o olá tudo bem nesta sessão mas vamos abordar alguns tópicos no contexto de introdução a neuro radiologia tendo como preocupação principalmente e o estudante de graduação e o não-especialista não sou radiologista mas fico muito à vontade para falar sobre esse assunto o que trabalho quando eu radiologia no dia a dia enquanto prestando assistência como neurocirurgião pediátrico também tem parceria com vivo com excelentes neuro radiologistas entre eles a minha querida colega e amiga doutora está feitosa então fica à vontade para bordar com vocês alguns tópicos referentes a introdução a neuro radiologia com bastantes exemplos práticos sem
esquecer dos princípios dos métodos bom então começando com a influência da radiologia na medicina e na neurociência em geral e nós refletimos sobre esta imagem o que é a primeira imagem de raio-x já feita esse é o dedo da aberta rolim esposa do william hawking que era um físico que descobriu o raio x estão hot quem trabalhava no seu laboratório que ficava em sua própria casa com raios catódicos com emissão de radiação em uma pura de cruz entre dois pólos e em um determinado momento ele começou a perceber que placas impregnados de prata era um
pressionados por alguma radiação que ele não conhecia como ele não conhecia passou a chamar de raios-x e essa radiação era capaz de desenhar nas telas nas placas as imagens dos obstáculos que ela encontrava então com isso ele pediu ajuda a sua esposa aberta para colocar a mão na frente da radiação e obteve essa prima oi e a mão da aberta ruins fiquem com um anel que ela usava isso em 1895 veja que foi uma das um dos avanços tecnológicos mais rapidamente incorporados à prática médica a investigação diagnóstica e que realmente revolucionaram a maneira como nós
investigamos as doenças porque a partir daí os raio-x puderam ter uma aplicação cada vez mais ampla investigando o cada vez mais órgãos e topografias do corpo humano e também tendo os seus métodos cada vez mais sofisticados ao ponto em que já na segunda metade do século 20 e este pesquisador também físico o hounsfield god free hansfield britânico a cinco no ranking ganhador do prêmio nobel de medicina na verdade ruins quem ganhou o prêmio nobel de física o primeiro prémio nobel de física em 1901 e o raul gil que trabalhou na tomografia computadorizada ganhou o prêmio
nobel de medicina em 1979 bom então a tomografia na verdade é uma sofisticação tecnológica um avanço tecnológico em cima dos raios-x ea física que ela usa também é raio x só que com raio-x a gente consegue uma incidência simples um plano ea tomografia computadorizada é justamente por ter uma aplicação radial dos raio-x ela consegue múltiplas imagens que são depois trabalhadas em computador por isso tomografia computadorizada e depois uma imagem reconstruída e nos é fornecida o e avançando ainda mais também na década de 70 do século 20 mas chegamos a imagem o ressonância magnética e também
foi muito útil e é muito útil na atualidade para o estudo do sistema nervoso a ressonância e já tem uma física diferente e não é mais baseada em raio-x mas é baseada na aplicação de um campo magnético e tem uma estrutura biológica no caso o corpo humano e no sistema nervoso o cérebro ou da medula espinhal o que acontece é que quando nós submetemos essa estrutura biológica essa parte do corpo a um campo magnético os átomos de hidrogênio que estão em uma distribuição aleatória caótica dos seus eixos e eles sofrem ordenamento ficou todos os ordenados
com o eixo orientado na mesma direção sob ação deste campo magnético e o a suspensão do campo magnético eles voltam ao seu estado natural só que nessa volta permitida energia que é captada pela pelo aparelho e sua explicação absolutamente simplista para dar uma ideia da física da ressonância essa energia captada pelo aparelho que vem portanto concentrações diferentes de átomos de hidrogênio quantidades diferentes de átomos de hidrogênio nos diferentes tecidos oi e essa informação é processada e uma imagem reconstituída e nos é fornecida com bastante detalhe no caso do sistema nervoso bom então eu tenho contraste
entre os tecidos na ressonância da vida a diferente proporção diferente quantidade dos átomos de hidrogênio é muito bem voltando a tomografia é um dos exames mais utilizados em neurologia e neurocirurgia é um exame de rápido aquisição de fácil interpretação um exame que não tem o custo tão elevado quanto o da ressonância e que resolve grande parte dos problemas sobretudo é urgência neurológico a analisar uma tomografia e aqui nós temos nessa foto um corte axial de uma tomografia é normal eu preciso entender que a variável a grandeza que esse exame tomografia me fornece é a densidade
