e aí o olá pessoal tudo bem essa é a nossa discussão sobre a estrutura funcional do hipotálamo região muito importante do nosso sistema nervoso central do encéfalo região única mediana que abriga um conjunto importante de lucros em que vão atuar na manutenção da homeostase na vida vegetativa as funções involuntárias do nosso organismo principalmente além de outras funções acessórias então aqui está ele fazendo parte do dia encéfalo juntamente com os instalamos são estruturas bilaterais das quais eles se dividem pelo suco e por talâmico juntamente também com o heptágono e com subtálamo essas as quatro divisões do
diencéfalo paramos eptalam subtálamo o e botar o e aqui com pouco mais de detalhe é a região do hipotálamo tendo superior médio suportar lógico o anteriormente a lâmina terminal lâmina terminal que recebe esse nome porque ela era na realidade no período embriológico a porção anterior o limite anterior do tubo neural o e posteriormente o encéfalo foi crescendo ao seu redor por meio das vesículas principalmente as vesículas telencefálicas mas era a lâmina terminal o fim do tubo neural por isso que ganha este nome e inferiormente ao hipotálamo nós temos aqui algumas cisternas da base do cérebro
cisterna interpeduncular e um pouco mais inferiormente a cisterna pré-pontina bom então nós vamos discutir os limites do hipotálamo as suas divisões mesmo sendo uma área relativamente pequena restrita do encéfalo possui vários critérios de divisão nos quais se acomodam os núcleos e fazem parte deportaram e essa é a natureza do hipotálamo muito parecido com a queda do tálamo o estrutura que abriga uma grande quantidade de núcleos o seu interior com funções mais ou menos variadas sendo que no implantaram a gente consegue achar algum padrão no sentido de regular atividades vegetativas autonômicos de voluntários ao passo que
não tá numa as funções são ainda mais variadas e a marcando aí controle de comportamento da motricidade intermediário das sensibilidades e ativação geral do córtex cerebral vamos ver um pouco sobre as conexões de botar e depois de tudo isso chegar à conclusão sobre as suas principais funções estarão lesados quando aparecerem aí em algum tumor em algum evento patológico que prejudique o hipotálamo bom então quais são os limites do hipotálamo nós já começamos a conversar sobre isso superiormente o tálamo do qual se separa pelo sulco hipotalâmico lateralmente ambas as regiões subtalâmicos subtálamo anteriormente lâmina terminal posteriormente
perceba aqui o mesencéfalo e interiormente as cisternas da base e é importante perceber que a acidentes anatômicos notáveis na face inferior do hipotálamo em contato com as cisternas da base e o infundíbulo mais anteriormente que se continuará e inferiormente para compor a parte posterior da hipófise a neuro-hipófise e e vamos comentar aqui rapidamente vocês lembram da divisão da hipófise em adeno-hipófise que é tecido glandular tecido portanto epitelial e a neuro-hipófise quero tecido nervoso vindo de um brotamento do hipotálamo o infundíbulo oi e a dele posso é composta por um brotamento de tecido epitelial que vem
da faringe primitiva e o teu essa de projeção da faringe acende superior mente para se juntar ao brotamento de postar no que descende sentido inferior e constituindo então aí postos com suas duas partes adeno-hipófise e neurohipófise e e o outro acidente importante na face inferior do hipotálamo é o tuber cinéreo o e finalmente na parte mais posterior os corpos mamilares as estruturas e bilaterais e simétricas e vamos lembrar que os corpos mamilares e se comunicam a crise para o campus por meio dos fórnices e o e de certo modo participam portanto do sistema de processamento
emocional do sistema límbico e vamos lembrar lembrar que as reações autonômicas despertados pelos estímulos emocionais e por exemplo o coração acelera ea pressão arterial aumenta sudorese e licenciamento de pelos aumento da frequência respiratória a dilatação da pupila então tudo isso acontece essa resposta ao teu nome que essa resposta simpática que acontece em resposta a estímulos emocionais é uma por acaso e os corpos mamilares no hipotálamo tem uma ligação com o hipocampo estrutura fundamental no processo da mente emocional sistema jurídico por meio dos fones então esses são os limites do encontrar quais são as divisões do
hipotálamo e aqui eu peço a sua paciência para entender que mesmo uma região tão restrita relativamente pequena do encéfalo possui essas divisões e para poder melhor estudar e organizar os lucros e dela fazem parte então eu posso dividir o hipotálamo e no sentido ântero-posterior ou seja da frente para trás em área pré-óptica a área supra-óptico e ali superiormente ao quiasma área tuberal que fica relacionada superiormente ao túber cinéreo oi iara mamilar é que fica relacionada aos corpos mamilares então bora para o opus que eu terei principalmente esses núcleos aqui o órgão vascular da lâmina terminal
