e aí hoje vamos falar sobre os primeiros passos né como iniciar no blue sky plan a parte básica gente precisa dominar toda vez que a gente vai abrir um exame pode ser um escaneamento pode ser uma tomografia podem ser os dois a primeira coisa que a gente vai fazer normalmente na aí para parte de guia cirúrgicas quando a gente vai para parte cirurgia implantodontia o cirurgia oral tá é um clicando na guia cirúrgico a gente tem três opções da eu costumo ir pela do meio porque aquele automaticamente já me joga depois para importar modelo tá
se for necessário então eu clico na boa até a minha na minha pasta aqui de exames eu vou encontrar o paciente que eu quero e eu quero fazer a exportar a importação né e bota achar o meu dayco tá então a primeira etapa ali quando eu clico no item do meio é abriu dai bom duplo clique em qualquer um deles a e fala espero o software ele fazer a montagem mas não entre abre essa janela a gente dá um ok a oi e aí a gente tem essa imagem aqui aberta tá nesse momento é importante
a gente fazer alguns alguns ajustes sabe que muitas vezes na radiologia nos manda com algumas linhas né em correta alguns planos às vezes em correta tá então geralmente quando eu faço eu recomendo para que seja feito aqui um ajuste tem que deixar o plano oclusal na ajustado nem tanto plano de camper ó linha pipilar na bíblia sim é para que a gente tem uma ideia no momento de encerramento mas o plano a que eu cruzou é para que o momento que ou sofre passa reconstrução eu tenha as parassagitais uma posição um pouco mais adequadas tá
aqui fazer alguns ajustes nada.de dabs axial e aqui da vista frontal na vou tentar deixar a linha bipupilar ou a gente pode usar como referência os enferme tários para deixar isso aqui alinhado perde consegue ter uma ideia de plano incisal plano oclusal tá eu costumo deixar em mp porque é mais fácil de enxergado que esse rpg mas tanto faz até a gente dá um ok a partir daí a gente vai ter o software aberto o jaílson software ele nos orienta aqui algumas questões é automaticamente a importar o modelo estelle na tomografia escaneamento de tomografia na
da impressão a ou até o modelo aqui peças opções geralmente a gente vai ter um modelo stl né biquíni amento intraoral que a gente vai dar aqui um ok vamos na mesma pasta do paciente é a mesma passa a gente vai encontrar o spl nesse caso é o caso pedido pelo pelo médico e o próprio site dobro skyplan na tem só arcada da mandíbula mas a gente conta basicamente a gente sempre faz maxila e mandíbula e o processo é o mesmo aí para fazer o alinhamento bom então e a gente aguarda aí o próprio software