dos tecidos bom então os raios-x emitidos pelo aparelho de tomografia vão atravessar os tecidos esses eram atenuados a dependendo da densidade de cada tecido oi e o computador vai interpretar é só atenuação diferencial nos mais diferentes os tecidos atravessados pela radiação e faz um fornecer uma imagem reconstituído então veja que quanto mais densa uma estrutura é mais branca ela vai aparecer no exame então veja que a calota craniana é bastante densa e aparece branca luiza é o ar que está aqui dentro dos seios paranasais aqui o seio frontal muito pouco de sua estrutura menos densa
que aparece bastante escuro preto o líquido veja líquido aqui no interior do ventrículo também nas fissuras e vai aparecer também nessa externas também pouco denso é preto e o cérebro e em tons variados de cinza a depender da maior ou menor densidade é sempre importante que eu perceba a centralização da linha média a existência de sulcos e giros a diferenciação entre a substância branca ea substância cinzenta que aparecem até invertidos os nomes branco e cinzento na tomografia por conta da densidade e assim que se analisa de início uma tomografia do crânio é importante examinar os
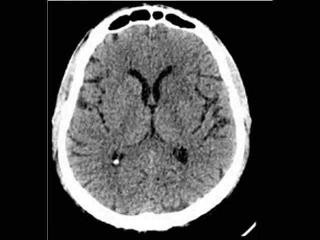
vários cortes e nas incidências axial como é o caso desse corte mas também na incidência sagital e na incidência coronal e vamos comparar com essa outra tomografia que traz uma série de alterações veja ventrículos dilatados e na parte cerebral eu já vejo mais dificuldade em identificar sulcos e giros eu recebi mais dificuldade em fazer a diferenciação entre as substâncias branca e cinzenta e eu tenho aqui um sinal importante veja o cursor uma área que é a escura mas não tanto quanto o interior do ventrículo isso aqui representa líquido sendo forçado para fora do ventrículo por
hipertensão na direção do parênquima é um sinal chamado o transformação transependimario posso ver aqui ó o curso ou bom então caso de uma paciente com hidrocefalia com hipertensão intracraniana é um dos vários exemplos que nós vamos mostrar e o que você vê que é possível analisar um quadro de doença um quadro patológico com o exame de neuroimagem eu vejo agora a mesma doença e você família estudada pela ressonância magnética ressonância da muito mais detalhe do que a tomografia então veja ventrículos dilatados aumentar es a brisa de sulcos e giros dificuldade de diferenciação entre as substâncias
branca e cinzenta o e de novo aquele sinal que é líquido saindo do ventrículo hipertensivo invadindo parênquima a transformação transependimario um sinal de hipertensão intracraniana grave e e esse slide me dá oportunidade de discutir também e as aquisições da ressonância as ponderações eu tenho ponderação em t1 o e em t2 bom então um o líquido é preto em t2 o líquido é branco são conceito básico é importante que no início do estudo da neuroimagem da radiologia a gente tenha é isso de maneira muito claro é a diferença entre outra porque as imagens são adquiridas em
tempos diferentes da volta dos átomos de hidrogênio para sua situação de repouso depois da aplicação do campo magnético então no tempo um o líquido é preto no tempo dois e dois um líquido branco e isso é a técnica e o quê que isso interfere na interpretação associada a clínica o t2 vai dar uma ideia melhor dos ventrículos da situação do líquido e o tio me dá uma ideia melhor sobre o parênquima mas o exame completo engloba as duas ponderações e avançando um pouco mais e mostrando sempre exemplos eu vejo aqui uma tomografia com a dilatação
ventricular mais posterior eu chamo isso de corpo você faria dilatação mais construiu e eu comparo com a ressonância fetal não é o mesmo paciente mas compare com a ressonância e veja que a ressonância no mesmo e aqui é uma ressonância fetal feita dentro da barriga da mãe a ressonância me dar mais detalhe ressonância em t2 fetal dentro do abdômen da mãe enfocando aí o feto há mais exemplos um caso de espinha bífida ou desafios no espinhal problema de malformação por defeito de fechamento do tubo neural vejam a ressonância fetal mostrando a malformação que a gente
veio aqui na criança depois de nascida associada também a hidrocefalia como é no caso da espinha bífida na maioria das vezes associada com hidrocefalia e a ressonância servindo bastante para estudar o caso tanto pré-natal quanto depois que nasce a hidrocefalia associada e o intervalo aqui para gente falar da ultrassonografia no estudo e do sistema nervoso do cérebro esse é um exame que pode ser muito útil em determinadas ocasiões por exemplo no lactente o ultrassom que não utiliza raio-x não é portanto no emite radiação ionizante ele emite ondas sonoras por meio de um pub e o
