E aí [Música] E aí E aí [Música] Esse é o PDA uma doença congênita né Então esse é um caso Clínico que eu fiz a confirmação hoje à tarde doutora Carolina que pegou esse caso é anteriormente e eu fui lá para confirmar e a gente enfim começou não fazer muito sentido nas imagens os valores o tamanho das dimensões das câmeras especialmente o ventrículo esquerdo você vai entender porque é um só uma ressalva né eu estímulo todo mundo lá fazer todos os exames mesmo que é suspeito seja congênita por causa da pessoa da cardio porque vocês
vão aprender fazendo né E aí eu faço a revisão se for o caso tá pessoal do ultrassom mesmo é história Lembrando que nesse caso não tinha nem suspeita ficou gênica é então é uma coisa importante de se falar né que que acontece a gente tenta filtrar as suspeitas mais ou menos né só que chega lá a gente pode se deparar com um caso difícil complicado seja ultrassom civil no Eco às vezes até um raio-x enfim bom então a gente às vezes não têm a Oi gente pede é suspeito para o pessoal mas não tem não
tem a suspeita ou tem uma suspeita que não se Confirma aí o caso é mais complicado a gente não consegue prever tudo tudo né E nem Clínico vocês vão ver que esse caso aqui e até o ultrassom de abdômen pela infecção biologia da doença vocês vão ver que as vezes não dá para saber a gente só faz o diagnóstico depois é só fazem graças a necrópsia enfim vamos lá vamos seguir perder então para quem não sabe a definição do PDA primeiro meu ducto arterioso né O que que é o ducto arterioso é o vaso que
conectar artéria pulmonar aorta descendente na embriologia né na formação do feto ali e tem como função desviar o sangue dos pulmões que estão colapsadas enquanto o cachorrinho não nasci é o cachorrinho tem o ser humano o gato todo mundo tem todos os motivos todo desvio sangue dos pulmões para horta direto durante a vida fetal a permanência ou persistência gente fala PDA persistência o Facebook tá após o nascimento caracteriza assistindo numa das cardiopatias congênitas mais frequentes em cães realmente eu pego o estenose aórtica P de ar perder mais Cristão já aórtica e estenose pulmonar só os
mais frequentes tá tetralogia de fallot vem quarto lugar para mim a minha a minha experiência nesses últimos 12 anos dentro então vamos lá epidemiology um pouquinho da epidemiologia então é uma das anomalias vasculares com gentes mais comum em cães e vinte e cinco a trinta por cento dos casos se ver e talvez é isso mesmo se Eu dividi PDA estenose pulmonar estenose aórtica e tetralogia de fallot vamos ter é um terço PDA Acho que mais sei lá acho que até mais do que isso na minha casuística e o resto a gente divide pelas outras tá
ocorre também gato está infeliz mas eu fui conhecer melhor e é comumente observado em cães de raça pura aí tem as predisposições aqui ó maltês igual a pastor de shetland Springer Spaniel inglês e sondem Bichon frise poodle toy e miniatura yorkshire terrier pastor alemão e labrador e nosso caso não é nenhuma dessas certo eu acrescentaria que que foi que eu mais peguei o Luluzinho da Pomerânia tá o Spitz alemão ou Lulu Zinho Acho que todos de todos os pedaços que eu peguei eu peguei a maioria foi nulo tá bom então tem maior prevalência em fêmeas
olha não é a minha casuística Acho que eu peguei quase todos senão todos que eu peguei foram em março de 1.66 para um né então você sempre se por cento a mais esse estatística as fêmeas de predisposição tá estudo epidemiológico de cardiopatia congênita em sugerir que fatores genéticos são importantes na tipologia do PDA em determinadas raças de cães sugere a presença de um PDA devido ao mecanismo hereditário tá sugere ainda eu acho que é não peguei o detalhe lá mais eu tenho trabalho tá que eu peguei aqui e depois eu passo para vocês têm trabalho