de fazer um alimento automático tá que eu indiquei ali que era uma mandíbula e agora espera de fazer um neném para automático toda vez que eu fizer alinhamento automático eu preciso checar a compra preciso conferir né se mete na sobreposição foi ideal da geralmente a gente vê isso quando você tem uma malha né tigrada na entre o estéreo daikon e principalmente na janela e axial aqui na parassagital desculpa e aí a e na parassagital eu ia ver o acompanhamento da linha amado do incisivo dos casamento é a linha com uma tomografia ser letal suficientemente adequado
tá normalmente o software faz uma boa um bom encaixe a ou você pode fazer aqui os pontos ligar pontos através se caso não tiver muito correcto we can pontos aperta shift vamos aguardar um e aí o software ele vai nos abrir essas duas janelas uma janela aqui com a tomografia não modelo da tomografia e a outra um estelle tá para fazer esse alinhamento a gente vai apertar shift e clicar nos pontos que são incomuns entre as duas a intro 2 as duas janelas a então eu fiz aqui pulando dente a dente um dente sim dente
não e aí oi e aí eu vou dar um ok e vai fazer um cálculo e vai montar essas duas remontar essas duas arcadas e e aí ele pode corrigir pode melhorar pode piorar depende aí da avaliação bom a partir daqui e a gente vai fazer um alinhamento das janelas tá esse é o primeiro passo que a gente vai fazer porque não aumente a sua reconstrução aqui panorâmica que é essa risca aqui ela não é bem delimitada ou muitas vezes não pega nossa área de interesse então a gente vai até a nossa área de interesse
através da sarinha azul tá se não tiver ativado essas essas riscas clica nesse ícone aqui tá bom e se não tiver com as janelas assim vem ao em ferramentas ver a perspectiva e usar aqui a presencial cinco é eu vou até cinco janelas aqui tá então pra eu fazer esse alinhamento aqui eu quero ver mandíbula no caso aqui é a mandíbula eu vou clicar aqui em desenhar curva dentária e aí eu vou até lá atrás coloco aqui a linha na galáxia a numa em que eu pegue todos os dentes e vou até lá desde lá
atrás ó e vou desenhar é a minha linha panorâmica clicando com o botão esquerdo tá e dando um esc logo depois que eu tiver satisfeito com isso mas não mãe entendeu acho que ele vai remontar aqui meu plano aqui a minha janela panorâmica tá eu posso abrir através dessa bolinha abrir e fechar janela e como eu posso também mudar algo aqui dessa janela com nos quadrados seu clicar nesse ícone aqui ele vai reconstruir toda a malha que estiver entre as duas riscas aqui seu afinar um pouco ele vai simplificar seu a largar ele vai sofrer
por mais cortes e com quem g1 e a partir desse ponto a gente vai delimitar trabalhando em mandíbula ou trabalhando em regiões de maxila em que eu tenha alguma estrutura vascular nervosa que seja relevante eu posso identificar com tomografia a gente vai fazer a identificação dela no caso aqui ele vai fazer o desenho do alveolar inferior colocando adicionar alveolar abrindo essa janela parte momento que tiver janela aberta eu posso ir no detectar tá então detectar nervo e ele vai me pedir aqui a para que eu vá até o forame mentual e geralmente em 1º e
