Olá pessoal então vamos mais para para mais uma vídeoaula dessa vez nós vamos falar da istologia do tecido muscular bom Antes de nós falarmos do tecido propriamente dito é importante a gente entender a estes ou seja qual é a origem desse tecido Então como vocês podem ver aqui nesse slide o o tecido muscular se origina do mesoderma embrionário esse mesoderma conforme a evolução embrionária vai acontecendo ele se organiza como vocês vem aqui ao redor do tubo neural ele se organiza no formato dessas estruturas que vocês vem aqui chamadas de somites nesses somites a gente encontra
os mioblastos que são as células precursoras das células musculares eh do indivíduo adulto esses mioblastos como a gente pode ir observando aqui nesse esquema eles começam a se unir se eh Se fusionar e formam os chamados miotubos multinucleados que são células ainda não totalmente organizadas eh com o passar do tempo esses miotubos vão maturando e formam a célula muscular ou fibra muscular eh no indivíduo adulto existem digamos os representantes desses blastos que são as chamadas células satélites que são as células que TM capacidade de sofr mitose de se reproduzir para repor quando aá perda de
tecido muscular nós vamos ver que os tecidos musculares são de difícil reposição de difícil Regeneração Principalmente quando se trata de músculo cardíaco e músculo estriado esquelético o músculo estreado esquelético quando necessário a sua reposição a célula satélites que são células precursoras de células musculares elas eh são responsáveis por esse processo bom também é muito importante nós entendermos que paraa compreensão do funcionamento de uma célula muscular nós precisamos entender alguma terminologia e precisamos entender a sua morfologia Então como vocês veem aqui nesse esquema a membrana asmática da célula muscular ela recebe o nome de sarcolema a
membrana plasmática ela faz esse sarcolema ela faz invaginações pro interior da célula E essas invaginações são chamadas de túbulos T então túbulos T nada mais são do que invaginações do sarcolema pro interior da célula muscular como a gente pode ver nesse esquema esses túbulos T eles estão em íntimo contato com o chamado retículo sarcoplasmático esse retículo sarcoplasmático nada mais é do que o retículo endoplasmático liso das células musculares nós vamos ver daqui a pouco que esse túbulo T com as duas cisternas do retículo sarcoplasmático como vocês vem aqui no esquema forma o que se conhece
por Tríade que é uma estrutura extremamente importante para o desencadeamento do processo de contração muscular então a relação do túbulo T com duas cisternas de retículo sarcoplasmático são importantes para que haja contração celular os filamentos os miofilamentos estão organizados nas chamadas miofibrilas que é o que vocês veem aqui e por sua vez dentro da miofibrila esses miofilamentos estão organizados em estruturas chamadas de sarcômeros que mais na frente nós vamos ver essa estrutura em detalhes também é importante chamar atenção que há uma grande quantidade de mitocôndrias visto que essas células consomem muita energia E além disso
os núcleos como vocês podem ver aqui eles são empurrados para fora eles estão sempre na na periferia das células Então os núcleos das células musculares eh Lógico que aqui nós estamos tratando da célula músculo estriado esquelético que é a organização mais complexa eles estão sempre colocados na periferia Porque como a gente vê a maior parte do chamado sarcoplasma que é o citoplasma da célula muscular ele é preenchido por miofibrilas e o e o núcleo acaba ficando na periferia quando se fala em músculo se fala em conjunto em desculpa em tecido muscular se fala em conjunto
de células contrateis porém também é importante a gente notar que no organismo no corpo de modo geral existem células contrates isoladas então nós temos as células mioepiteliais que estão representadas aqui que são células que estão principalmente envolvendo adenómero de glândulas e essa célula ela espreme esse adenómero para liberar a secreção Nós também temos os miofibroblastos que tem um que são fibroblastos com capacidade de contração que tem um papel preponderante na redução da área das feridas então no processo de cicatrização essas células se contraem e ajudam a diminuir a área das feridas e nós temos os