uma é um Polly poligênico acho ou não vou lembrar de que eles acham né então ele sugere ainda não tem certeza muito bem então quem mais que a gente tem da epidemiologia opa e repetiu pa foi mal tá vendo fazendo ainda E ai ai ai se eu repetir o slide da epidemiologia e é fingir que está tudo bem e você que aqui bom então fisiopatologia então tem os animais que apresenta a forma clássica da doença que é o chanti da esquerda para direita certo e a manifestação dos sinais clínicos de insuficiência cardíaca congestiva nesses casos
né a gente vai esquerda então ele tem um sobrecarga de volume lado esquerdo Em algum momento aumenta a pressão nessas câmaras esquerdas E aí congestão pulmonar E aí até vou morar tá E os animais que possuem o chanti da direita para esquerda eles vão apresentar hipertrofia ventricular direita e pode se temia e clinicamente né Vamos ter cianose e Olá tudo bem aqui Ah tá quando que acontece da direita para esquerda é inversão é quando a gente tem a síndrome de aizen Manger acontecendo né e querem vender assim descem negra em doenças congênitas né só Daí
você pode falar em cima de mim Idade Média não existe sim esse nome pelo menos né existe a fisiopatologia na doença de valva mitral avançada a gente tem congestão e é a sobrecarga de volume pulmonar e um rearranjo da vasculatura pulmonar microscopicamente aumenta a pressão pulmonar isso acontece Tá mesmo Da mesma forma em doenças congênitas né com sobrecarga de volume de sangue a gente tem as doenças congênitas de hiperfluxo pulmonar pegar uma delas e aí que acontece o pulmão ele se arranja os musculatura para suportar aquela mundo de sangue Extra então ele começa a fazer
a hipertensão pulmonar é uma resposta fisiopatológico a esse problema e aí a gente começa a ter um aumento da pressão do lado direito do coração e aí o chantilly inverte resolver o caso clínico Olá aqui quem está No Limiar para inverter nessas vão ver porque vou explicar na hora que eu for falar do mostrar imagem do exame Então a gente tem umas em média e quando chanti inverte E aí a gente tem um problema mais sério no PDA quando a gente tem a inversão da comunicação né quando a gente começa a misturar o sangue venoso
com sangue arterial que é o chanti da direita para a esquerda nessa da esquerda para direita eu não tenho essa mistura a pressão maior do lado esquerdo Você mistura Mas do lado direito aqui vai de novo pro pulmão ao terreno para o sistema né para o corpo não vai nenhum sangue venoso quando o chanti inverte da direita para esquerda a gente tem o sangue venoso entrando na corrente arterial circulatório e vai para o sistema tudo para todos os órgãos e aí o organismo detecta que tá com baixo oxigena são começa estimular a medula a produzir
mais elas vermelhos para carregar mas oxigênio e a gente começa a ter policitemia tá então aí a gente tem um prognóstico bem pior o certo é o diagnóstico o diagnóstico definitivo é obtido através do exame ecocardiográfico transtorácico que é o que a gente faz né pastor aspecto digitado errado aqui enfim dá um desconto e o esofagico tá E também pela angiografia né um cateterismo o que a gente faz muito menos isso para fazer os diagnósticos na rotina nosso cardiológica ela eco eco eco eco o dia inteiro Todo dia e a gente vai pegar no transtorácico
tá o esofagico bem difícil a gente fazer o até viver fazer a sonda esofágica né de transdutor é muito caro a gente Pelas universidades e tal é uma coisa de rotina e angiografia até é pouco mais de rotina hoje em dia tem algum lugar que eles fazem Principalmente quando você vai fazer o tratamento para por ocorre um né oi ou um platter para fechar o que dá trabalho você faz um geografia antes e depois para ver se deu certo enfim e você fecha um diagnóstico também né é muito importante geografia para medir o tamanho da
