e aí g1 o olá hoje nossa sala vai ser sobre sério então o sangue ele vai ser composto pelo quadro que é soro seja contra o inim e também pelos elementos celular a história né então ela vai ser composta de três elementos celulares as relações oi oi e aí ah e também as panquecas que você fragmentos do megacariócito que se localiza na medula óssea e hoje a gente vai diferenciar esses três em poções três elementos celulares do tá começando fazer massa semanas elas vão ser uma célula ampliada que vai ter uma forma me contra então
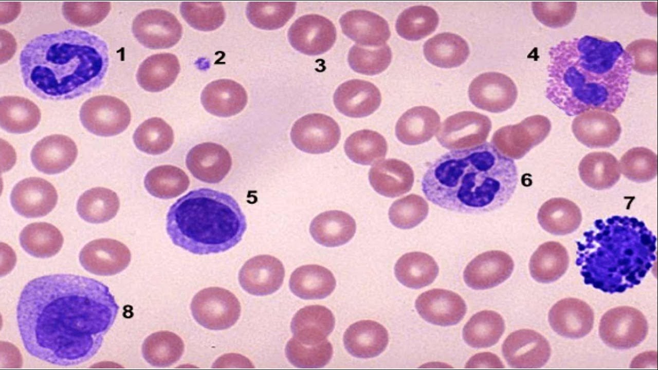
sempre e vai ser mais fino que eu periferia e aí oi e a posição central mais clara ou seja alguns né escola passa mais na posição central isso não é um mundo é simplesmente havia sido decorado tá as hemácias de novo elas são células anucleadas e e os propósitos ou glóbulos brancos sua vez que essas células nucleadas e a gente vai diferenciar a cinco tipos de leucócitos de acordo com a forma do número e também e se existe ou não grandes tomar então começando com elsa enorme o ensino ópio ele vai apresentar um núcleo que
que tem dois ovos a gente chama de número e uma angular outro lado e também no citoplasma a gente vai visualizar gun e eu cinófilos você seja uma coloração mais vermelha os próprios vão ter o número dele logo lado também só que com mais de dois ovos então a gente caracteriza os neutrófilos com o núcleo ou um três lóbulos ou quatro cinco blocos e também vão te grânulos pequenos nos reprovaram é uma só fico sabendo ele vai ter um número irregular só e aí e aí olá seja tanto número quando os grãos celular ele ficou
bom então a gente acaba sendo uma célula bem basofila no meio do mar de monstros sa as células que contém grânulos você tomar a gente vai precisar as cancelas grânulos ou leucócitos granulócitos unifoz que nós tu já e não citoplasma e aí e como elas agrolares ou leucócitos agranulócitos unifor e vai caracterizar o núcleo do linfócito eu mostro ele vai levar de novinho 80 90 porcento dessa célula e o resto a gente vê ao redor um pouquinho de citoplasma ele o nosso que vai apresentar onu em forma de grão de feijão ou forma uniforme e
aí é e como é que a gente diferença por info e vai e está tempo da céu e um par mais ou menos difícil cinquenta sessenta por cento do volume nessa sala então a gente vai ver mais citoplasma numa nossa tudo que ele possa então agora a gente vai ver isso numa lâmina histológica oi alana de sangue a gente chama de esfregaço sanguíneo então como é que funciona te pega uma lâmina né e outro arame coloca por lá com um pingo de sangue a outra lana e a equação e a gente vai ter uma porção
que vai com mais corada e aí nós temos essa costume é porque nessa porção a gente tem que células uma em cima da outra que não é o objetivo pra gente conseguir diferenciar elas então e aí e essa poção quando a tela soltou uma spy e aí e foi massa bem característica população periférica mais corada e o centro mais claro oi e aí também e entre esse mar devassa as estruturas menores a gente caracteriza como as plaquetas e essas células um pouquinho 1 e como por exemplo essas duas vocês podem solicitar é o células no
criadas a gente e os lóbulos das características que a gente vê aqui essa tela aqui a gente vê que tem um outro lado com o em quatro lotes digamos nos se tomar vai caracterizado neutrófilos assim a gente tem uma pérola praticamente toda ela namorada não ver se toma lá no ao redor caracterizando-os como um basalto e aí se conforma pequena essa tela aqui com um pouquinho de citoplasma ao redor e o uruguai em toda a céu oi vó e aí e aqui a gente consegue visualizar o número reiforme citoplasma e citoplasma gente nenhum preocupando mais
ou menos cinquenta por cento do volume das células então essa a nossa e eu terminar a gente tá vendo o núcleo bilobulado a né logo dois lóbulos ligados por pontes de cromatina e assim tomar na levar a pesando nós seus irmãos o que você tem uma sala tá g1