pericitos que são células contrateis que estão na parede de capilares principalmente capilares eh capilares contínuos e esses capilares S esses pericitos que estão nessa parede eles promovem vasoconstrição e vasodilatação na microcirculação então além do conjunto de células que nós vamos tratar também é importante entendermos que existe essas células contrates distribuídas por todo do corpo então quando se fala em tecido muscular nós falamos em três tipos de tecido músculo esquelético músculo liso e músculo cardíaco o músculo esquelético vocês vem aqui um corte longitudinal e aqui um corte transversal um esquema ele aparece essa estriação então é
músculo estriado esquelético e essa estriação é fruto da organização das fibras como nós falamos que da da das Mil fibrilas como nós falamos e daqui a pouco nós vamos ver em mais detalhe chamada de sarcômero Então esse é o músculo estriado esquelético que tem como eh característica tem uma contração rápida forte descontínua e voluntária Aqui nós temos o músculo estriado cardíaco Então esse músculo também as as miofibrilas estão organizadas ou ou Desculpa os filamentos que formam as miofibrilas estão organizados também em sarcômero por isso que ele é estriado e esse músculo estriado cardíaco ele tem
uma contração rápida forte contínua e involuntária isso nós vamos ver um pouco na sequência e o músculo liso é o músculo que não tem as estriações porque aí os filamentos eh eh estão não estão organizados na forma de sarcômero ele tem uma contração fraca lenta e involuntário Então esse é um resumo muito grande do que nós vamos ver daqui pra frente bom Vamos começar com o músculo estreado esquelético o músculo estriado esquelético como a gente vê aqui no esquema a primeira coisa que tem que ficar Clara é que célula muscular é sinônimo de fibra muscular
então quando se fala em célula muscular se pode também chamar de fibra muscular Então como vocês veem aqui no esquema cada célula pode ser considerada uma fibra muscular também é importante ressaltar que para dar suporte a essa célula muscular existe toda uma estrutura de tecido conjuntivo que dá suporte leva a essa célula vasos sanguíneos e nervos esses vasos sanguíneos e nervos que estão nesse tecido conjuntivo eles que suprem as necessidades dessa célula tanto Eh esses nervos tanto são receptores por exemplo de dor quanto levam o sinal paraa contração muscular que mais adiante nós vamos ver
então em termos de organização esse tecido conjuntivo ele está organizado numa camada mais externa chamada de epimísio que envolve todo o músculo músculo como órgão aqui né ele também tá envolvido tá tá organizado no chamado perimísio que forma os feixes ou facíl de fibras nervosas desculpa de fibras musculares ou células musculares esse perimísio eh por exemplo assim quando se cozinha uma carne e ela desfia o que desfia são justamente esses facíl aqui que se soltam um do outro tá então é esse perimísio aqui que eh quando cozido por ser tecido conjuntivo por ter colágeno ele
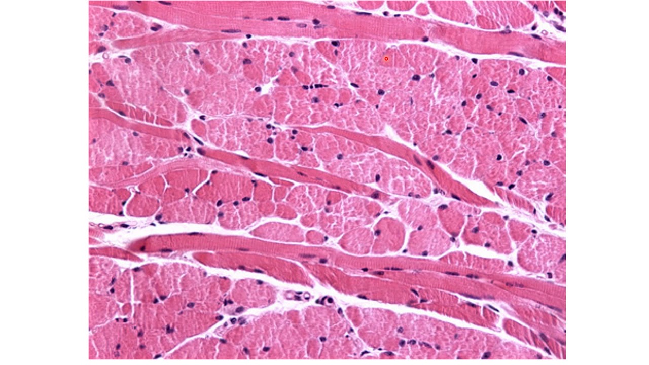
se disfaz em gelatina e por fim ao redor de cada fibra muscular de cada célula muscular tem o endomísio então o tecido conjuntivo se organiza em perimísio mais externo eh desculpem epimísio mais externo perimísio formando o os os feixes de fibra o facíl e o endomísio envolvendo cada uma das células musculares que eh esqueléticas dando suporte ao funcionamento essas células eh musculares esqueléticas também TM uma característica de muitas vezes ter vários centímetros de comprimento aqui num corte histológico se pode observar estriação com bastante clareza os núcleos periféricos como a gente já comentou num corte longitudinal
e no corte transversal a gente vê cada uma das fibras musculares envoltas por endomísio Então esse tecido do conjuntivo aqui na volta é o chamado endomísio Outro ponto importante é nós compreendermos eh que a o músculo estriado esquelético ele tem dois tipos principais de fibras as fibras vermelhas e as fibras brancas a forma mais simples de nós raciocinarmos sobre isso é pensarmos na carne de frango se nós pensarmos num peito de frango numa coxa sobre coxa de frango a coxa e sobre coxa de frango a carne é mais vermelha é mais corada e o peito
a carne é branca e por que isso as fibras vermelhas como vocês podem ver aqui no slide elas possuem mais mioglobina por isso que são vermelhas tá que é o esse pigmento que mantém a a a cor dessa célula eh os diâmetro normalmente dessas fibras são menores do que das brancas é Elas têm mais quantidade de mitocôndria a contração dessas células é mais lenta Porém ela tem mais resistência à fadiga não tendo Picos muito severos de contração Então essas fibras vermelhas são as fibras que predominam em eh por exemplo em atletas que correm maratonas eles
