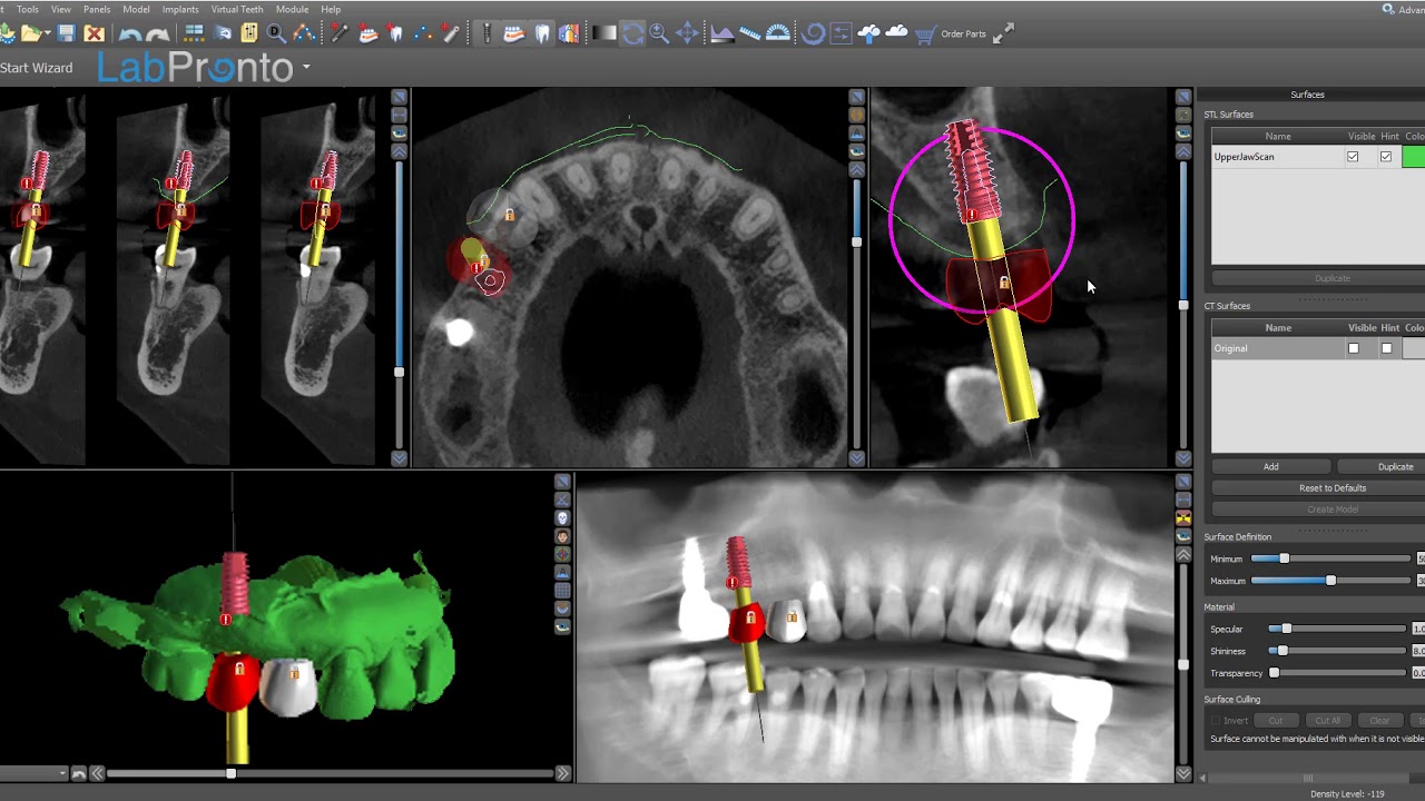
o olá tudo bem aqui ontem nesse vídeo eu quero te mostrar a importância dos a tomografia e te ensinar a utilizar um programa muito fácil de leitura de tomografia e concurso bate se os 10 vamos lá e nesse vídeo de hoje eu quero mostrar para vocês um programa muito legal para gente fazer a leitura da história lembrando que para todo o planejamento de implantes todo o engajamento cirúrgico a gente tem que usar os artifícios que a gente tem através da ortopantomografias radiografias panorâmicas as radiografias periapicais mais na atualidade não faz sentido nenhum nós partimos para uma cirurgia de implante de elevação de seios seja ela qual for sem o uso do meu tomografia na dentro de uma tomografia de o recurso aí para gente usar então não faz sentido de não usar uma um recurso tão valioso quando eu tomografia e existem formas a gente pedir essa essa tomografia né a gente pode pedir ataque é em películas ou muitas vezes é acompanhado né então muita gente pensa o que que eu vou fazer com esse cd eu não tenho programa instalado os programas muito caro e fica uma às vezes torna-se uma complicação entre você pedir a tomografia ou você não pediu tomografia então fica aquela complicação ou que já tomografia mas eu também não tenho programa que aquele monte de película separado que eu console também não fica legal é hoje em dia as coisas estão muito atualizadas né o meio digital veio para transformar também no controle gente tem muito programa de tarde e acho que enquanto não tinha também tem a sua parte tanto às vezes cirúrgicas é próprio de paz em um pin não faz sentido a gente não usar uma tomografia para fazer uma cirurgia de implante mas a cirurgia em o a tomografia vai ter um valor acrescido para o paciente e isso pode impossibilitar que ele passa uma cirurgia de implante acho que não é a gente palavra oi e esse valor muito pequeno desde que a gente dele realmente os valor para isso não é uma tomografia se você mostrar para pacientes você pegar uma tomografia de um outro caso por exemplo abrir seu computador mostrou o programa onde você planejou colocar o semblante a distância entre eles a marcação do nervo por quê que o paciente não vai querer um benefício desse eu acho que a gente tem que valorizar a tomografia uso a tomografia nós como como como médico né como dentistas devemos dizer a importância que tem esses olhos pros paciente não é ele que vai decidir se a gente vai pedir uma tomografia não necessitamos nós e muitas vezes tem gente que prestar não pedir nome cupom porque não pediu uma tomografia numa cirurgia que pode ter uma complicação vou mostrar caso para vocês e suas ações que se eu não pedisse uma tomografia o que poderia ter acontecido tem um caso que mais simples que eu vou mostrar é bastante avançado quero um casos uma protocolo interior que eu tinha planejado colocar 6 implantes e eu tinha planejado usar essa parte aqui no interior toda vou pedir a tomografia por uma cirurgia de implante eu vou pedir uma tomografia valorizei aquilo dali e pediu tomografia que uma surpresa sempre tive que mudar completamente tudo na minha cabeça deu tudo certo graças a tomografia agora se eu quisesse sem ela eu poderia ter tido problemas muito graves ou então simplesmente te tiro no transoperatório muito problemático difícil é umas mg que levou ali entre duas horas elevado quatro então aí já começa a ficar uma coisa meio complicado eu paciente aqui saber que tá demorando tanto e a gente não quer que isso aconteça o uso da tomografia é de grande valor e nós temos que valorizar não só nossa profissão quanto os artifícios que a gente tem tá bom é onde eu quero falar com vocês a respeito é muito legal um programa gratuito e muito fácil de usar o buscar plano eu vou agora colocar aqui a tela do computador para a gente poder ver como que funciona na eu já mostrei aqui nesse outro vídeo como que faz para baixar esse esse programa né o acesso ao site como que você faz para baixar você tem que fazer um cadastro tem que fazer o e-mail depois que você