e imagina que chega para você no pronto-socorro um paciente com a dor torácica e intensa essa dor e a dia para a mandíbula Ela vai para os membros superiores espaço Uns poucos minutos depois também cursa com déficit neurológico focal e Supra no elétrico que que tá acontecendo que os pacientes Será que ele está enfartando Será que ele tá com uma vez e só que tem um detalhes paciente é jovem tem 20 e Poucos Anos que que tá acontecendo com ele é isso que a gente vai ver na aula de hoje é E aí [Música] Olá
pessoal eu escondi de propósito um detalhe da história do paciente que é o seguinte paciente jovem ele tem síndrome de Marfan não todos para gente jovem Claro mas esse tem tá e o paciente com síndrome uma fã ele tem então uma doença do tecido conectivo tecido conjuntivo ele tem propensão a fazer o quê dissecção aórtica e a dissecção aórtica é uma lesão da parede interna do vaso da íntima do vaso que permite que o sangue da Luz entre literalmente entre na parede do vaso e saia dissecando essa parede então a gente passa a ter duas
luzes uma luz verdadeira e uma luz falsa problema disso aí olha só a luz falsa maior a luz verdadeira menor Luiz falsa maior luz verdadeira menor o problema disso aí é que obviamente apre a fusão da Luz verdadeira é uma enquanto a do Luiz falsa é outra ou seja se eu tinha um vaso nobres saindo da Luz falsa a chance daquele órgão que é irrigado por esse vaso skinny a é muito alta então dissecção de aorta dica pode causar infarto quando disser pra coronária pode causar AVC quando de seca para carótida pode causar tamponamento cardíaco
quando rompe para o pericárdio então é um quadro um ponto inicialmente muito graves paciente precisa ser atingido com emergência digamos assim e não pode perder tempo tá tem que ir para hemodinâmica tem que ir para o centro cirúrgico e como é que eu sei se o vaso tá ou não saindo a luz verdadeira é muito fácil é só você conhecer o que que elas verdadeiro que que elas falsa a primeira dica pra isso eu já te dei à luz falsa geralmente é maior que a luz verdadeira mas tem outro sinal que eu vou te mostrar
agora aqui que é o seguinte ó a luz falso geralmente ela faz UnB Ah tá ela é mais aguda aqui ó e isso é chamado sinal do bico então Luiz falsa sinal do bico é maior geralmente do que a luz verdadeira e eu não quero ver isso daqui a gente esse colapso da Luz verdadeira como eu tô vendo aqui você que indica uma instabilidade o maior tal paciente pode ter aí mais estabilidade perfusional dos órgãos Ok beleza beleza então ó luz verdade verdadeira não Luiz falsa né grandona Luiz falso nos verdadeira que está em vermelho
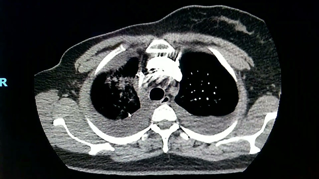
pequenininho aqui isso aqui é um derrame pleural gente isso aqui não é derrame pleural no contexto de dissecção de aorta se não vai pensar que tem um derrame pleural ali de Bobeira isso aqui prova me encher um imo tórax provavelmente é sangue na cavidade pleural OK É isso aí Espero que você tenha gostado aula de hoje a gente se vê na próxima tchau