hola bienvenidos soy fernando pérez de la cátedra histología y embriología de la facultad de ciencias médicas de la universidad nacional de rosario el tema de hoy es punk jazz el páncreas es una glándula mixta agua pnv y crea quiere decir que está constituida por un epitelio glandular exocrino y endocrino está rodeado por una cápsula de tejido conectivo denso que emite tabiques completos que dividen el órgano en los lisos la producción exocrina corresponde a enzimas digestivas y bicarbonato en tanto la producción endocrina la insulina el glucagón la somatostatina el poli péptido pancreático y vemos una imagen
microscópica del páncreas con su típica forma en masa con una cabeza un cuerpo una cola que se extiende de manera longitudinal contactando con el vaso en la celda sufre nica izquierda rodeado por las cuatro porciones del duodeno a lo largo de su cuerpo recorre de manera longitudinal el conducto principal o conducto de wilson que recibe la desembocadura de los conductos extras lobulillar es por su doble origen embrionario presenta una porción que tiene un segundo conducto que es el conducto accesorio o de santorini que puede terminar de manera individual en la canícula menor o de manera
conjunta con el wilson en la y al cole doc o en la segunda porción del duodeno en la canícula mayor la secreción enzimática tiene una doble regulación la regulación neuro endocrina sistema nervioso y producción hormonal las hormonas entonces encargadas de estimular la secreción pancreática son el componente exo querer me refiero la col existo quinina o panchos y mira que estimula la producción de enzimas pancreáticas como la secreción biliar y una segunda hormona la secretina que estimula la producción de bicarbonato bien profundizando con química con fisiología pero les enunció en líneas generales las enzimas pancreáticas las
amilasa para degradar carbohidratos lipasas fosfolipasa y colesterol es esperanza para categorizar los lípidos el arribo nuclear desoxirribonucleico endo peptidasas como la tripsina la quimio tripsina que son las más abundantes exo peptidasas como la de las tasas amino peptidasas enzimas para degradar proteínas quiere decir que el páncreas exocrino los casinos ser osos producen enzimas para degradar para catalizar los tres grupos químicos orgánicos bien recordamos que un órgano macizo podría estar envuelto por una cápsula y está emitir cápsulas de tejido conectivo de eso emitir tabiques incompletos o tabiques completos cuando los tabiques eran completos el órgano se
vea dividido segmentado fraccionado en los brillos bien comparemos el hígado versus el páncreas el páncreas está envuelto por una cápsula del tejido conectivo que emite está listas completos que lo dividen en los brillos otro tanto ocurre en el hígado la cápsula envía tabiques completos y lo divide en los rizos las diferencias están en lo siguiente los lobulillos pancreáticos presentan distinto tamaño distinta forma pero similar estructura esa similar estructura está a su vez subdivididas hay un componente exocrino a cargo de los chinos ceros oscuros y un segundo componente es el componente endocrino a cargo de los
islotes de las cajas los vecinos entonces producen el elemento exocrino las enzimas y el bicarbonato y los islotes de langerhans las en cambio el brillo hepático o los los juicios hepáticos tienen similar tamaño forma también parecida hexagonal la mayoría algunos pentagonales donde en esos los grillos los cordones de hepatocitos o el hepatocitos es responsable tanto de la producción exocrina como de la endocrina veamos ahora el páncreas exocrino como dijimos a cargo de los casinos y conductos intercalar es la producción asignar a cargo de la secreción de las enzimas proteasa sami lanzas y pasas y los
conductos intercalar es para la producción de bicarbonato recordemos antes las diferencias de adén o meros no sean de números que presentaban por ejemplo en este corte sagital como en el transversal una pequeña luz menor luz de la de número que el conducto excretor se trataba de ácidos en cambio si el ade no me lo presentaba mayor luz el conductor escritor esto era un alvéolo los alvéolos por ejemplo los mamarios pueden almacenar secreción y boca y volcarla luego de un periodo de tiempo en cambio los así nos producen un menor volumen que lo liberan de manera
