Hola Muy buenos días a todos Espero que se encuentren muy pero muy bien Y como siempre con muchas pero muchas ganas de aprender este bonito tema de la medicina que son los criterios de ranson y de Baltazar para la pancreatitis aguda sin más que decir mi nombre es Cristian pusar alcón yo seré el expositor el día de hoy este es el proyecto guam comenzamos Bien dentro del contenido el el día de hoy primeramente recordaremos Qué es la pancreatitis posteriormente definiremos Qué son los criterios de ranson qué parámetros evalúan Y cómo interpretamos los mismos finalmente veremos
Los criterios tomográficos de Baltazar qué parámetros evalúa y finalmente Cómo interpretar cada uno de estos así que pues continuemos y continuemos directamente definiendo Qué es la pancreatitis aguda esta si recordamos se define como una lesión reversible del parénquima pancreático que va a estar Generalmente caracterizado por presencia de inflamación que se puede deber a diversas causas Como por ejemplo tóxicos obstrucciones principalmente que pueden ser provocadas por cálculos pueden ser provocadas por parásitos y demás bien Ahora una vez que nosotros ya diagnosticamos la pancreatitis en nuestro paciente qué es lo que tenemos que hacer Tenemos que posteriormente
utilizar estas escalas para qué Para justamente predecir Cómo es que va a ir evolucionando el paciente y Qué tan grave es la pancreatitis que este tiene de acuerdo a esto así podemos tomar diferentes decisiones ya sea tratar al paciente en cuidados intensivos cuidados intermedios o hacer manejos especiales justamente para que este evolucione de mejor forma ante Esta patología bien entonces una vez comprendido la utilización de esos criterios pasemos a ver cada uno primeramente Los criterios de rason estos criterios justamente son una regla que van a predecir justamente la gravedad de la pancreatitis aguda Y estos
van a valorar 11 criterios de los cuales cinco criterios van a ser valorados al ingreso Y 11 criterios van a ser evaluados justamente a las 48 horas sumando ambos tenemos 11 criterios justamente bien entonces Cuáles son los criterios que va a valorar justamente Los criterios de ranson van a valorar dos como dijimos al ingreso Y a las 48 horas al ingreso van a valorar los siguientes criterios que son los leucocitos la ldh la edad la glicemia y la transaminasa as cada uno de estos va a tener una puntuación de un punto bien entonces los locit
van a sumar un punto cuándo cuando se encuentren por encima de 16,000 por mm c la ldh va a sumar un punto cuando se encuentre por encima de 350 unidades internacionales por litro la edad cuando sea mayor a 55 años la glicemia cuando se encuentre mayor de 200 mg por deil y finalmente la as cuando se encuentre mayor a 250 unidades internacionales por litro si tenemos justamente estos valores cada uno llegará a sumar un punto bien pero esto como les dije lo valoramos al ingreso posteriormente debemos esperar 48 horas y cuando ya sean las 48
horas debemos proceder y evaluar estos nuevos parámetros que van a ser calcio en suero hematocrito oxígeno eh nitrógeno ureico en sangre base en déficit o déficit de base y el secuestro del líquidos bien principalmente cada uno va a valer un punto como en el anterior el calcio en suero va a tener va a presentar lo que es una hipocalcemia es decir que se va encontrar por debajo de 8 mg por deil si es así le sumamos un punto si el hematocrito se encuentra eh Por debajo en un 10% sufre una caía del 10% pues tenemos
también un punto si la presión parcial de oxígeno va a estar mayor a 60 mm de mercurio le damos un punto si la úa o nitrógeno ureico en sangre se encuentra eh o sufre un incremento mayor o igual a 5 mg por de litro a pesar de líquidos le vamos a poner un punto También si hay un déficit en base que se encuentra mayor a 4000 equivalentes por litro le damos un punto y finalmente si hay un secuestro de líquidos también por encima de 6000 ML le damos un punto bien Ahora ustedes dirán acá son
muchos pero muchos parámetros queca no vamos a poder aprenderlos o no vamos a poder memorizarlos para esto existe diferentes nemotecnias y acá vamos a traer la más sencilla primeramente la nemotecnia que deben recordar cuando ustedes eh directamente reciban un paciente que sospechen de pancreatitis y alguien les pida o tengan que evaluar directamente Los criterios de ranson pues pueden recordar esto qué es lo que tengo que evaluar yo cuando el paciente llega justamente a emergencias por una pancreatitis cuando el paciente llega pues debo valar Los criterios de ranson es decir Los criterios al ingreso Y a
las 48 horas al ingreso son los criterios cuando l llega el paciente entonces simplemente recuérdense de llega llega que justamente es l de leucocitos l de ldh e de edad G de glicemia y finalmente a de as entonces llega es el nemotécnico para aprender Los criterios al ingreso Y finalmente Los criterios para aprender justamente los valores a las 48 horas va a ser el famoso chobs que justamente es este bien C de calcio en suero HD hematocrito o de oxígeno B de Bun que es nitrógeno ureico en sangre B de déficit de base o base
