E lembra que no começo do programa A gente perguntou qual é a pior dor do mundo você deu seu palpite e vamos ver que que estão falando aqui na nossa tela interativa Aline dor no ciático Nossa pensei que fosse morrer tem mais comentário vamos dar uma olhada aqui nos comentários do nosso mural A Cris tá pior dor é a neuralgia do trigêmeo você fica sem ação e só consegue chorar 100% incapacitante alguém acertou Doutor André presa Chris acertou né então a ciência considera a neuralgia do trigêmeo como a pior dor que o ser humano é
capaz de experimentar pela até conhecida como doença do suicídio em alguns países porque muitos pacientes tentam tirar a própria vida devido ao imenso sofrimento não sabe entender porque que ela dói tanto Então vamos ver entendeu onde tá onde está localizado essa dor no nosso corpo Olha só então a região muito importante né exatamente primeiro. O que que é o nervo trigêmeo não devo ter gêmeo ficar dentro aqui da cabeça e ele recebe esse nome trigêmeo em três Ramos tá o primeiro ramo vai nevar parte superior aqui do rosto o segundo ramo a parte mais do
Meio perto do nariz e o terceiro rama parte inferior aqui perto da boca tá outra coisa muito importante o trigêmeo é responsável pela sensibilidade do rosto a movimentação a mímica facial é outro nervo chamado facial totalmente diferente tá o que acontece é que o nervo trigêmeo como vários nervos do corpo ele tem uma camada protetora como se fosse um fio elétrico em alguns casos essa camada protetora pode ser degradada degenerada muitas vezes por uma compressão para o matéria uma velhinha que fica ali machucando o nervo o tempo todo quando essa degeneração chega a um nível
a x digamos assim o nervo ou entra em curto circuito olha por isso existência demonstração aqui então quanto tá encapado É como se você pudesse passar algo no nervo e nada vai doer não acontece nada não espera nenhum alarme agora quando desencapa aí o mínimo toque Ai ele disse para e começa a ativar essa dor que é chamada da pior dor do mundo e que a pessoa não fica o dia inteiro com dor Então as principais características do paciente com neuralgia do trigêmeo são as seguintes o paciente tem dor usualmente em uma ou mais dessas
regiões que eu citei ele pode ter no rosto todo usualmente a de um lado só do rosto tá bem adora do tipo choque e ela vem crises ela vem e passa rapidamente vem muito intensa e passa rapidamente e usualmente desencadeada por algum estímulo como falar mastigar ou eventualmente escovar os dentes nesse que causa muito sofrimento não dá para fazer nada né fazer nada eu vou continuar entendendo aqui o quê que pode ser feito para melhorar essa dor chamada de pior dor do mundo que a gente radiofrequência é uma das alternativas radiofrequência é uma das alternativas
não só para a neuralgia do trigêmeo mas para diversas dores crônicas que não melhoram com tratamentos menos invasivos então o que que é feito o procedimento sem necessidade de cirurgia inscritos observação não precisa de internação nos posicionamos uma agulha precisamente ao redor do nervo trigêmeo tá bem nós colocamos um eletrodo por dentro dessa agulha esse eletrodo é ligado a um gerador de radiofrequência que emite uma corrente elétrica que tem como objetivo simplesmente inativar o nervo por fora do rosto mesmo agora é o rosto faz Oriente ao ponto de entrada da agulha aqui na bochecha não
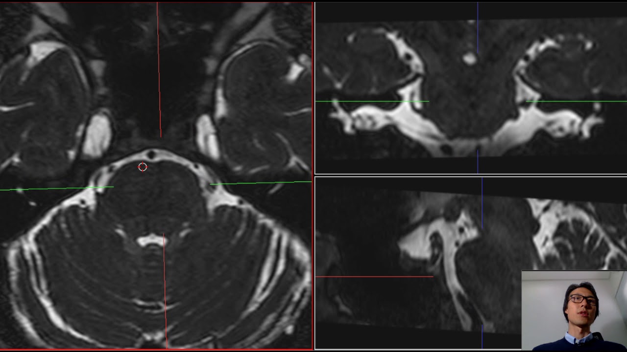
vem e tem mais uma alternativa que a gente vai ver aqui vamos ver a próxima alternativa para lidar com essa dor a outra alternativa é a compressão por balão então da mesma forma é colocada a agulha só que ao invés de colocarmos um eletrodo aqui por dentro é colocado um cateter que tem um balãozinho aqui na ponta nós insufl amos esse balão por um determinado tempo específico essa insuflação comprime o nervo trigêmeo e causa uma falta de sangue temporária no eu perto de irrigação perde irrigação o tempo ter uma imagem real nesse procedimento para a
gente dar uma olhada aqui para entender um pouco melhor para ver então aqui tá mostrando agulha e aqui o balão sendo insuflável a gente vê isso com o raio x específico do centro cirúrgico quando perde sangue perde irrigação nessa região para de doer parou de doer em mais de noventa e cinco porcento dos carros imediatamente idiota não só deve ser uma livremente a maioria dos pacientes chegam chorar é um livro bastante importante de ar livre e depois de alívio uma dor muito conhecida e a dor oncológica dor do Câncer essa dor ela é devidamente tratada
pelo especialista ela é tratado com devido com devido cuidado alguns lados é bem importante é mais de setenta por cento dos pacientes com dor com câncer vão ter dor em algum momento do seu do seu tratamento digamos assim mais de trinta por cento são subir tratados essa dor é hoje tudo oncoguia fez uma pesquisa muito interessante bom e que mostrou que apenas dez porcento desses pacientes são encaminhados para especialista em dor e o dado que eu acho mais importante mais interessante existem vários trabalhos que mostram que o tratamento adequado das dores no paciente com câncer
aumenta Nossa não só a qualidade de vida mas também o tempo de vida desse paciente obviamente não tem uma influência Direta do Câncer em si também mas o paciente tem menos complicações porque aumenta a mobilidade então não menos medicamento previne algumas complicações como pneumonia trombose constipação isso faz melhor e mais tem dúvida gente a pior dor é aquela que a gente conhece é a nossa dor por isso não menospreze a sua dor trate Olha quantas alternativas a gente deu hoje aqui no bem está com a ajuda da Laura obrigada obrigada muito obrigado você muito a
sua participação mas eu tô com tanta saudade da Laura preferido dizer que ela deu programa um charme mais especial isso também brilhou bastante Muito obrigado se cuida vem aí Fátima Bernardes a gente vai e para amanhã amanhã não não não tá lá gente ó