eco resultante da emissão dessas ondas sonoras é interpretado pelo aparelho e me fornece imagem essa é a física bastante resumida do ultrassom e ele precisa de janelas por onde as ondas sonoras possam atravessar e o lactente a maioria dos lactentes dos bebês eles têm a fontanela ainda aberta fontanela anterior então é uma boa oportunidade para aplicar o ultrassom e analisar as imagens resultantes o ultrassom no sistema nervoso tem outras aplicações também por exemplo no estudo da circulação cerebral com douglas há mais de maneira mais clássica é bastante utilizado no estudo do cérebro dos bebês na
detecção se há ou não e dos e faria veja essa imagem de ultrassom e pode ser de difícil interpretação no começo são vários tons de branco de preto de cinza mas compare com essa imagem aqui do lado veja os ventrículos e um corte coronal terceiro ventrículo aqui ventrículos laterais e com a o progredir do costume da análise dos tipos de exame acaba ficando mais simples veja nessa sequência que é possível identificar por ultrassom e aqui são todos os cortes coronais a dilatação ventricular hidrocefalia nos diferentes níveis de gravidade se relacionando com a clínica do paciente
com sinais como bom dia aumento do perímetro craniano atenção da fontanela anterior clínica de hipertensão intracraniana é possível o senhor obter imagens que você possa associar uma clínica utilizando ultrassom que tem algumas vantagens custo baixo não emite radiação ionizante uma eventual desvantagem que não é bastante independente da técnica do operador então é preciso o ultra-sonografista experiente para obter as imagens de maneira adequada a e veja imagem de ultrassom mostrando uma malformação grave que a holoprosencefalia para que o correspondente em cima de como aparece uma ressonância que imagem de ultrassom mostrando que é bastante útil para
ver malformações do sistema nervoso central e voltando as tomografias vamos acompanhar alguns exemplos e ver como a gente pode analisar tomografia de crânio aqui nós temos uma das principais aplicações da tomografia que é no trauma é possível obter janela óssea que mim foca principalmente a parte óssea na tomografia e eu vejo aqui fraturas de um trauma depois da agressão com martelo eu posso fazer reconstrução 3d na tomografia e aqui eu vejo afundamento craniano e aqui na janela cerebral da tomografia eu vejo uma contusão cerebral um hematoma bom e é importante ressaltar aqui que o sangue
agudo o sangramento agudo na tomografia ele aparece hiperdenso o devido à quantidade de hemoglobina no sangue que tem ferro é denso então o sangue agudo o sangue recente o sangramento recente aparece claro na tomografia aparece hiperdenso branco a aqui depois de um acidente de moto você vê também contusões cerebrais importantes o edema cerebral depois de um trauma também uma fratura craniana então veja como a tomografia nos dá a oportunidade de avaliar vários aspectos de um trauma tânia aqui também reconstrução 3d depois de uma a de um acidente com ferradura de cavalo com coice e o
afundamento craniano e contusões cerebrais sangramento recente é branco é claro na tomografia aqui um acidente com a hélice de navio veja que grave o que aconteceu aqui na parte frontal diz paciente aqui um trauma por queda de um armário em cima é da cabeça de um paciente oi e essa imagem típica de um hematoma extradural traumático o que é que essa imagem de tomografia simples nos fornece muitas informações um sangramento recente no formato biconvexo um hematoma extradural um certo desvio da linha média quer dizer a pressão neste hemisfério está maior do que neste outro é
mistério o apagamento do ventrículo aqui do lado direito ou seja efeito de massa de cima toma talvez enquanto a imagem vai nos dando de informação passível de interpretação e de relação com a história clínica e com o exame físico exame neurológico do paciente há mais exemplos de tomografia nesse caso aqui um trauma obstétrico o conflito do bebê com o canal de parto veja contusão cerebral importante sangramento que vai gerar em um outro momento a necrose de tecido cerebral absorção ea substituição daquela região lesada por líquido então a sequência de exemplos para mostrar como a tomografia
