Oi pessoal no nosso terceiro vídeo a respeito do tema sistemas adesivos e adesão nós vamos abordar a questão da adesão ao esmalte antes de entrar no assunto da Adesão propriamente dita nós achamos Prudente falar um pouquinho sobre a composição do tecido o esmalte é um tecido com alto conteúdo inorgânico então adamente 97% do esmalte é constituído por cristais de fosfato de cálcio sob a forma de hidroxiapatita além de existirem quantidades também de sódio potássio fluor magnésio carbonato e cloreto existe também a presença de 2% aproximadamente de água e de 1% de conteúdo orgânico essa alta
quantidade de substância inorgânica faz com que o esmalte seja um tecido considerado friável ou seja quebradiço apesar da sua elevada dureza com relação a sua estrutura a maior parte da sua estrutura é formada basicamente por unidades estruturais chamadas de prismas E também pelas zonas interpr justamente por ser um tecido que é formado basicamente por isso ele pode ser considerado como um tecido relativamente homogêneo e essa homogeneidade é o que faz com que a técnica de adesão ao esmalte seja uma técnica relativamente simples nos sistemas adesivos convencionais que são os sistemas adesivos que apresentam O condicionamento
ácido com uma etapa separada a primeira coisa que é feita Justamente a aplicação desse ácido fosfórico normalmente em concentração de 35 a 37% sobre a área que você pretenda condicionar no esmalte esse ácido fica agindo durante um tempo sobre essa área em torno de 30 segundos depois esse tempo de atuação é feita a lavagem desse ácido então lava-se com água no mínimo pelo mesmo tempo de condicionamento alguns autores preconizam A lavagem pelo dobro do tempo de condicionamento e esse ácido então ele é capaz de fazer a desmineralização dessa superfície do esmalte e consequentemente uma área
que eu outrora era Lisa agora ela apresenta microporosidades Então essas microporosidades que foram criadas justamente pela desmineralização do esmalte elas aumentam a energia livre de superfície do tecido de esmalte o que vão o que vai acabar conferindo um melhor molhamento pelo adesivo e como já vimos o ideal sempre é que a energia livre de superfície do tecido ao qual nós pretendemos fazer seja maior do que a tensão superficial do adesivo nele aplicado então fazendo isso melhor vai ser o molhamento e idealmente nós teremos uma melhor adesividade uma melhor eficiência da Adesão a Este tecido após
a lavagem do ácido da superfície do esmalte condicionada recomenda-se quando a cavidade for exclusivamente em esmalte secagem desta superfície com jato de ar então após a secagem da superfície vocês vão perceber uma superfície mais leitosa branco opaca em função justamente dessas microporosidades que foram criadas a partir da desmineralização causada justamente pelo ácido fosfórico após isso os o adesivo em si ou primer adesivo no caso de sistemas convencionais de dois passos ele é aplicado sobre a superfície toda condicionada e existe uma penetração desse adesivo nessas microporosidades criadas após isso é feita a fotopolimerização E você tem
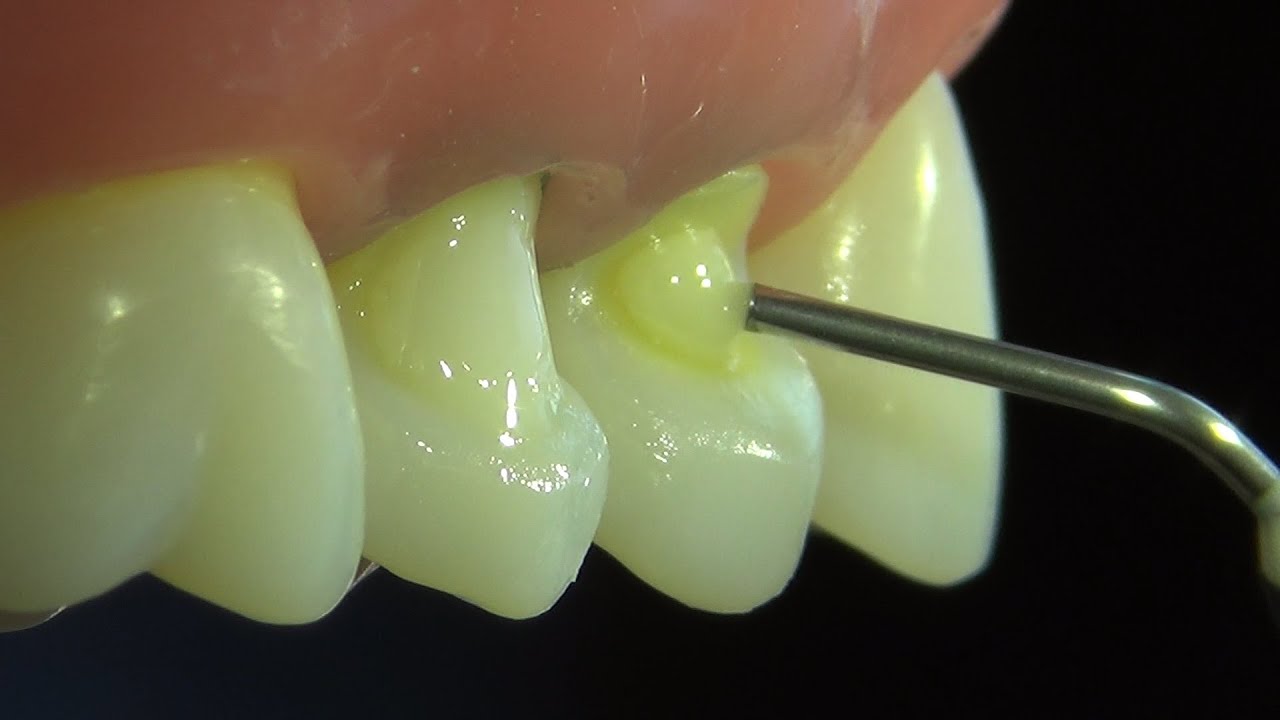
então o estabelecimento de uma adesão basicamente micromecânica falo basicamente micromecânica Porque alguns adesivos possuem na sua composição um monômero funcional mdp esse monômero era exclusivo eh da empresa curaray doos adesivos dessa empresa mas essa patente o período da patente já expirou e a união promovida por este monômero confere além do mecanismo micr mecânico também uma interação química primária entre o monômero funcional mdp e a hidroxiapatita Vamos então à demonstração de uma adesão no caso de uma cavidade exclusiva em esmalte dos sistemas convencionais primeiro aplicamos o ácido fosfórico sobre a área da cavidade de esmalte deixamos
Então esse ácido agindo em torno de 30 segundos vocês encontrarão autores que falarão para aplicar de 15 a 30 outros de 30 a 60 msica cons senso é que seria 30 segundos Então deixa o ácido agir por 30 segundos após esse período de atuação do ácido então nós procedemos com uma lavagem do mesmo com aplicação de água da seringa Tríplice então a lavagem no mínimo pelo mesmo tempo do condicionamento então segundos ou o dobro do tempo do condicionamento então a intenção desse tempo que parece ser excessivo de lavagem é justamente para que possamos garantir a
