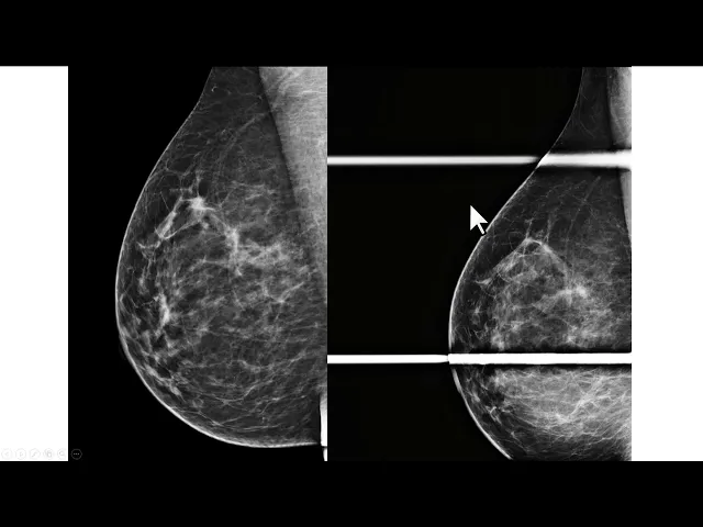
Olá eu sou professor Rodrigo Jales do serviço de imagem do Hospital da Mulher da Unicamp hoje eu quero mostrar para vocês é essa mamografia trata-se de uma paciente com cerca de 60 anos com antecedência de ter tratado um câncer na mama esquerda com cirurgia conservadora veja que algumas alterações cicatriciais algumas distinção arquitetural nos quadrantes superiores no prolongamento axilar algumas classificações de estrofes aqui embaixo talvez algum espessamento cutâneo quando comparado com a mão uma contra lateral ou seja achados frequentes no tratamento conservador dama Mas o que eu quero mostrar para vocês é esse nódulo incidência médio
lateral-bico à direita irregular e permanência talvez especulado que seria um nódulo suspeito desde que aparecesse na incidência crê no caudal veja então que na outra incidência de rastreamento não há nenhuma imagem semelhante aquele nódulo essa situação em que a morfologia de um nó identificada em apenas uma das duas incidências de rastreamento é definida como assimetria na maioria das vezes a comparação com os exames anteriores é suficiente para segurar a benignidade do achado essa aqui é incidência médio lateral glico anterior da paciente realizado cerca de um ano antes dessa mamografia que eu mostrei para vocês veja
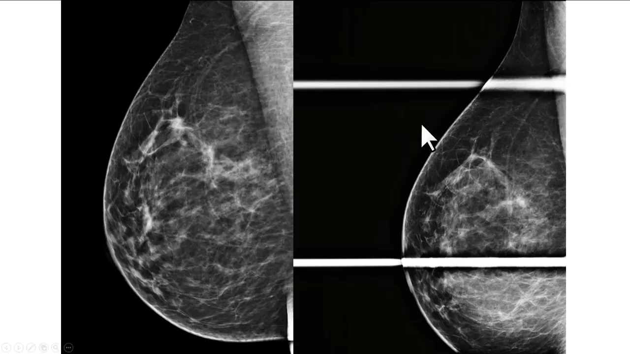
que nesses tema anterior a paciente tinha mais parei com a fibrilandular nos quadrantes superiores mas essa simetria que nos chamam atenção aqui na extremidade superior do Paraíso glandular não estava presente dessa forma precisamos realizar uma incidência monográfica complementar para nos certificar que esse achado e não tem importância Clínica a recomendação nesses casos é a compressão focal preferencialmente realizada na incidência em perfil veja que no perfil aparece menos um músculo peitoral maior do que aparece na incidência né de lateral oblíqua a compressão no perfil ajuda de associar a disposição do parenque os nódulos reais se Mantena
com pressão no perfil enquanto a sobreposição do parênquima é resolvida Principalmente quando a incidência do perfil é complementada com a compressão localizada veja que a maior parte da força do compressor foi aplicada na região de interesse passa a ser melhor avaliada depois da incidência complementar nós podemos interpretar esse achado como irrelevante ele pode ser descrito como uma sobreposição de parenquima justificando uma simetria nesse caso classificado na categoria B2 ou então nem precisa ser descrito mas o exame continuarei sendo classificada na categoria devido aos achados cicatriciais não é contra lateral se você ainda não está inscrito
no canal se inscreva e ative as notificações para receber o nosso conteúdo um abraço e até a próxima