ampola ampola é o tamanho do né E às vezes ele ampola a abertura para até pulmonar diferente da do tamanho da abertura para a artéria aorta tudo isso é importante saber às vezes não eco transtorácico dá para ver não foi o caso desse caso eu vou mostrar às vezes dá para medir não é fácil você fazer o corte né enfim as vezes eles fazem só Geografia para medir para escolher o tipo do dispositivo que vai ser implantado lá para fechar o o Pedro tá bom tratamento é oclusão do ducto E aí você pode fazer ligadura
cirúrgica né Por toracotomia e tem um cirurgião E é habilidoso né enfim quem é e a gente pode fazer essa opção né tem todo o problema de o fim da e fala J o tempo na fazenda pausa para ser pai vai vai dormir lá que eu tô ocupado aqui para a escova o dente e vai nanar bom então a toracotomia tem todas as os riscos né da cirurgia e tem a oclusão percutânea aqui é por cateterismo né aí você vai vir arterial ou via femoral a artéria ou veia femoral a e chega lá no coração
né com cateter e deposita lá ocorre o que é tipo uma bolinha assim eu não não peguei foto né podia te pegar ou um plástico aqui é outro dispositivo E aí você obstruir ali a mecanicamente né e consegue fechar o PH é o prognóstico é favorável quando o diagnóstico e tratamento são realizadas precocemente Então antes de ter a reversão do fluxo da direita que é da esquerda para direita no começo depois pode inverter o prognóstico é favorável secura é uma das poucas cardiopatias congênitas que a cura né então e não é tão inacessível assim tá
fazendo Brasil a gente faz a gente não né cirurgiões fazem eu faço certo então por causa do clínica lá a roupa não saiu a idade dele que é uma coisa importante aqui peraí corrigir E aí bom então o finalzinho de 4 anos bem bonzinho até ele tava bem legal bem assim e é os assim colaborativo no exame né para ver se comigo não sei como é que foi com a Carol com quatro anos e foi lá para fazer uma avaliação pré-anestésica Para castrar para fazer o quê que tô Mia né e ele tinha um testículo
e bolsa e um testículo ectópico controle enfim e aí o que chamou a atenção da veterinária que veio uma alteração no Eletro o Eletro veio uma sobrecarga de ventrículo esquerdo quero falar Tá bom fazer o eco E aí Leo trocar o link para fazer o eco pré-operatório e começou a ver umas coisas que ela não conseguia entender direito né enfim o primeiro perder a né na carreira dela só o primeiro de muitos provavelmente já começou a não fazer sentido algumas coisas né aí a gente vai entrar no exame Pois é físico hoje por causa normais
não tinha em si 9 tempo de ir perfusão capilar Ok hidratação informal tudo normal score corporal ótimo eu adorei aqui escolhe corporal ótimo Não escuta os sons respiratórios normais bulhas cardíacas regulares e Norma fonética um sopro sistólico intermitente e em Foco aórtico tá era um sopro de injeção Aparecida é um sopro áspero bem característico ali é legal três quatro Tá mas o redigitação aqui então grau 3 por 4 a 1 sobre o fácil de ouvir tá o ritmo regular e o pulso com normas firme Mias ou falar um pouquinho sobre esse sopro O sopro O
sopro de perder é o suco pessoal descreve como sofro de maquinaria ou se fosse uma Maria Fumaça trem né Qual é o seu papel é um sopro que ele não é histórico e nem diastólico ele em o tempo todo então nascituro Enade a ser porque a pressão na artéria aorta é sempre positiva com relação à pressão da artéria pulmonar então ou nas historial Nadia Store não importa tem sempre um pressão ao maior na horta do que na artéria pulmonar então sobre assim ó ó o e nunca acessa tá não é um sobrinho né Eu por
