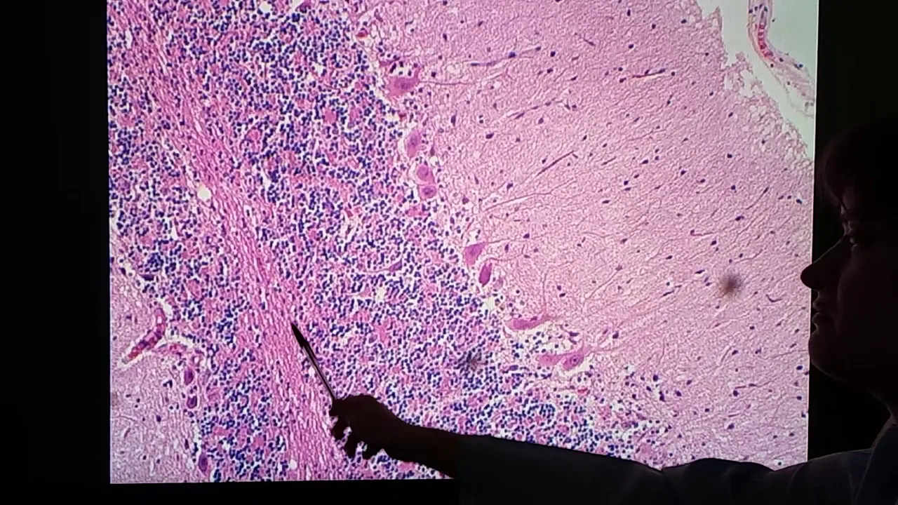
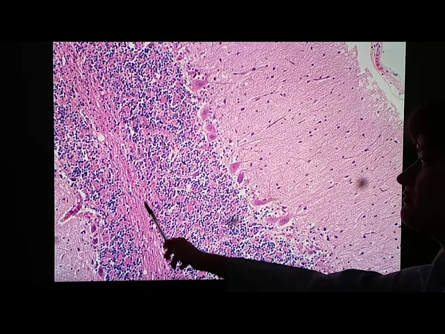
bem vindos a mais uma vídeo-aula do sistema nervoso central hoje vamos estudar o cerebelo que é uma parte do encéfalo localizada logo abaixo do cérebro que têm função motora e função de coordenação do equilíbrio um cerebelo ele é organizado em vários longos e esses lobos são divididos em folhas a gente consegue observar que várias folhas e essas folhas apresentam duas regiões uma região mais externa é possível ver aqui e aqui que a gente chama de córtex ou região porthcawl que é onde está localizada a substância cinzenta e uma região mais interna que a região medular
que é onde se encontra a substância branca que a gente vai ver mais detalhes no em aumentos maiores externamente queria as meninges e aqui a gente só consegue observar meninas mais interna que a fia master que ela também ajuda a separar essas folhas então vou passar por um aumento maior de 40 vezes pra gente observar mais detalhes aquele momento de 40 vezes a gente observa a partir de uma folha cerebelar na qual a gente estão localizados principalmente aqui mais fácil de visualizar região cortical que é tudo isso aqui hoje um lado e do outro ela
faz uma volta aqui a região for tikal como eu falei aonde a gente encontra os corpos celulares neurônios o pericárdio e aqui é organizado em três camadas aí de fora pra dentro camada molecular camada de células de purkinje uma camada de uma única camada de células um neurônio bem grande e chamada granulosa é essa daqui onde a gente tem vários corpos celular de neurônios bem pequenos do outro lado a mesma coisa chamada molecular camada de células de purkinje onde observa algumas camadas granulosa isso aqui no meio cor de rosa é acamada medular que é onde
está a substância branca que ela é composta de axônios de neurônios vou passar nova novamente um aumento maior agora nos 100 vezes pra gente ver mais detalhes lançamos aqui no momento de cem vezes não dá pra gente vê agora as camadas camada novamente nos pés de fora pra dentro camada molecular camada de células de purkinje e camada granulosa essas três então fazendo parte da região cortical composta por substância cinzenta aqui no meio bem fina camada medular que a substância branca que é onde são os axônios desses neurônios minha principal dessas camadas é a camada de
células de purkinje que são neurônios aqui bem grandes aqui dá pra ver o pericárdio o corpo celular ele tem um citoplasma quinto cora de tom de rosa intenso núcleo grande com cromatina frouxa no plantel é evidente a gente associa o formato desse pericar geralmente como se fosse uma garrafa os autores que vão chamar formato de garrafa é um neurônio que tem um formato um pouco diferente que partindo daqui ele vai apresentar várias dendritos como se fosse um leque todos aqui em cima então essa porção da camada molecular quase toda ela vai ser composta por dendritos
são bem longos aqui dentre tantos das células de purkinje entre esses dendritos a gente encontra alguns neurônios menores ou células da glia que não dá pra gente diferenciar que na tecnologia na com h é pelo menos e ele apresenta um absurdo o único que vai vir em direção à camada granulosa até a afaa acamada medular onde ele vai continuar aqui em direção à substância branca bem na camada granulosa então além do axônio da das células de purkinje a gente vai observar vários núcleos aqui bem denso a maioria desses núcleos são céu são neurônios são os
menores neurônios do nosso corpo também vai ter células da glia que envolta tipos diferentes de neurônios mas também pela morfologia prática porque a gente não consegue diferenciar externamente aqui está um pouco arrebentando a camada molecular e depois faria a a membrana mais interna que a fia master que aqui a gente consegue visualizar capilares sanguíneos aparecer um corte longitudinal uma fileira de hemácias outra forte conversão aqui só mostrando a mesma região um aumento de 400 vezes camada de fora pra dentro camada molecular camada de células de purkinje pra observando um aqui bem grande camada granulosa então
aqui está focalizado apenas na substância cinzenta que a maior parte aqui do cerebelo aqui em detalhe o corpo celular da das células de purkinje bem grande aqui o núcleo no cléo citoplasma cobra bastante intenso aqui em tom de rosa e dá para observar partindo dele aqui algumas porções os dendritos tenho aqui é outra parte aqui em direção à camada molecular tão pouco quase todas essas projeções rosas aqui são dendritos ramificações em gritos de células de purkinje e entre eles a gente encontrou alguns outros neurônios ou células da glia mas que não dá pra identificar bem
aqui e na camada granulosa e como eu falei composta com vários núcleos que podem ser corpos celulares de outros neurônios menores ou células da glia da então essas foram as estruturas principais que a gente consegue observar na lâmina de cerebelo obrigada pela atenção e até a próxima videoaula