têm uma musculatura mais eh eh com com posta em sua maioria pros fibras vermelhas essas eh e aí por isso que tá por exemplo na coxa do Frango quando eu falei do peito o peito do Frango é composto principalmente por fibras brancas por qu essas fibras brancas Elas têm elas são brancas porque elas têm meio menos mioglobina Elas têm menos mitocôndrias e elas têm uma contração rápida com um pico elevado Então são as fibras típicas de corredores de por exemplo 100 m rasos então elas têm eh elas se fadigam rapidamente porém Elas têm pico de
concentração elevado e contração rápida e então esse tipo de relação é importante nós termos Claro e Voltando a falar por exemplo comparando com os tipos de carne os frangos têm as fibras brancas no peito porque eles não utilizam eles não voam mais se nós pegarmos por exemplo um peito de de pato que é um um animal que voa que usa as asas para voar que são os músculos do peito que fazem isso eh esse o o o peito do Pato ele é composto principalmente por fibras vermelhas e não por fibras brancas como como o peito
do Frango então resumidamente fibras vermelhas são mais coradas pela presença de hemoglobina resistência à fadiga contrações mais fracas fibras brancas se fadigam mais rápido são mais claras porque tem menos hemoglobina e tem pouca resistência a fadiga e lógico que existem a fibras intermediárias Entre uma e outro bom outra questão também importante de nós passarmos muito rapidamente é os fatos do que que acontece em casos de hipertrofia muscular e como que o músculo se regenera então tanto uma quanto a outra é responsabilidade de células satélites então lembra que nós falamos lá no primeiro slide as células
satélites são digamos os representantes das células iniciais das células precursoras do músculo então tanto uma questão quanto outra é a responsabilidade dessas células essas células satélites quando sofre um estímulo seja pelo exercício físico seja por uma lesão essas células fazem mitose então elas se multiplicam e é o que a gente observa aqui então quando o indivíduo começa a fazer algum tipo de treinamento essa células satélites fazem mitose e ela se incorporam a fibra muscular Então e se fusiona a célula satélite com a fibra muscular e vai inserindo núcleos nessa célula muscular então a célula muscular
vai recebendo mais núcleos E conforme eu vou estimulando essa célula a se movimentar ela vai sofrer um processo de hipertrofia então ela vai aumentar de tamanho ela não aumenta o número de células musculares aumenta o tamanho da célula Tá e Esse aumento de tamanho se dá pela ação pela produção de proteína por esse número aumentado de núcleo se a pessoa para de treinar a célula vai diminuir de tamanho observem que ela fica ao do mesmo tamanho de uma pessoa que nunca treinou porém com mais núcleo Isso significa que quando re estimulado é mais fácil haver
hipertrofia muscular do que quando a pessoa nunca treinou tá e o processo de cicatrização é muito similar é bom é importante eh salientar aqui a Regeneração do músculo estriado esquelético é uma eh eh Regeneração complexa às vezes é difícil de acontecer dependendo do grau de destruição não tem como se for uma lesão muito extensa substituido por tercido conjuntivo Outro ponto importante como é de se esperar conforme a idade do indivíduo avança a Regeneração fica mais complexa as células eh satélites que estão em estado que ente quando são estimuladas no indivíduo jovem elas se fazem mitose
se auto eh se se se multiplicam e repõe aquela perda de eh fibra muscular porém em em indivíduos mais idosos essa reposição é mais difícil e a a a formação de novas fibras musculares é mais complexa também bom agora nós temos que dar o próximo passo que é entender muito rapidamente nós não vamos nos aprofundar muito de como que uma célula eh estriada esquelética se contrai então a base da contração se dá pelo deslizamento dos 1000 filamentos um sobre o outro esses 1000 filamentos eles são divididos em filamento Delgado e filamento espesso o filamento Delgado
como vocês veem aqui embaixo ele é composto principalmente por três proteínas a principal é a actina que é essa aqui em azul roxo a segunda é a tropomiosina que é essa outra aqui que se estende por todo o comprimento da actina e a terceira é o Complexo da troponina nós vamos ver daqui a pouco quando falarmos em contração que essa o complexo da troponina e da tropomiosina e observem que cada um dos monômeros de actina aqui tem um pontinho mais escuro esses pontinhos mais escuros são os sítios de ligação entre a miosina que forma o