2º molar segundo pré-molar desculpa e aí encontrando eu clico dentro do de dentro da janela para eu fazer algumas movimentações da janelas tá e aí ele vai fazer um cálculo automático aqui e que normalmente quando a mandíbula é muito pouco cortical ou a medular é muito frouxa ou solta ele não faz um bom cálculo que a gente precisa sempre e corrigindo e manipulando aqui essas bolinhas dá para alinhar a sempre fazer esse alinhamento aqui o do mouse o botão a da direita para sempre clicar o botão da direita para cima e para baixo dá um
zoom tá botando os apertando o botão do scroll eu dou é o movimento né no em um plano e seu jirau escrow e o movimento a minha janela de acordo com o que eu tenho delimitado aqui deportes tá eu posso mudar aqui a qual é a distância entre os cortes eu posso diminuir ou ir até 0.01 é então que essa esses cortes aqui e são relacionados a ex forte para sagitário vão estar mais próximos das eu colocar dois a distância você distanciar cada corte sugiro sempre esteja de 1mm ou menos dá para gente não perder
informação do exame e a outra forma de se desenhar o alveolar inferior da aí em adicionar nervos e aí a gente desenha nosso próprio alveolar gu tá dando um pouco movimentando a janela e clicando com o botão esquerdo aonde eu quero os pontos do alveolar inferior eu vou avaliando na tomografia e aí e aí e eu posso bloquear o meu nervo aí a partir daí eu tenho nervo desenhado aqui se eu vier nesse ícone clicar em pré-definições e mpe ele vai me dar uma reconstrução a movimentando a frente a intensidade desse dessa reconstrução a gente
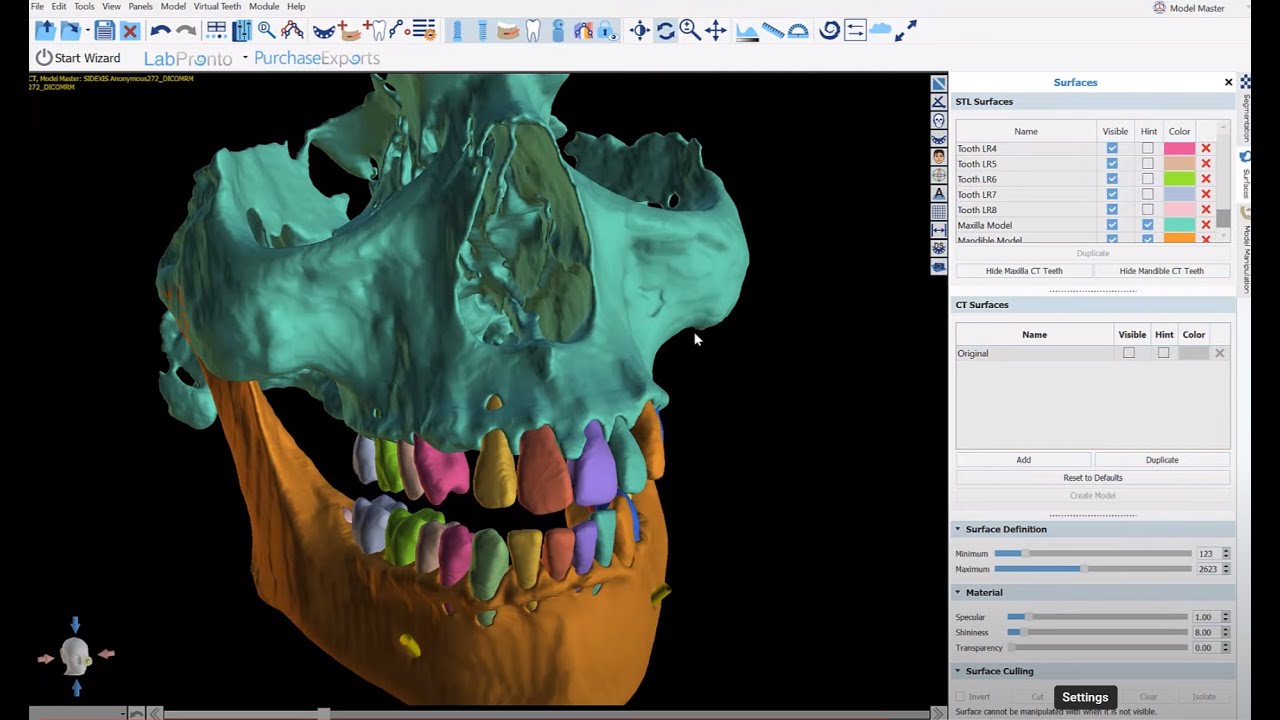
consegue tem a a uma visão de transparência na decisão a é a partir daqui eu tenho um exame montado na depois de fazer todos esses alinhamento sus e aí eu posso ir para a parte de encerramento em que eu posso colocar dentes a ou eu posso ir para parte de implantes para eu entrar parte implantes tem tem um garantia de que estejam em no modo avançados da guia cirúrgica que pode ser tanto por aqui quanto pelo módulo ea cirúrgica avançadas e aí vai abrir o ícone do implante em que a gente pode tanto selecionar as
empresas têm de implante a biblioteca quanto confeccionar na personalizar e um implante eu acho que aqui entra um básico inicial para que para que vocês possam você possa ter essas informações poder iniciar na blue sky glam essa versão é o 4.7 15 não me engano tá cinco que a versão mais nova que eu estou falando em em agosto de 2020 a então aqui é onde a gente pode trabalhar nesse início a o combo sky fran a existem muitas outras ferramentas e aí a gente pode abordarem outros temas peçam aí quais são os assuntos de interesse
em vou abordando aí de acordo com a necessidade e e aí