saudações a todos neste vídeo vamos abordar o tema trauma da horta o traumatismo da horta é um tema bastante importante pela sua gravidade e temos que buscar sinais principalmente na radiografia simples para suspeitar da possibilidade de traumatismo da horta e tomar as medidas necessárias que são os exames confirmatórios que seria anjo tomografia de tórax ea arranjo grafia digital da horta a ortografia antes de mostrarmos as imagens esse esquema e ilustra muito bem o mecanismo envolvido no trauma autismo da horta você tem aqui a horta e ela é fixada exatamente pelo ligamento anterior uso que acaba
ficando como um cordão fibroso que fixa horta na artéria pulmonar então essa região é uma região que fica relativamente fixa as outras áreas da horta são relativamente imóveis então durante o mecanismo de trauma as múltiplas forças envolvidas tanto no sentido centro por teri or quanto posta anterior quanto no sentido rotacional elas vão acabar fazendo movimentos bruscos da horta a porção móvel da horta vai seguir os movimentos do trauma mas a porção fixa vai ter dificuldade em seguir os movimentos em acompanhar os movimentos exatamente pela fixação do doctor perigoso então exatamente nessa região acaba vendo ruptura
da íntima da horta pode haver ruptura de toda a parede e nesse caso acaba fazendo uma grande hemorragia um grande hematoma medicinal ea maioria dos pacientes morre antes de chegar ao hospital mas se houver uma ruptura da íntima como ilustrado aqui o sangue de 7 a parede da aorta que forma um aneurisma ou pode secar pra fora e informaram que seu do aneurisma traumático exatamente nessa região logo após a emergência que dá subclávia da subclávia esquerda no nível da inserção do estímulo no nível da inserção do doctor perigoso na região do extremo da horta e
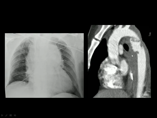
os sinais que teremos na radiografia simples o sinal mais evidente que devemos buscar é o alargamento do meu destino veja que esse time destino bastante alargado apesar da radiografia ter sido feito em app você veja que o mediastino está muito alargado desproporcional ao tamanho da área cardíaca então é um sinal de hematoma do mediastino né é um sinal que sugere a presença de um hematoma medicinal a maior parte dos hematomas meias finais no caso de trauma torácico em decorrência de lesão de grandes vasos deste principalmente a horta existem matou mas medicinais por lesão de pequenos
vasos do meu destino mas a gente tem que sempre suspeitada possibilidade de ruptura de aorta de lesão traumática da aorta na presença de matão no mediastino na presença do alargamento medicinal visto que na radiografia os outros sinais você observa que há um apagamento do contorno da horta você não ver com nitidez ocorre uma opacidade nos apsis pulmonares com essa curvatura formando uma capa apical que o hematoma do mediastino de secando a região subir pro oral e um abaixamento do brônquio principal esquerdo e um desvio da traquéia para a direita então são sinais aí da presença
de hematomas deste final e possível lesão traumática da horta veja que esse outro caso um grande alargamento o mediastino desvio da traquéia para a direita e na tomografia computadorizada do tórax com contraste o ideal é que se faça um anjo tomografia a angiotomografia com cortes finos para fazer as reconstruções você observa que a horta vamos seguindo arco da horta exatamente na horta descendente no início da horta descendente na região do extremo você veja flaps da íntima phelps da parede da aorta ea formação de pseudo neurismene com múltiplas irregularidades então é uma lesão traumática da ordem
e observe que ao redor essa opacificação essa opacidade representa hematoma do mediastino aqui ao redor da wharton vejamos mais dois casos reconstruções sagitais da anjo tomografia de tórax você veja aqui a hora descendo ambiente o arco da horta e quando forma horta descendente você vê aqui uma formação um aneurisma ática sacular exatamente na topografia típica da lesão traumática da horta este caso é atípico porque a lesão com o pseudônimo está um pouco abaixo e nesse caso a via que também um derrame pleural esquerda um hemotórax nos courts axiais da tomografia o que nós vamos ver
você veja aqui a ordem ascendente normal na hora da descendente e veja aqui um flap da íntima uma linha uma imagem linear cruzando a luz e que então você vai ter uma luz verdadeira e uma falsa luz do pseudo neuri zuma traumático nós temos nesse outro caso a horta ascendente veia cava superior tronco da artéria pulmonar terra como na direita e esquerda ea horta descendente você veja ali o fé pi da íntima dividindo em duas luzes nello's verdadeira e o alos do pseudônimo orismar então também em caso de lesão traumática nesse caso existe também derrame