quiser tudo isso ele você já era uma uma autorização você pode começar a trabalhar dá uma olhada aqui nesse vídeo que eu mostro direitinho como que faz para baixar esse programa bom então a gente eu tenho que olha o programa baixado né que é o globo sky tô mostrando ele aqui é a de buscar a primeira parte que a gente tem essa daqui é a é o primeiro layout que a gente vê quando a gente abre o programa se você abrir o programa simplesmente sem uma nenhum exame já pré salvo né você vai ter bus cássia vivo esse arquivo do zero por expliquei também no outro vídeo como que você fala isso para você pedir esse esse exame para o laboratório de imagem porque se a imagem ver a comprimida como diz o outro vídeo como se ela vem a comprimida você não consegue fazer a distinção do forte né então você vai pedir ela sem compressão para lá já fiz esse essa explicação então antes de falar sobre esse esse layout aqui eu quero só voltar um pouquinho nessa questão corte tomográfico já então acho muito legal a gente lembrar do esporte já aqui o corte axial ele faz uma leitura né de cima para baixo né bom então a gente faz uma uma leitura nesse sentido axial a gente tem aqui olha a imagem axial quando a gente vai para um corte coronal é como se a leitura fosse feita antônio posterior na a gente vai ter o corte coronal os cortes tomográficos são muito importantes e frases porque lá na frente eu falar olha aqui na página do corte sagital por exemplo você tem que lembrar qualquer então vale muito a pena a gente falar sobre isso ocorre pra digital é aquela leitura que faz nesse sentido é é um dos artifícios mais valiosos que a gente tem no caso dos implantes claro que o corte coronal e axial vai ajudar bastante também porém o corte sagital é o demais e importante que a gente vai ter extrema importância tá aqui olha o corte sagital é só para relembrar isso aqui não então voltando aqui para nossa parte para essa página inicial a gente tem que vir aqui nesse programa e clicar primeiro eu como se nós quiséssemos fazer uma guia cirúrgica você quer fazer uma aquele cirúrgico o programa bem de rir cirúrgicas todo o programa precisa ganhar dinheiro né digamos assim o a intenção desse programa é vender as guias cirúrgicos vender os protótipos vender todo uma parte após avaliação da tac então é como se ela tivesse a avaliação da parte de graça e você gostasse não tem programa e começasse a comprar juiz com ele então você vem aqui mais uma vez vou voltar aqui org e cirúrgicas o que a gente pode importar vem importar você tá esquema do doente do paciente né você clica aqui nós podemos encontrar de duas maneiras a primeira delas é a partir do cd não é a gente vai colocar o cd no colocar aqui o e reparo que não tem aqui o ícone do cd ainda ele vai precisar ele vai aparecer após a leitura do cd pelo leitor ou ele vai aparecer aqui em volume se por acaso ele não aparecer que é o que tá acontecendo agora oi você pode vir aqui em cancelar e abrir novamente ainda não apareceu tá rodando agora que para que ele apareceu aqui olha qual é a data do exame onze doze 2019 então já apareceu aqui mas ele não apareceu aqui em cima você pode simplesmente clicar aqui dá um ok ou você cancela abre de novo e ele vai ter que o volume tanto faz você apertar aqui ou sucesso aqui você está selecionando a mesma coisa e a partir daí você não selecionou nenhum outro arquivo dessa tendência vem simplesmente aqui não aqui aperta que não quer e ele vai começar a carregar o exame e ele vai abrir exatamente essa página aqui então quando você observar essa página a gente tem que observar algumas coisas a gente pode ver o controle de qualidade do nosso exame eu gosto deixar aqui na qualidade máxima que tudo que ele pode ir meu crescer eu prefiro vão ter computadores que que não suportam tanta plantando informação desses arquivos então você pode vir aqui colocar uma unidade então baixa uma passagem intermediária o meia altura independente eu prefiro colocar aqui na máxima você pode clicar aqui em corrigir dados incorrectos que ele faz mal de correção do