a qualidade da imagem radiográfica depende de vários fatores alguns deles a fonte emissora de radiação x a técnica ser escolhida ou seja kvm amperagem tempo distância foco filme o posicionamento a ser colocada do paciente sob essa fonte emissora ea forma de captação da radiação x eu só gabriela da imagem ponto vete tela e radiologia veterinária e esse é o nosso canal no youtube em uma nova fase então se você gostar curta acompanhe comente interaja faça perguntas e ative o sininho que o youtube fez pra você toda vez que ele estiver novidades você vai receber essa
sinalização bom com relação à fonte emissora de radiação x a gente tem alguns modelos algumas opções é essa opção fixa é um tipo de equipamento modelo de equipamento chamado de fixo e aqui em cima da mesa a gente tem um equipamento móvel portátil o equipamento fixo é um equipamento de maior potência ou seja ele tem uma maior capacidade de me liberar gem é de que não voltarem e o equipamento portátil até mesmo por ele ser mais compacto o equipamento que vai ligar numa tomada comum ele tem uma potência menor e isso vai interferir na qualidade
final da imagem principalmente quando houver uma composição dessas fontes emissoras com uma forma de captação a forma de captação da radiação então a forma de captação ela pode ser feita através do filme convencional que praticamente já não existe mais o mercado foi amplamente substituído pelos formatos que a gente chama de digitais de uma maneira geral e entre esses formavam formatos digitais a gente tem o cr que é a radiografia computadorizada e o dr toque exemplo só de duas placas né uma placa um cassete na verdade é um chassi é de uns r dentro dele existe
o que a gente chama de uma placa de imagem que substitui falando assim grosseiramente ela vai substituir o filme convencional né no formato semelhante uma placa dentro nunca 7 e essa uma placa é do dr ou seja de uma radiografia do sistema de radiologia digital onde não há acesso aos componentes internos é uma placa fechada e que também vai ser da mesma forma utilizada para captação dessa radiação x a diferença maior entre esses formatos de captação é a sensibilidade deles a radiação produzida ou seja o filme radiográfico aquele antigo que a gente usava mais aquela
película de praça de plástico impregnada em prata é ele é mais sensível à radiação emitida do que a placa de imagem dos sistemas cr e o sistema de r é mais sensível ainda do que os outros dois neto filme enquanto o céu o que soube disso me disse que para eu ter uma boa imagem uma boa qualidade de imagem diagnóstica é o resultado final e que a gente espera que seja uma boa imagem uma imagem que vai me dar o melhor diagnóstico se eu for trabalhar num sistema cr o ideal é que eu tenha fazendo
composição com ele uma fonte de maior potência então o mais interessante seria que se optar pela aquisição ou trabalhar com o sistema r que ele seja utilizado junto de uma fonte de maior potência porque é menos sensível à radiação eu preciso de mais técnica precisa de mais potência para que a imagem final seja uma imagem boa o sistema dr por ser um sistema mais sensível à radiação ele pode ser usado com uma fonte de menor milhão verhagen uma fonte de menor potência e isso vai me garantir uma imagem de excelente qualidade então não tenho a
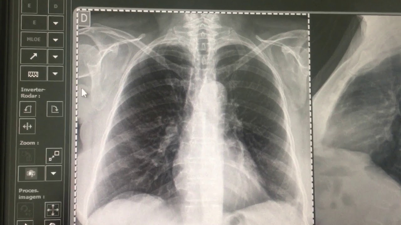
necessidade do equipamento de muita potência para ser utilizado numa placa dr quando a gente utiliza o cr quando for de qualidade da imagem principalmente alguns artefatos formados por baixa técnica falando grosseiramente assim a grosso modo a gente fala que houve baixa técnicas e artefatos formado por baixa técnica como eu percebo isso na imagem a imagem produzida vamos a um exemplo por um cr num paciente grande quanto maior for esse paciente maior a técnica que eu preciso utilizar mais radiação mais potência mais penetração né se eu for utilizar só fazer uma radiografia de um paciente grande
utilizando um sistema de baixa potência numa forma de captação pouco sensível eu tenho talvez um artefato que a gente chamava de granulação essa imagem ela fica granulado ela perde nitidez ela perde qualidade isso vai comprometer também o resultado final no tratamento e no prognóstico na conduta do caso deste paciente se você gostou desse vídeo dá o seu like assim nosso canal fique atento às novidades [Música]