en déficit y ese de secuestro de líquidos Así es como memorizamos directamente Los criterios de ramson para la severidad de la pancreatitis aguda ahora cómo es que nosotros vamos a interpretar estos valores bien lo que tenemos que hacer una vez que ya tenemos ambos valores es que debemos sumar justamente Los criterios los puntos que nos dé al ingreso Y la puntuación que nos den a las 48 horas a partir de ello si tenemos una puntuación directamente menor de tres puntos significa que estamos hablando de una pancreatitis leve que generalmente va a serer remisión más adelante
y solamente hay que directamente tratar de forma más más tranquila al paciente pero cuando tenemos una puntuación mayor o igual a tres puntos significa Pues que estamos hablando de una de una pancreatitis aguda bastante grave por lo tanto tenemos que tomar en cuenta justamente Ingresar a cuidados intermedios intensivos y demás bien a partir de estos criterios de ransom también podemos determinar el índice de mortalidad siendo que si tenemos una pun a ación de 0 a 2 puntos en la mortalidad es del 1% de 3 a 4 puntos es el 16 por de 5 a 6
puntos es de 40% y finalmente más de 7 puntos ya nos da una mortalidad del 7 del 100% bien entonces a partir de eso si se dan cuenta ya podemos hacer un manejo más específico en el paciente a partir de esos criterios de ranson es por eso que es muy importante tener en cuenta cada valor cuando ingresa el paciente bien una vez comprendido esto pasemos a ver los siguientes criterios que son los criterios tomográficos de Baltazar que también justamente nos van a ayudar a predecir la severidad pero pasadas justamente ya las 72 horas que es
cuando justamente se realiza esta tomografía bien Entonces tenemos acá a Los criterios tomográficos que son de utilidad para clasificar a la pancreatitis en 5 gros en función al tamaño contorno densidad inflamación presencia de líquido presencia de aire y demás y además algo muy importante es que estos criterios van a combinarlos justamente con otra con otra pequeña tabla que va a evaluar la necrosis en el páncreas estimando así de una manera mucho mejor la severidad de la pancreatitis entonces acá aprenderemos justamente a determinar eh los valores tomográficos que toma en cuenta Los criterios de Baltazar Entonces
tenemos acá eh los grados que van a ser clasificados por la tomografía como les dije acá vamos a tener cinco categorías que son a b c d y e cada una va a tener una puntuación específica ya no van a ser un un punto como viamos en Los criterios de ranson sino va a ser una puntuación que va a ir subiendo a medida que vaya aumentando la clasificación de a hasta e respectivamente primeramente Cuando tenemos una clasificación de Baltasar A qué es lo que significa significa que el páncreas se encuentra totalmente normal así en la
tomografía se va a ver totalmente así la tomografía tiene que ser sin contraste muy importante esto bien en la tomografía se va a ver de esta forma el páncreas se encuentra totalmente normal con tamaño adecuado entonces la puntuación es de cero puntos bien ahora eh Así es como se va a ver ahora si tenemos una clasificación B significa que hay un agrandamiento difuso del páncreas es decir que el páncreas se va a ver así como estamos viendo miren de lo que se veía un tejido totalmente normal acá ya se encuentra como que inflamado hay un
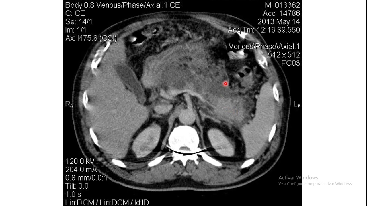
agrandamiento difuso del páncreas que se va a ver así bien Ahora si tenemos una clasificación c significa que existen anomalías intrínsecas del páncreas asociados a cambios del tejido peripancreática la palabra clave aquí es peripancreática lesión O daño a nivel peripancreática que justamente significa alrededor o en los bordes directamente del páncreas que llegaría a ser esto que estamos viendo acá miren esa lesión a nivel del páncreas que justamente se refleja de esta forma bien Ahora pasamos en la clasificación al a la clasificación D que justamente es la presencia de una colección mal definida principalmente de líquido
como estamos viendo acá miren aquí tenemos al páncreas y acá tenemos incluso está un po poco aumentado de tamaño ya que tenemos a la colección de líquido mal definida que justamente se vería de esta forma bien y finalmente tenemos a la categoría E que es la presencia de dos o más colecciones líquidas mal definidas o una colección de gas acá tenemos entonces varias colecciones líquidas que se encuentran mal definidas o directamente una colección de gas que justamente ya nos indicaría presencia de algún agente infeccioso justamente en esa región y obviamente la clasificación va a ser
mucho más grave en el paciente bien entonces repasemos a partir de esta imagen y sin ver el chancho directamente a partir de Los criterios de Baltazar Los clasificamos en a b c d y e y cada uno va a tener 0 1 2 3 hasta cuatro puntos respectivamente bien entonces la categoría a significa que el páncreas se encuentra totalmente normal como les dije la categoría B significa que hay una inflamación a nivel del páncreas hay un aumento del volumen a nivel del páncreas como lo vimos bien en la categoría C significa que hay un daño