de qualquer arquivo que esteja corrompido na e importante tiver essa tela aqui a gente vai buscar sempre o arquivo original não tá escrito aqui olha original e com maior número de votos 1 a porém eu gosto de observar também aqui qual é o corte que tem aqui embaixo olha eu prefiro sempre esse tipo de corte químico e olha arquivo original que onze doze blocos e aqui o juninho que foram divididos eu venho aqui selecione o arquivo e-doc e o programa vai carregar o velho vai abrir uma página é para que ele tem sempre e propaganda já ele tá sempre promovendo as propagandas então quando abrir a hora que a gente tá pagando então eu fiz aqui é uma forma que o programa tem de buscar novos clientes buscar vender o produto dele né que mal tem de outro por outro lado a gente tem que ir agora essas tela essas vistos já xy xz yz a gente pode ver aqui e fazer eliminar fazer o corte eliminar tudo que a gente não quer observado a e elimina tecido mole é para que vai diminuindo nas outras telas também e o que você não acha que foi suficiente nessa tela você vem aqui e diminuir um pouco imagem para não ter posterior vou cortar um pouco mais vou trazer isso aqui mais para frente até o ângulo da mandíbula vou tirar um pouquinho aqui que não me interessa ver isso aqui respondendo você pode modificar que o modo de imaginologia image o nome imagiologia está guarín rtg você pode vir que colocava para mim ele muda exatamente aqui completamente o ator foi apresentado também eu prefiro esse daqui e vem aqui que clique aqui e o programa vai carregar eu fiz aqui se você quiser importar algum modelo já pré-fabricado alguns cão alguma coisa que você tem efeito anti como não é o nosso caso a gente veio aqui e fecha ok abrimos aqui a nossa tomografia a beleza agora eu vou mostrar para vocês como que a gente faz para abrir um programa a partir do arquivo digamos que o laboratório de mais gente mandou esse arquivo por e-mail para participar deve ser para ele baixou para seu computador ele tá salva em seu computador mesma coisa você vem aqui envia e cirúrgicas impor passo até esse doente ok e você vai aqui por exemplo meu tá na área de trabalho e vem cá ambiente de trabalho e vou procurar dentro dos desktops onde que tá o meu arquivo eu coloquei aqui ó em vídeo aula é isso aqui vou selecionar só o primeiro ok a mesma coisa programa vai carregar eu vou escolher a última opção ok oi vem aqui rapidamente e passo os cortes necessários e aí e aí como eliminar a é uma pasta imagem que não seja interessante para gente nesse momento e pronto ele vai importar e assistenc e no outro forma da gente encontrar o arquivo já salvo é você buscar o ícone do google sky que já tá salva ali no seu no seu computador por exemplo esse aqui olha é o ícone do gol scarpin eu tenho ele aqui numa página eu posso por um duplo clique aqui que ele já abri sozinho tu vai vir aqui eu vou te dar um duplo clique ele abre sozinho ou você simplesmente pega e arrasta ele para dentro do programa ele vai abrir exatamente as formas e como a gente viu na nas outras duas opções ok então olha só aqui interessante temos aqui o corte coronal desculpa temos aqui o corte sagital o corte o coronel e o corte ântero-posterior uma vista 3d do nosso caso do nosso pacientes a página clicar e fazer um gelo disso aqui trazer ele para frente ou para trás e do que você pode fazer com os cão do mouse né ou simplesmente puxando os dois dedos para cima e para baixo de forma que faça um zoom é a primeira coisa que a gente faz nessa nessa nesse momento é ajustar a linha da curva dentária você coloca isso tudo aqui olha ah pois quando você quer enxergar por exemplo da maxila eu tenho que levar de cima olha desenho dela e eu vou trazer isso daqui olha para o centro eu posso trazer também olha essas imagens para cá você aqui para cá estou aqui para cá e vira ajustando é isso aqui é uma pessoa é e por outro áudio você pode vir aqui olha e aumentar ou diminuir a amplitude da vi então olha a gente tem aqui é uma vista perfeita é do nosso maxila eu vou fazer aqui para região anterior