continua su luz no puede almacenar bien aquí observamos una imagen abajo aumento del páncreas que observamos detectamos los bullicios de distinto tamaño de distintas formas ovoides triangulares más rectangulares cúbicos etcétera estos espacios estrechos son los tabiques delgados que se ensayan en pequeñas regiones dónde se localizan vasos tejido adiposo conductos escritores bien aprovechando este esquema vemos en azul celeste los vecinos y los oscuros que presentan basso filia periférica basal un desplazamiento de los núcleos aunque se mantienen redondeados odios y gránulos hacia el borde apical las células hacinar es entonces liberan las enzimas proteasa sami lanzas y
pasas y observamos un elemento característico exclusivo del páncreas que es que el conducto intra lobulillar tiene una porción que se introduce que se intercala está pisando la luz de la signo entonces esta fracción de el conducto escritor tapiz a la luz de la de la estructura asignar y produce bicarbonato entonces se denomina intercalar porque se introduce es se intercalan en la luz y presenta al corte entonces dos tipos de ser una sextos así nos las células asignadas productoras de las enzimas y las centro a finales que son las células del conducto de intercalar las células
entonces centro así nos as y del conducto intercalar son las productoras de bicarbonato a finales producen las enzimas y en estos conductos intercalan es de shawal en el conducto de intra lobulillar y éste en los conductos extra lobulillar es bien en esta otra imagen con algo más de aumentos vemos tabiques coloreados por la cocina de la micro mica color rojo rosado bien la presencia de vasos sanguíneos de conductos extra localizadores de distintos diámetros y aquí uno de mayor porte de mayor diámetro que puede ser el conducto principal dentro de los lobulillos vemos una marea de
ácidos ceros oscuros y en este otro uno y lotes de las verjas una y la endocrina dentro de un mar de así no ser osos ex ok tenemos con esto y bajo aumento tabiques que limitan que rodean que dividen al órgano en los bolillos y una marea de así nos ser osos puros en esos lobulillos con algo más de aumento vemos los tabiques y los conductos extras localizar es en esos tabiques con más aumento vemos así nuevos cortados transversalmente y observen el que les señaló con el láser que se destacan células hacinar es que presentan
núcleos desplazados hacia la base esa zona del citoplasma basal muerte se muestra más oscuro vean estos otros más vasos filo porque así está el red el gohsi los órganos de sintetizadores hacia el borde apical se observa más claro más ácido filo correspondiente al acúmulo de secreción y todavía las células no excita en este así no les destacó con los va a ser un núcleo que es muy diferente a los núcleos de las células hacinar es este núcleo corresponde al conducto intercalar este núcleo corresponde a unas células centro senos aquí les enseña los conductos intercalar es
conductos intercalar es estos dos núcleos corresponden a hacer las centros y nos has de conducto intercalar más células centros y nos has del conducto para aquí un dentro de éste así no en el centro un núcleo de unas células centro a senos arriba y a la izquierda en el tabique con más colectivo con más fibras colágenas conductos extra lobulillar con más aumento un islote de las granjas y así nos ser osos puros aquí células del conducto de intercalar células centros y nos has más células central si nos conducta intercalar quédese aguado a talón un conducto