é útil é mais um caso hoje uma conclusão o ea evolução dessa confusão ao longo do tempo há casos também de tumores cerebrais são passíveis de avaliação com a tomografia veja nesta tomografia uma lesões defensiva o glioblastoma tumor maligno é o lado que a superfície seja é heterogêneo e ele tem áreas mais densas áreas menos densas que correspondem a necrose ele tem uma área de edema perilesional veja edema puxa líquido-líquido é pouco denso então edema no cérebro aparece escuro na tomografia ele tem um certo desvio da linha média por que faz efeito de massa ea
pressão nesse hemisfério é maior do que neste outro tão bill blass tomou tomou cerebral nos tumores utiliza-se contraste na tomografia justamente para que o contraste endovenoso vem a realçar ainda mais a lesão e o tecido tumoral necrose realmente horizonte loja mas quando a gente fala em tomografia a gente fala em radiação o paciente é exposto à radiação por isso que se evita a tomografia nas gestantes sobretudo no primeiro e segundo trimestres é isso trabalho aqui de 2012 o coach ficou de maneira consistente riscos de desenvolvimento de tumores sobretudo leucemia e tumores cerebrais com a realização
em seguida de muitas tomografias em crianças então tá realmente comprovado que a tomografia quando realizada de maneira muito repetida e ao longo da vida de uma criança pode gerar o aparecimento de tumores e neoplasias portanto é importante indicar a tomografia somente quando realmente necessário bom então vamos comparar aqui isso é uma metade de cerebral tomou compare aqui em cima tomografia lesão nodular e perder essa com bastante edema pele nacional e aqui embaixo ou a ressonância com o nódulo também com edema perilesional aqui em corte axial aqui encosta ou não vejo a ressonância e fornece bastante
mais de tarde comparação então de tomografia e ressonância a ressonance entrando agora nesse exame que fornece bastante mais detalhe do que a tomografia nos permite por exemplo atualizar malformações cerebrais também perceba essa deformidade de que alho em que o cerebelo está deslocado para baixo no sentido do forame magno comprimindo o tronco cerebral aqui na frente então a ressonância nos permite ver em mais detalhes situações e como és tu e veja a ressonância no estudo de tumores da fossa posterior por acaso são os tumores mais frequentes na criança então veja aqui um astrocitoma pilocítico aqui um
ependimoma nesse outro exemplo o meduloblastoma ea ressonância realmente nos dando bastante oportunidade de estudar localização no tomou a sua característica e também você farinha resultante dele muitas pessoas se perguntam qual é o melhor exame de imagem para pedir em cada caso uma tomografia ou uma ressonância olha não tem o melhor tenho mais adequado à situação se você precisa de uma resposta é rápida a imediata numa situação de triagem numa urgência você vai pedir a tomografia mais rápida mais fácil de obter e vai te dar a resposta em uma situação de emergência é mas para obter
mais detalhes ea depender também da doença em uma programação cirúrgica por exemplo que tudo precisa estar bastante planejado vai ser necessário pedir uma ressonância então em cada paciente em cada situação em cada doença fazendo essa análise como um todo é que se indica o melhor exame há mais exemplos aqui de ressonância no estudo de tumores cerebrais esse aqui é um craniofaringioma perceba uma lesão na região selar com extensão supra-selar é possível ver que o interior dele é cístico e contém uma quantidade aí de substância like e feita e aqui é importante deixar claro o que
a diferença de sinal entre os tecidos na ressonância vai receber um nome diferente daquele que utilizo na tomografia então na tomografia eu falo que a regiões mais densas e menos densas bom então uma região hiperdensa é branca uma região hipodensa é preta e o tenho as regiões intermediárias em tons de cinza quando eu falo da ressonância eu não estou mais analisando densidade eu estou analisando intensidade do sinal captado com alteração do sentido dos átomos de hidrogênio do eixo dos átomos de hidrogênio então eu terei lesões mas escurecidas chamadas de hipointensas as regiões mais claras chamadas
regiões ip intensas e bom então da tomografia hipodenso e pertences na ressonância hipointenso hiperintenso e aproveitando a oportunidade luta só eu chamarei de ipu ecoico ou hiper é código porque é o eco resultante das ondas sonoras que eu estarei medindo na ultrassom bom então veja essa ressonância esse é um t1 ou t2 t1 t2 porque eu líquido é branco e qual é a incidência sagital e o corte sagital acompanhando o plano anatômico sagital então é assim que se avalia um exame de neuroimagem e observo a imagem e comércio dizendo qual o tipo de exame qual