para fazer uma demonstração para você se caso apareceu para gente bater respondente mole gente não é com mobilidade para tem que fazer quando a gente olha mas uma mobilidade gigante consegue ver aqui no corte 3d o porquê disso tudo agora se eu pedisse só a ortopantomografia a panorâmica ele consegue ver aqui uma coisinha ou outra mas apenas olha que cada implante né vamos ser acidente botão implante na mesma hora e quando você chega aqui no costa você clica aqui e ele transfere sou de clicar graça parte em qualquer área que você clicar do seu da sua janela ele vai transferir para todos os outros ao mesmo tempo então ele também aqui selecione olha a região aqui do dente do 21 né dá para ver o que que tá acontecendo que dá para botar implante aqui imediato e não ó olha que só com que isso que a gente tem que uma situação bastante delicada você vai encontrar o implante aqui só nessas horas pode acordar vai quanto tempo essa ficar para fora estética gente vai falar sobre isso né mas principalmente o que era uma isso aqui é a varredura que a gente pode fazer da nossa tomografia e ela vai levando olha chega tela pra jogando mísseis você pensar você não tem altura aqui se você quiser saber quanto você tem de altura nessas horas você pode vir aqui ó em ferramentas medidor de distância marcar tira e ver o quanto você tem seis milímetros não é uma coisa muito vantajosa para gente depois dele terá marquei errado você pega e selecione ali ok e você pode uma mensagem queria colocar um implante aqui ó 13 cabe não cabe aqui só na minha frente tira coloca pro lado tu pode vir aqui também com com o botão esquerdo ou com dois dias aqui aqui ramone e depois eu também quero saber se cabe o implante aqui nessas horas você pode vir aqui implante adicionar implante e ele te dá muitas marcas de implantes diferente você vem aqui olha várias marcas diferentes você tiver alguma coisa já utilizo você pode vir aqui usar a plataforma do implante tipo de implante o nome do implante tem tudo aqui ele vai modificando aqui nessa janela só você fazer uma pré-visualização pa e como o implante que eu utilizo novamente não tem aqui né vou mostrar para vocês como fazer você vem aqui primeiro e telefone implante personalizado e traição na maxila ou mandíbula no caso que você maxila comprimento do implante implante de 11 meio ok implante o mesmo diâmetro apical do implante do meu implante já tem aquele item 2. 6 eu fui lá leu o cavalo do ciclone civil que ele tem dois pontos seis e o diâmetro oclusão gostaria muito de colocar um tanque de 3. 8 litros aqui vamos ver se é possível o doc você tem que horas a chave os olhos antes então você vem e coloca ele na posição que você deseja ele tá bom ampliar que tem que ficar mais fácil um dia ele tá aqui você vem coloca ele na posição ideal você pode usar essa argolinha aqui olha para trazer ele para lá e para cá bom e se você colocar na posição ideal você vai reparar que ele tá mais da metade dentro de sair mais só claro que isso daqui não é possível não é mais três milímetros tem mais claro não sabe que não melhor então a entre vou tentar botar no transcurso beleza vamos lá vamos tentar você vem aqui clica dar um duplo clique no implante clica duas vezes e ele vai abrir essa janela aqui você pode vir aqui olha e e clicar aqui pedindo o tamanho do implante para que seja um corrente 8 minutos que eu vou tentar no criar um pouquinho de ano para usar o dele para 4.
635 o substituir o ok olá implante de 8mm de 4. 6 por 8 milímetros o cara é o implante cone morse mas não sei até que ponto vale a pena colocar o implante feito uma situação sem elevação sei porém nesse caso fosse tiverem pode 8. 518 n colocaria provavelmente o implante uma plataforma estendida para mim correr os riscos tudo que entra dentro de ser mais sei lá eu tô com os momentos mas a gente tem que já o nosso planejamento daí que parece tem que planejamento daquelas mundo aqui embaixo olha por exemplo em baixo uma equipe se manter aqui em cima pink e nessas oi aqui é uma agora que está mais viável colocar um implante superior não vamos ver que se é possível medir primeiro quanto tempo aqui no meio de a estrutura de altura é legal ferramentos medidor vem aqui boxe tecladinho e qual filho 5mm e o defensor por 10 e meio de altura na qual coisa que eu vou selecionar em uma objetivo vamos selecionar o implante implante adicionar implante e provavelmente e por se tratar de uma zona 1 e pode ser um plástico 4.