extra lobulillar bien más a signos como de trampa sofía periférica vas al ácido filia apical la imagen de la derecha se repite para sofía la periferia ha sido fija en el borde apical y núcleos están en la luz de la sino que son correspondientes al conducto intercalar pero como están en el centro centro sino sas son células centras en osas del conducto intercalar productoras de bicarbonato las células así nares productoras de enzimas bien en la imagen de la izquierda un y lote de langerhans rodeado de así los ceros os queremos una marea de células yuxtapuestas
un epitelio glandular endocrino de tipo reticular en relación no a conductos escritores sino a capilares sanguíneos aquiles señal por más aumento la imagen de la derecha es un conducto que está en el tabique un conducto extra lobulillar con más aumento el mismo conducto transportando secreción en su luz bien en el esquema inferior se destacan así nos y el conducto intercalar que se intercala que tapiza la luz de estos así nos ser osos puros conducto intercalar conducto intercalar que va a desaguar en el intra lobulillar y éste fuera del ovillo en los tabiques el conducto extra
lubrica en la imagen superior vemos los así no ser osos los núcleos de las células centro así no sea que correspondan a las células que tapizan el conducto intercalar massa si no 0 sos más orfilia periférica ha sido filia apical núcleos en el centro de la sino del conducto de intercalar o células centros y nos arriba y abajo células del conducto intercalan otra imagen más islotes perdón más así no ser osos con ácido filia de los gránulos escritorios contenidos en el borde apical y células centro así nos perdonen la reiteración de múltiples imágenes pero para
ser el ojo hito lógico del ojo clínico de cada una de las estructuras pasemos ahora al páncreas endocrino a cargo de los islotes de las garras en esta imagen de bajo aumento en la marea de así no ser osos vemos este componente más claro que corresponde a los islotes de langre con algo más de aumento rodeado de esta marea de así no ser osos puros los islotes de la terna queremos vemos grupos de células yuxtapuestas epiteliales que tienen distinta respuesta a las células por lo tanto se pueden identificar distintos tipos celulares obviamente se realizan funciones
especiales para objetivar bien los distintos tipos celulares alfa beta gamma delta peta qué producen todas las hormonas del islote para que recuerden si quieren las más importantes la beta v la insulina las alfa o el glucagón bien más islotes de langerhans epitelio glandular endocrino en relación con capilares sanguíneos más islote del año bien por último la guía escritora dijimos que los casinos están tapizados por el conducto de intercalar y este conducto ente alcalá egresa de la signo desembocando en conducto intra lobulillar y éste va a desaguar en el conducto extra lobulillar entonces conflicte hacer éste
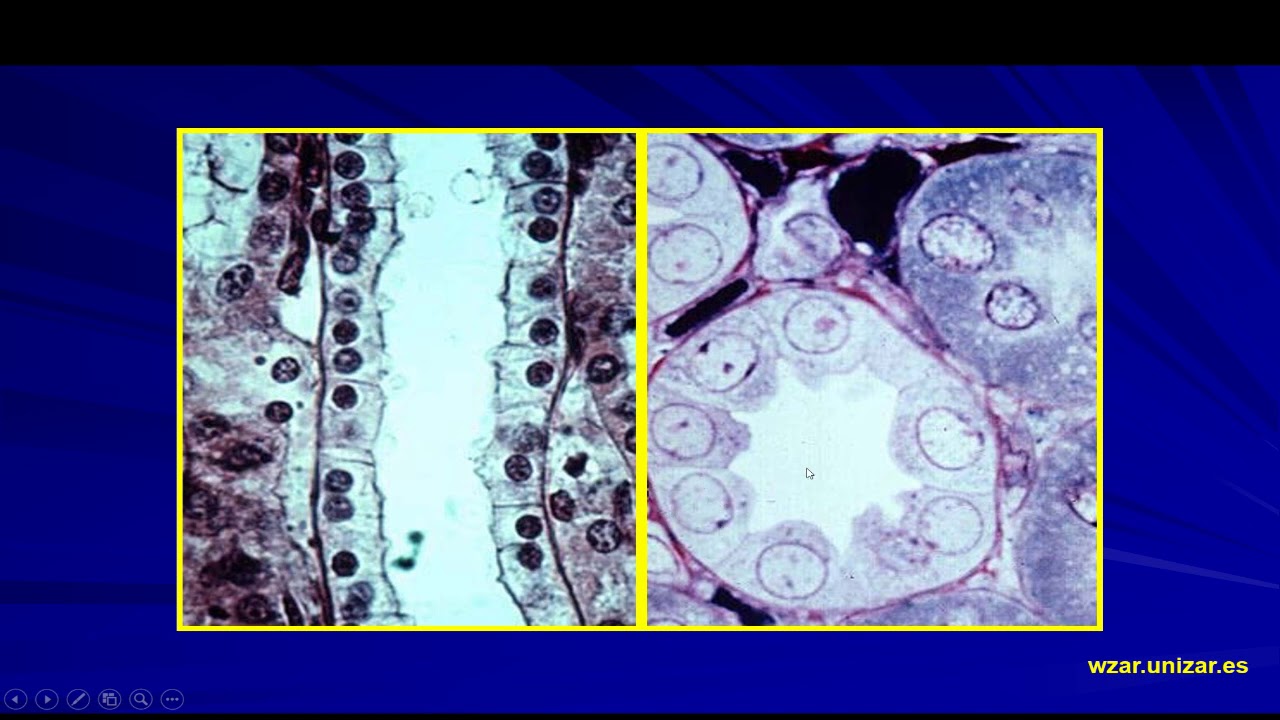
en el marco del conducto intercalar con rojas el conducto intra lobulillar y ahora con azul oscuro el conducto vean las fibras colágenas que lo rodean el conducto extra en la orilla el conducto extra lobulillar o inter lobulillar en el espesor del tabique más conductos extras luego iniciales el espesor del tabique aquí en corte transversal otro conductor extra lobulillar otro conductor extra lobulillar vea como a medida que va progresivamente aumentando de diámetro esta luz las células tratan de ser algo más alta y podemos decir que es un cúbico a cúbico alto y vemos algunas células intentando
ser más altas un cúbico alto las células se ven obvias y no redondeadas en cambio en esta imagen vemos un corte transversal de un conducto que tiene mayor diámetro mayor luz con un epitelio de revestimiento de mayor altura esa tendencia de ser cilíndrico pero es un cilindro alto que puede llegar a ser pseudo estratificado y estratificado otri y estratificado entonces estamos viendo el conducto principal un conducto de wilson que presenta un colectivo más grueso y en ese colectivo aproximándose para desembocar conductos extra los globulares que viajan por esos taxis que para desembocar en este conducto
principal más periféricamente los lobulillos con un predominio de a signos ceros o puros muy bien esto es todo por ahora muchas gracias éxitos hasta la próxima