exemplo o sopro da a suficiência de valva mitral ao sopro sistólico não é ilove papi é um sopro no meio das duas bolhas esse caso aqui do PDA Você quase não escuta as bolhas porque é um sopro tempo todo Ah então você tá sempre ouvindo suco nesse caso aqui não era desse jeito Exatamente porque ele dava uma acessada ele tava umas pauzinhos eu fiquei realmente em dúvida nesse momento então bom então tinha essa característica era para ser ouvido isso é o Olá um proeco agora aqui que eu não coloquei na apresentação porque os vídeos e
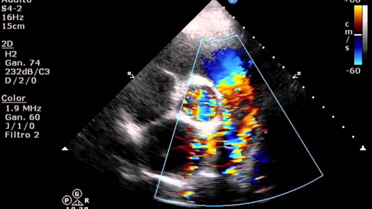
tal e E então comecei pela via de saída né Achei bem normal o ato Aparecida um pouquinho de homem realmente né Com relação à horta aqui na via de saída Ok mas não me chamou muita atenção a Carol tinha visto aumente deatro também no exame dela quando eu me disse vão ver Não Acabou que nem deu aumento aí fui aí primeira coisa que me chamou atenção foi a insuficiência pulmonar amor tem paciente que tem às vezes fisiológicas vezes já nasce com muita ciência sim mas é uma extensão maior lona aqui né e o diâmetro da
artéria pulmonar também tava esquisito e tá vendo tinham é uma turbulência aqui ó essa turbulência dentro da artéria com o ar me chamou atenção de cara Carol também viu isso ela viu que tinha alguma coisa estranha com fluxo pulmonar aí é mais uma foto né da Justiça pulmonar E aí você também passar pros vídeos aqui no vídeo depois aí eu tirei uma foto do fluxo pulmonar nas estude né do VD eu vi que dava para ver o filme Ok mas aí tem alguma coisa vermelhinha saindo daqui do fundo tá vendo o que fazer uma turbulência
do lado desse lado aqui da artéria aí tem alguma coisa errada aí a seguir o exame aí eu falei já pus a pergunta que será que é um PDA não tá a característica que não uma um jato continuo mas eu via toda hora alguma coisa turbilhando aqui e não era o achei isso é pulmonar e não era uma estenose pulmonar Porque daí eu eu fiz eu peguei e essa imagem aqui ó e diz que pus a amostra para registrar o fluxo ar bem no cantinho da artéria aqui no lado esquerdo da minha tela é e
tenta tentando fugir da da turbulência aí ó pois bem do que eu tinha consegui pegar o fluxo pulmonar razoavelmente preciso tá um pouco alto Ok mas não é uma estenose pulmonar é bom presta alto aqui pode ter uma sobrecarga de volume né pensei ser um PDA vai ter sobrecarga de volume vamos lá aqui tem um vídeo não dá para ver muito bem à insuficiência pulmonar né e eu vejo eu já tinha vermelhinha aqui ó hoje novo a China que na hora da Sister ele aparece mais fácil né mas ele ele via de regra ele tá
quase toda vez mas ele é mais intenso Em algum momento e menos intenso em outro E aí ele acompanha adiasse ver que o aí vocês pulmonar e na diástole também é mais visível né de Astro vai ter mais um vídeo aqui e eu sem querer que eu vou ver E aí tem momento que é muito ó viu é muito caro por isso que já pegou um PDA e vice já tô aqui vermelho turbulento para cima que muito facilmente eu vi aí ficou bem mais jovem para mim eu já tinha saindo daqui bem na seta do
meu mouse aqui ó dá para ver eu já tinha vermelhinho saindo aqui ó você vê que ele não tem a ver com fluxo pulmonar ele é muito mais forte nade ar na sístole né quando da contração ele também aparece mais mas ele persiste durante a diástole de novo pode ver ele persiste junto no mesmo momento que é insuficiência pulmonares está acontecendo Então ele tava assistindo na diástole falei bom aqui eu já não tive muita dúvida que era um pedaço aí eu esperava algumas confirmações durante primeiro a turbulência né tentei registrar aqui aí eu coloquei o