pleural bilateral e hematomas e mediastino veja que esta opacidade de tecidos moles ao redor dos vasos medicinais é hematoma me destinar ao redor da horta que redor da artéria pulmonar normalmente você deveria ver gordura aqui nessa região nesse outro caso você veja que o arco da horta joelho anterior e posterior veia cava superior traquéia e acompanhando o contorno da horta você vê tem um flap e essa formação sacular e também borramento da gordura do mediastino então você tem hematoma meia final ea lesão traumática da horta veja no outro caso na imagem axial observa que o
contorno da horta descendente com a formação dos pseudo neuri zima e na reconstrução sagital veja aqui a formação do pseudo neurismene no trauma da horta isso aqui é uma situação interessante você veja um exame feito com um pouco contraste o talvez tenha perdido o time do contrato contrário talvez já tenha passado e observe artefatos muitos artefatos o contorno da horta fica tudo irregular e são artefatos de movimento em decorrência do batimento cardíaco então esta é uma angiotomografia feita com uma técnica que não é adequada e aqui o mesmo exame repetindo posteriormente com um volume adequado
de contraste num tempo adequado de aquisição de imagem e usando o trigger cardíaco então o trigger cardíaco no aparelho que possui o trigger cardíaco você a copa o eletro e ele é conectado ao equipamento então ele adquire a imagem adquire a imagem de acordo com o ciclo cardíaco e você posteriormente pode processar a imagem escolher em que fase do ciclo cardíaco em que faz do momento do ciclo cardíaco você vai reconstruir as imagens de forma que o resultado é um coração parado você perde os movimentos do coração porque você reconstrói somente as imagens no mis
na mesma fase do ciclo cardíaco na todas as imagens todos os cortes reconstruídas na mesma fase do ciclo cardíaco é como se o coração estivesse parado e isso é possível apenas em aparelhos múltis lais nem multi detectores contribuir cardíaco e observe a diferença veja como o contorno da horta dos vasos fica muito nítido e veja que a pequena lesão a pequena lesão a pequena irregularidade que representa uma lesão da aorta descendente observe aqui o exame feito sem trigger cardíaco você observe que o contorno da horta forma essas ondulações essas escadinha e isso se deve aos
movimentos da horta por causa do batimento cardíaco aquele foi adquirido estava numa posição é a horta se movimentou adquiriu numa outra posição a horta volta num movimento de vaivém você vai ter essas irregularidades no contorno nessas faixas aqui com o trigo a cada dia que você observe que é relativamente lisa o contorno dos vasos isso porque retrospectiva mente a reconstrução das imagens são feitas apenas naquelas imagens no mesmo na mesma fase no mesmo tempo do ciclo cardíaco então o ideal é fazer uma radiografia de tórax uma angiotomografia da aorta torácica [Aplausos] contribuiu cardíaco e você
observe aqui a pequena lesão na aorta na pequena lesão traumática que na horta seria essa lesão é essa imagem que aqui é impossível você falar que é uma lesão aqui é a lesão porque você não tem os artefatos de movimento e o padrão ouro logicamente é a ortografia você veja aqui a ortografia horta cheia de contraste e o pseudônimo smac a lesão traumática da horta um outro caso a horta cheia de contraste à formação aqui do pseudo neurismene lesão traumática da horta então terminando este vídeo eu queria destacar alguns pontos um ponto é que é
necessário procurar mos os sinais de lesão da horta os sinais de hematomas e mediastino na radiografia do tórax e ele é dado principalmente pelo alargamento do mediastino pelo barramento do contorno da horta o desvio da traquéia para direita do brônquio principal esquerdo inferiormente ea capa apical né uma opacidade apical esquerda então sempre que tiver um desses sinais você deve suspeitar de lesão da horta e fazer aí a anjo tomografia de tórax a angiotomografia da horta se possível a ortografia o segundo ponto o exame definitivo é a angiografia digital na ortografia mas a tomografia computadorizada com
o contraste e melhor ainda a angiotomografia da horta ela é muito eficaz para detectar os traumas de hortas lesões traumáticas os pseudo aneurismas o hematoma de mídia destino e se houver disponibilidade ela deverá ser feita num aparelho múltis las melhor ainda se esse aparelho mutilar-se dispor de trigger cardíaco então você usa a técnica de angiotomografia da horta com o trigger cardíaco porque aí você adquire a imagem com a horta a reconstrução da horta parada ela fica muito nítido você elimina os artefatos de movimento e consegue ter uma nitidez muito maior nos contornos na parede da
aorta ok então nesse vida era isso até o próximo e obrigado