filamento espesso que a gente vê aqui e a actina essa ligação de miosina com actina é a responsável pela contração muscular tá então esses filamentos Delgado e filamento espesso eles estão organizados dentro da fibra muscular dentro do do da da célula muscular eh como num formato chamado de sarcômero que é o que nós vemos aqui então o sarcômero ele é uma estrutura que vai de um disco Z para outro disco Z disco z ou linha Z tá como vocês observam Esse sarcômero quando as duas linhas e se aproximam o músculo se contrai então a contração
nada mais é do que a aproximação entre dois discos ou duas linhas e os filamentos de actina e miosina que estão aqui deslizam um sobre o outro as linhas se aproxima tá Então essa é a base da formação então nós temos a banda I que é a banda Clara do sarcômero composta somente por filamentos finos e a banda a que é a banda escura do sarcômero composta principalmente pela sobreposição entre filamento espesso e filamento Delgado Além disso no meio da banda Ace tem a zona H que é onde estão somente os filamentos espessos e l
no momento em que a que que o sarcômero se contrai Essa zona H também diminui de tamanho porque o filamento espesso o filamento Delgado Encosta na linha M ou se aproxima da linha M que é onde se ancoram os filamentos de miosina então linha Z se Ancora os filamentos de actina linha M se Ancora os filamentos de miosina banda aia Mais Escura porque a maioria dela é composta pela interseção entre ento espesso filamento Delgado e Banda I mais clara devido à presença quase que exclusivamente de filamentos eh delgados bom Aqui nós temos muito resumidamente como
se dá o processo de contração muscular Então a primeira coisa da contração do músculo estriado esquelético se dá através de um potencial de ação que vem de um nervo como o músculo é voluntário a partir de uma ordem do sistema nervoso central isso é transmitido isso chega na junção neuromuscular como a gente vê aqui essa porção do neurônio libera no espaço sináptico acetilcolina essa acetilcolina gera um potencial de ação isso aqui é o sarcoplasma sarcolema desculpa lembre isso aqui é a membrana plasmática da célula muscular e isso é um tubulo t Então esse potencial de
ação originado pela ligação da ti Colina ao seu receptor ele se transmite para o interior da célula pelos túbulos T eu vou voltar um pouquinho aqui para mostrar então o potencial de ação se gera aqui e pelos túbulos T ele se transmite pro interior da da célula através da Tríade que nós vemos aqui há uma liberação do cálcio porque o retículo sarcoplasmático ele que é essa estrutura que tá aqui azul o retículo sarcoplasmático armazena cálcio quando o potencial de ação chega através do túbulo t e se transmite pro retículo sarcoplasmático o retículo sarcoplasmático libera cálcio
para o sarcoplasma que é o citoplasma da célula muscular essa liberação do cálcio faz com desculpa esse cálcio liberado ele se liga na troponina que está no filamento delgado no momento em que o cálcio se liga na troponina vamos passar para essa outra imagem aqui ele vou voltar aqui um pouquinho ele se liga na troponina faz com que a tropomiosina libere os sítios de ligação entre actina E miosina então expõe o sítio de ligação que existe na actina paraa miosina e a miosina que está por sua descarregada pela energia de um ATP que nós vamos
ver como conforme isso vai andando o ciclo essa cabeça de actina então desculpa dem miosina se liga ao filamento de actina no momento em que ocorre essa ligação porque o sítio foi liberado pela liberação do cálcio no momento que ocorre isso a cabeça de miosina observem a diferença da da do posicionamento a cabeça de miosina muda de posição tracionando esse filamento como indicado pela seta encurtando o sarcômero então liberando então um ATP no momento em que libera o ATP entra e um fosfato inorgânico Lógico que tá aqui ó no momento que acontece isso entra um
outro ATP que se liga na cabeça de miosina Eu até agora não comentei mas a cabeça de miosina Tem atividade atpica isso significa o quê que ela quebra a miosina em ADP mais fosfato inorgânico e armazena a energia no momento em que entra outro ATP ela se ela tinha se desligado da da actina entra um ATP ela de novo Faz a Hidrólise do ATP em ADP fosfato inorgânico e fica com a energia E caso o sítio aí esteja ainda eh exposto ela vai lá e se liga e o ciclo continua Então esse é muito resumidamente
o processo de contração muscular portanto dependente de ATP que é produzido pelas mitocôndrias que a gente viu lá nos primeiros slides bom passando então agora pro músculo estriado cardíaco o músculo estriado cardíaco ele é estriado como a gente viê aqui na imagem então a gente já comentou porque as eh miofibrilas estão organizadas em formato de sarcômero as células diferentes das células musculares estriadas eh elas se bifurcam algumas vezes o núcleo não está periférico o núcleo é eh às vezes é meio deslocado do centro mas o o ele aparece no interior da célula não na periferia