contínuo tentei ver o gradientes positivo que é o gradiente positivo é quando tá vazando né passando da artéria para dar ter aorta para a artéria pulmonar Então eu tenho uma diferença de Gradiente E essas duas esses dois tubos nessas duas câmeras vão considerar a artéria pulmonar EA horta duas câmeras eu tenho 14 minutos de diferença não é uma diferença grande né a diferença esperada do sistema pulmonar por sistema óptico de pressão em torno de cem Às vezes 90mm a gente está falando de 30 minutos de pressão na artéria pulmonar para 120 de pressão na artéria
aorta Então essa diferença toda eu esperava até aqui e ele tivesse menos perto de reversão e isso vai diminuindo Até que a pressão na artéria pulmonar supera a pressão na artéria aorta aí a gente tem reversão do fluxo que aí vira à direita para esquerda e não da esquerda pra direita então aqui eu ainda tinha o fluxo e às vezes eu achava que podia ser negativo tentei achar imaginei que podia ser bilateral mas não é de direcionar mas ele não era esse aqui é o fluxo pulmonar não não está tão ainda ele ainda não reverteu
nesse paciente mas ele não tá tão forte e a diferença de Gradiente entre as duas câmeras está ficando muito baixa já certo então esse cara está caminhando para reversão o que que eu esperava de um paciente quatro anos também esperava isso mesmo tem paciente que no primeiro ano já reverti dependendo do tamanho da comunicação ele tá indo bem até aqui né tá bom aí que aconteceu Olha o tamanho que você tem 14 câmera do tamanho desse ventrículo como é que tá globoso Ah tá e já estou tendo mais sem sozinhas mitral não achas que Se
divirtam é pois degeneração ainda tem que só quatro anos é por pelo pela dilatação do ano da válvula vejo que é um jato Centralizado você tem mais foto ó eu já pequeno e se entregue lado porque porque o ventrículo as câmeras que eles em geral mas é mais notório neste caso o ventrículo muito sobrecarregado de volume Oi e aí ele começa a dilatar então a gente começa a ter uma hiperfluxo pulmonar E aí Por conseguinte o Inter fluxo do lado esquerdo e uma sobrecarga de volume do lado esquerdo a função de histórico ainda era boa
né uma e marque a porém a gente tem um aqui OK Eu não achei que está ainda com sobrecarga de volume Evidente nessa relação aqui de e ah tá é o fluxo aórtico color aqui também tem uma coisa muito interessante o fluxo aórtico ele tá batendo ó 24mm de Gradiente a gente se olhar no meu material da pós-graduação ficou pode estar desatualizado e ter a raça né Tem boxer por exemplo bull terrier que às vezes essa velocidade para chegar 2,5 metros por segundo acho que é um Schnauzer e eu fiquei tentando ver se ele tinha
estenose aórtica também tá mas a minha conclusão aqui não foi essa porque ele tá só respondendo a sobrecarga de volume então o ventrículo tem muito sangue na hora que ele bate comprime Jetta a gente tem uma velocidade alimentada por causa da sobrecarga de volume então eu vou pôr na conta da sobrecarga de volume esse Gradiente mas via de regra quando eu aprendi as os trabalhos científicos na época da minha situação se ele pode estar desatualizado acima de 18 aqui a gente já pode considerar não ser essas raças que Eu mencionei em boxer bull terrier há
mais alguma aí você tá me fazendo a memória acima de 18 a gente já tem que falar em estenose aórtica tá aqui o analisei a válvula não achei nada não achei que tinha estenose não tem uma turbulência Evidente aqui eu coloquei continuo para ver se essa velocidade aumentar você não tava pegando mais não o praticamente igual Então para mim não é uma estenose aórtica associada aí eu fui para o modo m né para avaliação do módulo B primeiro do ver é sempre Tira essa foto aqui já tava com dilatação para um schnauzer ele tem que