la palabra clave aquí era o una lesión peripancreática alrededor del páncreas que justamente es esto que estamos viendo acá la categoría d nos indica que hay una presencia de una colección de líquido mal definida que sería esta que estamos viendo acá y la e que hay dos o más colecciones de líquidas mal definidas o hay simplemente una colección de aire o gas en el páncreas que justamente nos indicaría una lesión mucho mayor así ya clasificamos la categoría eh bien entonces así de sencillo es como recordamos Los criterios tomográficos de Baltazar simplemente recordando las imágenes y
dándonos cuenta poco a poco Cómo va avanzando y evolucionando bien entonces a partir de eso ya podemos sacar conclusiones La respuesta es no porque a partir de esta tomografía axial computarizada que dijimos sin contraste ya tenemos una una puntuación pequeña pero debemos eh debemos igualarla o sumarle y adherir justamente otra puntuación que va a ser justamente a partir de una tomografía que esta sí va a ser con contraste que va a determinar los grados de necrosis en el paciente bien entonces los grados de necrosis también nos van a dar diferentes puntos y nos van a
indicar grados de necrosis primeramente tenemos de 0 2 4 hasta seis puntos si tenemos cero puntos Qué significa como acá lo mismo que justamente el páncreas se encuentra normal por lo tanto el porcentaje de necrosis es del 0% si tenemos dos puntos significa que el porcentaje de necrosis se encuentra menor del 30% y cómo se va a ver en la tomografía con contraste se va a ver de esta forma miren acá tenemos la tomografía con contraste y acá tenemos al páncreas Dónde está la necrosis se encuentra justamente acá donde están las flechas miren Acá está
una pequeña cantidad de necrosis que no es el 30% debe ser un 15% o hasta un 18 por pero es bastante pequeña en comparación al páncreas bien entonces solamente dos puntos Ahora cuando tenemos cuatro puntos cuando la necr se encuentra entre el 30 al 50% Y cómo es que se va a ver en la tomografía con contraste muy importante se va a ver de esta forma miren acá tenemos al páncreas que se encuentra hasta acá y todo esto que estamos viendo acá es directamente necrosis por lo tanto ya es del 30 al 50% incluso ya
está a punto de ser mucho más del 50% pero todavía no miren aquí es donde se ve la necrosis Entonces tenemos cuatro puntos ahora y finalmente si la necrosis ya se encuentra más del 50% significa que le vamos a dar seis puntos en grado de necrosis que se va a ver de esta forma y obviamente la lesión miren aquí ya básicamente es un como un 90 por de daño a nivel del páncreas y obviamente la puntuación y la y el pronóstico a partir de Esto va a ser pues mucho peor en este paciente bien entonces
a partir de esto qué es lo que tenemos que hacer nosotros tenemos que sumar la puntuación que el paciente ha obtenido a partir de del de la escala de Baltazar que es esta a c d e Y a partir de los grados de necrosis Entonces sumamos los grados de necrosis y sumamos la puntuación de la de del abcd del del Baltazar lo sumamos y obtenemos un total de puntos Entonces si tenemos puntuaciones de 0 a tres puntos significa que tenemos un índice de severidad bajo en el paciente es decir que tendríamos por ejemplo un agrandamiento
difuso del páncreas y tendríamos eh una necrosis menor al 30% ya sería un índice de severidad bajo si tenemos una puntuación de 4 6 puntos tenemos un índice de severidad medio por ejemplo si tenemos por ejemplo una anomalía intrínseca a nivel del páncreas Y tenemos una necris menor al 30% bien y finalmente si tenemos de 7 a 10 puntos ya tendríamos un índice de severidad alto que ya nos indicaría por ejemplo una presencia de una colección de liquidad mal definida más por ejemplo una necrosis del 30 al 50% eso ya sería bastante grave y como
les dije a partir de esto directamente incluso desde el medio desde ya tenemos la puntuación de seis puntos ya deberíamos utilizar ingresar al paciente directamente a cuidados intensivos o cuidados intermedios si se encuentra por por más bajo y demás Y a partir de eso podemos determinar Cómo va a evolucionar nuestro paciente bien entonces como les dije para que no se olviden los criterios tomográficos de Baltazar la primera clasificación que es del a b c d y e se van a evaluar con una tomografía sin contraste y los grados de necrosis se van a evaluar a
partir de una tomografía que se va a encontrar con contraste bien entonces este fue el video de hoy Espero mucho realmente que les haya gustado si fue así ya saben lo que tienen que hacer no olviden seguirnos en Facebook estamos como guiamed en instagram estamos como guiamed bar Cristian crem y pues nada muchas pero muchas gracias por todo el apoyo les prometo les prometo realmente que se vienen cosas increíbles dentro del Canal y y pues nada muchas pero muchas gracias por todo el apoyo que les están dando y y les mando muchos saludos muchos abrazos
porque realmente sin ustedes Nada de este canal sería realmente posible otra vez Muchas gracias por todo el apoyo Mi nombre es Cristian pusar alcón Este es el proyecto guam Gracias y chao