora pessoa as células superficiais eu não sei porque ele é ele não ele não pegou a célula como tu pegou só o núcleo tá errado o jeito que ele fez aqui ó não sei se dá para ver mas na céu é tudo isso aqui ó é porque eu estou falando uma dela tá super Claro e ela funciona as colunas eu não sei por quê criatura tive com dor só um núcleo tá bom aí bom então mostrar aqui a a realmente a região finalzinho é da favela essas células grandona né começa o íntimo da
Globo começa aparecer célula quando lá mesmo aí as células parietais chamam muita atenção então tá aqui o poder uma cor diferente ela parietal chamando atenção toda circundada essa quem Arrasou Tá vendo como ela chama atenção e elas predominam muito do colo e do corpo e aí sobraram as outras que eles nem se deram ao trabalho de circular não deu sim ó circularam elas aqui mas alguns não Então essas outras aqui eu vou por um amarelo essas duas essas que estão ser fundadas em verde né até essas Áquila O que são células que praticamente desaparecem perto
das demais são as células mucosas do cola né que os homens zona do Polo E aí as outras rosadas pelo mozes núcleo Central são as células parietais elas são muito chamativas viu célula parental é fundo barra corpo não tem erro tá base base da glândula predomínio de células principais elas estão ser fundadas em vermelho se elas principais os células de mo gêmeas tá e elas são as células que tem aquela base mais roxinha e os grãos de zimogênio bem no ar Então essa esquema que é bem legal ficou bem o preto é só não falar
que eu não gostei não tá aqui o slides mostrando as salas planeta pano as características dela se quiser pausar o vídeo dá uma lida mas eu já falei a maior parte do vídeo já tá longo elas também são chamadas de oxinticas tá e não esquecendo que sempre tem se elas entrou endócrinas né em maior ou menor grau e fala que ela tem citoplasma Claro tem mesmo Mas é difícil de reconhecer né Igual daí lá no como se fosse lá no íntimo procurar procurar a célula-tronco né vai ser uma cela pequenininha quando pro grande mas a
certeza é mais difícil de ter porque aí fica muito misturada muitas células junto e são células muito discretas né há Porém uma foto assim ele tem uma informação lá esse aqui é um é uma coloração histoquímica para curar se ela neuroendócrina né e doc nac será um cromogranina sinaptofisina sei lá aí você vai ver quem marrom cor ou as células gente no caso aqui é uma amostra de outro Então a gente vai ver que realmente essas células até que são bastante numerosas a questão é que elas são muito parecidas elas não tem uma característica específica
delas elas se misturam com aquelas outras sem gracinhas lá do colo do lixo as basais também nessa células-tronco E aí fica difícil de reconhecer tá vocês não tem que se preocupar em reconhecer isso também e até o dia a dia se a gente quiser observar essa célula a gente vai fazer essa tipo de coloração aqui aqui só depois usa trabalhar nesse slide alguém não assistiu à aula eu deixei esse esse resumo né bem resumidinho e eu tô mais achou interessante essa localização de onde fica cada tipo de célula gente lembrou endócrina né e o que
que ela secreta que que ela Produza então dá uma pausa e dá uma olhada aqui interessante esse esquema aqui eu vou terminar com mais imagens de coco então acordo com o nome desculpa corpo Barra Funda tá então aqui a gente tá vendo células parietais chamando atenção essa aqui é a célula ouro a célula que vai te dar o ponto na prova prática e tá vendo célula parietal apareceu você põe corpo/Funda e as outras e as outras você tem que procurar na base na base Apareceu umas elas bem roxinha saque não tá muito não mas eu
acho que são assim a base tá bem roxinha tem coisa melhor se tem lâminas melhor esquece bom então se você vir as outras e reconhecer com células principais ótimo são principais e ademais as outras claras aqui em cima dessa sala uma coisa do colo se ela entrou aqui Não se preocupem com elas nesse momento é mais detalhe assim a gente pula ver a célula principal ela tem dupla coloração assim geralmente né Então ela tá aqui ó Boa tarde essa célula né você vê que a parte de cima dela tem uma cor clara e meio vacuolizado
Esse aspecto localizada na verdade são os grânulos de zimogênio tão aqui que dão Esse aspecto só o picadinho né e a base das células eu acabei borrando por aqui né Tá vendo que a base dessa célula aqui é bem Nossa Cadê a certo beijo a base das células é bem roxinha bem das o fica fica Vitória da presença da maquinaria celular responsável por síntese de proteínas nessa região né e exatamente isso que a gente veio aqui ó retículo endoplasmático rugoso em abundância nessa região por conta da secreção dos grandes Hemogenin e aqui não tem dúvida
aqui é um fundinho se né base mesmo de glândula a maioria das coxinhas que a gente tá vendo aqui embora aqui não esteja tão Clara a dupla coloração mas dá para ver que é aqui é um roxo mais escuro aqui um roxo mais claro né e-mail atualizado não é só essa que tá a cor Dona bem volumosas célula Poxa na base o rosto mais escuro e um roxo mais claro cheio de sal picadinho dos grãos na no Whats e o resto ainda tem a gente acha as vezes na base umas células parietais no meio que
elas elas se inserem para todo lado Ok por fim eu acho que já é suficiente até mais uma foto é a última Olha então células parietais as vermelhas bem fortes as uma físicas e as principais está vendo que essa foto de cabeça para baixo que é fundo de glândula Ela tá de cabeça para baixo tá E aí a gente vê um excesso né abundância dessas células com base arroxeada Axe lilás todo grandão lusinha todos alta cadinho de grãos verão desse Hemogenin Então se que é fundo barra corpo do estômago espero que eu tenha sido claro
ficou longo Esse vídeo nessa o estômago eu vejo que tem muito aluno que não consegue perceber cada detalhe reconhecer cada região é um pouco complicado mesmo Espero que os próximos vídeos não fica então longos assim