0 por há 10 minutos o ok vem aqui coloque um circulante se incline para cá eu já vou dizer que é que eu ganhei e hora bota na posição caramba assim play store fico muito largo no botão implante aqui de 3. 300 o médico do futuro ok aqui é uma corrente três pontos um achei que ficou muito alto vou botar aqui então vamos diminuir né vamos colocar esses aqui para 8mm você vai abaixando aqui ele vai diminuindo lá no implante já de uma vez oito minutos ok acho que tô legal o lucky patcher o que que apareceu aqui o alerta naquela hora se eu vier aqui inclinar esse implante bom demais e não tem nada palatina original chocolatinho e vai mudar e tarefa primeiro fica fora do osso segundo ele criou olha você precisa querer clicar no alerta ele vem aqui que fica que tá acontecendo violação de ângulo de implante o ângulo representantes zero é muito importante um é muito grande então você vem aqui e corri isso até o seu alerta sumir e muitas vezes você vai ter de um lado uma qualidade uma qualidade uma quantidade óssea diferente do outro quadrante então isso gente vai fazer sentido você vai ter que deixar para lá saber que tem um algo diferente mas representante então com relação à noite eles não são importantes de uma arcada total por exemplo que você precisa de um ajuste de intenção né então você sempre mente pode deixar ele se quiser ter certeza você se importa completamente dentro do outro você vem aqui nessa janela velha e vem aqui você pode um 360 em volta tem corrente e de todos os portes né e aí e vamos voltar ele vai de vestibular agora eu tô numa vista de digital para anterior e agora numa vista de palatina para vestibular como é que você sabe isso olha tem essa certinho aqui ó ficar certinha aqui quando ela gira e essa parte aqui gira quando ela tudo certinho que gira e agora aqui mostra essa tinha que girando então ela serve também para isso você tem que entrar na panorâmica e aqui na vista 3g você tem aqui a exemplificação de como vai de carro eu pode aumentar em desculpa aumentar a intensidade até a ponto parece a pele do paciente ou você pode diminuir a intensidade onde só os itens mais densos vão ficar cyrus 1 e pronto e a coroa é o esmalte olha só como é que ele é mais deus aí você traz para cá só observando aqui meus colegas aqui na frente olha 20nho e olha o tamanho do seu pênis estação é e o pati uma vista normal olha que pode mudar uma vista anterior olha o tamanho você na estação vamos um pais aqui para gente ver não é bom ampliar isso aqui um pouquinho e aí o caramba você vê que tá lindo uma numa situação bastante é difícil de lidar lá então o bom então aqui olha se você consegue observar direitinho qual é a densidade que você tem a tomar bastante cuidado porque às vezes tem que mostra é uma quantidade de rosa muito fininho ali na frente e você acha que eu não tenho extensão e muitas vezes não têm que ela tem licitação clicar um pouco atento se você observar aqui em baixo nível de densidade olha nível de densidade é ela só aparece lúcia tá em cima do outro se você quiser ter uma ideia de qual é a densidade que você vai trabalhar aqui você vai encontrar aqui olha por exemplo na zona de 50 todo aquele peladinho e coloca o mouse em cima só que você colocar em cima aqui em baixo agora aqui embaixo vai aparecer densidade tá nem aparecendo vocês anos 70 quanto maior a densidade maior você tem aquele número eu vou botar aqui na cortical ele vai para nós 897 e aqui em cima 1357 aqui você vai encontrar uma parte mais dura então para que que serve quando você tiver fazendo instrumentação você já pode prender mais ou menos que a densidade óssea e licor já sabe qual é aquela da cidade já