o núcleo pré-óptico medial o lucro preoptico lateral e o nunca para ela diz que o vento lateral e no hipotálamo supra-óptico o núcleo supraquiasmático fundamental na regulação do ritmo circadiano o núcleo supra-óptico núcleo paraventricular na porção tuberal o núcleo dorsomedial o ventromedial e o núcleo arqueado ou infundibular e na parte uma millar os próprios lucros mamilares o núcleo tuberomamilar e o lucro ou posterior e além da sua divisão da frente para trás no sentido ântero-posterior eu posso ter a divisão do hipotálamo em uma área medial onde estão os principais núcleos e uma área lateral onde
está o feixe prosencefálico medial essa divisão em área medial ea lateral feita pelo forte e quais são as principais conexões do hipotálamo e com quem se relaciona nós já comentamos que ele tem relação intensa com o sistema olímpico com hipocampo por meio do fórnix com amido na por meio da estria terminal e com a área septal por meio do feixe prosencefálico medial ele tem conexões com a área pré-frontal eu já estou no controle justamente do que se processa nas estruturas indicadas ele tem conexões viscerais aferentes ou seja que chegam ao hipotálamo sobretudo vindo do núcleo
do trato solitário e o núcleo do trato solitário nós sabemos tão grande receptor de sensibilidade do meio interno sensibilidade das vísceras ah e tem como é que foi viscerais diferentes ou seja e parte de contar para neurônios pré ganglionares simpáticos e parassimpáticos ou seja esta bem do estímulo da sensibilidade visceral e atuando aí no funcionamento involuntário autonômico das vísceras por meio do sistema nervoso autônomo há conexões com a hipófise que nós já comentamos e sendo a neuro-hipófise praticamente o brotamento do hipotálamo que se continua a partir do infundíbulo bom então a conexão por contiguidade por
continuidade mas uma conexão com a dengue hipófise é feita e o meu dos hormônios reguladores bom então vamos lembrar que a hipófise é uma glândula que controla a atuação de praticamente todas as outras mandalas do corpo por exemplo a glândula supra-renal a glândula tireoide mas o hipotálamo controla a ação da hipófise então se a hipófise produz o tsh e controla a tireoide e o importador produzirá o prh e do inglês tirei o próximo release romã hormônio que faz liberar a tireotrofina tirou pro fina é um novo do nome do tsh e bom então hipófise teu
hormônio que controla a tireoide mas hipotálamo tem o neuropeptídeo que faz a hipófise liberar esse hormônio controlador da tireoide que por sua vez tem os seus próprios sua morte então a uma hierarquia ah e quem acaba controlando tudo é o sistema nervoso votaram vai controlar e pó fiz que controla a praticamente todas as outras glândulas e o implantaram acaba tendo também conexões sensoriais o que vão ajudar nesta missão é de controlar as funções vegetativas do corpo por exemplo e a impulso neural da retina para o hipotálamo a e para que o relógio biológico do hipotálamo
núcleo supraquiasmático possa adequar o ritmo circadiano possa adequar o ciclo sono-vigília com base por exemplo na luminosidade e se a sol se a noites isso vai orientando hipotálamo a ativar mais anos da sona nos lá o despertar de cada dia bom então daí e nós podemos concluir que as principais funções do hipotálamo que consiste no controle do sistema nervoso autônomo como um todo na regulação da temperatura corpórea do comportamento emocional naquilo que se refere as funções autônomas e na regulação do equilíbrio hidroeletrolítico por consequência da pressão arterial também no controle da ingestão alimentar no controle
do sistema endócrino como nós acabamos de explicar uma relação com a hipófise e no estabelecimento do ritmo circadiano e do ciclo sono-vigília então veja que são funções relacionadas à ou menos está já manutenção do meio interno ações involuntárias autonômicas a e agora detalhando um pouco mais e na regulação da temperatura corporal por exemplo eu terei no hipotálamo um centro da perda de calor na região anterior núcleo pré-óptico medial e um centro da conservação do calor na região posterior e de modo que se eu tiver uma lesão na região posterior eu não consigo conservar o calor