da célula e uma das questões mais importantes do músculo cardíaco é a presença dos discos intercalares para pra gente reconhecer na istologia esses discos intercalares que juntam as extremidades de células musculares cardíacas eles possuem ali desmossomos e junções aderentes para evitar que essas células se separem e junções comunicantes que fazem com que as células musculares cardíacas funcionem em sincício Ou seja que quando uma recebe o sinal para se contrair todas as outras recebem esse mesmo sinal permitindo a sí sístoles e e diástoles cardíacas outra questão muito importante também é que o músculo cardíaco ele não
se regenera no momento em que há perda de células musculares cardíacas não há possibilidade de regeneração o músculo estriado esquelético a Regeneração é possível mas é complexa o cardíaco não se regenera outra questão importante que nós vimos que o estímulo para contração pro músculo estreado esquelético ele vem do sistema nervoso então é através de um nervo que chega ali na junção neuromuscular e simula o o processo o músculo cardíaco ele se contrai sem estímulo nervoso direto como vocês veem aqui todo o processo de contração do coração ele é coordenado pelo nó sinoatrial que é o
marcapasso cardíaco esse no sinoatrial gera um sinal elétrico esse sinal elétrico se distribui pelos átrios depois ele chega no no átrio ventricular que atrasa um pouco esse sinal elétrico esse impulso elétrico e desse eh nó átrio ventricular ele se distribui pelas fibras dequin pelos ã pelos ventrículos do coração e aí sim ele provoca a contração do ventrículo isso faz com que o coração tenha o seu B ento eh permitindo a circulação do sangue Isso significa que quando os os se contraem os ventrículos estão relaxados quando o ventrículo se contrai o átrio tá relaxado e isso
que permite que o nosso sangue circule as células responsáveis por fazer a transmissão desse impulso não são células nervosas são células musculares cardíacas modificadas Elas têm menos mil fibrilas e estão em contato por desmossomas e junções como Anes Então essas células musculares cardíacas modificadas são responsáveis pela transmissão desse impulso pra célula muscular que sim vai se contrair bom e por fim nós vamos falar de músculo liso o músculo liso como a gente já falou é igual ao cardíaco ele é involuntário Mas diferente do cardíaco a contração do músculo liso é mais fraca a do cardíaco
por estar por por pela as fibras estarem no formato de eh formando sarco eh formando sarcômeros ela se contrai com mais força o o o músculo liso como a gente já comentou ele pode estar isolado ou em fícus e camadas esse músculo faz mitose com bastante facilidade E além disso alguma as células também podem produzir Matriz eh de tecido conjuntivo como colágeno elas etc tá então isso aqui é uma é uma microfotografia eh de uma lâmina de intestino Aonde se vê corte longitudinal o núcleo fusiforme são células fusiformes alongadas e corte transversal das mesmas eh
dos miócitos lisos a contração é um pouco diferente ela é estimulada pelo sistema nervoso autônomo ou por hormônios no caso por exemplo do parto a liberação de oxitocina que faz o útero se contrair e o parto acontecer ou seja a o o o músculo liso da parede do útero se contrai o miométrio e essa contração do miométrio é estimulada por hormônio e não pelo sistema nervoso e também por estiramento quando a célula muscular Lisa por exemplo no caso de de de uma atonia seja mais ou menos grave do sistema eh eh digestório Por exemplo quando
diminui alguma contração ou melhor quando acumula gás no sistema digestório essa célula se expande o o intestino se expande e por essa expansão há um estímulo para que essa célula se contraia e daí por exemplo vem as cólicas como vocês vem aqui a a contração da célula muscular lisa ela não apen encurta a célula como acontece nas outras duas ela faz com que a célula tenha um um arranjo mais globoso porque os filamentos de actina e miosina que também são responsáveis Eles não estão no formato de sarcômero eles estão ancorados na membrana dessa célula pelos
corpúsculos ou corpos densos Então essa essa ancoragem é que faz com que a célula não se contraia em um único sentido a célula muscular Lisa se contrai em todos os sentidos então era isso que nós tínhamos paraa nossa aula novamente Espero que seja útil para vocês e nos vemos na sequência em outros vídeos do canal