falou sobre densidade óssea ou vai falar um pouco mais à frente mas é você sabe que naquelas oram da pré-maxila você vai encontrar um osso mais né um outro eleitoralmente fosse de três aqui na zona posterior para nas o interior para posterior região de caninos também se encontra em um outro três ou quatro então você sabe você vem aqui comprou agora ou então quando você mora aqui em cima você vê tem mil na cortical povo toma coxão duro e você vai passar um pouquinho e vai diminuir a sua densidade óssea então os programas que mostra isso também né vou botar aqui de novo em cima do e na hora que a gente quer trabalhar e pronto era você pode ver aqui em ver o pib ir na na vista 2d muito mais ver qual essas pessoas cortes coronais axiais e depois o país mas já tem uma corda também aqui e não posso fazer projeção agora ele criou uma linha azul aqui isso aqui não faz muito sentido uma outra boa opção é você vir aqui na janela 3d e coloca aqui por exemplo corte sagital ele abriu aqui você vai conseguir visualizar quando essa janela aqui do corsa digital se mover você vai conseguir ver ele na janela 3g exatamente qual é o movimento que ele tá fazendo e aí e aí e ele meio que acompanha e aí e o troféu você vem aqui e remove ela novamente a pesquisar que eles são paulo o outro corte ele te dá a outra proporção a e se você vier aqui em movimento aqui a escort e ela se move também pelo menos deveria ser é uma vez aqui ok fiz o pagamento do meu caso vídeo aqui na região interior vai começar you primeiro fazer uma extração do incidente e depois a gente vai ter que fazer uma reconstrução óssea reparem que que é brincadeira não é mais preservar mas sim recuperar né então vamos tentar colocar um implante aqui pra gente ver como ficaria adicionar um implante um dogma de louco que 33 o nessa hora que você pode por 11 mm vamos ver se coloca aqui dentro dos conceitos de implante imediato e tudo é possível e aí e tu colocar ele bom vamos lá um pouquinho mais se você tem que colocar o seu implante 12 milímetros e apical a raiz do dente que você tinha linha completa de um pouquinho 12 minutos local é considerado dois meninos a vestibular eu já estou lá em cima a falta mais alto paciente antes não quer isso aconteça nada eu quero passar uma vitória a estética de 50 fica completamente comprometida não vale a pena vem aqui substitui e remove-as implante e pode ficar aqui o número luizinho seleção implante ou simplesmente tiver aqui clica com os dois dedos e remover empate e aí e aí e você pode clicar também em cima de seu implante com dois dedos ou com o botão direito do mouse e bloqueado e 50 você bloquearam óleo novo você vai mais mexer nesse implante ele fica bem quietinho você pode duplicar ou você pode deixar lhe mais alinhado você pode substituir importante que você pode promover tubo de risco aquele implante ele ficar na posição correta e quer publicar começa a ganhar né dinheiro sobre o os produtos que ele é um fio a visibilidade anulação e tudo mais você pode vir aqui também ferramentas e ver para baixo respectiva essa base perspectiva é tudo isso que tá aqui em cima você seleciona aqui em cima né é tudo todos os atalhos que você queira colocar você pode vir aqui também dente virtual adicionar dentes ver como é que coroa identificar né é isso aqui nos homens de pré-molar lá vamos pegar a coroa do pré vamos colocar ela aqui em cima pois para ideal da coroa qual é a posição que o implante deve ficar com relação a coroa lembrando de quem manda implante é a prótese não a quantidade óssea eu não tenho outro para fazer aquilo ali suficiente você não vai inclinar o cliente você vai colocar e vai vai promovendo a regeneração óssea vou colocar aqui é importante na posição ideal então você tem ali olha uma ideia de como vai ficar o seu implante com relação a coroa não bem legal ah então você tá em projeção mas terminando aqui a zonas da maxila a desculpa que arrumou lá que você pode ver aqui então substituir dente e colocasse uma lesão o substituir ad hoc falar uma coisa tão corrente tem valor da maxila a meu