ser lá ele não tem não tem acho que 8 kilos Eu já tava com 4:19 de Astro E aí ele já tava com assistindo também aumentada né então ele começou a voltar para o normal da outra veia fração de encurtamento e da fração de ejeção voltando para o normal seria já tá com deste histórico Está delatando esse paciente na primeira vez que eu avaliei as as imagens da Carol eu falei para o é uma doença de válvula avançada é uma insuficiência de mitral importante com dilatação do átrio e já tá tendo dessa histórico mas aí
eu não estava convencido que o átrio o ato não tava tão aumentado EA insuficiência da me troca Carol tinha visto nos vídeos dela Era exatamente o que eu via era mas você ser pequena eu falei não não tem alguma coisa errada aí tem aquela turbulência na artéria pulmonar e tal aí nós marcamos a reavaliação porque não tava batendo é só bater o raciocínio depois que a gente começou a olhar de novo aqui eu mudei um pouco a configuração do Collor dá para ver melhor eu já to subindo aqui em amarelo vendo e ele vai diminuir
a eles vai de novo forte vai diminuindo de mais forte é porque a pressão tá mais perto de equalizar óleo J vermelho aqui bem na base aqui da artéria pulmonar eu já tô bem sim eu não consigo pausar e esse jato aqui ó Tá eu já to subindo aqui nesse momento tá vendo que é que tá na diastro eu tenho esquecido pulmonar aqui também certo É mas o vídeo que te ver e eu tô com um pouco de artefatos aqui no colo né mas eu tô tentando pegar o jato bem mais evidenciar mais o jato
o ok toda essa área aqui ó a laranja eu já to subindo tá e o fluxo Azul das histórias a da artéria pulmonar descendo tá é bem comum a gente ver isso quando é um pedal mais novo dizer assim os olhos já estão aqui ó vermelhão subindo aqui aqui na diástole também a de Aço eu vi é bem melhor porque não tem as isso não tem aquele Jato da artéria pulmonar descendo né é bem mais fácil de ver um PDA quando você tá com ele mais novo 10 assim ó se alguém alguém com a dúvida
aí Não não é tipo Renan oi oi e é eu acho que assim eu te fiz vários vídeos né do acumular também foi o que mais me chamou atenção só que não passou na nossa cabeça de imediato um cão de 4 anos estava com pedal né exatamente e sem sintomas a quer dizer tinha sintomas de cansaço então é o que chamou atenção foi a dilatação estava tentando encontrar uma razão para isso mas como ele não tá nítido é que você não é eu não tive tempo de procurar os outros pedaços que eu já peguei é
muito fácil de ver super nisto Adriana tá aí se puder dar uma opinião dela também quando ela desce pega algum é muito nítido mas nesse caso não tava neste essa turbulência né Aí eu comecei a juntar os pontos só ali na hora né que eu fui pensando e aí realmente que me lembrou foi há quatro anos não é para ter generado ainda não é um cara não é um Charles Cavalier King Spaniel que faz da geração de válvula Ah sim também não tinha insuficiência de mitral para isso Adriana também falou Alguns são fáceis de ver
mas já pegou assim também né Quel que é mais difícil de você entender que tá acontecendo e não é esperado né um cão bem 14 anos com perder a eles não chegam às vezes com 4 anos morre antes Se você não operar é então eles vão complicando bem mais rápido então é isso é o primeiro caso beleza alguma outra dúvida pergunta suspiros com relação à frequência cardíaca dele alteram alguma coisa O pegar e o Adriano já pegou olhada de 5:00 Opera esta não é para alterar Carol não é para alterar eu achei que era uma
de suspeita nossa né se ele tinha alteração de ritmo e tal mas ele é bem tranquilão então ele tava batendo sem né Por Minuto vocês comigo eu nem veio aqui né não reparei o Tchan fala comigo tá aqui ó 63 ó é que tava muito maneiro necessidade do doente também meu Deus coitado tá então eu acho que não porque ele tinha contração atrial bem legal você vê se você vê aqui na no fluxo da mitral E aí nunca teve problema eu não acho não é [Música]