bom e se eu tiver uma lesão no centro da perda de calor aí é o contrário a temperatura vai aumentar e a regulação do comportamento emocional se dá com essa relação já conhecida com o sistema límbico a regulação do equilíbrio hidroeletrolítico da pressão arterial se dá com as referências que vem ao hipotálamo do órgão vascular da lâmina terminal fornecendo dados sobre a osmolaridade sanguínea do órgão subfornical sobre os níveis de angiotensina 2 e do núcleo do trato solitário tem um grande receptor de sensibilidade visceral oi e o controle se dá com referências que vão liberar
vasopressina estimulando a reabsorção de sódio liberando a cth estimulando a hipófise a liberar cth ah e também por meio da área lateral que é o centro da cidade regulando aí a ingestão hídrica e aí tá ajudando a regular os teores de sódio e o equilíbrio hidroeletrolítico o controle da ingestão alimentar e se dá pelo centro da fome localizado no portal mu latera e um centro da sociedade no núcleo ventromedial bom e ao mesmo tempo por influência periférica do tecido adiposo o e secreta e esta proteína chamada leptina que encontra receptores no núcleo arqueado do encontraram
é a molécula da sociedade então pessoas que têm uma produção deficiente de leptina no tecido adiposo terão mais dificuldade em encontrar sociedade mas eu estou alimentar tão importante tendência à obesidade e a todos as suas consequências prejudiciais à saúde com o estabelecimento do ritmo circadiano do ciclo sono-vigília se dá pelo núcleo supraquiasmático que o relógio biológico influenciado pela melatonina que vem do corpo pineal no hospital na hora é e qual é o mais importante estímulo ao funcionamento do corpo pineal na produção de melatonina é interessante isso o que estimula pneu a funcionar é a ausência
de luminosidade a escuro e a luminosidade inibe a pineal a produzir melatonina então quando eu tenho menos luminosidade estimula a pineal produzir melatonina que influencia o relógio biológico núcleo supraquiasmático não importando a regular o ciclo sono-vigília o e finalmente o controle do sistema nervoso autônomo é eu sei que havendo o estímulo do hipotálamo anterior o resultado são efeitos para a simpáticos e havendo o estímulo no hipotálamo posterior isso grosseiramente só na loteria seres simpáticos a outra aqui a relação entre o hipotálamo e os seus vários núcleos é assim que eles estão organizados e veja a
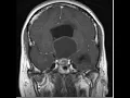
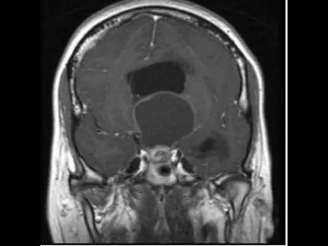
relação íntima com a hipófise a neuro-hipófise sendo uma continuação do infundíbulo hipotálamo e o exame de imagem na ressonância e se nós tomamos o corte sagital exatamente na linha média nós podemos observar aqui e o assoalho do terceiro ventrículo correspondendo ao encontrar a botar aqui um fundinho bruce continuando para compor a neuro impostos e eu vejo que há tumores que se desenvolvem nessa região é um tumor que afeta a região do hipotálamo é o craniofaringioma e foi assunto da minha tese de doutorado fiz pesquisa genética do crânio faringe oma tentando ajudar a obter mais meios
de enfrentar tomou muito difícil de ser operado de ser combatido justamente pela região na qual se localiza próximo às vezes óticas próximo é consultando as vezes e por talão o próximo tronco cerebral a vasos importantes então quando importar uma infectado eu tenho um conjunto de sinais e sintomas que eu posso chamar de síndrome porta lan mika e entre as manifestações sim clínicas da assim do hipotálamo as principais adinamia falta de iniciativa ou criatividade obesidade por lesão e do centro da sociedade também pela própria adinamia que leva menos gasto calórico sonolência alteração comportamental e déficit visual
pelo acometimento das vias ópticas que estão aí também nessa região e asma ótico está em íntima relação com o hipotálamo tanto que serve de referência para a divisão do hipotálamo você lembra da divisão pré-óptica da divisão super ótica e em algumas fontes inclusive você encontrará o que assuma ótico citado como parte deportaram já não concordo muito com essa visão é porque ele faz parte das vias ópticas está ali em íntima relação mas se vai encontrar algumas fontes que as não fazendo parte do hipotálamo ele tá indo de uma relação e serve como referência bom então
veja na imagem esse craniofaringioma uma porção sólida aqui na cela uma porção cística migrando para cima e acertou derrotarmos sem dúvida comprimido o seu plano provocando aí e no paciente assim não importa alegre é um s10 em algumas funções e estes eram alguns aspectos que nós gostaríamos de discutir de um modo bastante básico e objetivo sobre potara mas que já introduz a compreensão sobre a sua estrutura e a sua função espero que tenham aproveitar ficamos à disposição nos olhos meios de contato que é estão e até uma próxima oportunidade