projeto está a salvo digamos que até feito o projeto claro que não o exemplo aqui da sua decisão não estou finalizando o mesmo caso nós vamos fronteira que eu preciso agora nenhum outro caso e quero salvar o meu projeto você vem aqui ligeiro guardar projeto como a escola eu não sei que celular pois é ambiente de trabalho aqui no meu paciente o bolso aqui qualquer coisa estava com aqui ele vai salvar e pronto você já pode vir aqui diminuir o seu programa ok é legal dando continuidade aqui a maxila eu importei um novo arquivo aqui que eu quero mostrar para vocês uma coisa vista panorâmica né dá para a gente ver observar aqui algumas coisas né eu tenho saudável porém presença dos quatro sisos inclusos olha só que legal do programa já começa a mostrar outras coisas pra gente representa obtidos inclusos o superior se consegue ver se tem uma proximidade com o seio maxilar é e olha só o superior fazer coroa e vem arrastando de trás para cães essas três caixinhas aqui olha coloridas elas dizem os cortes direitinho onde os fortes e prontos com essas três janelas equipe então ele fazendo uma varredura essas três distritos coloridos representam o corte sagital tá bem então mas ele que ele esteja aqui atrás vai parte mais posterior esse exame é clicando para cá para trazer trazer ele mais foi anterior você vem ganhando área primeiro a coroa do siso coroa coroa você vem trazendo e lembrando formação danilo da jayse olha o conduto radicular você quiser até para para garantir né não tô tendo nenhum do siso mas olha que que as pessoas vão também para trabalhar com garantia e ele também fazer ele para trás você ver que a raiz olha tem uma tem um contato muito próximo com seio maxilar tem que tirar esse dente tem que tomar cuidado para não fazer fosse jogado para sempre que não apesar disso a coroa é muito maior do que watson mas para não deixar uma comunicação ele então você pode fazer uma varredura nos dentes anteriores olha só esse e simulação aqui olha a lesão que tem aqui na raiz palatina dele e olha só para dúvida vem aqui olha e aí e os empate representa esse frango aqui vamos fazer uma vista palatina a falar também né bom então se você faz uma varredura completa de todo é de todo de todo o dente 360° né se você tiver aqui também olha nessa vista nessa vista sagital você pode observar o que quer vestibular e palatina oi como é que tu tás olha aqui embaixo foram planta aqui embaixo esperando estou para onde eu chego lá nem todos os cortes vão ter vestibular e palatina né porque muitas vezes o transparaná no corte na max uso até a mandíbula como referência você tem que ficar atento o que que é vestibular e o que quer falar tinha você pode ver eu sou através dos limites anatômicos né então a gente tem que saber observar a nosso pai é oi tá bem aqui olha até os meninos na mas existe uma outra forma de você identificar o que que vestibular o que que é para latina a pronta tomografia te dá uma diferente olha só consegue ver um bebê aqui olha nessa zona um beijo bucal né de vestibular a parte da voltada para boca eu não tenho um creme pesado então você sabe que é a parte desse tipo lado aqui enquanto a palatina ele igual vai tá desse lado se você não aquele corte coronal você sabe que que hora o que que é direita e o que que a esquerda ele te dar aqui uma referência também aqui embaixo você não pode ficar perdido na tomografia tem um ep em cima de frontal de todo frontal então você sabe que a frente do paciente pronto paciente está para aquela região tá bem mostrando aqui olha se você botar a tela três dele você pode identificar exatamente você fala olha para trás desce para cá a mente e o furacão esses dois lados oi e ele te mostra exatamente onde você tá hoje eu quero mostrar uma outra função para vocês que é aqui olha agora você é por um paciente também que chegou para gente observar e fazer o planejamento para levantamento tem mais celular para colocar um implante aqui nessa hora que você pode fazer uma destruição muito grande por falta por conta da extração dentária quando chega aqui olha