a incidência e na ressonância qual a ponderação então eu digo isso é uma ressonância cerebral a incidência sagital ponderada em t2 então veja aqui bom com a pouco nós vamos nos capacitando a interpretar um laudo de neuroimagem ou a descrever uma neuroimagem e isso é feito com acúmulo de exemplos de experiência e do estudo dos termos da neuroimagem nessa ressonância especificamente um paciente que havia sido submetido a uma endoscopia para tratamento da hidrocefalia eu consigo ver olha aqui pelo cursou um artefato de fluxos no assoalho o do terceiro ventrículo e aí e prosseguindo nos exemplos
preste atenção nessas imagens aqui como é que o comércio a descrever bom e nós vamos buscar pa citando gradativamente e isso é uma ressonância cerebral cortes em que incidence cortes axiais a liberação e o licor é branco ponderadas em t2 em que eu percebo diversas imagens anormais veja aqui perry ventriculares subindo um pouco mais o vejo essas imagens na convexidade cerebral e eu digo que são imagens tendendo ao branco ou preto ao branco mais claras então eu digo que estão lesões hiperintensas no t2 as lesões hiperintensas em t2 a dependendo da clínica podem me sugerir
como era nesse caso é uma doença chamada esclerose múltipla é claro que a sugestão diagnóstica virar sempre da associação com a clínica com a descrição clínica e de imagens típicas o porém o vendo imagens hiperintensos em t2 em uma paciente com clínica característica isso vai me capacitar a afunilar o processo diagnóstico e o poder dizer o que uma das principais hipóteses é por exemplo esclerose múltipla é uma doença desmielinizante inflamatória do sistema nervoso central é a ressonância também muito útil para o estudo da coluna vertebral e da medula espinha é a questão da ponderação também
se mantém então veja aqui eu tenho ressonância magnética da coluna que altura lombo-sacra é porque a parte mais inferior final da coluna é nesse exemplo da esquerda ou de errado em t1 ou t2 t1 o líquida preto e aqui é direita é a mesma região anatômica ponderada em t2 o líquida branco líquido aqui do canal vertebral líquor cefalorraquidiano e o que que eu posso observar nas imagens e os corpos vertebrais veja aqui estão os corpos vertebrais e intercalados pelos discos intervertebrais e dentro do canal eu tenho a medula espinhal a parte final mais inferior da
medula espinhal que é o cone medular e as raízes da cauda equina que daí sai e eu posso até avaliar se altura em que tá terminando e a medula no nível inferior está no nível certo vamos contar aqui as velhas s1 a vértebra sacral mais superior l5 l4 l3 l2 l1 l1 bar e cada uma das vértebras bom então eu tenho que o cone está localizado no nível l1 quase próximo já a l2 l1 l2 então situado no local esperado então a ressonância também é bastante útil para avaliar a coluna vertebral ea medula espinhal e
aqui nós já temos um corte axial é da coluna lombar perceba o corpo vertebral e o arco posterior com o processo espinhoso as lâminas vertebrais e as facetas articulares um dos arcos posteriores aqui no interior o canal vertebral um de cada lado os forames para saída um dos nervos espinhais o corte sagital já foi visto da coluna e aqui um corte axial é muito bem foram então alguns tópicos no contexto da introdução à neurologia alguns exemplos para enriquecer a discussão e à medida que nós somos abordando cada assunto e é sempre importante fazer uma relação
entre a manifestação clínica e a neuroimagem isso vai nos possibilitar a fazer diagnósticos mais adequados e é preciso reconhecer cada vez mais que a neuroimagem faz parte da investigação em neurociências neurologia e neurocirurgia e a gente pode até colocar aqui em uma urgência neurológica e o médico não consegue fazer praticamente nada se não tiver uma neuroimagem fica parecido com o cardiologista quando tem uma urgência cardiológica não consegue fazer nada se não tiver no mínimo um eletrocardiograma a gente não consegue atender o urgência em neurologia e neurocirurgia sem ter uma tomografia no mínimo é realmente importante
o conhecimento básico de radiologia e eu repito não só para o especialista porque eu não especialista estará em ambientes em que haverá o atendimento de urgência neurológica não precisa ter noções da interpretação para eliminar dos exames de dengue em baixo tá espero que tenham gostado a gente fica à disposição nos vários canais de comunicação que estão em slides e até uma próxima oportunidade