remoção de todos os subprodutos de desmineralização desse esmalte de forma que eles não interfiram na hora de aplicação do adesivo e penetração desse adesivo nas irregularidades criadas justamente pelo ácido no caso dos sistemas adesivos convencionais de Três Passos após então condicionamento ácido viria etapa de aplicação do primer tá no sistema de três passos no entanto a aplicação do primer ela é uma etapa que é desnecessária quando a Adesão for ser executada exclusivamente em esmalte então é uma etapa que pode ser suprimida tá o Primer ele vai ter uma atuação importante quando a Adesão for realizada
em algum tipo de preparo cavitário que envolva a dentina sendo assim após então a lavagem do ácido no caso de sistemas adesivos convencionais nós procedemos a aplicação do adesivo propriamente dito do sistema de Três Passos ou então do primer com adesivo no sistema de dois passos ressalto aqui que essa questão do primer e adesivo o Primer ele é aplicado junto Porque os dois estão no mesmo frasco feita então a aplicação do adesivo é feita a fot ação do mesmo e aí entra sempre como recomendação que vocês fotopolimerização do fabricante então se for 10 20 40
segundos que respeitem o tempo que consta na bula do produto por sua vez adesão com relação aos sistemas autocondicionantes nós já Vimos que esses sistemas adesivos eles não exigem a aplicação do condicionamento ácido do ácido fosfórico como etapa separada então nessas situações em adesão ao esmalte é aplicado o produto seja ele um primer ácido ou então primer ácido com adesivo diretamente sobre a superfície do esmalte então essa parte acídia vai criar a desmineralização do tecido e ao mesmo tempo vai existir uma infiltração nessas irregularidades criadas para que Então seja feita a foto polimerização então na
simulação de aplicação justamente do sistema autocondicionante de dois passos eh numa cavidade em esmalte aplica-se primeiro o Primer ácido na superfície não se fotopolimerização nesse sistema autocondicionante dois passos o adesivo O importante aqui é lembrá-los também que nesses nos sistemas autocondicionantes não existe lavagem em nenhuma dessas etapas não lava-se com água a superfície depois de aplicado o produto existe também a possibilidade de aplicar o praimer ácido com adesivo em que todos estariam ou junto num frasco só ou em dois frascos separados em que se mistura antes da aplicação no dente no caso dos autocondicionantes de
um passo uma vez Então que fez a aplicação desse sistema autocondicionante Onde existe a presença do adesivo é feita então a etapa de fotopolimerização tal qual acontece nos sistemas adesivos convencionais ou seja sempre em que existe a presença do adesivo propriamente dito em alguma das etapas após aplicação desse adesivo é feita a fotopolimerização Vale ressaltar que nos sistemas autocondicionantes a ação dos primers acídico inferior quando comparadas às questões de resistência dos sistemas convencionais que apresentam o ácido como uma metapa separada Então existe a recomendação que no caso de utilização dos sistemas autocondicionantes em preparos cavitários
que envolvam o esmalte exista a aplicação do ácido fosfórico no esmalte como uma etapa adicional previamente a aplicação justamente de primers e adesivos bom pessoal Resumindo a adesão ao smalte é basicamente micromecânica é uma adesão eficiente e é de simples execução independentemente do tipo de sistema adesivo que vocês empreguem aqui constam as referências utilizadas para fazer o vídeo de hoje Se tiverem alguma dúvida relacionada ao assunto que foi abordado nesse vídeo é vocês por favor entrem em contato nós temos alguns canais esses canais são tanto do Facebook Nós temos o Gmail também Twitter o YouTube
esse canal de visualização dos vídeos e o Google Plus Então até um próximo vídeo e um grande abraço