[Música] Fala galera esse vídeo aqui é um teste se vocês gostarem e quiserem depois eu faço outros eu vou mostrar a anatomia neuroanatomia nesse caso mesclando com as aulas de imagem pra gente conseguir ver na ressonância Quais são as estruturas e tudo mais e se ficar bom e o resto quiser a invés de fazer aquelas apostilhas eu vou fazendo o vídeo aqui que acho que fica mais fácil todo mundo aprende mais fácil também bom para começar isso aí já todo mundo acho que já sabe mas é só para relembrar os principais cortes anatômicos que a
gente vê na ressonância aqui à esquerda o primeiro axial o do meio um corte coronal e por último o corte sagital mesma coisa que os cortes anatômicos só que aqui visto na ressonância bom Depois a gente vai para sequências ou ponderações que são utilizadas na ressonância para estudo na neuroimagem na aqui na imagem a a gente tem a ponderação em T1 na imagem B em T2 e na imagem c o tipo flir Quais as diferenças entre elas a T1 a gente usa para obter informação anatômica Então você consegue visual visualizar a estrutura anatômica melhor nesse
tipo de sequência e e lembrar também por exemplo na esclerose múltipla a gente identifica lesões antigas com manchas negras mais escuras Então você consegue consegue saber se a lesão é mais antiga usando uma sequência T1 no T2 aí você pode perceber que no ventrículo lateral aqui o liquor tá com hipersinal isso é uma dica para saber se tá em T1 e T2 o liquor tá sempre mais claro com o hipersinal em T2 E aí a gente já usa para avaliar lesões mais novas lembra por exemplo na esclerose múltipla que a gente tem que fazer a
disseminação espaço tempo então é importante você diferenciar entre T1 e T2 para ver se essa lesão é uma lesão antiga ou uma lesão recente que o paciente acabou de ter e por fim aqui a c é uma imagem com sequência estilo flir que são lesões é bom para identificar lesões de substância Branca por exemplo em caso de isquemia que você vê um hipersinal nesse tipo de de sequência Essas são as principais não são todas mas são as mais utilizadas depois aqui eu coloquei uma imagem para diferenciar a substância branca de substância cinzenta substância cinzenta aqui
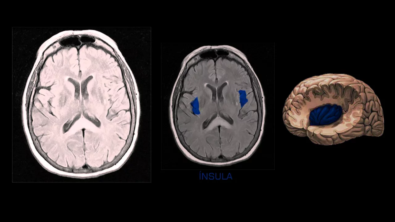
na flechinha reta a parte mais externa né que é formada por corpos e neurônios e na substância Branca formado por fibras essa setinha curva aqui dá pra gente ver a diferença que é bem nítida né na imagem aqui também a gente vê consegue visualizar os núcleos da base né mas isso aí vou falar mais na frente agora o uma divisão dos lobos né como é que a gente visualiza os lobos o frontal o temporal a ínsula o occipital e o parietal bom aqui eu destaquei em laranja o lobo frontal e em seguida uma marca importante
que é o suco lateral ou a fissura de silvios e ele é importante pra gente conseguir identificar e conseguir delimitar o que é lobo frontal do que é lobo temporal e de onde estaria por por exemplo o lobo da ínsula então aqui em verde eu destaquei o suco lateral ou fissura de silvios né em seguida o lobo temporal aqui em rosa essa parte para trás da fissura ou do suco de silvios o lobo ospital todo mundo já sabe aqui a gente vê o lobo em destacado em azul o lobo da ínsula que é um lobo
mais interno né dá para ver aqui nessa imagem à direita a última à direita colorida uma imagem do Netter com com o corte aqui na região temporal que dá para visualizar o lobo da ínsula eu não coloquei aqui as funções de cada um dos lobos eu vou deixar isso para um próximo vídeo eu vou colocar resumido o que cada Lobo corresponde a cada função vamos ver dá uma olhada nas estruturas né nas principais estruturas que podem ser visualizadas eu à medida do possível eu coloco sempre o corte sagital e o axial lado a lado pra
