el adenocarcinoma de próstata es la neoplasia más frecuente en varones mayores de 50 años aumentando esta frecuencia con la edad está relacionada directamente con la secreción de estrógeno y existe cierta susceptibilidad o predisposición mayor en individuos que tengan mayores repeticiones del gen ag el gen que codifica a la glutamina que va a afectar al receptor de andrógenos con respecto a la patogenia se observa predisposición genética familiar y mutaciones adquiridas la predisposición genética familiar se relaciona con la mutación del gen supresor de rca 2 y la mutación de un factor de transcripción regulador con respecto a
las mutaciones adquiridas se observan reordenamientos cromosómicos sobre genes promotores dependientes de andrógenos el oncogén myc el gen supresor peter y la mutación del p53 se ha descripto una presunta lesión precursora que es la neoplasia intratable de próstata esta no se define como carcinoma in situ sino como una neoplasia preinvasora observándose asociada al carcinoma y en la zona periférica al mismo lo mismo que ocurre con el carcinoma que a diferencia del iter plastia prostática benigna va a ocurrir en la zona periférica sobre todo posterior de la próstata aquí vemos una imagen de una neoplasia pre invasiva
esta neoplasia es generalmente asintomática su localización es periférica sin compromiso de la uretra por lo que raramente tiene manifestaciones urinarias generalmente se puede presentar con una lumbalgia pero esto se asocia ya a la presencia de metástasis óseas en columna lumbar el antígeno prostático específico que se 2a para la determinación de esta neoplasia la presencia uno de estas de esta neoplasia es específica de órganos pero no de carcinoma los valores del antígeno prostático específico en sangre son diferentes según la edad pero lo importante a tener en cuenta más allá del aumento por encima del valor normal
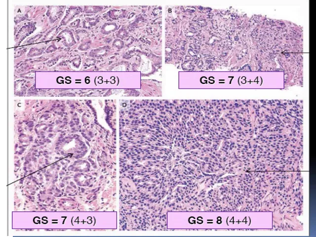
es el rango de aumento entre una determinación y la siguiente la graduación histológica es particularmente importante en el adenocarcinoma de próstata ya que esta gradación más a esta edificación me permite determinar el pronóstico y el tratamiento del paciente el sistema de gleason presenta 5 grados el grado 1 se caracteriza por células bien diferenciadas de núcleos uniformes aspecto redondeado que se organizan en nódulos bien delimitados mientras que el grado 5 muestra la escasa diferenciación glandular con infiltración en nidos y cordones y gran proliferación es normal los demás grados se encuentran entre estos dos extremos en la
mayoría de los casos las neoplasias de próstata presentan más de un patrón histológico en este caso se van a tomar en cuenta ambos patrones sumando aquel que se encuentra en mayor proporción y en menor proporción estableciendo de esta manera un score de liso por ejemplo el patrón que observamos es grado histológico 3 y 4 el score va a ser un score 7 y sin embargo es el mismo patrón en toda la biopsia este valor se multiplica por dos esto que nos permite determinar una puntuación de gleason o score que me evalúa el pronóstico de estos
pacientes un score 2 a 6 son clases bien diferenciadas de muy buen pronóstico un score 7 determina la diferenciación moderada y un score 8 a 10 una diferenciación escasa un tumor poco diferenciado de mal pronóstico en relación a esta gradación se han elaborado grupos pronósticos un paciente con un score 633 hablamos de un tipo de tumor bien diferenciado un grupo pronosticó 1 cuando el score cescor 7 moderadamente diferenciado puede pueden presentarse dos grupos pronósticos el grupo 2 y el grupo 3 cuando el mayor porcentaje es grado histológico 34 el grupo pronosticó es un grupo pronóstico
2 si el mayor porcentaje del grado histológico es 4 en segundo lugar 3 grupo pronóstico 3 el score 8 poco diferenciado de mal pronóstico cualesquiera sea la combinación de los grados histológicos conforman el grupo pronosticó 4 y el score 9 o 10 también cualquier cualquiera sea la combinación de patrones citológico conforman el grupo pronosticó 5 pacientes con muy mal pronóstico el diagnóstico histopatológico del adenocarcinoma de próstata se realiza a partir de una biopsia tras rectal esta biopsia debe ser y codirigida con un transductor de alta densidad ambulatoria con una mínima del día anterior y administración
previa de antibióticos lo importante es obtener la mayor cantidad de muestras posibles pudiendo dentro de lo posible determinar cuál es la localización es decir a que el óvulo pertenece para poder evaluar con mayor posibilidad la presencia del tumor aquí vemos una tomografía de columna dorsal con una imagen astro plástica asociada a la metástasis de un adenocarcinoma de próstata la estadificación debe tener en cuenta el tamaño que se evalúa a partir del tacto rectal de la biopsia tras rectal con la mayor represente representatividad posible y la resonancia magnética nuclear la presencia de nódulos con una tomografía
axial computada de abdomen y pelvis y la determinación de metástasis dado que es más frecuente en la metástasis por un set hecho grama ocio total para determinar la estadificación clínica debemos tener en cuenta el tamaño tumoral la presencia o no de ganglios regionales y la presencia 1 de metástasis a distancia con respecto al tamaño tumoral podemos establecer 4 t de 1 carcinomas hallado casualmente en una recepción transuretral o bien por una biopsia tras rectal en pacientes con psa elevado en este caso hablamos de tf1 a ot una vez de 2 cuando el tumor está limitado
al órgano de 3 que puede ser a jové cuando hay expansión una extensión extra prostática con o sin compromiso de la vesícula seminal y el t4 cuando hay invasión a órganos continuos las metástasis más frecuentes son óseas en columna lumbar pelvis fémur proximal y columna torácica o bien ganglios no regionales siendo muy rara la metástasis a pulmón e hígado cuál es el tratamiento varias son las instancias de tratamiento tomando en cuenta cirugía radioterapia y hormonoterapia