eu consigo observar o pa uma comunicação bucosinusal aqui você tiver alterar o meu plano de incisão ou quando tiver prisão descolamento da membrana o cenário ele vai ter ou da mucosa né sinusal a gente vai ter aqui uma uma interferência aqui de uma comunicação bucosinusal gente tá que aqui tem uma ligação é isso lembrando tem o maxilar ea mucosa jogar os pacientes a gengiva seja o controle eu quero fazer um pequeno corte transverso olha emoji [ __ ] bem aquele corte emoji fica aqui aos pouquinhos para você saber e se tem opa olha comunicação de alma que coisa bonita que imagem legal de se observar olha então ai que não parece ser parece muito talvez aqui no pareço ai que não tem comunicação nenhuma tem certeza vamos fazer uma varredura observe bem apague olha olha tudo que ela tem que te dizer é porque um dos melhores exames que você pode ter para fazer implante então elas abordagem que vai ser um pouquinho diferente tá bem agora quero mostrar a região inferior tá humor aqui a região interior com relação ao sisu coloca aqui o corte tudo sisu na mandíbula e você pode observar onde que tá o canal mandibular né mas extrações de sisos foi muito preocupado com canal no celular ele tá aqui ó nessas horas e você vai fazendo aqui uma varredura da tomografia e olha lá posso ter acessível sem problemas sem medo que que você acha onde está o ápice do do seu filho tá aqui ó tá aqui agora você do desculpa do canal mandibular então você vem fazer uma varredura para anterior si mesmo onde está o ápice do seu dente com relação ao canal mandibular como é que eu posso fazer para melhorar essa visão do meu canal mandibular né pô tem aqui partes legais como é que eu vou fazer para melhorar isso aqui isso só colocar o corte aqui um pouquinho mais para trás eu estou muito surpresa que mais para frente um botar aqui na zona preciso jogar o máximo possível para posterior eu acho que isso aqui nesse programa que é se não me engano de ferramentas adicionar nervo e ele vai adria só essa já na minha aqui do lado e vai te dar esse triângulo zinho aqui então você vem aqui ó eu localizo fórum por onde nem entrou na mandíbula olha só o flame em santa localizando-os orar me desculpa mas você também no canal mandibular então você vem aqui e clica em cima ele fez a marcação do primeiro ponto anda um cosplay frete viu que ele desapareceu aqui nessas horas você vem aqui olha e ainda tá vendo ali o neon martali andamos um pontinho a marca ele e o número do pontinho sumiu marca ele anda outro pontinho e já começa a ter uma dificuldade você saber o que que é dente o que que é forames que não é que confundi ali sabe você ficar aqui atrás a gente continua fazendo a marcação e e dá para ver perfeitamente agora eu não consegui fazer uma marcação dele corte a corte no meio outro milímetros e vem andando para baixo no vídeo de hoje eu vou passar esse daqui um pouquinho mais rápido e aí eu me limito a menina é e até onde que vai isso é o pão não tô nem olhando a observar que muitas vezes olha já começou a querer sair aqui então você faz a marcação aqui no mesmo corte ou você vai para o que mais para ver se ele tem a alça você faz a alça volta um corte e olha faz a saída dele que e aí e faz a saída domingo aqui ó o prefeito explicou às vezes ok então nem o saldo tá saindo exatamente ele no nosso horário não dá para ver aqui na vida 3g se você vier aqui na vista 3d diminuir a intensidade é o contrário que a diminuir a intensidade você ver o caminho do nervo certinho ele vamos por algum motivo tá a gente precisa colocar um implante aqui imediato mas ele que seja condenado e tem que tirar o que que você pode fazer se você tem que avaliar a quantidade de outro você tem apical ao implante dente você vai extrair é só botar aqui na zona do bork a achar que a coroa da nossa vem aqui você pode vir com o seu implante vai imagina que seja condenado por algum motivo preciso estar distraído você vem aqui adicionar implante mesma coisa que a gente vai personalizar o implante para mandibulo botar aqui 3. 8 o quê e aí e colocar aqui 3.
8 2.