gente poder comparar nesse corte axial eu peguei um plano uma altura que dá para visualizar a maior parte das estruturas né então Lembrando que são várias alturas de corte cada um a gente vai conseguir visualizar melhor por exemplo nos Lobos eu não coloquei o parietal porque não dá para visualizar seria um corte mais alto então aqui eu vou usar esse corte PR poder visualizar a maior parte das estruturas aqui em verde a gente consegue ver os ventrículos laterais tanto com a sua porção anterior aqui em cima quanto com o corno posterior do ventrículo lateral no
corte sagital a gente vê aqui também pintado de verde o que seria o ventrículo lateral aqui numa outra altura num outro corte numa outra imagem também dá para ver pintado de verde a parte a porção anterior e a porção posterior do ventrículo lateral aqui eu pintei de azul dá pra gente visualizar você der um zoom o plexo coroide que é responsável pela produção do líquor então nessa imagem a gente consegue ver o plexo coroide numa sequência numa ponderação em T1 comparando também a sagital com a axial dá para ver o corpo caloso a gente sabe
que o corpo caloso tem o joelho o corpo e o esplênio do corpo caloso nessa imagem em corte axial você consegue visualizar o joelho e o que seria o esplênio do corpo caloso Bom agora eu vou pegar uma imagem que dá pra gente visualizar bem os núcleos da base aqui pintado de verde a gente consegue visualizar o que seria o núcleo lente fore que é em formato de lente pode perceber que ele forma uma espécie de uma lente e ele é formado pela junção do putam e do Globo pálido lateral e o globo pálido Medial
aqui é bom dar um zoom deixar em tela cheia para visualizar mas dá pra gente ver a cápsula externa o que seria a cápsula externa né para visualizar melhor coloquei essa imagem que a gente tem do do do morfo funcional que dá para ver aqui ó o número sete seria a cápsula extrema o nove o claustrum e o oito a cápsula externa né então ali naquela naquela imagem anterior tá na verdade estão esses três juntos né aqui pintado de vermelho tô representando aqui pintado de vermelho eu tô representando a cápsula interna a cápsula interna também
é dividida em porções né de porção anterior o corpo e a porção posterior depois também vou fazer um vídeo colocando as principais funções dessas áreas que a gente tá falando aqui pintado de Laranja dá pra gente visualizar o núcleo calado que acompanha o ventrículo lateral em roxo a gente consegue visualizar o tálamo e agora um corte sagital pra gente visualizar algumas estruturas algumas repetidas e outras novas aqui como já tinha falado joelho corpo e esio do corpo caloso em verde o ventrículo lateral aqui em rosa representando O Aqueduto mesencefálico ou Aqueduto de silvios que vai
trazer o licor lá do ventrículo lateral para esse quarto ventrículo aqui pintado de roxo nesse Verde clarinho o fornes aqui em laranja o corpo mamilar em azul a hipófise aqui em roxo de novo o tálamo [Música] aqui nessa imagem tô representando o tronco em Amarelo o mes encéfalo em laranja mais claro a ponte em laranja mais escuro o bulbo que também é conhecido como medula obil longa ele não tem uma limitação Clara anatômica né uma delimitação muito Evidente então eles utilizam o forame Magno como se fosse o limite do bubo Lembrando que eu não coloquei
as funções aqui nesse vídeo é só pra gente identificar as estruturas e aí se vocês acharem que vale a pena se fica legal eu vou fazer um vídeo sobre as funções de cada uma dessas áreas e também outros vídeos identificação não só de neuro mas de outras estruturas que a gente vê em ressonância tomo e raio x para ficar mais fácil pra gente estudar valeu dá um curtir aí inscreve divulga pr pra galera p [Aplausos] [Música]